JavaScript is disabled in your browser. Please enable JavaScript to view this website.
AB59362

Anti-GAB1 antibody

Be the first to review this product! Submit a review

|

(8 Publications)

Anti-GAB1 antibody (ab59362) is a rabbit polyclonal antibody detecting GAB1 in Western Blot, IHC-P, ICC/IF. Suitable for Human, Mouse.

- Trusted since 2007

View Alternative Names

GRB2-associated-binding protein 1, GRB2-associated binder 1, Growth factor receptor bound protein 2-associated protein 1, GAB1

4 Images
Western blot - Anti-GAB1 antibody (AB59362)
  • WB

Unknown

Western blot - Anti-GAB1 antibody (AB59362)

All lanes:

Western blot - Anti-GAB1 antibody (ab59362) at 1/500 dilution

Lane 1:

Extracts from NIH/3T3 cells with no immunizing peptide

Lane 2:

Extracts from NIH/3T3 cells with immunizing peptide

Predicted band size: 77 kDa

Observed band size: 77 kDa

false

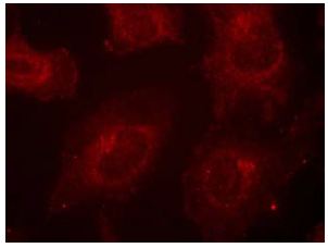
Immunocytochemistry/ Immunofluorescence - Anti-GAB1 antibody (AB59362)
  • ICC/IF

Unknown

Immunocytochemistry/ Immunofluorescence - Anti-GAB1 antibody (AB59362)

ICC/IF image of ab59362 stained HeLa cells. The cells were 100% methanol fixed (5 min) and then incubated in 1%BSA / 10% normal goat serum / 0.3M glycine in 0.1% PBS-Tween for 1h to permeabilise the cells and block non-specific protein-protein interactions. The cells were then incubated with the antibody (ab59362, 1µg/ml) overnight at +4°C. The secondary antibody (green) was Alexa Fluor® 488 goat anti-rabbit IgG (H+L) used at a 1/1000 dilution for 1h. Alexa Fluor® 594 WGA was used to label plasma membranes (red) at a 1/200 dilution for 1h. DAPI was used to stain the cell nuclei (blue) at a concentration of 1.43µM.

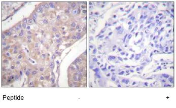
Immunohistochemistry (Formalin/PFA-fixed paraffin-embedded sections) - Anti-GAB1 antibody (AB59362)
  • IHC-P

Unknown

Immunohistochemistry (Formalin/PFA-fixed paraffin-embedded sections) - Anti-GAB1 antibody (AB59362)

ab59362, at a 1/50 dilution, staining human GAB1 in breast carcinoma, using Immunohistochemistry, Paraffin embedded tissue, in the absence of the immunizing peptide (left image) and in the presence of the immunizing peptide (right image).

Western blot - Anti-GAB1 antibody (AB59362)
  • WB

CiteAb

Western blot - Anti-GAB1 antibody (AB59362)

GAB1 western blot using anti-GAB1 antibody ab59362. Publication image and figure legend from Hu, Y., Xie, L., et al., 2019, Mol Med, PubMed 31892308.

ab59362 was used in this publication in western blot. This may not be the same as the application(s) guaranteed by Abcam. For a full list of applications guaranteed by Abcam for ab59362 please see the product overview.

