JavaScript is disabled in your browser. Please enable JavaScript to view this website.
AB300070

Anti-GABA A Receptor alpha 6 antibody [EPR25322-129] - BSA and Azide free

  • BOND RX™ Validated
  • RabMAb
  • Advanced Validation
  • Recombinant
  • What is this?

Be the first to review this product! Submit a review

|

(0 Publication)

Rabbit Recombinant Monoclonal GABA A Receptor alpha 6 antibody. Carrier free. Suitable for mIHC, WB, IHC-Fr, IHC-P and reacts with Human, Mouse, Rat samples.

View Alternative Names

Gamma-aminobutyric acid receptor subunit alpha-6, GABA(A) receptor subunit alpha-6, GABAAR subunit alpha-6, GABRA6

11 Images
Immunohistochemistry (Formalin/PFA-fixed paraffin-embedded sections) - Anti-GABA A Receptor alpha 6 antibody [EPR25322-129] - BSA and Azide free (AB300070)
  • IHC-P

Supplier Data

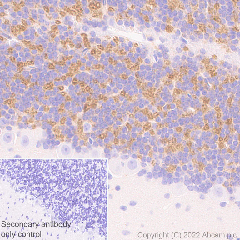
Immunohistochemistry (Formalin/PFA-fixed paraffin-embedded sections) - Anti-GABA A Receptor alpha 6 antibody [EPR25322-129] - BSA and Azide free (AB300070)

This data was developed using ab300069, the same antibody clone in a different buffer formulation.

Immunohistochemical analysis of paraffin-embedded Human cerebellum tissue labelling GABA A Receptor alpha 6 with ab300069 at 1/500 dilution (1.244 μg/ml) followed by a ready to use LeicaDS9800 (BOND™ Polymer Refine Detection) was used. Positive staining on human cerebellum. The section was incubated with ab300069 for 30 mins at room temperature. The immunostaining was performed on a Leica Biosystems BOND® RX instrument. Counterstained with Hematoxylin.

Secondary antibody only control : Secondary antibody is a ready to use LeicaDS9800 (BOND™ Polymer Refine Detection).

Heat mediated antigen retrieval with Tris-EDTA buffer (pH 9.0, epitope retrieval solution2) for 20 mins.

Multiplex immunohistochemistry - Anti-GABA A Receptor alpha 6 antibody [EPR25322-129] - BSA and Azide free (AB300070)
  • mIHC

Lab

Multiplex immunohistochemistry - Anti-GABA A Receptor alpha 6 antibody [EPR25322-129] - BSA and Azide free (AB300070)

This data was developed using ab300069, the same antibody clone in a different buffer formulation.

Multiplex immunohistochemistry analysis of formalin/PFA-fixed paraffin-embedded Human cerebellum staining of Calbindin with ab108404 at a 1/1000 dilution, DGKZ/DGK-zeta with ab239081 at 1/5000 dilution, and GABA A Receptor alpha 6 with ab300069 at a 1/500 dilution, followed by a ready to use secondary antibody Opal Polymer HRP Ms + Rb.

Panel A : merged staining of anti-GABA A Receptor alpha 6 (gray; Opal™690), anti-DGKZ/DGK-zeta (green; Opal™520) and anti-Calbindin (magenta; Opal™570) on human cerebellum.
Panel B : anti-Calbindin stained on all layers of cerebellum.
Panel C : anti-DGKZ/DGK-zeta stained on Purkinje cells.
Panel D : anti-GABA A Receptor alpha 6 stained on the granular layer.
Nuclear DNA was labeled with DAPI (shown in blue).

The section was incubated in three rounds of staining : in the order of ab300069, ab239081, and ab108404 for 30 mins at room temperature. Each round was followed by a separate fluorescent tyramide signal amplification system.

Heat mediated antigen retrieval with Tris-EDTA buffer (pH 9.0, epitope retrieval solution2) for 20 mins.

The immunostaining was performed on a Leica Biosystems BOND® RX instrument with an Opal™ 4-color kit. Image acquisition was performed with Leica SP8 confocal microscope.

Multiplex immunohistochemistry - Anti-GABA A Receptor alpha 6 antibody [EPR25322-129] - BSA and Azide free (AB300070)
  • mIHC

Lab

Multiplex immunohistochemistry - Anti-GABA A Receptor alpha 6 antibody [EPR25322-129] - BSA and Azide free (AB300070)

Fluorescence multiplex immunohistochemical analysis of mouse cerebellum (formalin-fixed paraffin-embedded section).

