JavaScript is disabled in your browser. Please enable JavaScript to view this website.
AB302962

Anti-GABA A Receptor alpha 5/GABRA5 antibody [N415/24]

Be the first to review this product! Submit a review

|

(1 Publication)

Mouse Recombinant Monoclonal GABA A Receptor alpha 5/GABRA5 antibody. Suitable for WB, IHC-P and reacts with Rat, Mouse samples. Cited in 1 publication.

View Alternative Names

Gamma-aminobutyric acid receptor subunit alpha-5, GABA(A) receptor subunit alpha-5, GABAAR subunit alpha-5, Gabra5

5 Images
Immunohistochemistry (Formalin/PFA-fixed paraffin-embedded sections) - Anti-GABA A Receptor alpha 5/GABRA5 antibody [N415/24] (AB302962)
  • IHC-P

Supplier Data

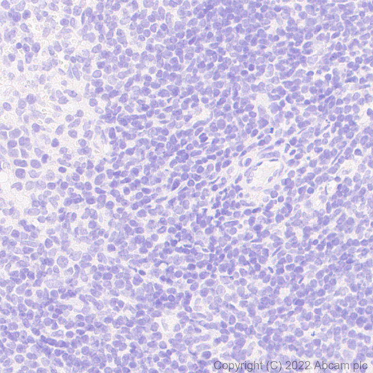
Immunohistochemistry (Formalin/PFA-fixed paraffin-embedded sections) - Anti-GABA A Receptor alpha 5/GABRA5 antibody [N415/24] (AB302962)

Immunohistochemical analysis of paraffin-embedded rat spleen tissue to label GABA A Receptor alpha 5/GABRA5 with ab302962 at 1/200 (5.59 μg/ml) followed by anti-Mouse IgG1 antibody (ab125913) for 8 mins during the Leica DS9800 kit staining procedure. Negative control : no staining on rat spleen. The section was incubated with ab302962 for 30 mins at room temperature. The immunostaining was performed on a Leica Biosystems BOND® RX instrument. Counterstained with Hematoxylin. Heat mediated antigen retrieval with Tris-EDTA buffer (pH 9.0, epitope retrieval solution 2) for 20 mins.

Immunohistochemistry (Formalin/PFA-fixed paraffin-embedded sections) - Anti-GABA A Receptor alpha 5/GABRA5 antibody [N415/24] (AB302962)
  • IHC-P

Supplier Data

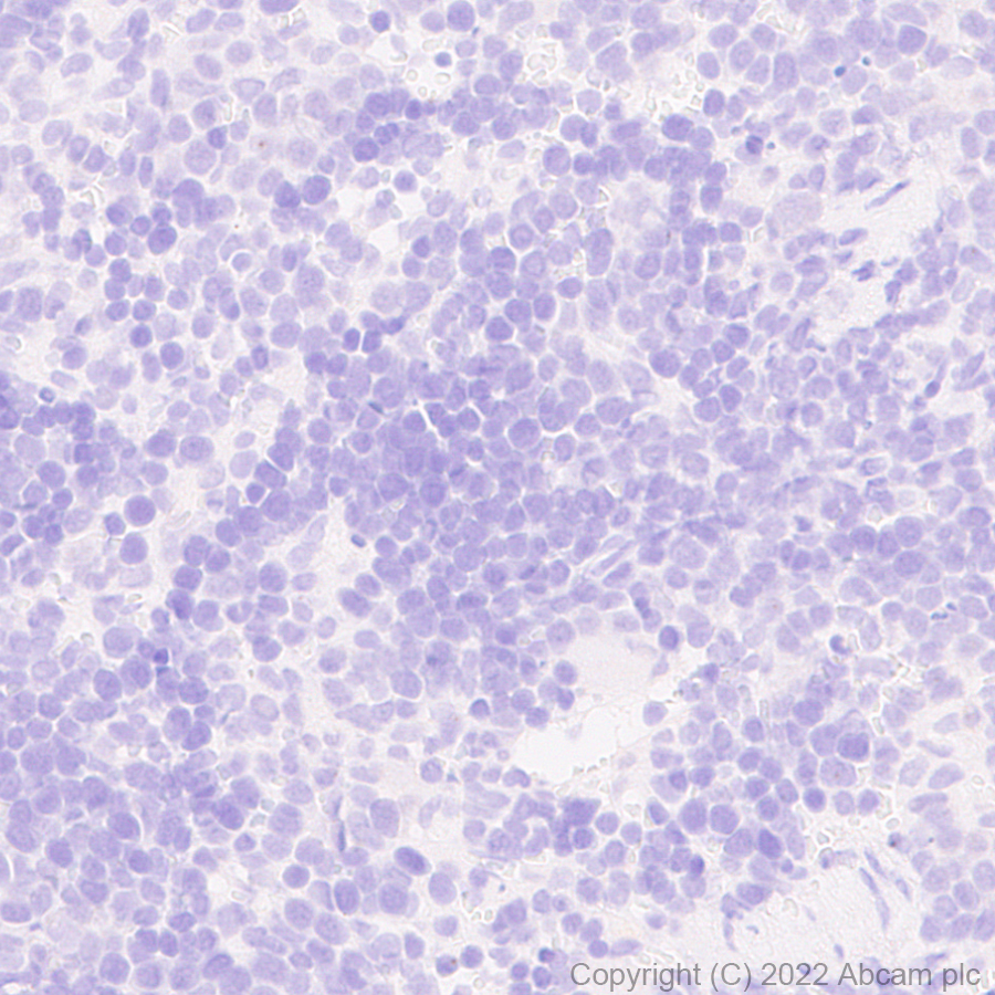
Immunohistochemistry (Formalin/PFA-fixed paraffin-embedded sections) - Anti-GABA A Receptor alpha 5/GABRA5 antibody [N415/24] (AB302962)