GAB1 is a target gene of miR-29a. A, Predicted binding site between miR-29a and GAB1. B, The binding of miR-29a to GAB1 verified by dual-luciferase reporter gene assay. *p < 0.05 vs. the cells co-transfected with mimic-NC and pMIR-GAB1-Wt plasmids or pMIR-GAB1-Mut plasmids (the mimic-NC group). C&D, Western blot analysis of GAB1 protein in MLE-12 cells of each group. *p < 0.05 vs. MLE-12 cells transfected with mimic-NC (the mimic-NC group). #p < 0.05 vs. MLE-12 cells delivered with inhibitor-NC (the inhibitor-NC group). E&F, the positive expression of GAB1 protein in lung tissues of each group detected by immunohistochemistry (× 400). *p < 0.05 vs. neonatal mice under exposure of RA (the RA group). #p < 0.05 vs. neonatal mice with hyperoxia-induced BPD receiving miR-29a antagomir administration (the BPD + miR-29a antagomir group). N = 15. Measurement data were expressed as mean ± standard error. Data comparison between two groups was examined by unpaired t-test. The experiment was repeated 3 times independently. miR-29a, microRNA-29a; GAB1, GRB2-associated-binding protein 1; BPD, bronchopulmonary dysplasia; RA, room air; Wt, wild type; Mut, mutant; NC, negative control

false

Key facts

Host species

Rabbit

Clonality

Polyclonal

Isotype

IgG

Carrier free

No

Reacts with

Mouse, Human

Applications

WB, ICC/IF, IHC-P

applications

Immunogen

Synthetic Peptide within Human GAB1. The exact immunogen used to generate this antibody is proprietary information.

Q13480

Reactivity data

{ "title": "Reactivity Data", "filters": { "stats": ["", "Species", "Dilution Info", "Notes"], "tabs": { "all-applications": {"fullname" : "All Applications", "shortname": "All Applications"}, "WB" : {"fullname" : "Western blot", "shortname":"WB"}, "IHCP" : {"fullname" : "Immunohistochemistry (Formalin/PFA-fixed paraffin-embedded sections)", "shortname":"IHC-P"}, "ICCIF" : {"fullname" : "Immunocytochemistry/ Immunofluorescence", "shortname":"ICC/IF"} }, "product-promise": { "all": "all", "testedAndGuaranteed": "tested", "guaranteed": "expected", "predicted": "predicted", "notRecommended": "not-recommended" } }, "values": { "Human": { "WB-species-checked": "guaranteed", "WB-species-dilution-info": "", "WB-species-notes": "", "IHCP-species-checked": "testedAndGuaranteed", "IHCP-species-dilution-info": "", "IHCP-species-notes": "<p></p>", "ICCIF-species-checked": "testedAndGuaranteed", "ICCIF-species-dilution-info": "1-5 µg/mL", "ICCIF-species-notes": "<p></p>" }, "Mouse": { "WB-species-checked": "testedAndGuaranteed", "WB-species-dilution-info": "1/500 - 1/1000", "WB-species-notes": "<p></p>", "IHCP-species-checked": "guaranteed", "IHCP-species-dilution-info": "", "IHCP-species-notes": "", "ICCIF-species-checked": "guaranteed", "ICCIF-species-dilution-info": "", "ICCIF-species-notes": "" } } }

Product details

What is this antibody validated in?
Anti-GAB1 antibody (ab59362) is a rabbit polyclonal antibody and is validated for use in Western Blot (WB), Immunohistochemistry (IHC-P), Immunocytochemistry/immunofluorescence (ICC/IF) in Human, Mouse samples.

Properties and storage information

Form
Liquid
Purification technique
Affinity purification Immunogen
Purification notes
Purified from rabbit antiserum by affinity chromatography, usingepitope specific immunogen.
Storage buffer
pH: 7.4 Preservative: 0.02% Sodium azide Constituents: PBS, 50% Glycerol (glycerin, glycerine), 0.87% Sodium chloride
Shipped at conditions
Blue Ice
Appropriate short-term storage conditions
+4°C
Appropriate long-term storage conditions
-20°C
Aliquoting information
Upon delivery aliquot
Storage information
Avoid freeze / thaw cycle

Product protocols

For this product, it's our understanding that no specific protocols are required. You can visit:

Target data

Adapter protein that plays a role in intracellular signaling cascades triggered by activated receptor-type kinases. Plays a role in FGFR1 signaling. Probably involved in signaling by the epidermal growth factor receptor (EGFR) and the insulin receptor (INSR). Involved in the MET/HGF-signaling pathway (PubMed : 29408807).
See full target information GAB1

Publications (8)

Recent publications for all applications. Explore the full list and refine your search

Cell death and differentiation 32:1930-1945 PubMed40275081

2025

Alternative spliceosomal protein Eftud2 mediated Kif3a exon skipping promotes SHH-subgroup medulloblastoma progression.

