JavaScript is disabled in your browser. Please enable JavaScript to view this website.
AB272398

Anti-GABA A Receptor alpha 1 antibody [EPR23539-255] - BSA and Azide free

Be the first to review this product! Submit a review

|

(0 Publication)

Rabbit Recombinant Monoclonal GABA A Receptor alpha 1 antibody. Carrier free. Suitable for IP, WB, IHC-P and reacts with Mouse, Rat, Human samples.

View Alternative Names

Gamma-aminobutyric acid receptor subunit alpha-1, GABA(A) receptor subunit alpha-1, GABAAR subunit alpha-1, GABRA1

3 Images
Immunohistochemistry (Formalin/PFA-fixed paraffin-embedded sections) - Anti-GABA A Receptor alpha 1 antibody [EPR23539-255] - BSA and Azide free (AB272398)
  • IHC-P

Unknown

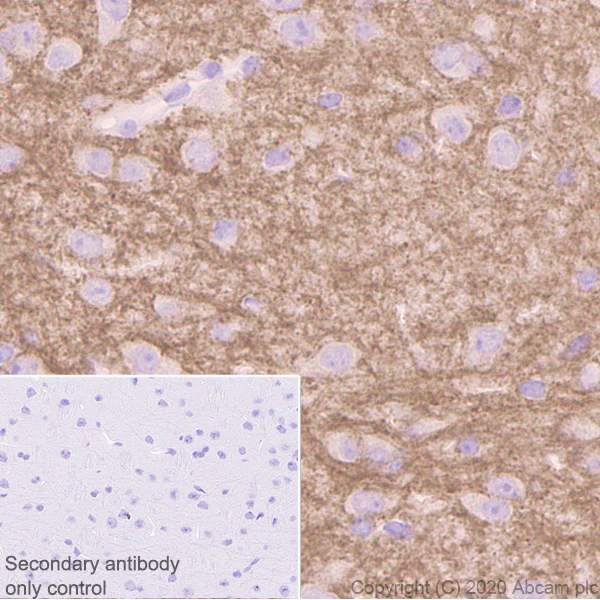
Immunohistochemistry (Formalin/PFA-fixed paraffin-embedded sections) - Anti-GABA A Receptor alpha 1 antibody [EPR23539-255] - BSA and Azide free (AB272398)

Immunohistochemical analysis of paraffin-embedded rat cerebrum tissue labeling GABA A Receptor alpha 1 with ab252430 at 1/500 dilution followed by a ready to use Rabbit specific IHC polymer detection kit HRP/DAB (ab209101). Cytoplasmic staining on rat cerebrum is observed (PMID : 29467616). The section was incubated with ab252430 for 30 mins at room temperature. The immunostaining was performed on a Leica Biosystems BOND® RX instrument. Counterstained with hematoxylin.

Secondary antibody only control : Secondary antibody is a ready to use Rabbit specific IHC polymer detection kit HRP/DAB (ab209101).

Heat mediated antigen retrieval with Tris-EDTA buffer (pH 9.0, epitope retrieval solution2) for 20 mins.

This data was developed using the same antibody clone in a different buffer formulation containing PBS, BSA, glycerol, and sodium azide (ab252430).

Immunohistochemistry (Formalin/PFA-fixed paraffin-embedded sections) - Anti-GABA A Receptor alpha 1 antibody [EPR23539-255] - BSA and Azide free (AB272398)
  • IHC-P

Unknown

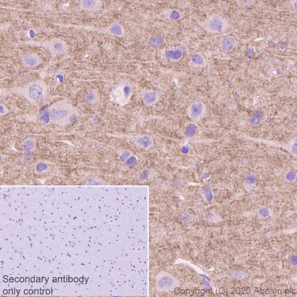
Immunohistochemistry (Formalin/PFA-fixed paraffin-embedded sections) - Anti-GABA A Receptor alpha 1 antibody [EPR23539-255] - BSA and Azide free (AB272398)

Immunohistochemical analysis of paraffin-embedded mouse cerebrum tissue labeling GABA A Receptor alpha 1 with ab252430 at 1/500 dilution followed by a ready to use Rabbit specific IHC polymer detection kit HRP/DAB (ab209101). Cytoplasmic staining on mouse cerebrumis observed (PMID : 29467616). The section was incubated with ab252430 for 30 mins at room temperature. The immunostaining was performed on a Leica Biosystems BOND® RX instrument. Counterstained with hematoxylin.

Secondary antibody only control : Secondary antibody is a ready to use Rabbit specific IHC polymer detection kit HRP/DAB (ab209101).

Heat mediated antigen retrieval with Tris-EDTA buffer (pH 9.0, epitope retrieval solution2) for 20 mins.

This data was developed using the same antibody clone in a different buffer formulation containing PBS, BSA, glycerol, and sodium azide (ab252430).