Immunohistochemical analysis of paraffin-embedded mouse spleen tissue to label GABA A Receptor alpha 5/GABRA5 with ab302962 at 1/200 (5.59 μg/ml) followed by anti-Mouse IgG1 antibody (ab125913) for 8 mins during the Leica DS9800 kit staining procedure. Negative control : no staining on mouse spleen. The section was incubated with ab302962 for 30 mins at room temperature. The immunostaining was performed on a Leica Biosystems BOND® RX instrument. Counterstained with Hematoxylin. Heat mediated antigen retrieval with Tris-EDTA buffer (pH 9.0, epitope retrieval solution 2) for 20 mins.

Immunohistochemistry (Formalin/PFA-fixed paraffin-embedded sections) - Anti-GABA A Receptor alpha 5/GABRA5 antibody [N415/24] (AB302962)
  • IHC-P

Supplier Data

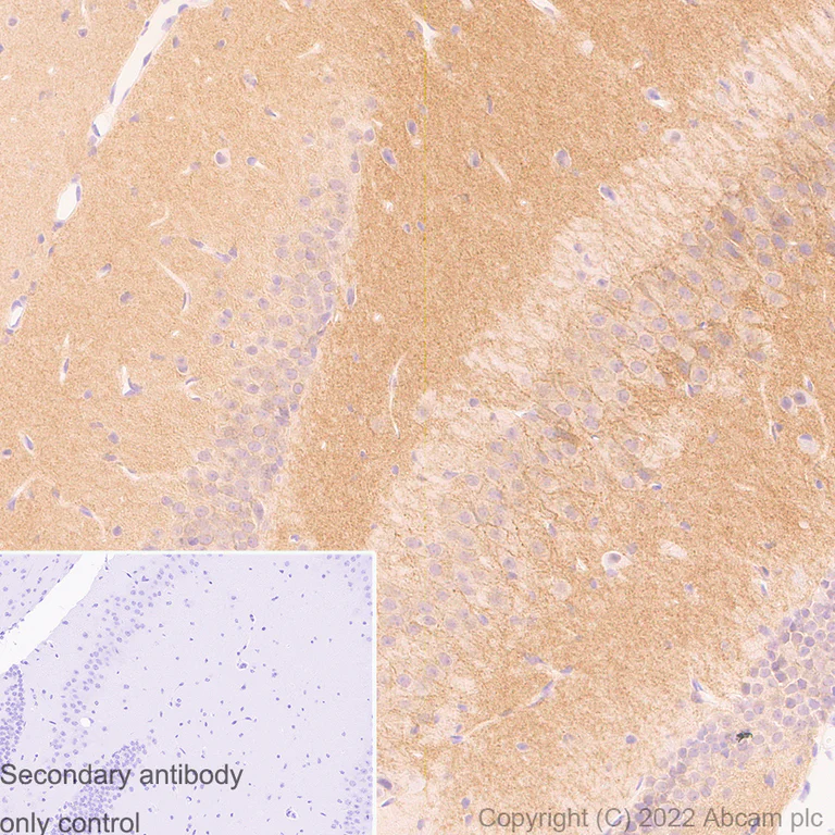
Immunohistochemistry (Formalin/PFA-fixed paraffin-embedded sections) - Anti-GABA A Receptor alpha 5/GABRA5 antibody [N415/24] (AB302962)

