JavaScript is disabled in your browser. Please enable JavaScript to view this website.
AB316969

Anti-GABA A Receptor alpha 3/GABRA3 antibody [EPR28364-82]

  • BOND RX™ Validated
  • 20ul selling size
  • Recombinant
  • RabMAb
  • What is this?

Be the first to review this product! Submit a review

|

(0 Publication)

Rabbit Recombinant Monoclonal GABA A Receptor alpha 3/GABRA3 antibody. Suitable for WB, IHC-P, IHC-Fr, IP and reacts with Transfected cell lysate - Human, Human, Mouse, Rat samples.

View Alternative Names

Gamma-aminobutyric acid receptor subunit alpha-3, GABA(A) receptor subunit alpha-3, GABAAR subunit alpha-3, GABRA3

15 Images
Immunohistochemistry (Formalin/PFA-fixed paraffin-embedded sections) - Anti-GABA A Receptor alpha 3/GABRA3 antibody [EPR28364-82] (AB316969)
  • IHC-P

Supplier Data

Immunohistochemistry (Formalin/PFA-fixed paraffin-embedded sections) - Anti-GABA A Receptor alpha 3/GABRA3 antibody [EPR28364-82] (AB316969)

Immunohistochemical analysis of paraffin-embedded Human cerebrum tissue labeling GABA A Receptor alpha 3/GABRA3 with ab316969 at 1/100 (4.88 ug/ml) dilution, followed by a ready to use LeicaDS9800 (Bond™ Polymer Refine Detection).

Positive staining on human cerebrum (PMID : 26869349). The section was incubated with ab316969 for 30 mins at room temperature.
The immunostaining was performed on a Leica Biosystems BOND® RX instrument

Counterstained with Hematoxylin.

Secondary antibody only control : Secondary antibody is a ready to use LeicaDS9800 (Bond™ Polymer Refine Detection).

Heat mediated antigen retrieval was performed with Citrate buffer (pH 6.0, Epitope Retrieval Solution 1) for 20 mins

Immunohistochemistry (Formalin/PFA-fixed paraffin-embedded sections) - Anti-GABA A Receptor alpha 3/GABRA3 antibody [EPR28364-82] (AB316969)
  • IHC-P

Supplier Data

Immunohistochemistry (Formalin/PFA-fixed paraffin-embedded sections) - Anti-GABA A Receptor alpha 3/GABRA3 antibody [EPR28364-82] (AB316969)

Immunohistochemical analysis of paraffin-embedded Human spleen tissue labeling GABA A Receptor alpha 3/GABRA3 with ab316969 at 1/100 (4.88 ug/ml) dilution, followed by a ready to use LeicaDS9800 (Bond™ Polymer Refine Detection).

Negative control : no staining on human spleen (PMID : 26869349). The section was incubated with ab316969 for 30 mins at room temperature.
The immunostaining was performed on a Leica Biosystems BOND® RX instrument

Counterstained with Hematoxylin.

Secondary antibody only control : Secondary antibody is a ready to use LeicaDS9800 (Bond™ Polymer Refine Detection).

Heat mediated antigen retrieval was performed with Citrate buffer (pH 6.0, Epitope Retrieval Solution 1) for 20 mins

Immunohistochemistry (Formalin/PFA-fixed paraffin-embedded sections) - Anti-GABA A Receptor alpha 3/GABRA3 antibody [EPR28364-82] (AB316969)
  • IHC-P

Supplier Data

Immunohistochemistry (Formalin/PFA-fixed paraffin-embedded sections) - Anti-GABA A Receptor alpha 3/GABRA3 antibody [EPR28364-82] (AB316969)

Immunohistochemical analysis of paraffin-embedded Human liver tissue labeling GABA A Receptor alpha 3/GABRA3 with ab316969 at 1/100 (4.88 ug/ml) dilution, followed by a ready to use LeicaDS9800 (Bond™ Polymer Refine Detection).

