JavaScript is disabled in your browser. Please enable JavaScript to view this website.
AB288571

Anti-GABA A Receptor gamma 2/GABRG2 antibody [EPR25325-5] - BSA and Azide free

Be the first to review this product! Submit a review

|

(0 Publication)

Rabbit Recombinant Monoclonal GABA A Receptor gamma 2/GABRG2 antibody. Carrier free. Suitable for ICC/IF, IP, WB, Flow Cyt and reacts with Mouse, Human, Rat samples.

View Alternative Names

Gamma-aminobutyric acid receptor subunit gamma-2, GABA(A) receptor subunit gamma-2, GABAAR subunit gamma-2, GABRG2

6 Images
Immunocytochemistry/ Immunofluorescence - Anti-GABA A Receptor gamma 2/GABRG2 antibody [EPR25325-5] - BSA and Azide free (AB288571)
  • ICC/IF

Lab

Immunocytochemistry/ Immunofluorescence - Anti-GABA A Receptor gamma 2/GABRG2 antibody [EPR25325-5] - BSA and Azide free (AB288571)

This data was developed using ab288564, the same antibody clone in a different buffer formulation.

Immunofluorescent analysis of 4% Paraformaldehyde-fixed, 0.1% TritonX-100 permeabilized SH-SY5Y cells labelling GABA A Receptor gamma 2/GABRG2 with ab288564 at 1/500 dilution, followed by ab150081 Goat Anti-Rabbit IgG H&L (Alexa Fluor® 488) preadsorbed antibody at 1/1000 dilution (Green). Confocal image showing membranous staining in SH-SY5Y cell line. Negative control : HEK-293T (PMID : 27864268. ab195889 Anti-alpha Tubulin mouse monoclonal antibody - Microtubule Marker (Alexa Fluor® 594) was used to counterstain tubulin at 1/200 dilution (Red). The Nuclear counterstain was DAPI (Blue).

Secondary antibody only control : Secondary antibody is ab150081 Goat Anti-Rabbit IgG H&L (Alexa Fluor® 488) preadsorbed at 1/1000 dilution.

Flow Cytometry (Intracellular) - Anti-GABA A Receptor gamma 2/GABRG2 antibody [EPR25325-5] - BSA and Azide free (AB288571)
  • Flow Cyt (Intra)

Lab

Flow Cytometry (Intracellular) - Anti-GABA A Receptor gamma 2/GABRG2 antibody [EPR25325-5] - BSA and Azide free (AB288571)

This data was developed using ab288564, the same antibody clone in a different buffer formulation.

Flow cytometric analysis of HEK-293T (Human embryonic kidney epithelial cell, left) / SH-SY5Y (Human neuroblastoma epithelial cell, Right) cells labelling GABA A Receptor gamma 2/GABRG2 with ab288564 at 1/50 dilution (1ug). A Goat Anti-Rabbit IgG (Alexa Fluor® 488, ab150081) at 1/2000 dilution was used as the secondary antibody. Negative control : HEK-293T (PMID : 27864268). Gated on viable cells.

Immunocytochemistry/ Immunofluorescence - Anti-GABA A Receptor gamma 2/GABRG2 antibody [EPR25325-5] - BSA and Azide free (AB288571)
  • ICC/IF

Lab

Immunocytochemistry/ Immunofluorescence - Anti-GABA A Receptor gamma 2/GABRG2 antibody [EPR25325-5] - BSA and Azide free (AB288571)

This data was developed using ab288564, the same antibody clone in a different buffer formulation.

Immunofluorescent analysis of 4% Paraformaldehyde-fixed, 0.1% TritonX-100 permeabilized Neuro-2a cells labelling GABA A Receptor gamma 2/GABRG2 with ab288564 at 1/500 dilution, followed by ab150081 Goat Anti-Rabbit IgG H&L (Alexa Fluor® 488) preadsorbed antibody at 1/1000 dilution (Green). Confocal image showing membranous staining in Neuro-2a cell line. ab195889 Anti-alpha Tubulin mouse monoclonal antibody - Microtubule Marker (Alexa Fluor® 594) was used to counterstain tubulin at 1/200 dilution (Red). The Nuclear counterstain was DAPI (Blue).

Secondary antibody only control : Secondary antibody is ab150081 Goat Anti-Rabbit IgG H&L (Alexa Fluor® 488) preadsorbed at 1/1000 dilution.