Immunohistochemical analysis of paraffin-embedded mouse hippocampus tissue labeling GABA A Receptor alpha 5/GABRA5 with ab302962 at 1/200 (5.59 μg/ml) followed by anti-Mouse IgG1 antibody (ab125913) for 8 mins during the Leica DS9800 kit staining procedure. Positive staining on mouse hippocampus. The section was incubated with ab302962 for 30 mins at room temperature. The immunostaining was performed on a Leica Biosystems BOND® RX instrument. Counterstained with Hematoxylin. Secondary antibody only control : Primary diluent was used instead of primary antibody, followed by anti-Mouse IgG1 antibody (ab125913). Heat mediated antigen retrieval with Tris-EDTA buffer (pH 9.0, epitope retrieval solution 2) for 20 mins.

Immunohistochemistry (Formalin/PFA-fixed paraffin-embedded sections) - Anti-GABA A Receptor alpha 5/GABRA5 antibody [N415/24] (AB302962)
  • IHC-P

Supplier Data

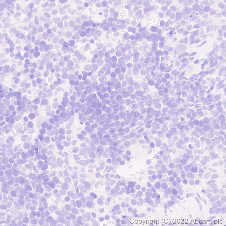
Immunohistochemistry (Formalin/PFA-fixed paraffin-embedded sections) - Anti-GABA A Receptor alpha 5/GABRA5 antibody [N415/24] (AB302962)

Immunohistochemical analysis of paraffin-embedded rat hippocampus tissue labeling GABA A Receptor alpha 5/GABRA5 with ab302962 at 1/200 (5.59 μg/ml) followed by anti-Mouse IgG1 antibody (ab125913) for 8 mins during the Leica DS9800 kit staining procedure. Positive staining on rat hippocampus. The section was incubated with ab302962 for 30 mins at room temperature. The immunostaining was performed on a Leica Biosystems BOND® RX instrument. Counterstained with Hematoxylin. Secondary antibody only control : Primary diluent was used instead of primary antibody, followed by anti-Mouse IgG1 antibody (ab125913). Heat mediated antigen retrieval with Tris-EDTA buffer (pH 9.0, epitope retrieval solution 2) for 20 mins.

Western blot - Anti-GABA A Receptor alpha 5/GABRA5 antibody [N415/24] (AB302962)
  • WB

Supplier Data

Western blot - Anti-GABA A Receptor alpha 5/GABRA5 antibody [N415/24] (AB302962)

Blocking and diluting buffer and concentration : 5% NFDM/TBST.

Negative control : spleen (human protein atlas database). Samples are non-boiled as boiling may cause protein aggregates. There is an unknown band at 130 kDa.

This blot was developed using a high sensitivity ECL substrate. The high-sensitivity ECL substrate used allows for the detection of proteins in the mid-femtogram range.

All lanes:

Western blot - Anti-GABA A Receptor alpha 5/GABRA5 antibody [N415/24] (ab302962) at 1/1000 dilution

Lane 1:

Rat hippocampus tissue lysate at 40 µg

Lane 2:

Rat spleen tissue lysate at 40 µg

Secondary

All lanes:

Peroxidase-Conjugated Goat anti-Mouse IgG (H+L) (ZB-2305) at 1/10000 dilution

Observed band size: 55 kDa

true

Exposure time: 3min

Key facts

Host species

Mouse

Clonality

Monoclonal

Clone number

N415--24

Isotype

IgG1

Carrier free

No

Reacts with

Mouse, Rat

Applications

IHC-P, WB

applications

Immunogen

The exact immunogen used to generate this antibody is proprietary information.

