JavaScript is disabled in your browser. Please enable JavaScript to view this website.
AB309541

Anti-GABA A Receptor beta 2 antibody [EPR28366-42] - BSA and Azide free

Be the first to review this product! Submit a review

|

(0 Publication)

Rabbit Recombinant Monoclonal GABA A Receptor beta 2/GABRB2 antibody. Carrier free. Suitable for IHC-P, IHC-Fr and reacts with Human, Mouse, Rat samples.

View Alternative Names

Gabrb-2, Gabrb2, Gamma-aminobutyric acid receptor subunit beta-2, GABA(A) receptor subunit beta-2, GABAAR subunit beta-2

10 Images
Immunohistochemistry (Formalin/PFA-fixed paraffin-embedded sections) - Anti-GABA A Receptor beta 2 antibody [EPR28366-42] - BSA and Azide free (AB309541)
  • IHC-P

Supplier Data

Immunohistochemistry (Formalin/PFA-fixed paraffin-embedded sections) - Anti-GABA A Receptor beta 2 antibody [EPR28366-42] - BSA and Azide free (AB309541)

This data was developed using ab309540, the same antibody clone in a different buffer formulation. Immunohistochemical analysis of paraffin-embedded Human pancreas tissue labeling GABA A Receptor beta 2 with ab309540 at 1/100 (5.12 ug/ml) followed by a LeicaDS9800 (Bond™ Polymer Refine Detection) was used at Ready to use dilution. Negative control : No staining on human pancreas. The section was incubated with ab309540 for 30 mins at room temperature. The immunostaining was performed on a Leica Biosystems BOND RX instrument Counterstained with Hematoxylin. Secondary antibody only control : Secondary antibody is a LeicaDS9800 (Bond™ Polymer Refine Detection) was used at Ready to use dilution. Heat mediated antigen retrieval was performed with Tris-EDTA buffer (pH 9.0, Epitope Retrieval Solution2) for 20 mins

Immunohistochemistry (Formalin/PFA-fixed paraffin-embedded sections) - Anti-GABA A Receptor beta 2 antibody [EPR28366-42] - BSA and Azide free (AB309541)
  • IHC-P

Supplier Data

Immunohistochemistry (Formalin/PFA-fixed paraffin-embedded sections) - Anti-GABA A Receptor beta 2 antibody [EPR28366-42] - BSA and Azide free (AB309541)

This data was developed using ab309540, the same antibody clone in a different buffer formulation. Immunohistochemical analysis of paraffin-embedded Human cerebrum tissue labeling GABA A Receptor beta 2 with ab309540 at 1/100 (5.12 ug/ml) followed by a LeicaDS9800 (Bond™ Polymer Refine Detection) was used at Ready to use dilution. Positive on human cerebrum. The section was incubated with ab309540 for 30 mins at room temperature. The immunostaining was performed on a Leica Biosystems BOND RX instrument Counterstained with Hematoxylin. Secondary antibody only control : Secondary antibody is a LeicaDS9800 (Bond™ Polymer Refine Detection) was used at Ready to use dilution. Heat mediated antigen retrieval was performed with Tris-EDTA buffer (pH 9.0, Epitope Retrieval Solution2) for 20 mins

Immunohistochemistry (Formalin/PFA-fixed paraffin-embedded sections) - Anti-GABA A Receptor beta 2 antibody [EPR28366-42] - BSA and Azide free (AB309541)
  • IHC-P

Supplier Data

Immunohistochemistry (Formalin/PFA-fixed paraffin-embedded sections) - Anti-GABA A Receptor beta 2 antibody [EPR28366-42] - BSA and Azide free (AB309541)

This data was developed using ab309540, the same antibody clone in a different buffer formulation. Immunohistochemical analysis of paraffin-embedded Mouse cerebrum tissue labeling GABA A Receptor beta 2 with ab309540 at 1/2000 (0.256 ug/ml) followed by a LeicaDS9800 (Bond™ Polymer Refine Detection) was used at Ready to use dilution. Positive on mouse cerebrum.The section was incubated with ab309540 for 30 mins at room temperature. The immunostaining was performed on a Leica Biosystems BOND RX instrument Counterstained with Hematoxylin. Secondary antibody only control : Secondary antibody is a LeicaDS9800 (Bond™ Polymer Refine Detection) was used at Ready to use dilution. Heat mediated antigen retrieval was performed with Tris-EDTA buffer (pH 9.0, Epitope Retrieval Solution2) for 20 mins