Immunoprecipitation - Anti-GABA A Receptor gamma 2/GABRG2 antibody [EPR25325-5] - BSA and Azide free (AB288571)
  • IP

Lab

Immunoprecipitation - Anti-GABA A Receptor gamma 2/GABRG2 antibody [EPR25325-5] - BSA and Azide free (AB288571)

This data was developed using ab288564, the same antibody clone in a different buffer formulation.

GABA A Receptor gamma 2/GABRG2 was immunoprecipitated from 0.35 mg Mouse brain tissue lysate with ab288564 at 1/30 dilution (2ug in 0.35mg lysates). Western blot was performed on the immunoprecipitate using ab288564 at 1/1000 dilution. VeriBlot for IP secondary antibody(HRP)(ab131366) was used at 1/5000 dilution.

Lane 1 : Mouse brain tissue lysate 10ug

Lane 2 : ab288564 IP in Mouse brain tissue lysate

Lane 3 : Rabbit monoclonal IgG (ab172730) instead of ab288564 in Mouse brain tissue lysate

Blocking and dilution buffer and concentration : 5% NFDM/TBST.

Exposure time : 101 seconds

All lanes:

Immunoprecipitation - Anti-GABA A Receptor gamma 2/GABRG2 antibody [EPR25325-5] (<a href='/en-us/products/primary-antibodies/gaba-a-receptor-gamma-2-gabrg2-antibody-epr25325-5-ab288564'>ab288564</a>)

Predicted band size: 54 kDa

Observed band size: 50 kDa

false

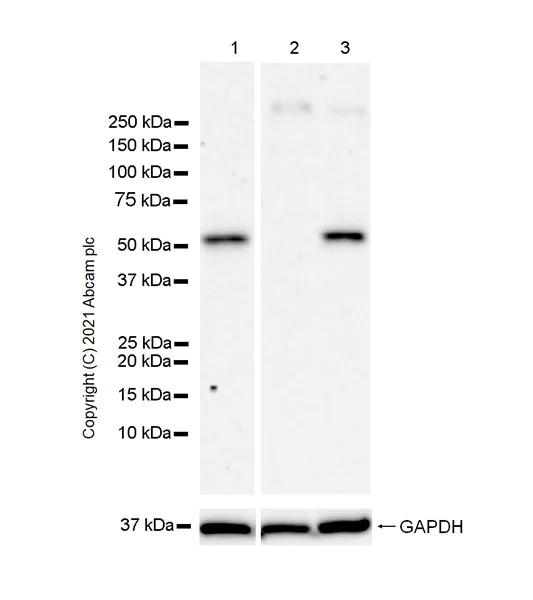
Western blot - Anti-GABA A Receptor gamma 2/GABRG2 antibody [EPR25325-5] - BSA and Azide free (AB288571)
  • WB

Lab

Western blot - Anti-GABA A Receptor gamma 2/GABRG2 antibody [EPR25325-5] - BSA and Azide free (AB288571)

This data was developed using ab288564, the same antibody clone in a different buffer formulation.

Blocking and diluting buffer and concentration : 5% NFDM/TBST

Negative control : HEK-293T (PMID : 27864268).

Exposure time : 147 seconds

All lanes:

Western blot - Anti-GABA A Receptor gamma 2/GABRG2 antibody [EPR25325-5] (<a href='/en-us/products/primary-antibodies/gaba-a-receptor-gamma-2-gabrg2-antibody-epr25325-5-ab288564'>ab288564</a>) at 1/1000 dilution

Lane 1:

SH-SY5Y (human neuroblastoma epithelial cell), whole cell lysate at 20 µg

Lane 2:

HEK-293T (Human embryonic kidney epithelial cell), whole cell lysate at 20 µg

Lane 3:

A-172 (human brain glioblastoma), whole cell lysate at 20 µg

Secondary

All lanes:

Goat Anti-Rabbit IgG, (H+L), Peroxidase conjugated (<a href='/en-us/products/secondary-antibodies/goat-rabbit-igg-h-l-hrp-ab97051'>ab97051</a>) at 1/100000 dilution

Predicted band size: 54 kDa

Observed band size: 54 kDa

false

Western blot - Anti-GABA A Receptor gamma 2/GABRG2 antibody [EPR25325-5] - BSA and Azide free (AB288571)
  • WB

Lab

Western blot - Anti-GABA A Receptor gamma 2/GABRG2 antibody [EPR25325-5] - BSA and Azide free (AB288571)

This data was developed using ab288564, the same antibody clone in a different buffer formulation.

Blocking and diluting buffer and concentration : 5% NFDM/TBST

The blot of Lanes 3 & 5 was developed using a higher sensitivity ECL substrate.