Panel A : merged staining of anti-GABRA6 (magenta; Opal™690), anti-KCNA (green; Opal™520) and anti-DGKZ (gray; Opal™570) on mouse cerebellum.
Panel B : anti-GABRA6 staining granule cells in mouse cerebellum.
Panel C : anti-KCNA staining basket cells in mouse cerebellum.
Panel D : anti-DGKZ staining Purkinje cells in mouse cerebellum.
Nuclear DNA was labeled with DAPI (shown in blue).

The section was incubated in three rounds of staining : in the order of ab300069 at a 1/500 dilution, ab313624 at a 1/5000 and ab239080 at a 1/5000 dilution for 30 mins at room temperature. Each round was followed by a separate fluorescent tyramide signal amplification system.

Heat mediated antigen retrieval was performed with Tris-EDTA buffer (pH 9.0, epitope retrieval solution2) for 20 mins.

The immunostaining was performed on a Leica Biosystems BOND® RX instrument with an Opal™ 4-color kit. Image acquisition was performed with Leica SP8 confocal microscope.

Immunohistochemistry (Formalin/PFA-fixed paraffin-embedded sections) - Anti-GABA A Receptor alpha 6 antibody [EPR25322-129] - BSA and Azide free (AB300070)
  • IHC-P

Supplier Data

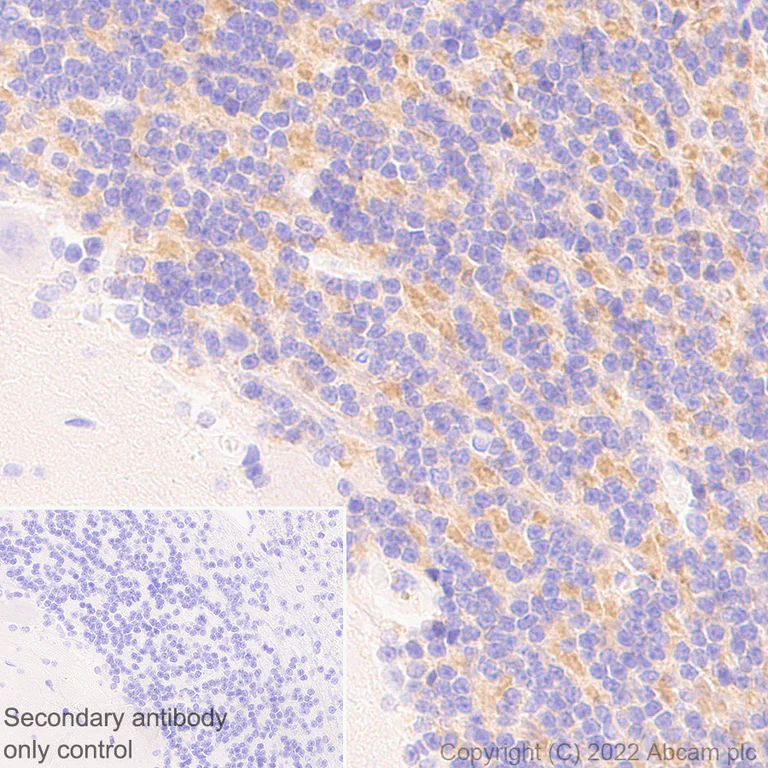
Immunohistochemistry (Formalin/PFA-fixed paraffin-embedded sections) - Anti-GABA A Receptor alpha 6 antibody [EPR25322-129] - BSA and Azide free (AB300070)

This data was developed using ab300069, the same antibody clone in a different buffer formulation.

Immunohistochemical analysis of paraffin-embedded Mouse cerebellum tissue labelling GABA A Receptor alpha 6 with ab300069 at 1/500 dilution (1.244 μg/ml) followed by a ready to use LeicaDS9800 (BOND™ Polymer Refine Detection). Positive staining on mouse cerebellum. The section was incubated with ab300069 for 30 mins at room temperature. The immunostaining was performed on a Leica Biosystems BOND® RX instrument. Counterstained with Hematoxylin.