Negative control : no staining on human liver (PMID : 26869349). The section was incubated with ab316969 for 30 mins at room temperature.
The immunostaining was performed on a Leica Biosystems BOND® RX instrument

Counterstained with Hematoxylin.

Secondary antibody only control : Secondary antibody is a ready to use LeicaDS9800 (Bond™ Polymer Refine Detection).

Heat mediated antigen retrieval was performed with Citrate buffer (pH 6.0, Epitope Retrieval Solution 1) for 20 mins

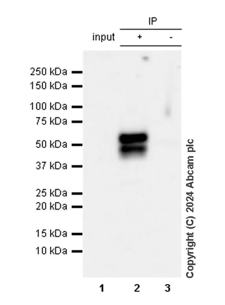
Immunoprecipitation - Anti-GABA A Receptor alpha 3/GABRA3 antibody [EPR28364-82] (AB316969)
  • IP

Supplier Data

Immunoprecipitation - Anti-GABA A Receptor alpha 3/GABRA3 antibody [EPR28364-82] (AB316969)

GABA A Receptor alpha 3/GABRA3 was immunoprecipitated from 0.35 mg SW1353 (human chondrosarcoma fibroblast) whole cell lysate with ab316969 at 1/30 dilution (2ug in 0.35mg lysates). Western blot was performed on the immunoprecipitate using ab316969 at 1/1000 dilution. VeriBlot for IP secondary antibody(HRP)(ab131366) was used at 1/5000 dilution.

Lane 1 : SW1353 (human chondrosarcoma fibroblast) whole cell lysate
Lane 2 : ab316969 IP in SW1353 (human chondrosarcoma fibroblast) whole cell lysate
Lane 3 : Rabbit monoclonal IgG (ab172730) instead of ab316969 in SW1353 whole cell lysate

The band at approximately 50KDa may be a degradation/cleavage product.

All lanes:

Immunoprecipitation - Anti-GABA A Receptor alpha 3/GABRA3 antibody [EPR28364-82] (ab316969) at 1/30 dilution

All lanes:

SW1353 (human chondrosarcoma fibroblast) whole cell lysate at 10 µg with NFDM/TBST

Secondary

All lanes:

Immunoprecipitation - VeriBlot for IP Detection Reagent (HRP) (<a href='/en-us/products/reagents/veriblot-for-ip-detection-reagent-hrp-ab131366'>ab131366</a>) at 1/5000 dilution

false

Exposure time: 32s

Immunohistochemistry (Formalin/PFA-fixed paraffin-embedded sections) - Anti-GABA A Receptor alpha 3/GABRA3 antibody [EPR28364-82] (AB316969)
  • IHC-P

Supplier Data

Immunohistochemistry (Formalin/PFA-fixed paraffin-embedded sections) - Anti-GABA A Receptor alpha 3/GABRA3 antibody [EPR28364-82] (AB316969)

Immunohistochemical analysis of paraffin-embedded Mouse cerebrum tissue labeling GABA A Receptor alpha 3/GABRA3 with ab316969 at 1/1000 (0.488 ug/ml) dilution, followed by a ready to use LeicaDS9800 (Bond™ Polymer Refine Detection).

Positive staining on mouse cerebrum. The section was incubated with ab316969 for 30 mins at room temperature.
The immunostaining was performed on a Leica Biosystems BOND® RX instrument

Counterstained with Hematoxylin.

Secondary antibody only control : Secondary antibody is a ready to use LeicaDS9800 (Bond™ Polymer Refine Detection).