Exposure time : Lane 1, 2 & 4 : 147 seconds. Lane 3 & 5 : 3 minutes

All lanes:

Western blot - Anti-GABA A Receptor gamma 2/GABRG2 antibody [EPR25325-5] (<a href='/en-us/products/primary-antibodies/gaba-a-receptor-gamma-2-gabrg2-antibody-epr25325-5-ab288564'>ab288564</a>) at 1/1000 dilution

Lane 1:

Rat brain tissue lysate at 20 µg

Lane 2:

Rat cerebral cortex tissue lysate at 20 µg

Lane 3:

Mouse brain tissue lysate at 20 µg

Lane 4:

Mouse cerebellum tissue lysate at 20 µg

Lane 5:

Neuro-2a (mouse neuroblastoma neuroblast), whole cell lysate at 20 µg

Secondary

All lanes:

Goat Anti-Rabbit IgG, (H+L), Peroxidase conjugated (<a href='/en-us/products/secondary-antibodies/goat-rabbit-igg-h-l-hrp-ab97051'>ab97051</a>) at 1/100000 dilution

Predicted band size: 54 kDa

Observed band size: 54 kDa

false

  • Unconjugated

    Anti-GABA A Receptor gamma 2/GABRG2 antibody [EPR25325-5]

Key facts

Host species

Rabbit

Clonality

Monoclonal

Clone number

EPR25325-5

Isotype

IgG

Carrier free

Yes

Reacts with

Mouse, Rat, Human

Applications

ICC/IF, WB, Flow Cyt, IP

applications

Immunogen

The exact immunogen used to generate this antibody is proprietary information.

Specificity

Flow Cyt application does not react with Mouse species.

Reactivity data

{ "title": "Reactivity Data", "filters": { "stats": ["", "Species", "Dilution Info", "Notes"], "tabs": { "all-applications": {"fullname" : "All Applications", "shortname": "All Applications"}, "ICCIF" : {"fullname" : "Immunocytochemistry/ Immunofluorescence", "shortname":"ICC/IF"}, "IP" : {"fullname" : "Immunoprecipitation", "shortname":"IP"}, "WB" : {"fullname" : "Western blot", "shortname":"WB"}, "FlowCyt" : {"fullname" : "Flow Cytometry", "shortname":"Flow Cyt"}, "IHCP" : {"fullname" : "Immunohistochemistry (Formalin/PFA-fixed paraffin-embedded sections)", "shortname":"IHC-P"}, "IHCFr" : {"fullname" : "Immunohistochemistry (Frozen sections)", "shortname":"IHC-Fr"} }, "product-promise": { "all": "all", "testedAndGuaranteed": "tested", "guaranteed": "expected", "predicted": "predicted", "notRecommended": "not-recommended" } }, "values": { "Human": { "ICCIF-species-checked": "testedAndGuaranteed", "ICCIF-species-dilution-info": "", "ICCIF-species-notes": "<p></p>", "IP-species-checked": "guaranteed", "IP-species-dilution-info": "", "IP-species-notes": "", "WB-species-checked": "testedAndGuaranteed", "WB-species-dilution-info": "", "WB-species-notes": "<p></p>", "FlowCyt-species-checked": "testedAndGuaranteed", "FlowCyt-species-dilution-info": "", "FlowCyt-species-notes": "<p></p>", "IHCP-species-checked": "notRecommended", "IHCP-species-dilution-info": "", "IHCP-species-notes": "<p></p>", "IHCFr-species-checked": "notRecommended", "IHCFr-species-dilution-info": "", "IHCFr-species-notes": "" }, "Mouse": { "ICCIF-species-checked": "testedAndGuaranteed", "ICCIF-species-dilution-info": "", "ICCIF-species-notes": "<p></p>", "IP-species-checked": "testedAndGuaranteed", "IP-species-dilution-info": "", "IP-species-notes": "<p></p>", "WB-species-checked": "testedAndGuaranteed", "WB-species-dilution-info": "", "WB-species-notes": "<p></p>", "FlowCyt-species-checked": "notRecommended", "FlowCyt-species-dilution-info": "", "FlowCyt-species-notes": "<p></p>", "IHCP-species-checked": "notRecommended", "IHCP-species-dilution-info": "", "IHCP-species-notes": "<p></p>", "IHCFr-species-checked": "notRecommended", "IHCFr-species-dilution-info": "", "IHCFr-species-notes": "<p></p>" }, "Rat": { "ICCIF-species-checked": "guaranteed", "ICCIF-species-dilution-info": "", "ICCIF-species-notes": "", "IP-species-checked": "guaranteed", "IP-species-dilution-info": "", "IP-species-notes": "", "WB-species-checked": "testedAndGuaranteed", "WB-species-dilution-info": "", "WB-species-notes": "<p></p>", "FlowCyt-species-checked": "guaranteed", "FlowCyt-species-dilution-info": "", "FlowCyt-species-notes": "", "IHCP-species-checked": "notRecommended", "IHCP-species-dilution-info": "", "IHCP-species-notes": "<p></p>", "IHCFr-species-checked": "notRecommended", "IHCFr-species-dilution-info": "", "IHCFr-species-notes": "<p></p>" } } }