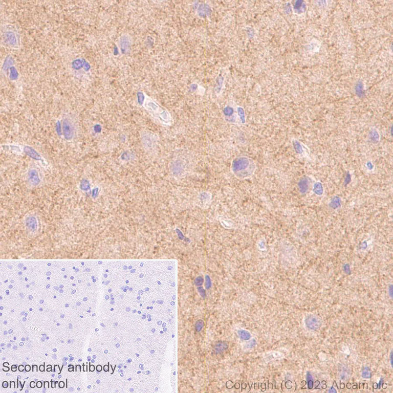
Immunohistochemistry (Formalin/PFA-fixed paraffin-embedded sections) - Anti-GABA A Receptor beta 2 antibody [EPR28366-42] - BSA and Azide free (AB309541)
  • IHC-P

Supplier Data

Immunohistochemistry (Formalin/PFA-fixed paraffin-embedded sections) - Anti-GABA A Receptor beta 2 antibody [EPR28366-42] - BSA and Azide free (AB309541)

This data was developed using ab309540, the same antibody clone in a different buffer formulation.

Immunohistochemical analysis of paraffin-embedded Rat skeletal muscle tissue labeling GABA A Receptor beta 2 with ab309540 at 1/2000 (5.12 ug/ml) followed by a LeicaDS9800 (Bond™ Polymer Refine Detection) was used at Ready to use dilution. Negative control : No staining on rat skeletal muscle. The section was incubated with ab309540 for 30 mins at room temperature. The immunostaining was performed on a Leica Biosystems BOND RX instrument Counterstained with Hematoxylin.

Secondary antibody only control : Secondary antibody is a LeicaDS9800 (Bond™ Polymer Refine Detection) was used at Ready to use dilution.

Heat mediated antigen retrieval was performed with Tris-EDTA buffer (pH 9.0, Epitope Retrieval Solution2) for 20 mins

Immunohistochemistry (Formalin/PFA-fixed paraffin-embedded sections) - Anti-GABA A Receptor beta 2 antibody [EPR28366-42] - BSA and Azide free (AB309541)
  • IHC-P

Supplier Data

Immunohistochemistry (Formalin/PFA-fixed paraffin-embedded sections) - Anti-GABA A Receptor beta 2 antibody [EPR28366-42] - BSA and Azide free (AB309541)

This data was developed using ab309540, the same antibody clone in a different buffer formulation. Immunohistochemical analysis of paraffin-embedded Rat cerebrum tissue labeling GABA A Receptor beta 2 with ab309540 at 1/2000 (0.256 ug/ml) followed by a LeicaDS9800 (Bond™ Polymer Refine Detection) was used at Ready to use dilution. Positive on rat cerebrum.The section was incubated with ab309540 for 30 mins at room temperature. The immunostaining was performed on a Leica Biosystems BOND RX instrument Counterstained with Hematoxylin. Secondary antibody only control : Secondary antibody is a LeicaDS9800 (Bond™ Polymer Refine Detection) was used at Ready to use dilution. Heat mediated antigen retrieval was performed with Tris-EDTA buffer (pH 9.0, Epitope Retrieval Solution2) for 20 mins

Immunohistochemistry (Formalin/PFA-fixed paraffin-embedded sections) - Anti-GABA A Receptor beta 2 antibody [EPR28366-42] - BSA and Azide free (AB309541)
  • IHC-P

Supplier Data

Immunohistochemistry (Formalin/PFA-fixed paraffin-embedded sections) - Anti-GABA A Receptor beta 2 antibody [EPR28366-42] - BSA and Azide free (AB309541)

This data was developed using ab309540, the same antibody clone in a different buffer formulation.

Immunohistochemical analysis of paraffin-embedded Mouse skeletal muscl tissue labeling GABA A Receptor beta 2 with ab309540 at 1/2000 (5.12 ug/ml) followed by a LeicaDS9800 (Bond™ Polymer Refine Detection) was used at Ready to use dilution. Negative control : No staining on mouse skeletal muscle. The section was incubated with ab309540 for 30 mins at room temperature. The immunostaining was performed on a Leica Biosystems BOND® RX instrument Counterstained with Hematoxylin.

Secondary antibody only control : Secondary antibody is a LeicaDS9800 (Bond™ Polymer Refine Detection) was used at Ready to use dilution.