Heat mediated antigen retrieval was performed with Tris-EDTA buffer (pH 9.0, Epitope Retrieval Solution2) for 20 mins

Immunohistochemistry (Formalin/PFA-fixed paraffin-embedded sections) - Anti-GABA A Receptor alpha 3/GABRA3 antibody [EPR28364-82] (AB316969)
  • IHC-P

Supplier Data

Immunohistochemistry (Formalin/PFA-fixed paraffin-embedded sections) - Anti-GABA A Receptor alpha 3/GABRA3 antibody [EPR28364-82] (AB316969)

Immunohistochemical analysis of paraffin-embedded Rat cerebrum tissue labeling GABA A Receptor alpha 3/GABRA3 with ab316969 at 1/1000 (0.488 ug/ml) dilution, followed by a ready to use LeicaDS9800 (Bond™ Polymer Refine Detection).

Positive staining on rat cerebrum. The section was incubated with ab316969 for 30 mins at room temperature.
The immunostaining was performed on a Leica Biosystems BOND® RX instrument

Counterstained with Hematoxylin.

Secondary antibody only control : Secondary antibody is a ready to use LeicaDS9800 (Bond™ Polymer Refine Detection).

Heat mediated antigen retrieval was performed with Tris-EDTA buffer (pH 9.0, Epitope Retrieval Solution2) for 20 mins

Immunohistochemistry (Frozen sections) - Anti-GABA A Receptor alpha 3/GABRA3 antibody [EPR28364-82] (AB316969)
  • IHC-Fr

Supplier Data

Immunohistochemistry (Frozen sections) - Anti-GABA A Receptor alpha 3/GABRA3 antibody [EPR28364-82] (AB316969)

Immunohistochemical analysis of 4% PFA-fixed, 0.2% Triton X-100 permeabilized frozen Mouse cerebrum (fresh frozen) tissue labeling GABA A Receptor alpha 3/GABRA3 with ab316969 at 1/100 (4.88 ug/ml) dilution followed by ab150081 Goat Anti-Rabbit IgG H&L (Alexa Fluor® 488) preadsorbed at 1/1000 (2 ug/mL) dilution (Green).

Panel A : merged staining of anti-GABRA3 (ab316969, green), anti-NeuN (ab190565, grey) and anti-GFAP (ab201732, magenta) on mouse cerebrum.
Panel B : anti-GABRA3 stained on mouse cerebrum.
Panel C : anti-NeuN stained in neurons of mouse cerebrum.
Panel D : anti-GFAP stained in astrocytes of mouse cerebrum.
The section was incubated in two rounds of staining : in the order of ab316969 and ab190565, ab201732 for 1 hr at room temperature. The nuclear counterstain was DAPI (Blue). The section was then mounted using Fluoromount®.The immunostaining was performed on a Leica Biosystems BOND® RX instrument. Image was taken with a confocal microscope (Leica-Microsystems, TCS SP8).

Secondary antibody control : Secondary antibody is ab150081 Goat Anti-Rabbit IgG H&L (Alexa Fluor® 488) preadsorbedat 1/1000 (2 ug/mL) dilution.

Immunohistochemistry (Frozen sections) - Anti-GABA A Receptor alpha 3/GABRA3 antibody [EPR28364-82] (AB316969)
  • IHC-Fr

Supplier Data

Immunohistochemistry (Frozen sections) - Anti-GABA A Receptor alpha 3/GABRA3 antibody [EPR28364-82] (AB316969)

Immunohistochemical analysis of 4% PFA-fixed, 0.2% Triton X-100 permeabilized frozen Rat cerebrum (fresh frozen) tissue labeling GABA A Receptor alpha 3/GABRA3 with ab316969 at 1/100 (4.88 ug/ml) dilution followed by ab150081 Goat Anti-Rabbit IgG H&L (Alexa Fluor® 488) preadsorbed at 1/1000 (2 ug/mL) dilution (Green).

Panel A : merged staining of anti-GABRA3 (ab316969, green), anti-NeuN (ab190565, grey) and anti-GFAP (ab201732, magenta) on rat cerebrum.
Panel B : anti-GABRA3 stained on rat cerebrum.
Panel C : anti-NeuN stained in neurons of rat cerebrum.
Panel D : anti-GFAP stained in astrocytes of rat cerebrum.
The section was incubated in two rounds of staining : in the order of ab316969 and ab190565, ab201732 for 1 hr at room temperature. The nuclear counterstain was DAPI (Blue). The section was then mounted using Fluoromount®.The immunostaining was performed on a Leica Biosystems BOND® RX instrument. Image was taken with a confocal microscope (Leica-Microsystems, TCS SP8).