Product details

ab288571 is the carrier-free version of ab288564.

Patented technology
Our RabMAb® technology is a patented hybridoma-based technology for making rabbit monoclonal antibodies. For details on our patents, please refer to RabMAb® patents.

What are the advantages of a recombinant monoclonal antibody?
This product is a recombinant monoclonal antibody, which offers several advantages including:

  • - High batch-to-batch consistency and reproducibility
  • - Improved sensitivity and specificity
  • - Long-term security of supply
  • - Animal-free batch production

For more information, read more on recombinant antibodies.

Conjugation ready
Our carrier-free antibodies are typically supplied in a PBS-only formulation, purified and free of BSA, sodium azide and glycerol. This conjugation-ready format is designed for use with fluorochromes, metal isotopes, oligonucleotides, and enzymes, which makes them ideal for antibody labelling, functional and cell-based assays, flow-based assays (e.g. mass cytometry) and Multiplex Imaging applications.

Use our conjugation kits for antibody conjugates that are ready-to-use in as little as 20 minutes with 1 minute hands-on-time and 100% antibody recovery: available for fluorescent dyes, HRP, biotin and gold.

Compatibility
This product is compatible with the Maxpar® Antibody Labeling Kit from Fluidigm, without the need for antibody preparation. Maxpar® is a trademark of Fluidigm Canada Inc.

Properties and storage information

Form
Liquid
Purification technique
Affinity purification Protein A
Storage buffer
pH: 7.2 - 7.4 Constituents: PBS
Shipped at conditions
Blue Ice
Appropriate short-term storage conditions
+4°C
Appropriate long-term storage conditions
+4°C

Product protocols

For this product, it's our understanding that no specific protocols are required. You can visit:

Target data

Gamma subunit of the heteropentameric ligand-gated chloride channel gated by gamma-aminobutyric acid (GABA), a major inhibitory neurotransmitter in the brain (PubMed : 14993607, PubMed : 16412217, PubMed : 23909897, PubMed : 2538761, PubMed : 25489750, PubMed : 27864268, PubMed : 29950725, PubMed : 30602789). GABA-gated chloride channels, also named GABA(A) receptors (GABAAR), consist of five subunits arranged around a central pore and contain GABA active binding site(s) located at the alpha and beta subunit interface(s) (PubMed : 29950725, PubMed : 30602789). When activated by GABA, GABAARs selectively allow the flow of chloride anions across the cell membrane down their electrochemical gradient (PubMed : 14993607, PubMed : 16412217, PubMed : 2538761, PubMed : 27864268, PubMed : 29950725, PubMed : 30602789). Gamma-2/GABRG2-containing GABAARs are found at both synaptic and extrasynaptic sites (By similarity). Chloride influx into the postsynaptic neuron following GABAAR opening decreases the neuron ability to generate a new action potential, thereby reducing nerve transmission (By similarity). GABAARs containing alpha-1 and beta-2 or -3 subunits exhibit synaptogenic activity; the gamma-2 subunit being necessary but not sufficient to induce rapid synaptic contacts formation (PubMed : 23909897, PubMed : 25489750). Extrasynaptic gamma-2-containing receptors contribute to the tonic GABAergic inhibition (By similarity). GABAARs function also as histamine receptor where histamine binds at the interface of two neighboring beta subunits and potentiates GABA response in a gamma-2 subunit-controlled manner (By similarity).
See full target information GABRG2

Product promise

We are committed to supporting your work with high-quality reagents, and we're here for you every step of the way. In the unlikely event that one of our products does not perform as expected, you're protected by our Product Promise.
For full details, please see our Terms & Conditions

Please note: All products are 'FOR RESEARCH USE ONLY. NOT FOR USE IN DIAGNOSTIC OR THERAPEUTIC PROCEDURES'.

For licensing inquiries, please contact partnerships@abcam.com