Heat mediated antigen retrieval was performed with Tris-EDTA buffer (pH 9.0, Epitope Retrieval Solution2) for 20 mins

Immunohistochemistry (Frozen sections) - Anti-GABA A Receptor beta 2 antibody [EPR28366-42] - BSA and Azide free (AB309541)
  • IHC-Fr

Supplier Data

Immunohistochemistry (Frozen sections) - Anti-GABA A Receptor beta 2 antibody [EPR28366-42] - BSA and Azide free (AB309541)

This data was developed using ab309540, the same antibody clone in a different buffer formulation. Immunohistochemical analysis of 4% PFA-fixed, 0.2% Triton X-100 permeabilized frozen Rat cerebellum (fresh) tissue labeling GABA A Receptor beta 2 with ab309540 at 1/50 (10.24 ug/ml) dilution followed by ab150081 Goat Anti-Rabbit IgG H&L (Alexa Fluor 488) pre-adsorbed at 1/1000 2 ug/mL dilution (Green). Panel A : merged staining of anti-GABRB2 (ab309540, green), anti-NeuN (ab190565, grey) and anti-GFAP (ab201732, red) on rat cerebellum. Panel B : anti-GABRB2 stained on rat cerebellum. Panel C : anti-NeuN stained in neurons of rat cerebellum. Panel D : anti-GFAP stained in astrocytes of rat cerebellum. The section was incubated in two rounds of staining : in the order of ab309540 and ab190565, ab201732 for 1 hour at room temperature. The nuclear counterstain was DAPI (Blue). The section was then mounted using Fluoromount. The immunostaining was performed on a Leica Biosystems BOND RX instrument. Image was taken with a confocal microscope. is observed. The nuclear counterstain was DAPI (Blue). Secondary antibody control : Secondary antibody is ab150081 Goat Anti-Rabbit IgG H&L (Alexa Fluor 488) pre-adsorbed at 1/1000 2 ug/mL dilution.<\p> <\p>

Immunohistochemistry (Frozen sections) - Anti-GABA A Receptor beta 2 antibody [EPR28366-42] - BSA and Azide free (AB309541)
  • IHC-Fr

Supplier Data

Immunohistochemistry (Frozen sections) - Anti-GABA A Receptor beta 2 antibody [EPR28366-42] - BSA and Azide free (AB309541)

This data was developed using ab309540, the same antibody clone in a different buffer formulation. Immunohistochemical analysis of 4% PFA-fixed, 0.2% Triton X-100 permeabilized frozen Mouse skeletal muscle (fresh) tissue labeling GABA A Receptor beta 2 with ab309540 at 1/50 (10.24 ug/ml) dilution followed by ab150081 Goat Anti-Rabbit IgG H&L (Alexa Fluo® 488) preadsorbed at 1/1000 2 ug/mL dilution (Green). Negative control : confocal image showing no staining on mouse skeletal muscle. The nuclear counterstain was DAPI (Blue). The section was incubated with ab309540 for 60 mins at room temperature. The section was then mounted using Fluoromount. The immunostaining was performed on a Leica Biosystems BOND® RX instrument. Image was taken with a confocal microscope. is observed. The nuclear counterstain was DAPI (Blue). Secondary antibody control : Secondary antibody is ab150081 Goat Anti-Rabbit IgG H&L (Alexa Fluor 488) preadsorbed at 1/1000 2 ug/mL dilution.

Immunohistochemistry (Frozen sections) - Anti-GABA A Receptor beta 2 antibody [EPR28366-42] - BSA and Azide free (AB309541)
  • IHC-Fr

Supplier Data

Immunohistochemistry (Frozen sections) - Anti-GABA A Receptor beta 2 antibody [EPR28366-42] - BSA and Azide free (AB309541)

This data was developed using ab309540, the same antibody clone in a different buffer formulation. Immunohistochemical analysis of 4% PFA-fixed, 0.2% Triton X-100 permeabilized frozen Mouse cerebellum (fresh) tissue labeling GABA A Receptor beta 2 with ab309540 at 1/50 (10.24 ug/ml) dilution followed by ab150081 Goat Anti-Rabbit IgG H&L (Alexa Fluor® 488) preadsorbed at 1/1000 2 ug/mL dilution (Green). Panel A : merged staining of anti-GABRB2 (ab309540, green), anti-NeuN (ab190565, grey) and anti-GFAP (ab201732, red) on mouse cerebellum.Panel B : anti-GABRB2 stained on mouse cerebellum.Panel C : anti-NeuN stained in neurons of mouse cerebellum.Panel D : anti-GFAP stained in astrocytes of mouse cerebellum.The section was incubated in two rounds of staining : in the order of ab309540 and ab190565, ab201732 for 1 hr at room temperature. The nuclear counterstain was DAPI (Blue). The section was then mounted using Fluoromount®.The immunostaining was performed on a Leica Biosystems BOND® RX instrument. Image was taken with a confocal microscope (Leica-Microsystems, TCS SP8). is observed. The nuclear counterstain was DAPI (Blue). Secondary antibody control : Secondary antibody is ab150081 Goat Anti-Rabbit IgG H&L (Alexa Fluor® 488) preadsorbedat 1/1000 2 ug/mL dilution.<\p> <\p>