Secondary antibody control : Secondary antibody is ab150081 Goat Anti-Rabbit IgG H&L (Alexa Fluor® 488) preadsorbedat 1/1000 (2 ug/mL) dilution.

Immunohistochemistry (Formalin/PFA-fixed paraffin-embedded sections) - Anti-GABA A Receptor alpha 3/GABRA3 antibody [EPR28364-82] (AB316969)
  • IHC-P

Supplier Data

Immunohistochemistry (Formalin/PFA-fixed paraffin-embedded sections) - Anti-GABA A Receptor alpha 3/GABRA3 antibody [EPR28364-82] (AB316969)

Immunohistochemical analysis of paraffin-embedded Mouse spleen tissue labeling GABA A Receptor alpha 3/GABRA3 with ab316969 at 1/1000 (0.488 ug/ml) dilution, followed by a ready to use LeicaDS9800 (Bond™ Polymer Refine Detection).

Negative control : no staining on mouse spleen. The section was incubated with ab316969 for 30 mins at room temperature.
The immunostaining was performed on a Leica Biosystems BOND® RX instrument

Counterstained with Hematoxylin.

Secondary antibody only control : Secondary antibody is a ready to use LeicaDS9800 (Bond™ Polymer Refine Detection).

Heat mediated antigen retrieval was performed with Tris-EDTA buffer (pH 9.0, Epitope Retrieval Solution2) for 20 mins

Immunohistochemistry (Formalin/PFA-fixed paraffin-embedded sections) - Anti-GABA A Receptor alpha 3/GABRA3 antibody [EPR28364-82] (AB316969)
  • IHC-P

Supplier Data

Immunohistochemistry (Formalin/PFA-fixed paraffin-embedded sections) - Anti-GABA A Receptor alpha 3/GABRA3 antibody [EPR28364-82] (AB316969)

Immunohistochemical analysis of paraffin-embedded Rat spleen tissue labeling GABA A Receptor alpha 3/GABRA3 with ab316969 at 1/1000 (0.488 ug/ml) dilution, followed by a ready to use LeicaDS9800 (Bond™ Polymer Refine Detection).

Negative control : no staining on rat spleen. The section was incubated with ab316969 for 30 mins at room temperature.
The immunostaining was performed on a Leica Biosystems BOND® RX instrument

Counterstained with Hematoxylin.

Secondary antibody only control : Secondary antibody is a ready to use LeicaDS9800 (Bond™ Polymer Refine Detection).

Heat mediated antigen retrieval was performed with Tris-EDTA buffer (pH 9.0, Epitope Retrieval Solution2) for 20 mins

Immunohistochemistry (Frozen sections) - Anti-GABA A Receptor alpha 3/GABRA3 antibody [EPR28364-82] (AB316969)
  • IHC-Fr

Supplier Data

Immunohistochemistry (Frozen sections) - Anti-GABA A Receptor alpha 3/GABRA3 antibody [EPR28364-82] (AB316969)

Immunohistochemical analysis of 4% PFA-fixed, 0.2% Triton X-100 permeabilized frozen Mouse spleen (fresh frozen) tissue labeling GABA A Receptor alpha 3/GABRA3 with ab316969 at 1/100 (4.88 ug/ml) dilution followed by ab150081 Goat Anti-Rabbit IgG H&L (Alexa Fluor® 488) preadsorbed at 1/1000 (2 ug/mL) dilution (Green).

Negative control : confocal image showing no staining on mouse spleen. The nuclear counterstain was DAPI (Blue). The section was incubated with ab316969 for 60 mins at room temperature. The section was then mounted using Fluoromount®.The immunostaining was performed on a Leica Biosystems BOND® RX instrument. Image was taken with a confocal microscope (Leica-Microsystems, TCS SP8).

