JavaScript is disabled in your browser. Please enable JavaScript to view this website.
AB252430

Anti-GABA A Receptor alpha 1 antibody [EPR23539-255]

Be the first to review this product! Submit a review

|

(14 Publications)

Anti-GABA A Receptor alpha 1 antibody [EPR23539-255] (ab252430) is a rabbit monoclonal antibody detecting GABA A Receptor alpha 1 in Western Blot, IP, IHC-P. Suitable for Human, Mouse, Rat.

- Biophysical QC for unrivalled batch-batch consistency

View Alternative Names

Gamma-aminobutyric acid receptor subunit alpha-1, GABA(A) receptor subunit alpha-1, GABAAR subunit alpha-1, GABRA1

6 Images
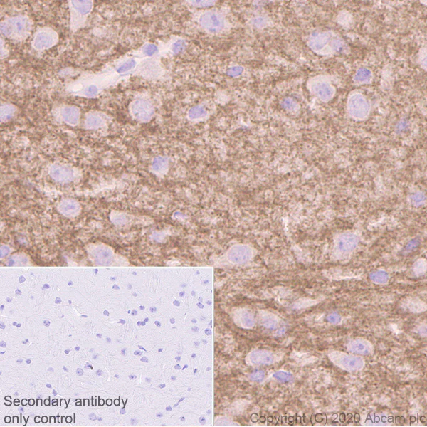
Immunohistochemistry (Formalin/PFA-fixed paraffin-embedded sections) - Anti-GABA A Receptor alpha 1 antibody [EPR23539-255] (AB252430)
  • IHC-P

Unknown

Immunohistochemistry (Formalin/PFA-fixed paraffin-embedded sections) - Anti-GABA A Receptor alpha 1 antibody [EPR23539-255] (AB252430)

Immunohistochemical analysis of paraffin-embedded rat cerebrum tissue labeling GABA A Receptor alpha 1 with ab252430 at 1/500 dilution followed by a ready to use Rabbit specific IHC polymer detection kit HRP/DAB (ab209101). Cytoplasmic staining on rat cerebrum is observed (PMID : 29467616). The section was incubated with ab252430 for 30 mins at room temperature. The immunostaining was performed on a Leica Biosystems BOND® RX instrument. Counterstained with hematoxylin.

Secondary antibody only control : Secondary antibody is a ready to use Rabbit specific IHC polymer detection kit HRP/DAB (ab209101).

Heat mediated antigen retrieval with Tris-EDTA buffer (pH 9.0, epitope retrieval solution2) for 20 mins.

Immunohistochemistry (Formalin/PFA-fixed paraffin-embedded sections) - Anti-GABA A Receptor alpha 1 antibody [EPR23539-255] (AB252430)
  • IHC-P

Unknown

Immunohistochemistry (Formalin/PFA-fixed paraffin-embedded sections) - Anti-GABA A Receptor alpha 1 antibody [EPR23539-255] (AB252430)

Immunohistochemical analysis of paraffin-embedded mouse cerebrum tissue labeling GABA A Receptor alpha 1 with ab252430 at 1/500 dilution followed by a ready to use Rabbit specific IHC polymer detection kit HRP/DAB (ab209101). Cytoplasmic staining on mouse cerebrumis observed (PMID : 29467616). The section was incubated with ab252430 for 30 mins at room temperature. The immunostaining was performed on a Leica Biosystems BOND® RX instrument. Counterstained with hematoxylin.

Secondary antibody only control : Secondary antibody is a ready to use Rabbit specific IHC polymer detection kit HRP/DAB (ab209101).

Heat mediated antigen retrieval with Tris-EDTA buffer (pH 9.0, epitope retrieval solution2) for 20 mins.

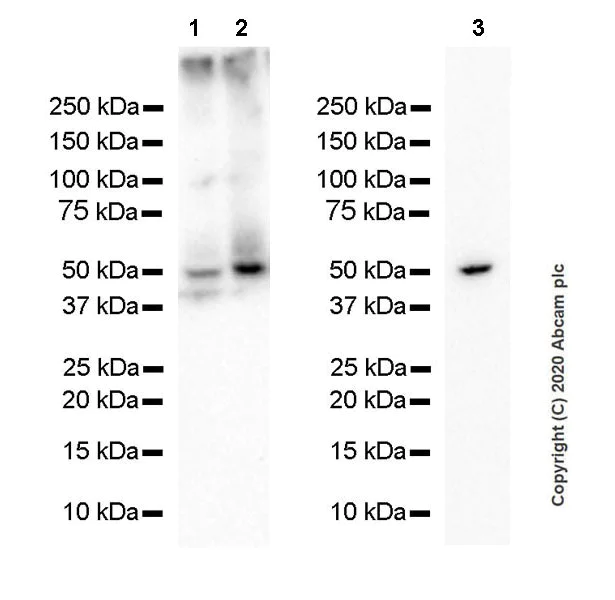
Immunoprecipitation - Anti-GABA A Receptor alpha 1 antibody [EPR23539-255] (AB252430)
  • IP