Immunoprecipitation - Anti-GABA A Receptor alpha 1 antibody [EPR23539-255] - BSA and Azide free (AB272398)
  • IP

Unknown

Immunoprecipitation - Anti-GABA A Receptor alpha 1 antibody [EPR23539-255] - BSA and Azide free (AB272398)

GABA A Receptor alpha 1 was immunoprecipitated from 0.35 mg mouse cerebellum tissue lysate 10μg with ab252430 at 1/30 dilution (2μg in 0.35mg lysates). Western blot was performed on the immunoprecipitate using ab252430 at 1/1000 dilution. VeriBlot for IP Detection Reagent (HRP)(ab131366) was used at 1/5000 dilution.

Lane 1 : Mouse cerebellum tissue lysate 10μg.

Lane 2 : ab252430 IP in mouse cerebellum tissue lysate.

Lane 3 : Rabbit monoclonal IgG (ab172730) instead of ab252430 in mouse cerebellum tissue lysate.

Blocking and dilution buffer and concentration : 5% NFDM/TBST.

Exposure time : 33 seconds.

This data was developed using the same antibody clone in a different buffer formulation containing PBS, BSA, glycerol, and sodium azide (ab252430).

All lanes:

Immunoprecipitation - Anti-GABA A Receptor alpha 1 antibody [EPR23539-255] (<a href='/en-us/products/primary-antibodies/gaba-a-receptor-alpha-1-antibody-epr23539-255-ab252430'>ab252430</a>)

Predicted band size: 52 kDa

false

  • Unconjugated

    Anti-GABA A Receptor alpha 1 antibody [EPR23539-255]

  • 665 Alexa Fluor® 647

    Alexa Fluor® 647 Anti-GABA A Receptor alpha 1 antibody [EPR23539-255]

  • 617 Alexa Fluor® 594

    Alexa Fluor® 594 Anti-GABA A Receptor alpha 1 antibody [EPR23539-255]

  • 565 Alexa Fluor® 555

    Alexa Fluor® 555 Anti-GABA A Receptor alpha 1 antibody [EPR23539-255]

  • 578 PE

    PE Anti-GABA A Receptor alpha 1 antibody [EPR23539-255]

  • 660 APC

    APC Anti-GABA A Receptor alpha 1 antibody [EPR23539-255]

  • 519 Alexa Fluor® 488

    Alexa Fluor® 488 Anti-GABA A Receptor alpha 1 antibody [EPR23539-255]

  • 775 Alexa Fluor® 750

    Alexa Fluor® 750 Anti-GABA A Receptor alpha 1 antibody [EPR23539-255]

Key facts

Host species

Rabbit

Clonality

Monoclonal

Clone number

EPR23539-255

Isotype

IgG

Carrier free

Yes

Reacts with

Mouse, Rat, Human

Applications

IHC-P, IP, WB

applications

Immunogen

The exact immunogen used to generate this antibody is proprietary information.

Reactivity data

{ "title": "Reactivity Data", "filters": { "stats": ["", "Species", "Dilution Info", "Notes"], "tabs": { "all-applications": {"fullname" : "All Applications", "shortname": "All Applications"}, "IP" : {"fullname" : "Immunoprecipitation", "shortname":"IP"}, "FlowCyt" : {"fullname" : "Flow Cytometry", "shortname":"Flow Cyt"}, "WB" : {"fullname" : "Western blot", "shortname":"WB"}, "ICCIF" : {"fullname" : "Immunocytochemistry/ Immunofluorescence", "shortname":"ICC/IF"}, "IHCP" : {"fullname" : "Immunohistochemistry (Formalin/PFA-fixed paraffin-embedded sections)", "shortname":"IHC-P"} }, "product-promise": { "all": "all", "testedAndGuaranteed": "tested", "guaranteed": "expected", "predicted": "predicted", "notRecommended": "not-recommended" } }, "values": { "Human": { "IP-species-checked": "guaranteed", "IP-species-dilution-info": "", "IP-species-notes": "", "FlowCyt-species-checked": "notRecommended", "FlowCyt-species-dilution-info": "", "FlowCyt-species-notes": "", "WB-species-checked": "testedAndGuaranteed", "WB-species-dilution-info": "", "WB-species-notes": "<p></p>", "ICCIF-species-checked": "notRecommended", "ICCIF-species-dilution-info": "", "ICCIF-species-notes": "", "IHCP-species-checked": "notRecommended", "IHCP-species-dilution-info": "", "IHCP-species-notes": "<p></p>" }, "Mouse": { "IP-species-checked": "testedAndGuaranteed", "IP-species-dilution-info": "", "IP-species-notes": "<p></p>", "FlowCyt-species-checked": "notRecommended", "FlowCyt-species-dilution-info": "", "FlowCyt-species-notes": "", "WB-species-checked": "testedAndGuaranteed", "WB-species-dilution-info": "", "WB-species-notes": "<p></p>", "ICCIF-species-checked": "notRecommended", "ICCIF-species-dilution-info": "", "ICCIF-species-notes": "<p></p>", "IHCP-species-checked": "testedAndGuaranteed", "IHCP-species-dilution-info": "", "IHCP-species-notes": "<p></p>" }, "Rat": { "IP-species-checked": "guaranteed", "IP-species-dilution-info": "", "IP-species-notes": "", "FlowCyt-species-checked": "notRecommended", "FlowCyt-species-dilution-info": "", "FlowCyt-species-notes": "<p></p>", "WB-species-checked": "testedAndGuaranteed", "WB-species-dilution-info": "", "WB-species-notes": "<p></p>", "ICCIF-species-checked": "notRecommended", "ICCIF-species-dilution-info": "", "ICCIF-species-notes": "<p></p>", "IHCP-species-checked": "testedAndGuaranteed", "IHCP-species-dilution-info": "", "IHCP-species-notes": "<p></p>" } } }