Secondary antibody control : Secondary antibody is ab150081 Goat Anti-Rabbit IgG H&L (Alexa Fluor® 488) preadsorbedat 1/1000 (2 ug/mL) dilution.

Immunohistochemistry (Frozen sections) - Anti-GABA A Receptor alpha 3/GABRA3 antibody [EPR28364-82] (AB316969)
  • IHC-Fr

Supplier Data

Immunohistochemistry (Frozen sections) - Anti-GABA A Receptor alpha 3/GABRA3 antibody [EPR28364-82] (AB316969)

Immunohistochemical analysis of 4% PFA-fixed, 0.2% Triton X-100 permeabilized frozen Rat spleen (fresh frozen) tissue labeling GABA A Receptor alpha 3/GABRA3 with ab316969 at 1/100 (4.88 ug/ml) dilution followed by ab150081 Goat Anti-Rabbit IgG H&L (Alexa Fluor® 488) preadsorbed at 1/1000 (2 ug/mL) dilution (Green).

Negative control : confocal image showing no staining on rat spleen. The nuclear counterstain was DAPI (Blue). The section was incubated with ab316969 for 60 mins at room temperature. The section was then mounted using Fluoromount®.The immunostaining was performed on a Leica Biosystems BOND® RX instrument. Image was taken with a confocal microscope (Leica-Microsystems, TCS SP8).

Secondary antibody control : Secondary antibody is ab150081 Goat Anti-Rabbit IgG H&L (Alexa Fluor® 488) preadsorbedat 1/1000 (2 ug/mL) dilution.

Western blot - Anti-GABA A Receptor alpha 3/GABRA3 antibody [EPR28364-82] (AB316969)
  • WB

Supplier Data

Western blot - Anti-GABA A Receptor alpha 3/GABRA3 antibody [EPR28364-82] (AB316969)

Low expression : MCF7 (PMID : 26869349), HepG2.

The expression profile/ molecular weight observed is consistent with what has been described in the literature (PMID : 28472809).

In Western blot, Anti-GAPDH antibody [EPR16891] - Loading Control (ab181602) staining at 1/200000 dilution.

All lanes:

Western blot - Anti-GABA A Receptor alpha 3/GABRA3 antibody [EPR28364-82] (ab316969) at 1/1000 dilution

Lane 1:

SW1353 (human chondrosarcoma fibroblast) whole cell lysate at 20 µg with NFDM/TBST

Lane 2:

MCF7 (human breast adenocarcinoma epithelial cell) whole cell lysate at 20 µg with NFDM/TBST

Lane 3:

HepG2 (human hepatocellar carcinoma epithelial cell) whole cell lysate at 20 µg with NFDM/TBST

Secondary

All lanes:

Western blot - Goat Anti-Rabbit IgG H&L (HRP) (<a href='/en-us/products/secondary-antibodies/goat-rabbit-igg-h-l-hrp-ab97051'>ab97051</a>) at 1/100000 dilution

Observed band size: 56 kDa,36 kDa

false

Exposure time: 48s

Western blot - Anti-GABA A Receptor alpha 3/GABRA3 antibody [EPR28364-82] (AB316969)
  • WB

Supplier Data

Western blot - Anti-GABA A Receptor alpha 3/GABRA3 antibody [EPR28364-82] (AB316969)

Negative control : liver (PMID : 26869349), spleen (PMID : 26869349).

In lanes 1-9, the lysates were stored at -80°C prior to Western Blotting. The bands beneath the target band (56 kDa) are likey to be degradation products. In lanes 10-11, the lysates were freshly made and used for Western Blotting immediately to minimize protein degradation.

Lanes 1-4 use Goat Anti-Rabbit IgG (HRP) with minimal cross-reactivity to human IgG at 1/2000. Lanes 5-11 use Goat Anti-Rabbit IgG, (H+L), Peroxidase conjugated (ab97051) at 1/100000.