Secondary antibody only control : Secondary antibody is a ready to use LeicaDS9800 (BOND™ Polymer Refine Detection).

Heat mediated antigen retrieval with Tris-EDTA buffer (pH 9.0, epitope retrieval solution2) for 20 mins.

Secondary antibody only control : Secondary antibody is a ready to use LeicaDS9800 (BOND™ Polymer Refine Detection) was used.

Heat mediated antigen retrieval with Tris-EDTA buffer (pH 9.0, epitope retrieval solution2) for 20 mins

Immunohistochemistry (Formalin/PFA-fixed paraffin-embedded sections) - Anti-GABA A Receptor alpha 6 antibody [EPR25322-129] - BSA and Azide free (AB300070)
  • IHC-P

Supplier Data

Immunohistochemistry (Formalin/PFA-fixed paraffin-embedded sections) - Anti-GABA A Receptor alpha 6 antibody [EPR25322-129] - BSA and Azide free (AB300070)

This data was developed using ab300069, the same antibody clone in a different buffer formulation.

Immunohistochemical analysis of paraffin-embedded Rat cerebellum tissue labelling GABA A Receptor alpha 6 with ab300069 at 1/500 dilution (1.244 μg/ml) followed by a ready to use LeicaDS9800 (BOND™ Polymer Refine Detection). Positive staining on rat cerebellum. The section was incubated with ab300069 for 30 mins at room temperature. The immunostaining was performed on a Leica Biosystems BOND® RX instrument. Counterstained with Hematoxylin.

Secondary antibody only control : Secondary antibody is a ready to use LeicaDS9800 (BOND™ Polymer Refine Detection).

Heat mediated antigen retrieval with Tris-EDTA buffer (pH 9.0, epitope retrieval solution2) for 20 mins.

Immunohistochemistry (Frozen sections) - Anti-GABA A Receptor alpha 6 antibody [EPR25322-129] - BSA and Azide free (AB300070)
  • IHC-Fr

Supplier Data

Immunohistochemistry (Frozen sections) - Anti-GABA A Receptor alpha 6 antibody [EPR25322-129] - BSA and Azide free (AB300070)

This data was developed using ab300069, the same antibody clone in a different buffer formulation.

Immunohistochemical analysis of 4% PFA-fixed, 0.2% Triton X-100 permeabilized frozen Rat cerebellum (fresh) tissue labeling GABA A Receptor alpha 6 with ab300069 at 1/500 (1.244 μg/ml) dilution followed by ab150081 Goat Anti-Rabbit IgG H&L (Alexa Fluor® 488) preadsorbed at 1/1000 (2 μg/mL) dilution (Green). Positive staining on rat cerebellum is observed. The nuclear counterstain was DAPI (Blue).

Secondary antibody control : Secondary antibody is ab150081 Goat Anti-Rabbit IgG H&L (Alexa Fluor® 488) preadsorbedat 1/1000 (2 μ/mL) dilution.

Immunohistochemistry (Frozen sections) - Anti-GABA A Receptor alpha 6 antibody [EPR25322-129] - BSA and Azide free (AB300070)
  • IHC-Fr

Supplier Data

Immunohistochemistry (Frozen sections) - Anti-GABA A Receptor alpha 6 antibody [EPR25322-129] - BSA and Azide free (AB300070)

This data was developed using ab300069, the same antibody clone in a different buffer formulation.

Immunohistochemical analysis of 4% PFA-fixed, 0.2% Triton X-100 permeabilized frozen Mouse cerebellum (fresh) tissue labeling GABA A Receptor alpha 6 with ab300069 at 1/500 (1.244 μg/ml) dilution followed by ab150081 Goat Anti-Rabbit IgG H&L (Alexa Fluor® 488) preadsorbed at 1/1000 2 μg/mL dilution (Green). Positive staining on mouse cerebellum is observed. The nuclear counterstain was DAPI (Blue).

Secondary antibody control : Secondary antibody is ab150081 Goat Anti-Rabbit IgG H&L (Alexa Fluor® 488) preadsorbedat 1/1000 2 μ/mL dilution.

Western blot - Anti-GABA A Receptor alpha 6 antibody [EPR25322-129] - BSA and Azide free (AB300070)
  • WB

Supplier Data

Western blot - Anti-GABA A Receptor alpha 6 antibody [EPR25322-129] - BSA and Azide free (AB300070)

This data was developed using ab300069, the same antibody clone in a different buffer formulation.