Reactivity data

{ "title": "Reactivity Data", "filters": { "stats": ["", "Species", "Dilution Info", "Notes"], "tabs": { "all-applications": {"fullname" : "All Applications", "shortname": "All Applications"}, "WB" : {"fullname" : "Western blot", "shortname":"WB"}, "IHCP" : {"fullname" : "Immunohistochemistry (Formalin/PFA-fixed paraffin-embedded sections)", "shortname":"IHC-P"}, "ICCIF" : {"fullname" : "Immunocytochemistry/ Immunofluorescence", "shortname":"ICC/IF"} }, "product-promise": { "all": "all", "testedAndGuaranteed": "tested", "guaranteed": "expected", "predicted": "predicted", "notRecommended": "not-recommended" } }, "values": { "Human": { "WB-species-checked": "notRecommended", "WB-species-dilution-info": "1/1000", "WB-species-notes": "<p></p>", "IHCP-species-checked": "notRecommended", "IHCP-species-dilution-info": "1/200", "IHCP-species-notes": "<p></p> Perform heat-mediated antigen retrieval with Tris/EDTA buffer pH 9.0 before commencing with IHC staining protocol.", "ICCIF-species-checked": "notRecommended", "ICCIF-species-dilution-info": "", "ICCIF-species-notes": "" }, "Mouse": { "WB-species-checked": "notRecommended", "WB-species-dilution-info": "1/1000", "WB-species-notes": "<p></p>", "IHCP-species-checked": "testedAndGuaranteed", "IHCP-species-dilution-info": "1/200", "IHCP-species-notes": "<p></p> Perform heat-mediated antigen retrieval with Tris/EDTA buffer pH 9.0 before commencing with IHC staining protocol.", "ICCIF-species-checked": "notRecommended", "ICCIF-species-dilution-info": "", "ICCIF-species-notes": "<p></p>" }, "Rat": { "WB-species-checked": "testedAndGuaranteed", "WB-species-dilution-info": "1/1000", "WB-species-notes": "<p></p>", "IHCP-species-checked": "testedAndGuaranteed", "IHCP-species-dilution-info": "1/200", "IHCP-species-notes": "<p></p> Perform heat-mediated antigen retrieval with Tris/EDTA buffer pH 9.0 before commencing with IHC staining protocol.", "ICCIF-species-checked": "notRecommended", "ICCIF-species-dilution-info": "", "ICCIF-species-notes": "<p></p>" } } }

Product details

What are the advantages of a recombinant monoclonal antibody?
This product is a recombinant monoclonal antibody, which offers several advantages including:

  • - High batch-to-batch consistency and reproducibility
  • - Improved sensitivity and specificity
  • - Long-term security of supply
  • - Animal-free batch production

For more information, read more on recombinant antibodies.

Want a custom formulation?
This antibody clone is manufactured by Abcam. If you require a custom buffer formulation or conjugation for your experiments, please contact orders@abcam.com

Properties and storage information

Form
Liquid
Purification technique
Affinity purification Protein A
Storage buffer
pH: 7.2 - 7.4 Preservative: 0.01% Sodium azide Constituents: PBS, 40% Glycerol (glycerin, glycerine), 0.05% BSA
Shipped at conditions
Blue Ice
Appropriate short-term storage duration
1-2 weeks
Appropriate short-term storage conditions
+4°C
Appropriate long-term storage conditions
-20°C
Aliquoting information
Upon delivery aliquot
Storage information
Avoid freeze / thaw cycle

Product protocols

For this product, it's our understanding that no specific protocols are required. You can visit:

Target data

Alpha subunit of the heteropentameric ligand-gated chloride channel gated by gamma-aminobutyric acid (GABA), a major inhibitory neurotransmitter in the brain (PubMed : 14993607). GABA-gated chloride channels, also named GABA(A) receptors (GABAAR), consist of five subunits arranged around a central pore and contain GABA active binding site(s) located at the alpha and beta subunit interface(s) (By similarity). When activated by GABA, GABAARs selectively allow the flow of chloride anions across the cell membrane down their electrochemical gradient (By similarity). GABAARs containing alpha-5/GABRA5 are mainly extrasynaptic and contribute to the tonic GABAergic inhibition of the hippocampus (PubMed : 14993607). Extrasynaptic alpha-5-containing GABAARs in CA1 pyramidal neurons play a role in learning and memory processes (PubMed : 14993607).
See full target information Gabra5

Publications (1)

Recent publications for all applications. Explore the full list and refine your search

CNS neuroscience & therapeutics 30:e70098 PubMed39491498

2024

Fasudil Alleviates Postoperative Neurocognitive Disorders in Mice by Downregulating the Surface Expression of α5GABAAR in Hippocampus.

Applications

Unspecified application

Species

Unspecified reactive species

Jinpeng Dong,Zhun Wang,Lixuan Li,Mengxue Zhang,Sixuan Wang,Yuan Luo,Ying Dong,Xiaokun Wang,Yongan Wang,Kaiyuan Wang,Yiqing Yin
View all publications

Product promise

We are committed to supporting your work with high-quality reagents, and we're here for you every step of the way. In the unlikely event that one of our products does not perform as expected, you're protected by our Product Promise.
For full details, please see our Terms & Conditions

Please note: All products are 'FOR RESEARCH USE ONLY. NOT FOR USE IN DIAGNOSTIC OR THERAPEUTIC PROCEDURES'.

For licensing inquiries, please contact partnerships@abcam.com