Unknown

Immunoprecipitation - Anti-GABA A Receptor alpha 1 antibody [EPR23539-255] (AB252430)

GABA A Receptor alpha 1 was immunoprecipitated from 0.35 mg mouse cerebellum tissue lysate 10μg with ab252430 at 1/30 dilution (2μg in 0.35mg lysates). Western blot was performed on the immunoprecipitate using ab252430 at 1/1000 dilution. VeriBlot for IP Detection Reagent (HRP)(ab131366) was used at 1/5000 dilution.

Lane 1 : Mouse cerebellum tissue lysate 10μg.

Lane 2 : ab252430 IP in mouse cerebellum tissue lysate.

Lane 3 : Rabbit monoclonal IgG (ab172730) instead of ab252430 in mouse cerebellum tissue lysate.

Blocking and dilution buffer and concentration : 5% NFDM/TBST.

Exposure time : 33 seconds.

All lanes:

Immunoprecipitation - Anti-GABA A Receptor alpha 1 antibody [EPR23539-255] (ab252430)

Predicted band size: 52 kDa

false

Western blot - Anti-GABA A Receptor alpha 1 antibody [EPR23539-255] (AB252430)
  • WB

Lab

Western blot - Anti-GABA A Receptor alpha 1 antibody [EPR23539-255] (AB252430)

Blocking and diluting buffer and concentration : 5% NFDM/TBST.

This blot was developed using a higher sensitivity ECL substrate.

The expression profile/ molecular weight observed is consistent with what has been described in the literature (PMID : 15542076, 19428632).

Exposure time : 3 minutes.

All lanes:

Western blot - Anti-GABA A Receptor alpha 1 antibody [EPR23539-255] (ab252430) at 1/1000 dilution

Lane 1:

Human brain tissue lysate at 10 µg

Lane 2:

Human cerebellum tissue lysate at 10 µg

Secondary

All lanes:

Western blot - Goat Anti-Rabbit IgG H&L (HRP) (<a href='/en-us/products/secondary-antibodies/goat-rabbit-igg-h-l-hrp-ab97051'>ab97051</a>) at 1/100000 dilution

Predicted band size: 52 kDa

Observed band size: 51 kDa

false

Western blot - Anti-GABA A Receptor alpha 1 antibody [EPR23539-255] (AB252430)
  • WB

Lab

Western blot - Anti-GABA A Receptor alpha 1 antibody [EPR23539-255] (AB252430)

Blocking and diluting buffer and concentration : 5% NFDM/TBST.

This blot of Lane 1-2 was developed using a higher sensitivity ECL substrate.

The expression profile/ molecular weight observed is consistent with what has been described in the literature (PMID : 15542076, 19428632).

Exposure time : Lane 1-2 : 156 seconds; Lane 3 : 3 minutes.

All lanes:

Western blot - Anti-GABA A Receptor alpha 1 antibody [EPR23539-255] (ab252430) at 1/1000 dilution

Lane 1:

Mouse brain tissue lysate at 10 µg

Lane 2:

Mouse cerebellum tissue lysate at 10 µg

Lane 3:

Mouse hippocampus tissue lysate at 10 µg

Secondary

All lanes:

Western blot - Goat Anti-Rabbit IgG H&L (HRP) (<a href='/en-us/products/secondary-antibodies/goat-rabbit-igg-h-l-hrp-ab97051'>ab97051</a>) at 1/100000 dilution

Predicted band size: 52 kDa

Observed band size: 51 kDa

false

Western blot - Anti-GABA A Receptor alpha 1 antibody [EPR23539-255] (AB252430)
  • WB

Lab

Western blot - Anti-GABA A Receptor alpha 1 antibody [EPR23539-255] (AB252430)

Blocking and diluting buffer and concentration : 5% NFDM/TBST.

This blot was developed using a higher sensitivity ECL substrate.

The expression profile/ molecular weight observed is consistent with what has been described in the literature (PMID : 15542076, 19428632).

Exposure time : 3 minutes.