In Western blot, Anti-GAPDH antibody [EPR16891] - Loading Control (ab181602) staining at 1/200000 dilution.

Exposure time : Lanes 1-4 : 3 seconds, lanes 5-7 : 15 seconds, lanes 8-9 : 3 seconds, lanes 10-11 : 59 seconds

All lanes:

Western blot - Anti-GABA A Receptor alpha 3/GABRA3 antibody [EPR28364-82] (ab316969) at 1/1000 dilution

Lane 1:

Human hippocampus tissue lysate at 20 µg with NFDM/TBST

Lane 2:

Human hypothalamus tissue lysate at 20 µg with NFDM/TBST

Lane 3:

Human liver tissue lysate at 20 µg with NFDM/TBST

Lane 4:

Human spleen tissue lysate at 20 µg with NFDM/TBST

Lanes 5 and 10:

Mouse brain tissue lysate at 20 µg with NFDM/TBST

Lane 6:

Mouse cerebellum tissue lysate at 20 µg with NFDM/TBST

Lane 7:

Mouse spleen tissue lysate at 20 µg with NFDM/TBST

Lanes 8 and 11:

Rat brain tissue lysate at 20 µg with NFDM/TBST

Lane 9:

Rat spleen tissue lysate at 20 µg with NFDM/TBST

Secondary

Lanes 1 - 4:

Goat Anti-Rabbit IgG (HRP) with minimal cross-reactivity with human IgG at 1/2000 dilution

Lanes 5 - 11:

Western blot - Goat Anti-Rabbit IgG H&L (HRP) (<a href='/en-us/products/secondary-antibodies/goat-rabbit-igg-h-l-hrp-ab97051'>ab97051</a>) at 1/100000 dilution

Observed band size: 56 kDa,36 kDa

false

Western blot - Anti-GABA A Receptor alpha 3/GABRA3 antibody [EPR28364-82] (AB316969)
  • WB

Supplier Data

Western blot - Anti-GABA A Receptor alpha 3/GABRA3 antibody [EPR28364-82] (AB316969)

This antibody does not cross-react with human GBRA1, GBRA2, GBRA4, GBRA5, GBRA6.

Samples are non-boiled as boiling may cause protein aggregation.

In Western blot, Anti-Histone H3 antibody [EPR16987] - Nuclear Marker and ChIP Grade (ab176842) staining at 1/100000 dilution.

In Western blot, Anti-Myc tag antibody staining at 1/1000 dilution.

All lanes:

Western blot - Anti-GABA A Receptor alpha 3/GABRA3 antibody [EPR28364-82] (ab316969) at 1/1000 dilution

Lane 1:

293T (human embryonic kidney epithelial cell) transfected with an empty vector containing a myc-His-tag®, whole cell lysate at 20 µg with NFDM/TBST

Lane 2:

293T transfected with a human GBRA1 expression vector containing a myc-His-tag®, whole cell lysate at 20 µg with NFDM/TBST

Lane 3:

293T transfected with a human GBRA2 expression vector containing a myc-His-tag®, whole cell lysate at 20 µg with NFDM/TBST

Lane 4:

293T transfected with a human GBRA3 expression vector containing a myc-His-tag®, whole cell lysate at 20 µg with NFDM/TBST

Lane 5:

293T transfected with a human GBRA4 expression vector containing a myc-His-tag®, whole cell lysate at 20 µg with NFDM/TBST

Lane 6:

293T transfected with a human GBRA5 expression vector containing a myc-His-tag®, whole cell lysate at 20 µg with NFDM/TBST

Lane 7:

293T transfected with a human GBRA6 expression vector containing a myc-His-tag®, whole cell lysate at 20 µg with NFDM/TBST

Secondary

All lanes:

Western blot - Goat Anti-Rabbit IgG H&L (HRP) (<a href='/en-us/products/secondary-antibodies/goat-rabbit-igg-h-l-hrp-ab97051'>ab97051</a>) at 1/100000 dilution

Observed band size: 56 kDa,15 kDa

false

Exposure time: 180s

  • Carrier free

    Anti-GABA A Receptor alpha 3/GABRA3 antibody [EPR28364-82] - BSA and Azide free

Key facts

Host species

Rabbit

Clonality

Monoclonal

Clone number

EPR28364-82

Isotype

IgG

Carrier free

No

Reacts with

Human, Mouse, Rat

Applications

WB, IHC-P, IP, IHC-Fr

applications

Immunogen

The exact immunogen used to generate this antibody is proprietary information.

Reactivity data

{ "title": "Reactivity Data", "filters": { "stats": ["", "Species", "Dilution Info", "Notes"], "tabs": { "all-applications": {"fullname" : "All Applications", "shortname": "All Applications"}, "WB" : {"fullname" : "Western blot", "shortname":"WB"}, "IHCP" : {"fullname" : "Immunohistochemistry (Formalin/PFA-fixed paraffin-embedded sections)", "shortname":"IHC-P"}, "IHCFr" : {"fullname" : "Immunohistochemistry (Frozen sections)", "shortname":"IHC-Fr"}, "IP" : {"fullname" : "Immunoprecipitation", "shortname":"IP"}, "ICCIF" : {"fullname" : "Immunocytochemistry/ Immunofluorescence", "shortname":"ICC/IF"}, "FlowCyt" : {"fullname" : "Flow Cytometry", "shortname":"Flow Cyt"} }, "product-promise": { "all": "all", "testedAndGuaranteed": "tested", "guaranteed": "expected", "predicted": "predicted", "notRecommended": "not-recommended" } }, "values": { "Human": { "WB-species-checked": "testedAndGuaranteed", "WB-species-dilution-info": "1/1000", "WB-species-notes": "<p></p>", "IHCP-species-checked": "testedAndGuaranteed", "IHCP-species-dilution-info": "1/100", "IHCP-species-notes": "<p></p> Perform heat-mediated antigen retrieval with citrate buffer pH 6 before commencing with IHC staining protocol.", "IHCFr-species-checked": "guaranteed", "IHCFr-species-dilution-info": "", "IHCFr-species-notes": "", "IP-species-checked": "testedAndGuaranteed", "IP-species-dilution-info": "1/30", "IP-species-notes": "<p></p>", "ICCIF-species-checked": "notRecommended", "ICCIF-species-dilution-info": "", "ICCIF-species-notes": "<p></p>", "FlowCyt-species-checked": "notRecommended", "FlowCyt-species-dilution-info": "", "FlowCyt-species-notes": "<p></p>" }, "Mouse": { "WB-species-checked": "testedAndGuaranteed", "WB-species-dilution-info": "1/1000", "WB-species-notes": "<p></p>", "IHCP-species-checked": "testedAndGuaranteed", "IHCP-species-dilution-info": "1/100", "IHCP-species-notes": "<p></p> Perform heat-mediated antigen retrieval with Tris/EDTA buffer pH 9.0 before commencing with IHC staining protocol.", "IHCFr-species-checked": "testedAndGuaranteed", "IHCFr-species-dilution-info": "1/100", "IHCFr-species-notes": "<p></p>", "IP-species-checked": "guaranteed", "IP-species-dilution-info": "", "IP-species-notes": "", "ICCIF-species-checked": "notRecommended", "ICCIF-species-dilution-info": "", "ICCIF-species-notes": "", "FlowCyt-species-checked": "notRecommended", "FlowCyt-species-dilution-info": "", "FlowCyt-species-notes": "" }, "Rat": { "WB-species-checked": "testedAndGuaranteed", "WB-species-dilution-info": "1/1000", "WB-species-notes": "<p></p>", "IHCP-species-checked": "testedAndGuaranteed", "IHCP-species-dilution-info": "1/100", "IHCP-species-notes": "<p></p> Perform heat-mediated antigen retrieval with Tris/EDTA buffer pH 9.0 before commencing with IHC staining protocol.", "IHCFr-species-checked": "testedAndGuaranteed", "IHCFr-species-dilution-info": "1/100", "IHCFr-species-notes": "<p></p>", "IP-species-checked": "guaranteed", "IP-species-dilution-info": "", "IP-species-notes": "", "ICCIF-species-checked": "notRecommended", "ICCIF-species-dilution-info": "", "ICCIF-species-notes": "", "FlowCyt-species-checked": "notRecommended", "FlowCyt-species-dilution-info": "", "FlowCyt-species-notes": "" }, "Transfected cell lysate - Human": { "WB-species-checked": "testedAndGuaranteed", "WB-species-dilution-info": "1/1000", "WB-species-notes": "<p></p>", "IHCP-species-checked": "notRecommended", "IHCP-species-dilution-info": "", "IHCP-species-notes": "", "IHCFr-species-checked": "notRecommended", "IHCFr-species-dilution-info": "", "IHCFr-species-notes": "", "IP-species-checked": "notRecommended", "IP-species-dilution-info": "", "IP-species-notes": "", "ICCIF-species-checked": "notRecommended", "ICCIF-species-dilution-info": "", "ICCIF-species-notes": "", "FlowCyt-species-checked": "notRecommended", "FlowCyt-species-dilution-info": "", "FlowCyt-species-notes": "" } } }