Product details

ab272398 is the carrier-free version of ab252430.

Patented technology
Our RabMAb® technology is a patented hybridoma-based technology for making rabbit monoclonal antibodies. For details on our patents, please refer to RabMAb® patents.

What are the advantages of a recombinant monoclonal antibody?
This product is a recombinant monoclonal antibody, which offers several advantages including:

  • - High batch-to-batch consistency and reproducibility
  • - Improved sensitivity and specificity
  • - Long-term security of supply
  • - Animal-free batch production

For more information, read more on recombinant antibodies.

Conjugation ready
Our carrier-free antibodies are typically supplied in a PBS-only formulation, purified and free of BSA, sodium azide and glycerol. This conjugation-ready format is designed for use with fluorochromes, metal isotopes, oligonucleotides, and enzymes, which makes them ideal for antibody labelling, functional and cell-based assays, flow-based assays (e.g. mass cytometry) and Multiplex Imaging applications.

Use our conjugation kits for antibody conjugates that are ready-to-use in as little as 20 minutes with 1 minute hands-on-time and 100% antibody recovery: available for fluorescent dyes, HRP, biotin and gold.

Compatibility
This product is compatible with the Maxpar® Antibody Labeling Kit from Fluidigm, without the need for antibody preparation. Maxpar® is a trademark of Fluidigm Canada Inc.

Properties and storage information

Form
Liquid
Purification technique
Affinity purification Protein A
Storage buffer
pH: 7.2 - 7.4 Constituents: PBS
Shipped at conditions
Blue Ice
Appropriate short-term storage conditions
+4°C
Appropriate long-term storage conditions
+4°C
Storage information
Do Not Freeze

Product protocols

For this product, it's our understanding that no specific protocols are required. You can visit:

Target data

Alpha subunit of the heteropentameric ligand-gated chloride channel gated by Gamma-aminobutyric acid (GABA), a major inhibitory neurotransmitter in the brain (PubMed : 23909897, PubMed : 25489750, PubMed : 29950725, PubMed : 30602789). GABA-gated chloride channels, also named GABA(A) receptors (GABAAR), consist of five subunits arranged around a central pore and contain GABA active binding site(s) located at the alpha and beta subunit interface(s) (PubMed : 29950725, PubMed : 30602789). When activated by GABA, GABAARs selectively allow the flow of chloride anions across the cell membrane down their electrochemical gradient (PubMed : 23909897, PubMed : 29950725, PubMed : 30602789). Alpha-1/GABRA1-containing GABAARs are largely synaptic (By similarity). Chloride influx into the postsynaptic neuron following GABAAR opening decreases the neuron ability to generate a new action potential, thereby reducing nerve transmission (By similarity). GABAARs containing alpha-1 and beta-2 or -3 subunits exhibit synaptogenic activity; the gamma-2 subunit being necessary but not sufficient to induce rapid synaptic contacts formation (PubMed : 23909897, PubMed : 25489750). GABAARs function also as histamine receptor where histamine binds at the interface of two neighboring beta subunits and potentiates GABA response (By similarity). GABAARs containing alpha, beta and epsilon subunits also permit spontaneous chloride channel activity while preserving the structural information required for GABA-gated openings (By similarity). Alpha-1-mediated plasticity in the orbitofrontal cortex regulates context-dependent action selection (By similarity). Together with rho subunits, may also control neuronal and glial GABAergic transmission in the cerebellum (By similarity).
See full target information GABRA1

Product promise

We are committed to supporting your work with high-quality reagents, and we're here for you every step of the way. In the unlikely event that one of our products does not perform as expected, you're protected by our Product Promise.
For full details, please see our Terms & Conditions

Please note: All products are 'FOR RESEARCH USE ONLY. NOT FOR USE IN DIAGNOSTIC OR THERAPEUTIC PROCEDURES'.

For licensing inquiries, please contact partnerships@abcam.com