All lanes:

Western blot - Anti-GABA A Receptor alpha 1 antibody [EPR23539-255] (ab252430) at 1/1000 dilution

Lane 1:

Rat brain tissue lysate at 10 µg

Lane 2:

Rat cerebellum tissue lysate at 10 µg

Lane 3:

Rat hippocampus tissue lysate at 10 µg

Secondary

All lanes:

Western blot - Goat Anti-Rabbit IgG H&L (HRP) (<a href='/en-us/products/secondary-antibodies/goat-rabbit-igg-h-l-hrp-ab97051'>ab97051</a>) at 1/100000 dilution

Predicted band size: 52 kDa

Observed band size: 51 kDa

false

  • Carrier free

    Anti-GABA A Receptor alpha 1 antibody [EPR23539-255] - BSA and Azide free

  • 660 APC

    APC Anti-GABA A Receptor alpha 1 antibody [EPR23539-255]

  • 578 PE

    PE Anti-GABA A Receptor alpha 1 antibody [EPR23539-255]

  • 519 Alexa Fluor® 488

    Alexa Fluor® 488 Anti-GABA A Receptor alpha 1 antibody [EPR23539-255]

  • 565 Alexa Fluor® 555

    Alexa Fluor® 555 Anti-GABA A Receptor alpha 1 antibody [EPR23539-255]

  • 665 Alexa Fluor® 647

    Alexa Fluor® 647 Anti-GABA A Receptor alpha 1 antibody [EPR23539-255]

  • 617 Alexa Fluor® 594

    Alexa Fluor® 594 Anti-GABA A Receptor alpha 1 antibody [EPR23539-255]

  • 775 Alexa Fluor® 750

    Alexa Fluor® 750 Anti-GABA A Receptor alpha 1 antibody [EPR23539-255]

Key facts

Host species

Rabbit

Clonality

Monoclonal

Clone number

EPR23539-255

Isotype

IgG

Carrier free

No

Reacts with

Mouse, Rat, Human

Applications

IHC-P, IP, WB

applications

Immunogen

The exact immunogen used to generate this antibody is proprietary information.

Reactivity data

{ "title": "Reactivity Data", "filters": { "stats": ["", "Species", "Dilution Info", "Notes"], "tabs": { "all-applications": {"fullname" : "All Applications", "shortname": "All Applications"}, "IP" : {"fullname" : "Immunoprecipitation", "shortname":"IP"}, "FlowCyt" : {"fullname" : "Flow Cytometry", "shortname":"Flow Cyt"}, "WB" : {"fullname" : "Western blot", "shortname":"WB"}, "ICCIF" : {"fullname" : "Immunocytochemistry/ Immunofluorescence", "shortname":"ICC/IF"}, "IHCP" : {"fullname" : "Immunohistochemistry (Formalin/PFA-fixed paraffin-embedded sections)", "shortname":"IHC-P"} }, "product-promise": { "all": "all", "testedAndGuaranteed": "tested", "guaranteed": "expected", "predicted": "predicted", "notRecommended": "not-recommended" } }, "values": { "Human": { "IP-species-checked": "guaranteed", "IP-species-dilution-info": "", "IP-species-notes": "", "FlowCyt-species-checked": "notRecommended", "FlowCyt-species-dilution-info": "", "FlowCyt-species-notes": "", "WB-species-checked": "testedAndGuaranteed", "WB-species-dilution-info": "1/1000", "WB-species-notes": "<p></p>", "ICCIF-species-checked": "notRecommended", "ICCIF-species-dilution-info": "", "ICCIF-species-notes": "", "IHCP-species-checked": "notRecommended", "IHCP-species-dilution-info": "1/500", "IHCP-species-notes": "<p></p>" }, "Mouse": { "IP-species-checked": "testedAndGuaranteed", "IP-species-dilution-info": "1/30", "IP-species-notes": "<p></p>", "FlowCyt-species-checked": "notRecommended", "FlowCyt-species-dilution-info": "", "FlowCyt-species-notes": "", "WB-species-checked": "testedAndGuaranteed", "WB-species-dilution-info": "1/1000", "WB-species-notes": "<p></p>", "ICCIF-species-checked": "notRecommended", "ICCIF-species-dilution-info": "", "ICCIF-species-notes": "<p></p>", "IHCP-species-checked": "testedAndGuaranteed", "IHCP-species-dilution-info": "1/500", "IHCP-species-notes": "<p></p>" }, "Rat": { "IP-species-checked": "guaranteed", "IP-species-dilution-info": "", "IP-species-notes": "", "FlowCyt-species-checked": "notRecommended", "FlowCyt-species-dilution-info": "", "FlowCyt-species-notes": "<p></p>", "WB-species-checked": "testedAndGuaranteed", "WB-species-dilution-info": "1/1000", "WB-species-notes": "<p></p>", "ICCIF-species-checked": "notRecommended", "ICCIF-species-dilution-info": "", "ICCIF-species-notes": "<p></p>", "IHCP-species-checked": "testedAndGuaranteed", "IHCP-species-dilution-info": "1/500", "IHCP-species-notes": "<p></p>" } } }

