JavaScript is disabled in your browser. Please enable JavaScript to view this website.
AB281564

Anti-GABA A Receptor alpha 5/GABRA5 antibody [EPR24003-118] - BSA and Azide free

Be the first to review this product! Submit a review

|

(0 Publication)

Rabbit Recombinant Monoclonal GABA A Receptor alpha 5/GABRA5 antibody. Carrier free. Suitable for IP, WB, IHC-P and reacts with Mouse, Rat samples.

View Alternative Names

Gamma-aminobutyric acid receptor subunit alpha-5, GABA(A) receptor subunit alpha-5, GABAAR subunit alpha-5, Gabra5

7 Images
Immunohistochemistry (Formalin/PFA-fixed paraffin-embedded sections) - Anti-GABA A Receptor alpha 5/GABRA5 antibody [EPR24003-118] - BSA and Azide free (AB281564)
  • IHC-P

Supplier Data

Immunohistochemistry (Formalin/PFA-fixed paraffin-embedded sections) - Anti-GABA A Receptor alpha 5/GABRA5 antibody [EPR24003-118] - BSA and Azide free (AB281564)

This data was developed using ab259880, the same antibody clone in a different buffer formulation.

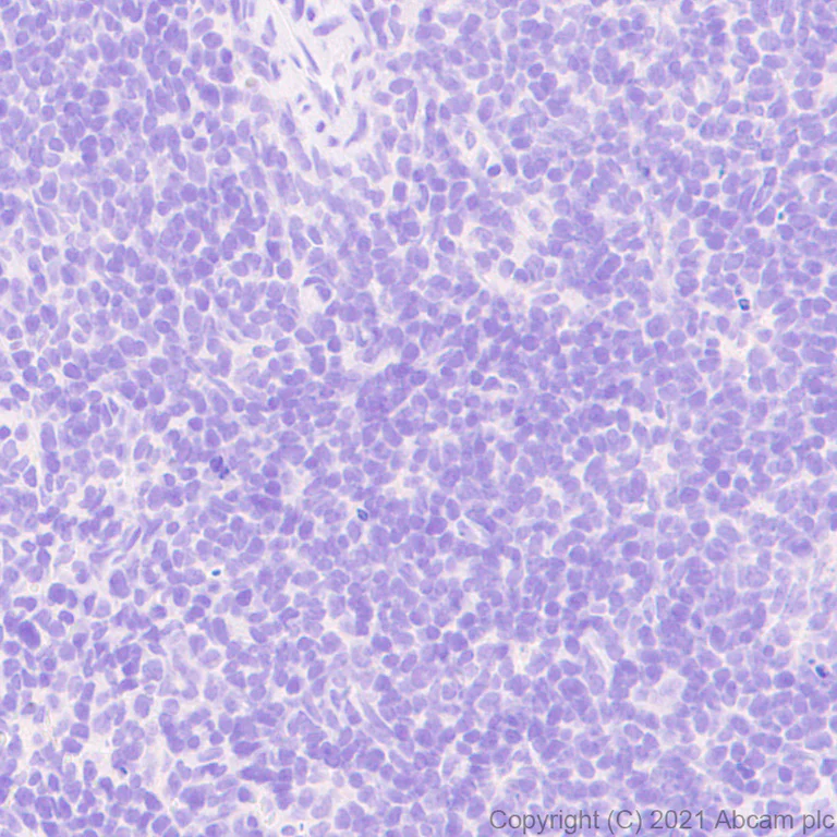
Immunohistochemical analysis of paraffin-embedded Rat hippocampus tissue labelling GABA A Receptor alpha 5/GABRA5 with ab259880 at 1/50 (11.4 ug/ml) dilution followed by a ready to use LeicaDS9800 (Bond™ Polymer Refine Detection). Positive staining on rat hippocampus. The section was incubated with ab259880 for 30 mins at room temperature.The immunostaining was performed on a Leica Biosystems BOND® RX instrument Counterstained with Hematoxylin.

Secondary antibody only control : Secondary antibody is a ready to use LeicaDS9800 (Bond™ Polymer Refine Detection).

Heat mediated antigen retrieval with Tris-EDTA buffer (pH 9.0, epitope retrieval solution2) for 20 mins.

Immunohistochemistry (Formalin/PFA-fixed paraffin-embedded sections) - Anti-GABA A Receptor alpha 5/GABRA5 antibody [EPR24003-118] - BSA and Azide free (AB281564)
  • IHC-P

Supplier Data

Immunohistochemistry (Formalin/PFA-fixed paraffin-embedded sections) - Anti-GABA A Receptor alpha 5/GABRA5 antibody [EPR24003-118] - BSA and Azide free (AB281564)

This data was developed using ab259880, the same antibody clone in a different buffer formulation.