Immunohistochemistry (Frozen sections) - Anti-GABA A Receptor beta 2 antibody [EPR28366-42] - BSA and Azide free (AB309541)
  • IHC-Fr

Supplier Data

Immunohistochemistry (Frozen sections) - Anti-GABA A Receptor beta 2 antibody [EPR28366-42] - BSA and Azide free (AB309541)

This data was developed using ab309540, the same antibody clone in a different buffer formulation. Immunohistochemical analysis of 4% PFA-fixed, 0.2% Triton X-100 permeabilized frozen Rat skeletal muscle (fresh) tissue labeling GABA A Receptor beta 2 with ab309540 at 1/50 (10.24 ug/ml) dilution followed by ab150081 Goat Anti-Rabbit IgG H&L (Alexa Fluor 488) pre-adsorbed at 1/1000 2 ug/mL dilution (Green). Negative control : confocal image showing no staining on Rat skeletal muscle. The nuclear counterstain was DAPI (Blue). The section was incubated with ab309540 for 60 mins at room temperature. The section was then mounted using Fluoromount. The immunostaining was performed on a Leica Biosystems BOND RX instrument. Image was taken with a confocal microscope is observed. The nuclear counterstain was DAPI (Blue). Secondary antibody control : Secondary antibody is ab150081 Goat Anti-Rabbit IgG H&L (Alexa Fluor 488) pre-adsorbed at 1/1000 2 ug/mL dilution.

  • Unconjugated

    Anti-GABA A Receptor beta 2 antibody [EPR28366-42]

Key facts

Host species

Rabbit

Clonality

Monoclonal

Clone number

EPR28366-42

Isotype

IgG

Carrier free

Yes

Reacts with

Human, Mouse, Rat

Applications

IHC-P, IHC-Fr

applications

Immunogen

The exact immunogen used to generate this antibody is proprietary information.

Reactivity data

{ "title": "Reactivity Data", "filters": { "stats": ["", "Species", "Dilution Info", "Notes"], "tabs": { "all-applications": {"fullname" : "All Applications", "shortname": "All Applications"}, "IHCP" : {"fullname" : "Immunohistochemistry (Formalin/PFA-fixed paraffin-embedded sections)", "shortname":"IHC-P"}, "IHCFr" : {"fullname" : "Immunohistochemistry (Frozen sections)", "shortname":"IHC-Fr"}, "WB" : {"fullname" : "Western blot", "shortname":"WB"}, "ICCIF" : {"fullname" : "Immunocytochemistry/ Immunofluorescence", "shortname":"ICC/IF"}, "FlowCytIntra" : {"fullname" : "Flow Cytometry (Intracellular)", "shortname":"Flow Cyt (Intra)"} }, "product-promise": { "all": "all", "testedAndGuaranteed": "tested", "guaranteed": "expected", "predicted": "predicted", "notRecommended": "not-recommended" } }, "values": { "Human": { "IHCP-species-checked": "testedAndGuaranteed", "IHCP-species-dilution-info": "", "IHCP-species-notes": "<p></p>", "IHCFr-species-checked": "guaranteed", "IHCFr-species-dilution-info": "", "IHCFr-species-notes": "", "WB-species-checked": "notRecommended", "WB-species-dilution-info": "", "WB-species-notes": "<p></p>", "ICCIF-species-checked": "notRecommended", "ICCIF-species-dilution-info": "", "ICCIF-species-notes": "", "FlowCytIntra-species-checked": "notRecommended", "FlowCytIntra-species-dilution-info": "", "FlowCytIntra-species-notes": "" }, "Mouse": { "IHCP-species-checked": "testedAndGuaranteed", "IHCP-species-dilution-info": "", "IHCP-species-notes": "<p></p>", "IHCFr-species-checked": "testedAndGuaranteed", "IHCFr-species-dilution-info": "", "IHCFr-species-notes": "<p></p>", "WB-species-checked": "notRecommended", "WB-species-dilution-info": "", "WB-species-notes": "<p></p>", "ICCIF-species-checked": "notRecommended", "ICCIF-species-dilution-info": "", "ICCIF-species-notes": "<p></p>", "FlowCytIntra-species-checked": "notRecommended", "FlowCytIntra-species-dilution-info": "", "FlowCytIntra-species-notes": "<p></p>" }, "Rat": { "IHCP-species-checked": "testedAndGuaranteed", "IHCP-species-dilution-info": "", "IHCP-species-notes": "<p></p>", "IHCFr-species-checked": "testedAndGuaranteed", "IHCFr-species-dilution-info": "", "IHCFr-species-notes": "<p></p>", "WB-species-checked": "notRecommended", "WB-species-dilution-info": "", "WB-species-notes": "<p></p>", "ICCIF-species-checked": "notRecommended", "ICCIF-species-dilution-info": "", "ICCIF-species-notes": "", "FlowCytIntra-species-checked": "notRecommended", "FlowCytIntra-species-dilution-info": "", "FlowCytIntra-species-notes": "" } } }