Product details

What is this antibody validated in?
Anti-GABA A Receptor alpha 1 antibody [EPR23539-255] (ab252430) is a rabbit recombinant monoclonal antibody and is validated for use in Western Blot (WB), Immunoprecipitation (IP), Immunohistochemistry (IHC-P) in Human, Mouse, Rat samples.

What is the molecular weight of GABA A Receptor alpha 1?
Anti-GABA A Receptor alpha 1 [EPR23539-255] (ab252430) specifically detects a band for GABA A Receptor alpha 1 (UniProt: P62812) at a molecular weight of 52kDa.

Trial sizes available!
Test your antibody or perform pre-screening before committing to a larger quantity. Sold in 10µl. Discover our selection of trial-size antibodies.

Other related products
We have a range of other formats of antibody clone [EPR23539-255] also available for your convenience: ab252430, Carrier free - ab272398, PE - ab318414, APC - ab318517, Alexa Fluor® 488 - ab318620, Alexa Fluor® 647 - ab318723, Alexa Fluor® 594 - ab318826, Alexa Fluor® 555 - ab318926, Alexa Fluor® 750 - ab321495

Patented technology
Our RabMAb® technology is a patented hybridoma-based technology for making rabbit monoclonal antibodies. For details on our patents, please refer to RabMAb® patents.

What are the advantages of a recombinant monoclonal antibody?
This product is a recombinant monoclonal antibody, which offers several advantages including:

  • - High batch-to-batch consistency and reproducibility
  • - Improved sensitivity and specificity
  • - Long-term security of supply
  • - Animal-free batch production

For more information, read more on recombinant antibodies.

Properties and storage information

Form
Liquid
Purification technique
Affinity purification Protein A
Storage buffer
pH: 7.2 - 7.4 Preservative: 0.01% Sodium azide Constituents: PBS, 40% Glycerol (glycerin, glycerine), 0.05% BSA
Shipped at conditions
Blue Ice
Appropriate short-term storage duration
1-2 weeks
Appropriate short-term storage conditions
+4°C
Appropriate long-term storage conditions
-20°C
Aliquoting information
Upon delivery aliquot
Storage information
Avoid freeze / thaw cycle

Product protocols

For this product, it's our understanding that no specific protocols are required. You can visit:

Target data

Alpha subunit of the heteropentameric ligand-gated chloride channel gated by Gamma-aminobutyric acid (GABA), a major inhibitory neurotransmitter in the brain (PubMed : 23909897, PubMed : 25489750, PubMed : 29950725, PubMed : 30602789). GABA-gated chloride channels, also named GABA(A) receptors (GABAAR), consist of five subunits arranged around a central pore and contain GABA active binding site(s) located at the alpha and beta subunit interface(s) (PubMed : 29950725, PubMed : 30602789). When activated by GABA, GABAARs selectively allow the flow of chloride anions across the cell membrane down their electrochemical gradient (PubMed : 23909897, PubMed : 29950725, PubMed : 30602789). Alpha-1/GABRA1-containing GABAARs are largely synaptic (By similarity). Chloride influx into the postsynaptic neuron following GABAAR opening decreases the neuron ability to generate a new action potential, thereby reducing nerve transmission (By similarity). GABAARs containing alpha-1 and beta-2 or -3 subunits exhibit synaptogenic activity; the gamma-2 subunit being necessary but not sufficient to induce rapid synaptic contacts formation (PubMed : 23909897, PubMed : 25489750). GABAARs function also as histamine receptor where histamine binds at the interface of two neighboring beta subunits and potentiates GABA response (By similarity). GABAARs containing alpha, beta and epsilon subunits also permit spontaneous chloride channel activity while preserving the structural information required for GABA-gated openings (By similarity). Alpha-1-mediated plasticity in the orbitofrontal cortex regulates context-dependent action selection (By similarity). Together with rho subunits, may also control neuronal and glial GABAergic transmission in the cerebellum (By similarity).
See full target information GABRA1

Publications (14)

Recent publications for all applications. Explore the full list and refine your search

Frontiers in aging neuroscience 17:1572653 PubMed40641622

2025

Metformin improves age-related visual cortex dysfunction in mice by reducing noise correlation in the primary visual cortex.