Applications

Unspecified application

Species

Unspecified reactive species

Ying Li,Liping Chen,Saisai Xue,Zhihong Song,Heli Liu,Hao Li,Wei Shen,Chen Zhang,Haitao Wu

Experimental and therapeutic medicine 28:400 PubMed39171145

2024

GAB1 attenuates lipopolysaccharide‑mediated endothelial dysfunction via regulation of SOCS3.

Applications

Unspecified application

Species

Unspecified reactive species

Guangdong Ren,Ran Liu,Huiqiang Mai,Gang Yin,Fulai Ding,Chunmei Wang,Shuxin Chen,Xianqi Lan

BMC pulmonary medicine 20:49 PubMed32087725

2020

LncRNA TUG1 alleviates sepsis-induced acute lung injury by targeting miR-34b-5p/GAB1.

Applications

Unspecified application

Species

Unspecified reactive species

Nan Qiu,Xinmei Xu,Yingying He

The Kaohsiung journal of medical sciences 36:265-273 PubMed31889432

2020

MiR-194-5p inhibited metastasis and EMT of nephroblastoma cells through targeting Crk.

Applications

Unspecified application

Species

Unspecified reactive species

Hong Liu,Shi-Ying Ren,Yan Qu,Cui Liu,Yi Zhang,Xiang Qing Li,Hong Ma

Molecular medicine (Cambridge, Mass.) 26:3 PubMed31892308

2019

Inhibition of microRNA-29a alleviates hyperoxia-induced bronchopulmonary dysplasia in neonatal mice via upregulation of GAB1.

Applications

Unspecified application

Species

Unspecified reactive species

Yu Hu,Liang Xie,Jing Yu,Hongling Fu,Dan Zhou,Hanmin Liu

Theranostics 9:6175-6190 PubMed31534544

2019

DNA methylation-regulated QPCT promotes sunitinib resistance by increasing HRAS stability in renal cell carcinoma.

Applications

Unspecified application

Species

Unspecified reactive species

Tangliang Zhao,Yi Bao,Xinxin Gan,Jie Wang,Qiong Chen,Zhihui Dai,Bing Liu,Anbang Wang,Shuhan Sun,Fu Yang,Linhui Wang

The Tohoku journal of experimental medicine 239:177-84 PubMed27302321

2016

Expression of Gab1 Is Associated with Poor Prognosis of Patients with Epithelial Ovarian Cancer.

Applications

Unspecified application

Species

Unspecified reactive species

Lingling Hu,Ruilei Liu

PloS one 8:e85170 PubMed24391994

2013

Identification of GRB2 and GAB1 coexpression as an unfavorable prognostic factor for hepatocellular carcinoma by a combination of expression profile and network analysis.

Applications

IHC

Species

Unspecified reactive species

Yanqiong Zhang,Zhiwei Li,Mei Yang,Danhua Wang,Lingxiang Yu,Chaonan Guo,Xiaodong Guo,Na Lin
View all publications

Product promise

We are committed to supporting your work with high-quality reagents, and we're here for you every step of the way. In the unlikely event that one of our products does not perform as expected, you're protected by our Product Promise.
For full details, please see our Terms & Conditions

Please note: All products are 'FOR RESEARCH USE ONLY. NOT FOR USE IN DIAGNOSTIC OR THERAPEUTIC PROCEDURES'.

For licensing inquiries, please contact partnerships@abcam.com