Product details

Patented technology
Our RabMAb® technology is a patented hybridoma-based technology for making rabbit monoclonal antibodies. For details on our patents, please refer to RabMAb® patents.

What are the advantages of a recombinant monoclonal antibody?
This product is a recombinant monoclonal antibody, which offers several advantages including:

  • - High batch-to-batch consistency and reproducibility
  • - Improved sensitivity and specificity
  • - Long-term security of supply
  • - Animal-free batch production

For more information, read more on recombinant antibodies.

Conjugation ready
Our carrier-free antibodies are typically supplied in a PBS-only formulation, purified and free of BSA, sodium azide and glycerol. This conjugation-ready format is designed for use with fluorochromes, metal isotopes, oligonucleotides, and enzymes, which makes them ideal for antibody labelling, functional and cell-based assays, flow-based assays (e.g. mass cytometry) and Multiplex Imaging applications.

Use our conjugation kits for antibody conjugates that are ready-to-use in as little as 20 minutes with 1 minute hands-on-time and 100% antibody recovery: available for fluorescent dyes, HRP, biotin and gold.

Compatibility
This product is compatible with the Maxpar® Antibody Labeling Kit from Fluidigm, without the need for antibody preparation. Maxpar® is a trademark of Fluidigm Canada Inc.

Properties and storage information

Form
Liquid
Purification technique
Affinity purification Protein A
Storage buffer
pH: 7.2 - 7.4 Constituents: PBS
Shipped at conditions
Blue Ice
Appropriate short-term storage conditions
+4°C
Appropriate long-term storage conditions
+4°C

Product protocols

For this product, it's our understanding that no specific protocols are required. You can visit:

Target data

Beta subunit of the heteropentameric ligand-gated chloride channel gated by gamma-aminobutyric acid (GABA), a major inhibitory neurotransmitter in the brain (PubMed : 27129275). GABA-gated chloride channels, also named GABA(A) receptors (GABAAR), consist of five subunits arranged around a central pore and contain GABA active binding site(s) located at the alpha and beta subunit interface(s) (By similarity). When activated by GABA, GABAARs selectively allow the flow of chloride anions across the cell membrane down their electrochemical gradient (By similarity). Chloride influx into the postsynaptic neuron following GABAAR opening decreases the neuron ability to generate a new action potential, thereby reducing nerve transmission (By similarity). GABAARs containing alpha-1 and beta-2 or -3 subunits exhibit synaptogenic activity; the gamma-2 subunit being necessary but not sufficient to induce rapid synaptic contacts formation (PubMed : 27129275). Extrasynaptic beta-2 receptors contribute to the tonic GABAergic inhibition (By similarity). Beta-containing GABAARs can simultaneously bind GABA and histamine where histamine binds at the interface of two neighboring beta subunits, which may be involved in the regulation of sleep and wakefulness (By similarity).
See full target information Gabrb2

Product promise

We are committed to supporting your work with high-quality reagents, and we're here for you every step of the way. In the unlikely event that one of our products does not perform as expected, you're protected by our Product Promise.
For full details, please see our Terms & Conditions

Please note: All products are 'FOR RESEARCH USE ONLY. NOT FOR USE IN DIAGNOSTIC OR THERAPEUTIC PROCEDURES'.

For licensing inquiries, please contact partnerships@abcam.com