Applications

Unspecified application

Species

Unspecified reactive species

Xiaoming Liu,Yifeng Zhou,Jiachen Liu,Guangwei Xu

Nature 641:427-437 PubMed40205038

2025

Stress dynamically modulates neuronal autophagy to gate depression onset.

Applications

Unspecified application

Species

Unspecified reactive species

Liang Yang,Chen Guo,Zhiwei Zheng,Yiyan Dong,Qifeng Xie,Zijian Lv,Min Li,Yangyang Lu,Xiaonan Guo,Rongshan Deng,Yiqin Liu,Yirong Feng,Ruiqi Mu,Xuliang Zhang,Huan Ma,Zhong Chen,Zhijun Zhang,Zhaoqi Dong,Wei Yang,Xiangnan Zhang,Yihui Cui

Neuroendocrinology 114:1005-1017 PubMed39053446

2024

Hyperandrogenism Decreases Seizure Threshold in a Rat Model of Polycystic Ovary Syndrome.

Applications

Unspecified application

Species

Unspecified reactive species

Jiaxian Zhang,Wanlin Lai,Yusha Tang,Jing Gao,Xiangyang Zhou,Lei Chen

European journal of pain (London, England) 28:1674-1684 PubMed38982797

2024

Potential analgesic effect of a novel cannabidiol nanocrystals powder for the treatment of neuropathic pain.

Applications

Unspecified application

Species

Unspecified reactive species

Yu Wang,Xinzhen Fu,Meihua Zheng,Qian Liu,Hailin Gan,Zeyu Song,Mingyan Yang,Ke Liu,Zeping Xie,Huaying Fan

F1000Research 12:391 PubMed37860271

2023

Identification of high-performing antibodies for Superoxide dismutase [Cu-Zn] 1 (SOD1) for use in Western blot, immunoprecipitation, and immunofluorescence.

Applications

Unspecified application

Species

Unspecified reactive species

Riham Ayoubi,Walaa Alshafie,Zhipeng You,Kathleen Southern,Peter S McPherson,Carl Laflamme

Journal of translational medicine 21:707 PubMed37814294

2023

Neuroplastin exerts antiepileptic effects through binding to the α1 subunit of GABA type A receptors to inhibit the internalization of the receptors.

Applications

Unspecified application

Species

Unspecified reactive species

Sijun Li,Xing Wei,Hongmi Huang,Lin Ye,Meigang Ma,Lanfeng Sun,Yuling Lu,Yuan Wu

Journal of neurochemistry 164:786-812 PubMed36695027

2023

Translational patterns of ionotropic glutamate and GABA receptors during brain development and behavioral stimuli revealed by polysome profiling.

Applications

Unspecified application

Species

Unspecified reactive species

Yinghui Peng,Miaoqi Huang,Jiaoyan Xie,Beiyi Shu,Xiaojun Wang,Yumei Liao,Junyu Xu,Lei Shi

Frontiers in neuroscience 17:1109735 PubMed36743805

2023

Low frequency repetitive transcranial magnetic stimulation promotes plasticity of the visual cortex in adult amblyopic rats.

Applications

Unspecified application

Species

Unspecified reactive species

Jing Zheng,Wenqiu Zhang,Longqian Liu,Maurice Keng Hung Yap

American journal of translational research 14:6222-6233 PubMed36247285

2022

CXCL14 exacerbates seizures by inhibiting GABA metabolism in epileptic mice.

Applications

Unspecified application

Species

Unspecified reactive species

Mingyue Chen,Weiwei He,Xiaomi Ding,Shenglin Wang,Min Zhang,Xing Cao,Juan Tan,Guohui Jiang

Journal of orthopaedic surgery and research 17:304 PubMed35689264

2022

Long non-coding RNA Gm37494 alleviates osteoarthritis chondrocyte injury via the microRNA-181a-5p/GABRA1 axis.

Applications

Unspecified application

Species

Unspecified reactive species

Aidong Yuan,Penghuan Wu,Zhinian Zhong,Zhengyan He,Wenhu Li
View all publications

Product promise

We are committed to supporting your work with high-quality reagents, and we're here for you every step of the way. In the unlikely event that one of our products does not perform as expected, you're protected by our Product Promise.
For full details, please see our Terms & Conditions

Please note: All products are 'FOR RESEARCH USE ONLY. NOT FOR USE IN DIAGNOSTIC OR THERAPEUTIC PROCEDURES'.

For licensing inquiries, please contact partnerships@abcam.com