Immunohistochemical analysis of paraffin-embedded Mouse spleen tissue labelling GABA A Receptor alpha 5/GABRA5 with ab259880 at 1/50 (11.4 ug/ml) dilution followed by a ready to use LeicaDS9800 (Bond™ Polymer Refine Detection). Negative control : almost no staining on mouse spleen.The section was incubated with ab259880 for 30 mins at room temperature.The immunostaining was performed on a Leica Biosystems BOND RX instrument Counterstained with Hematoxylin.

Secondary antibody only control : Secondary antibody is a ready to use LeicaDS9800 (Bond™ Polymer Refine Detection).

Heat mediated antigen retrieval with Tris-EDTA buffer (pH 9.0, epitope retrieval solution2) for 20 mins.

Immunohistochemistry (Formalin/PFA-fixed paraffin-embedded sections) - Anti-GABA A Receptor alpha 5/GABRA5 antibody [EPR24003-118] - BSA and Azide free (AB281564)
  • IHC-P

Supplier Data

Immunohistochemistry (Formalin/PFA-fixed paraffin-embedded sections) - Anti-GABA A Receptor alpha 5/GABRA5 antibody [EPR24003-118] - BSA and Azide free (AB281564)

This data was developed using ab259880, the same antibody clone in a different buffer formulation.

Immunohistochemical analysis of paraffin-embedded Mouse hippocampus tissue labelling GABA A Receptor alpha 5/GABRA5 with ab259880 at 1/50 (11.4 ug/ml) dilution followed by a ready to use LeicaDS9800 (Bond™ Polymer Refine Detection). Positive staining on mouse hippocampus (PMID : 27364953). The section was incubated with ab259880 for 30 mins at room temperature. The immunostaining was performed on a Leica Biosystems BOND® RX. instrument Counterstained with Hematoxylin.

Secondary antibody only control : Secondary antibody is a ready to use LeicaDS9800 (Bond™ Polymer Refine Detection).

Heat mediated antigen retrieval with Tris-EDTA buffer (pH 9.0, epitope retrieval solution2) for 20 mins.

Western blot - Anti-GABA A Receptor alpha 5/GABRA5 antibody [EPR24003-118] - BSA and Azide free (AB281564)
  • WB

Lab

Western blot - Anti-GABA A Receptor alpha 5/GABRA5 antibody [EPR24003-118] - BSA and Azide free (AB281564)

This data was developed using 259880, the same antibody clone in a different buffer formulation.

Blocking and diluting buffer and concentration : 5% NFDM/TBST.

This blot was developed using a higher sensitivity ECL substrate.

Exposure time : 3 minutes.

All lanes:

Western blot - Anti-GABA A Receptor alpha 5/GABRA5 antibody [EPR24003-118] (<a href='/en-us/products/primary-antibodies/gaba-a-receptor-alpha-5-gabra5-antibody-epr24003-118-ab259880'>ab259880</a>) at 1/1000 dilution

All lanes:

Rat hippocampus tissue lysate at 20 µg

Secondary

All lanes:

Western blot - Goat Anti-Rabbit IgG H&L (HRP) (<a href='/en-us/products/secondary-antibodies/goat-rabbit-igg-h-l-hrp-ab97051'>ab97051</a>) at 1/100000 dilution

Predicted band size: 52 kDa

Observed band size: 55 kDa

false

Immunoprecipitation - Anti-GABA A Receptor alpha 5/GABRA5 antibody [EPR24003-118] - BSA and Azide free (AB281564)
  • IP

Supplier Data

Immunoprecipitation - Anti-GABA A Receptor alpha 5/GABRA5 antibody [EPR24003-118] - BSA and Azide free (AB281564)

This data was developed using ab259880, the same antibody clone in a different buffer formulation.

GABA A Receptor alpha 5/GABRA5 was immunoprecipitated from 0.35 mg Rat brain tissue lysate with ab259880 at 1/30 dilution (2ug in 0.35mg lysates). Western blot was performed on the immunoprecipitate using ab259880 at 1/1000 dilution. VeriBlot for IP Detection Reagent (HRP)(ab131366) was used at 1/5000 dilution.

Lane 1 : Rat brain tissue lysate 10 ug

Lane 2 : ab259880 IP in rat brain tissue lysate

Lane 3 : Rabbit monoclonal IgG (ab172730) instead of ab259880 in rat brain tissue lysate

Blocking and dilution buffer and concentration : 5% NFDM/TBST.

Exposure time : 93 seconds

This blot was developed using a higher sensitivity ECL substrate.