5% NFDM/TBST was used as blocking and diluting buffer.

Low expression:Heart (PMID : 29467616).

All lanes:

Western blot - Anti-GABA A Receptor alpha 6 antibody [EPR25322-129] (<a href='/en-us/products/primary-antibodies/gaba-a-receptor-alpha-6-antibody-epr25322-129-ab300069'>ab300069</a>) at 1/1000 dilution

Lane 1:

Human hypothalamus tissue lysate at 20 µg

Lane 2:

Human heart tissue lysate at 20 µg

Secondary

All lanes:

Western blot - VeriBlot for IP Detection Reagent (HRP) (<a href='/en-us/products/reagents/veriblot-for-ip-detection-reagent-hrp-ab131366'>ab131366</a>) at 1/1000 dilution

Predicted band size: 51 kDa

Observed band size: 57 kDa

false

Exposure time: 180s

Western blot - Anti-GABA A Receptor alpha 6 antibody [EPR25322-129] - BSA and Azide free (AB300070)
  • WB

Lab

Western blot - Anti-GABA A Receptor alpha 6 antibody [EPR25322-129] - BSA and Azide free (AB300070)

This data was developed using ab300069, the same antibody clone in a different buffer formulation.

Blocking and diluting buffer and concentration : 5% NFDM/TBST.

Low expression tissue : heart (PMID : 29467616).

This blot was developed using a high ECL substrate.

Sometimes a non-specific band near the target signal can be observed.

All lanes:

Western blot - Anti-GABA A Receptor alpha 6 antibody [EPR25322-129] (<a href='/en-us/products/primary-antibodies/gaba-a-receptor-alpha-6-antibody-epr25322-129-ab300069'>ab300069</a>) at 1/1000 dilution

Lane 1:

Human cerebellum tissue lysate at 20 µg

Lane 2:

Human hypothalamus tissue lysate at 20 µg

Lane 3:

Human heart tissue lysate at 20 µg

Lane 4:

Mouse brain tissue lysate at 20 µg

Lane 5:

Mouse cerebellum tissue lysate at 20 µg

Lane 6:

Mouse heart tissue lysate at 20 µg

Lane 7:

Rat brain tissue lysate at 20 µg

Lane 8:

Rat cerebellum tissue lysate at 20 µg

Lane 9:

Rat heart tissue lysate at 20 µg

Secondary

All lanes:

Goat Anti-Rabbit IgG (HRP), minimal cross-reactivity with human IgG at 1/2000 dilution

Predicted band size: 51 kDa

Observed band size: 57 kDa

false

Exposure time: 180s

Western blot - Anti-GABA A Receptor alpha 6 antibody [EPR25322-129] - BSA and Azide free (AB300070)
  • WB

Supplier Data

Western blot - Anti-GABA A Receptor alpha 6 antibody [EPR25322-129] - BSA and Azide free (AB300070)

This data was developed using ab300069, the same antibody clone in a different buffer formulation.

5% NFDM/TBST was used as blocking and diluting buffer.

All lanes:

Western blot - Anti-GABA A Receptor alpha 6 antibody [EPR25322-129] (<a href='/en-us/products/primary-antibodies/gaba-a-receptor-alpha-6-antibody-epr25322-129-ab300069'>ab300069</a>) at 1/1000 dilution

All lanes:

Mouse brain tissue lysate at 20 µg

Secondary

All lanes:

Western blot - Goat Anti-Rabbit IgG H&L (HRP) (<a href='/en-us/products/secondary-antibodies/goat-rabbit-igg-h-l-hrp-ab97051'>ab97051</a>) at 1/20000 dilution

Predicted band size: 51 kDa

Observed band size: 57 kDa

false

Exposure time: 59s

Western blot - Anti-GABA A Receptor alpha 6 antibody [EPR25322-129] - BSA and Azide free (AB300070)
  • WB

Supplier Data

Western blot - Anti-GABA A Receptor alpha 6 antibody [EPR25322-129] - BSA and Azide free (AB300070)

This data was developed using ab300069, the same antibody clone in a different buffer formulation.

Blocking and diluting buffer and concentration : 5% NFDM/TBST.