Product details

Patented technology
Our RabMAb® technology is a patented hybridoma-based technology for making rabbit monoclonal antibodies. For details on our patents, please refer to RabMAb® patents.

What are the advantages of a recombinant monoclonal antibody?
This product is a recombinant monoclonal antibody, which offers several advantages including:

  • - High batch-to-batch consistency and reproducibility
  • - Improved sensitivity and specificity
  • - Long-term security of supply
  • - Animal-free batch production

For more information, read more on recombinant antibodies.

Properties and storage information

Form
Liquid
Purification technique
Affinity purification Protein A
Storage buffer
pH: 7.2 - 7.4 Preservative: 0.01% Sodium azide Constituents: PBS, 40% Glycerol (glycerin, glycerine), 0.05% BSA
Shipped at conditions
Blue Ice
Appropriate short-term storage duration
1-2 weeks
Appropriate short-term storage conditions
+4°C
Appropriate long-term storage conditions
-20°C
Aliquoting information
Upon delivery aliquot
Storage information
Avoid freeze / thaw cycle

Product protocols

For this product, it's our understanding that no specific protocols are required. You can visit:

Target data

Alpha subunit of the heteropentameric ligand-gated chloride channel gated by gamma-aminobutyric acid (GABA), a major inhibitory neurotransmitter in the brain (PubMed : 16412217, PubMed : 29053855). GABA-gated chloride channels, also named GABA(A) receptors (GABAAR), consist of five subunits arranged around a central pore and contain GABA active binding site(s) located at the alpha and beta subunit interface(s) (By similarity). When activated by GABA, GABAARs selectively allow the flow of chloride anions across the cell membrane down their electrochemical gradient (PubMed : 16412217, PubMed : 29053855). Chloride influx into the postsynaptic neuron following GABAAR opening decreases the neuron ability to generate a new action potential, thereby reducing nerve transmission (PubMed : 16412217, PubMed : 29053855).
See full target information GABRA3

Product promise

We are committed to supporting your work with high-quality reagents, and we're here for you every step of the way. In the unlikely event that one of our products does not perform as expected, you're protected by our Product Promise.
For full details, please see our Terms & Conditions

Please note: All products are 'FOR RESEARCH USE ONLY. NOT FOR USE IN DIAGNOSTIC OR THERAPEUTIC PROCEDURES'.

For licensing inquiries, please contact partnerships@abcam.com