All lanes:

Immunoprecipitation - Anti-GABA A Receptor alpha 5/GABRA5 antibody [EPR24003-118] (<a href='/en-us/products/primary-antibodies/gaba-a-receptor-alpha-5-gabra5-antibody-epr24003-118-ab259880'>ab259880</a>)

Predicted band size: 52 kDa

Observed band size: 55 kDa

false

Immunoprecipitation - Anti-GABA A Receptor alpha 5/GABRA5 antibody [EPR24003-118] - BSA and Azide free (AB281564)
  • IP

Supplier Data

Immunoprecipitation - Anti-GABA A Receptor alpha 5/GABRA5 antibody [EPR24003-118] - BSA and Azide free (AB281564)

This data was developed using ab259880, the same antibody clone in a different buffer formulation.

GABA A Receptor alpha 5/GABRA5 was immunoprecipitated from 0.35 mg Mouse brain tissue lysate with ab259880 at 1/30 dilution (2ug in 0.35mg lysates). Western blot was performed on the immunoprecipitate using ab259880 at 1/1000 dilution. VeriBlot for IP Detection Reagent (HRP)(ab131366) was used at 1/5000 dilution.

Lane 1 : Mouse brain tissue lysate 10 ug

Lane 2 : ab259880 IP in Mouse brain tissue lysate

Lane 3 : Rabbit monoclonal IgG (ab172730) instead of ab259880 in mouse brain tissue lysate

Blocking and dilution buffer and concentration : 5% NFDM/TBST.

Exposure time : 93 seconds

This blot was developed using a higher sensitivity ECL substrate.

All lanes:

Immunoprecipitation - Anti-GABA A Receptor alpha 5/GABRA5 antibody [EPR24003-118] (<a href='/en-us/products/primary-antibodies/gaba-a-receptor-alpha-5-gabra5-antibody-epr24003-118-ab259880'>ab259880</a>)

Predicted band size: 52 kDa

Observed band size: 55 kDa

false

Western blot - Anti-GABA A Receptor alpha 5/GABRA5 antibody [EPR24003-118] - BSA and Azide free (AB281564)
  • WB

Lab

Western blot - Anti-GABA A Receptor alpha 5/GABRA5 antibody [EPR24003-118] - BSA and Azide free (AB281564)

This data was developed using 259880, the same antibody clone in a different buffer formulation.

Blocking and diluting buffer and concentration : 5% NFDM/TBST.

Exposure time : 3 minutes.

All lanes:

Western blot - Anti-GABA A Receptor alpha 5/GABRA5 antibody [EPR24003-118] (<a href='/en-us/products/primary-antibodies/gaba-a-receptor-alpha-5-gabra5-antibody-epr24003-118-ab259880'>ab259880</a>) at 1/1000 dilution

Lane 1:

Mouse brain tissue lysate at 20 µg

Lane 2:

Mouse hippocampus tissue lysate at 20 µg

Secondary

All lanes:

Western blot - Goat Anti-Rabbit IgG H&L (HRP) (<a href='/en-us/products/secondary-antibodies/goat-rabbit-igg-h-l-hrp-ab97051'>ab97051</a>) at 1/100000 dilution

Predicted band size: 52 kDa

Observed band size: 55 kDa

false

Key facts

Host species

Rabbit

Clonality

Monoclonal

Clone number

EPR24003-118

Isotype

IgG

Carrier free

Yes

Reacts with

Mouse, Rat

Applications

IHC-P, IP, WB

applications

Immunogen

The exact immunogen used to generate this antibody is proprietary information.