Low expression : Heart (PMID : 29467616)

This blot was developed using a high sensitivity ECL substrate. The high-sensitivity ECL substrate used allows for the detection of proteins in the mid-femtogram range.

All lanes:

Western blot - Anti-GABA A Receptor alpha 6 antibody [EPR25322-129] (<a href='/en-us/products/primary-antibodies/gaba-a-receptor-alpha-6-antibody-epr25322-129-ab300069'>ab300069</a>) at 1/1000 dilution

Lane 1:

Rat brain tissue lysate at 20 µg

Lane 2:

Rat cerebellum tissue lysate at 20 µg

Lane 3:

Rat heart tissue lysate at 20 µg

Secondary

All lanes:

Goat Anti-Rabbit IgG (HRP) with minimal cross-reactivity with human IgG (Merck DC03L) at 1/2000 dilution

Predicted band size: 51 kDa

Observed band size: 57 kDa

true

Exposure time: 180s

  • Unconjugated

    Anti-GABA A Receptor alpha 6 antibody [EPR25322-129]

Key facts

Host species

Rabbit

Clonality

Monoclonal

Clone number

EPR25322-129

Isotype

IgG

Carrier free

Yes

Reacts with

Human, Mouse, Rat

Applications

mIHC, WB, IHC-P, IHC-Fr

applications

Immunogen

The exact immunogen used to generate this antibody is proprietary information.

Reactivity data

{ "title": "Reactivity Data", "filters": { "stats": ["", "Species", "Dilution Info", "Notes"], "tabs": { "all-applications": {"fullname" : "All Applications", "shortname": "All Applications"}, "mIHC" : {"fullname" : "Multiplex immunohistochemistry", "shortname":"mIHC"}, "WB" : {"fullname" : "Western blot", "shortname":"WB"}, "IHCFr" : {"fullname" : "Immunohistochemistry (Frozen sections)", "shortname":"IHC-Fr"}, "ICCIF" : {"fullname" : "Immunocytochemistry/ Immunofluorescence", "shortname":"ICC/IF"}, "FlowCytIntra" : {"fullname" : "Flow Cytometry (Intracellular)", "shortname":"Flow Cyt (Intra)"}, "IP" : {"fullname" : "Immunoprecipitation", "shortname":"IP"}, "IHCP" : {"fullname" : "Immunohistochemistry (Formalin/PFA-fixed paraffin-embedded sections)", "shortname":"IHC-P"} }, "product-promise": { "all": "all", "testedAndGuaranteed": "tested", "guaranteed": "expected", "predicted": "predicted", "notRecommended": "not-recommended" } }, "values": { "Human": { "mIHC-species-checked": "testedAndGuaranteed", "mIHC-species-dilution-info": "", "mIHC-species-notes": "<p></p>", "WB-species-checked": "testedAndGuaranteed", "WB-species-dilution-info": "", "WB-species-notes": "<p></p>", "IHCFr-species-checked": "guaranteed", "IHCFr-species-dilution-info": "", "IHCFr-species-notes": "<p></p>", "ICCIF-species-checked": "notRecommended", "ICCIF-species-dilution-info": "", "ICCIF-species-notes": "<p></p>", "FlowCytIntra-species-checked": "notRecommended", "FlowCytIntra-species-dilution-info": "", "FlowCytIntra-species-notes": "<p></p>", "IP-species-checked": "notRecommended", "IP-species-dilution-info": "", "IP-species-notes": "<p></p>", "IHCP-species-checked": "guaranteed", "IHCP-species-dilution-info": "", "IHCP-species-notes": "" }, "Mouse": { "mIHC-species-checked": "testedAndGuaranteed", "mIHC-species-dilution-info": "", "mIHC-species-notes": "<p></p>", "WB-species-checked": "testedAndGuaranteed", "WB-species-dilution-info": "", "WB-species-notes": "<p></p>", "IHCFr-species-checked": "testedAndGuaranteed", "IHCFr-species-dilution-info": "", "IHCFr-species-notes": "<p></p>", "ICCIF-species-checked": "notRecommended", "ICCIF-species-dilution-info": "", "ICCIF-species-notes": "<p></p>", "FlowCytIntra-species-checked": "notRecommended", "FlowCytIntra-species-dilution-info": "", "FlowCytIntra-species-notes": "<p></p>", "IP-species-checked": "notRecommended", "IP-species-dilution-info": "", "IP-species-notes": "<p></p>", "IHCP-species-checked": "testedAndGuaranteed", "IHCP-species-dilution-info": "", "IHCP-species-notes": "<p></p>" }, "Rat": { "mIHC-species-checked": "guaranteed", "mIHC-species-dilution-info": "", "mIHC-species-notes": "", "WB-species-checked": "testedAndGuaranteed", "WB-species-dilution-info": "", "WB-species-notes": "<p></p>", "IHCFr-species-checked": "testedAndGuaranteed", "IHCFr-species-dilution-info": "", "IHCFr-species-notes": "<p></p>", "ICCIF-species-checked": "notRecommended", "ICCIF-species-dilution-info": "", "ICCIF-species-notes": "<p></p>", "FlowCytIntra-species-checked": "notRecommended", "FlowCytIntra-species-dilution-info": "", "FlowCytIntra-species-notes": "<p></p>", "IP-species-checked": "notRecommended", "IP-species-dilution-info": "", "IP-species-notes": "<p></p>", "IHCP-species-checked": "testedAndGuaranteed", "IHCP-species-dilution-info": "", "IHCP-species-notes": "<p></p>" } } }