Reactivity data

{ "title": "Reactivity Data", "filters": { "stats": ["", "Species", "Dilution Info", "Notes"], "tabs": { "all-applications": {"fullname" : "All Applications", "shortname": "All Applications"}, "ICCIF" : {"fullname" : "Immunocytochemistry/ Immunofluorescence", "shortname":"ICC/IF"}, "IP" : {"fullname" : "Immunoprecipitation", "shortname":"IP"}, "WB" : {"fullname" : "Western blot", "shortname":"WB"}, "IHCP" : {"fullname" : "Immunohistochemistry (Formalin/PFA-fixed paraffin-embedded sections)", "shortname":"IHC-P"}, "IHCFr" : {"fullname" : "Immunohistochemistry (Frozen sections)", "shortname":"IHC-Fr"} }, "product-promise": { "all": "all", "testedAndGuaranteed": "tested", "guaranteed": "expected", "predicted": "predicted", "notRecommended": "not-recommended" } }, "values": { "Human": { "ICCIF-species-checked": "notRecommended", "ICCIF-species-dilution-info": "", "ICCIF-species-notes": "", "IP-species-checked": "notRecommended", "IP-species-dilution-info": "", "IP-species-notes": "", "WB-species-checked": "notRecommended", "WB-species-dilution-info": "", "WB-species-notes": "<p></p>", "IHCP-species-checked": "notRecommended", "IHCP-species-dilution-info": "", "IHCP-species-notes": "<p></p>", "IHCFr-species-checked": "notRecommended", "IHCFr-species-dilution-info": "", "IHCFr-species-notes": "" }, "Mouse": { "ICCIF-species-checked": "notRecommended", "ICCIF-species-dilution-info": "", "ICCIF-species-notes": "<p></p>", "IP-species-checked": "testedAndGuaranteed", "IP-species-dilution-info": "", "IP-species-notes": "<p></p>", "WB-species-checked": "testedAndGuaranteed", "WB-species-dilution-info": "", "WB-species-notes": "<p></p>", "IHCP-species-checked": "testedAndGuaranteed", "IHCP-species-dilution-info": "", "IHCP-species-notes": "<p></p>", "IHCFr-species-checked": "notRecommended", "IHCFr-species-dilution-info": "", "IHCFr-species-notes": "<p></p>" }, "Rat": { "ICCIF-species-checked": "notRecommended", "ICCIF-species-dilution-info": "", "ICCIF-species-notes": "<p></p>", "IP-species-checked": "testedAndGuaranteed", "IP-species-dilution-info": "", "IP-species-notes": "<p></p>", "WB-species-checked": "testedAndGuaranteed", "WB-species-dilution-info": "", "WB-species-notes": "<p></p>", "IHCP-species-checked": "testedAndGuaranteed", "IHCP-species-dilution-info": "", "IHCP-species-notes": "<p></p>", "IHCFr-species-checked": "notRecommended", "IHCFr-species-dilution-info": "", "IHCFr-species-notes": "<p></p>" } } }

Product details

ab281564 is the carrier-free version of ab259880.

Patented technology
Our RabMAb® technology is a patented hybridoma-based technology for making rabbit monoclonal antibodies. For details on our patents, please refer to RabMAb® patents.

What are the advantages of a recombinant monoclonal antibody?
This product is a recombinant monoclonal antibody, which offers several advantages including:

  • - High batch-to-batch consistency and reproducibility
  • - Improved sensitivity and specificity
  • - Long-term security of supply
  • - Animal-free batch production

For more information, read more on recombinant antibodies.

Conjugation ready
Our carrier-free antibodies are typically supplied in a PBS-only formulation, purified and free of BSA, sodium azide and glycerol. This conjugation-ready format is designed for use with fluorochromes, metal isotopes, oligonucleotides, and enzymes, which makes them ideal for antibody labelling, functional and cell-based assays, flow-based assays (e.g. mass cytometry) and Multiplex Imaging applications.

Use our conjugation kits for antibody conjugates that are ready-to-use in as little as 20 minutes with 1 minute hands-on-time and 100% antibody recovery: available for fluorescent dyes, HRP, biotin and gold.

Compatibility
This product is compatible with the Maxpar® Antibody Labeling Kit from Fluidigm, without the need for antibody preparation. Maxpar® is a trademark of Fluidigm Canada Inc.

Properties and storage information

Form
Liquid
Purification technique
Affinity purification Protein A
Storage buffer
Constituents: PBS
Shipped at conditions
Blue Ice
Appropriate short-term storage conditions
+4°C
Appropriate long-term storage conditions
+4°C

Product protocols

For this product, it's our understanding that no specific protocols are required. You can visit:

Target data

Alpha subunit of the heteropentameric ligand-gated chloride channel gated by gamma-aminobutyric acid (GABA), a major inhibitory neurotransmitter in the brain (PubMed : 14993607). GABA-gated chloride channels, also named GABA(A) receptors (GABAAR), consist of five subunits arranged around a central pore and contain GABA active binding site(s) located at the alpha and beta subunit interface(s) (By similarity). When activated by GABA, GABAARs selectively allow the flow of chloride anions across the cell membrane down their electrochemical gradient (By similarity). GABAARs containing alpha-5/GABRA5 are mainly extrasynaptic and contribute to the tonic GABAergic inhibition of the hippocampus (PubMed : 14993607). Extrasynaptic alpha-5-containing GABAARs in CA1 pyramidal neurons play a role in learning and memory processes (PubMed : 14993607).
See full target information Gabra5

Product promise

We are committed to supporting your work with high-quality reagents, and we're here for you every step of the way. In the unlikely event that one of our products does not perform as expected, you're protected by our Product Promise.
For full details, please see our Terms & Conditions

Please note: All products are 'FOR RESEARCH USE ONLY. NOT FOR USE IN DIAGNOSTIC OR THERAPEUTIC PROCEDURES'.

For licensing inquiries, please contact partnerships@abcam.com