Product details

Conjugation ready
Our carrier-free antibodies are typically supplied in a PBS-only formulation, purified and free of BSA, sodium azide and glycerol. This conjugation-ready format is designed for use with fluorochromes, metal isotopes, oligonucleotides, and enzymes, which makes them ideal for antibody labelling, functional and cell-based assays, flow-based assays (e.g. mass cytometry) and Multiplex Imaging applications.

Use our conjugation kits for antibody conjugates that are ready-to-use in as little as 20 minutes with 1 minute hands-on-time and 100% antibody recovery: available for fluorescent dyes, HRP, biotin and gold.

Patented technology
Our RabMAb® technology is a patented hybridoma-based technology for making rabbit monoclonal antibodies. For details on our patents, please refer to RabMAb® patents.

Compatibility
This product is compatible with the Maxpar® Antibody Labeling Kit from Fluidigm, without the need for antibody preparation. Maxpar® is a trademark of Fluidigm Canada Inc.

What are the advantages of a recombinant monoclonal antibody?
This product is a recombinant monoclonal antibody, which offers several advantages including:

  • - High batch-to-batch consistency and reproducibility
  • - Improved sensitivity and specificity
  • - Long-term security of supply
  • - Animal-free batch production

For more information, read more on recombinant antibodies.

Properties and storage information

Form
Liquid
Purification technique
Affinity purification Protein A
Storage buffer
pH: 7.2 - 7.4 Constituents: PBS
Shipped at conditions
Blue Ice
Appropriate short-term storage conditions
+4°C
Appropriate long-term storage conditions
+4°C
Aliquoting information
Upon delivery aliquot

Product protocols

For this product, it's our understanding that no specific protocols are required. You can visit:

Target data

Alpha subunit of the heteropentameric ligand-gated chloride channel gated by gamma-aminobutyric acid (GABA), a major inhibitory neurotransmitter in the brain (PubMed : 8632757). GABA-gated chloride channels, also named GABA(A) receptors (GABAAR), consist of five subunits arranged around a central pore and contain GABA active binding site(s) located at the alpha and beta subunit interface(s) (By similarity). When activated by GABA, GABAARs selectively allow the flow of chloride anions across the cell membrane down their electrochemical gradient (By similarity). Alpha-6/GABRA6 subunits are found at both synaptic and extrasynaptic sites (PubMed : 8632757). Chloride influx into the postsynaptic neuron following GABAAR opening decreases the neuron ability to generate a new action potential, thereby reducing nerve transmission (By similarity). Extrasynaptic alpha-6-containing receptors contribute to the tonic GABAergic inhibition. Alpha-6 subunits are also present on glutamatergic synapses (By similarity).
See full target information GABRA6

Product promise

We are committed to supporting your work with high-quality reagents, and we're here for you every step of the way. In the unlikely event that one of our products does not perform as expected, you're protected by our Product Promise.
For full details, please see our Terms & Conditions

Please note: All products are 'FOR RESEARCH USE ONLY. NOT FOR USE IN DIAGNOSTIC OR THERAPEUTIC PROCEDURES'.

For licensing inquiries, please contact partnerships@abcam.com