JavaScript is disabled in your browser. Please enable JavaScript to view this website.
AB307232

Anti-GABA A Receptor gamma 2/GABRG2 antibody [N452/69] - BSA and Azide free

Be the first to review this product! Submit a review

|

(0 Publication)

Mouse Recombinant Monoclonal GABA A Receptor gamma 2/GABRG2 antibody. Carrier free. Suitable for IHC-P and reacts with Rat, Mouse samples.

View Alternative Names

Gamma-aminobutyric acid receptor subunit gamma-2, GABA(A) receptor subunit gamma-2, GABAAR subunit gamma-2, GABRG2

3 Images
Immunohistochemistry - Anti-GABA A Receptor gamma 2/GABRG2 antibody [N452/69] - BSA and Azide free (AB307232)
  • IHC

Supplier Data

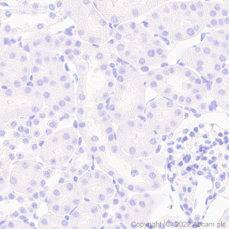
Immunohistochemistry - Anti-GABA A Receptor gamma 2/GABRG2 antibody [N452/69] - BSA and Azide free (AB307232)

This data was developed using ab307231, the same antibody clone in a different buffer formulation. Immunohistochemical analysis of paraffin-embedded mouse kidney tissue labeling GABA A Receptor gamma 2/GABRG2 with ab307231 at 1/500 dilution (1.654 ug/ml) followed by ready to use LeicaDS9800 (Bond™ Polymer Refine Detection). Negative control : no staining on mouse kidney. The section was incubated with ab307231 for 30 mins at room temperature, followed by anti-mouse IgG2a antibody for 8 mins during the LeicaDS9800 kit staining procedure. The immunostaining was performed on a Leica Biosystems BOND® RX instrument. Counterstained with Hematoxylin. Secondary antibody only control : Secondary antibody is ready to use LeicaDS9800 (Bond™ Polymer Refine Detection). Heat mediated antigen retrieval was performed with Tris-EDTA buffer (pH 9.0, Epitope Retrieval Solution2) for 20 mins.

Immunohistochemistry - Anti-GABA A Receptor gamma 2/GABRG2 antibody [N452/69] - BSA and Azide free (AB307232)
  • IHC

Supplier Data

Immunohistochemistry - Anti-GABA A Receptor gamma 2/GABRG2 antibody [N452/69] - BSA and Azide free (AB307232)

This data was developed using ab307231, the same antibody clone in a different buffer formulation. Immunohistochemical analysis of paraffin-embedded rat cerebrum tissue labeling GABA A Receptor gamma 2/GABRG2 with ab307231 at 1/500 dilution (1.654 ug/ml) followed by ready to use LeicaDS9800 (Bond™ Polymer Refine Detection). Positive staining on rat cerebrum is observed. The section was incubated with ab307231 for 30 mins at room temperature, followed by anti-mouse IgG2a antibody for 8 mins during the LeicaDS9800 kit staining procedure. The immunostaining was performed on a Leica Biosystems BOND® RX instrument. Counterstained with Hematoxylin. Secondary antibody only control : Secondary antibody is ready to use LeicaDS9800 (Bond™ Polymer Refine Detection). Heat mediated antigen retrieval was performed with Tris-EDTA buffer (pH 9.0, Epitope Retrieval Solution2) for 20 mins.

Immunohistochemistry - Anti-GABA A Receptor gamma 2/GABRG2 antibody [N452/69] - BSA and Azide free (AB307232)
  • IHC

Supplier Data

Immunohistochemistry - Anti-GABA A Receptor gamma 2/GABRG2 antibody [N452/69] - BSA and Azide free (AB307232)

This data was developed using ab307231, the same antibody clone in a different buffer formulation. Immunohistochemical analysis of paraffin-embedded mouse cerebrum tissue labeling GABA A Receptor gamma 2/GABRG2 with ab307231 at 1/500 dilution (1.654 ug/ml) followed by ready to use LeicaDS9800 (Bond™ Polymer Refine Detection). Positive staining on mouse cerebrum is observed. The section was incubated with ab307231 for 30 mins at room temperature, followed by anti-mouse IgG2a antibody for 8 mins during the LeicaDS9800 kit staining procedure. The immunostaining was performed on a Leica Biosystems BOND® RX instrument. Counterstained with Hematoxylin. Secondary antibody only control : Secondary antibody is ready to use LeicaDS9800 (Bond™ Polymer Refine Detection). Heat mediated antigen retrieval was performed with Tris-EDTA buffer (pH 9.0, Epitope Retrieval Solution2) for 20 mins.

  • Unconjugated

    Anti-GABA A Receptor gamma 2/GABRG2 antibody [N452/69]

Key facts

Host species

Mouse

Clonality

Monoclonal

Clone number

N452/69

Isotype

IgG2a

Carrier free

Yes

Reacts with

Rat, Mouse

Applications

IHC-P

applications

Immunogen

The exact immunogen used to generate this antibody is proprietary information.

Reactivity data

{ "title": "Reactivity Data", "filters": { "stats": ["", "Species", "Dilution Info", "Notes"], "tabs": { "all-applications": {"fullname" : "All Applications", "shortname": "All Applications"}, "IHCP" : {"fullname" : "Immunohistochemistry (Formalin/PFA-fixed paraffin-embedded sections)", "shortname":"IHC-P"}, "ICCIF" : {"fullname" : "Immunocytochemistry/ Immunofluorescence", "shortname":"ICC/IF"}, "WB" : {"fullname" : "Western blot", "shortname":"WB"} }, "product-promise": { "all": "all", "testedAndGuaranteed": "tested", "guaranteed": "expected", "predicted": "predicted", "notRecommended": "not-recommended" } }, "values": { "Human": { "IHCP-species-checked": "notRecommended", "IHCP-species-dilution-info": "", "IHCP-species-notes": "<p></p> Perform heat-mediated antigen retrieval with Tris/EDTA buffer pH 9.0 before commencing with IHC staining protocol.", "ICCIF-species-checked": "notRecommended", "ICCIF-species-dilution-info": "", "ICCIF-species-notes": "<p></p>", "WB-species-checked": "notRecommended", "WB-species-dilution-info": "", "WB-species-notes": "<p></p>" }, "Mouse": { "IHCP-species-checked": "testedAndGuaranteed", "IHCP-species-dilution-info": "", "IHCP-species-notes": "<p></p> Perform heat-mediated antigen retrieval with Tris/EDTA buffer pH 9.0 before commencing with IHC staining protocol.", "ICCIF-species-checked": "notRecommended", "ICCIF-species-dilution-info": "", "ICCIF-species-notes": "<p></p>", "WB-species-checked": "notRecommended", "WB-species-dilution-info": "", "WB-species-notes": "<p></p>" }, "Rat": { "IHCP-species-checked": "testedAndGuaranteed", "IHCP-species-dilution-info": "", "IHCP-species-notes": "<p></p> Perform heat-mediated antigen retrieval with Tris/EDTA buffer pH 9.0 before commencing with IHC staining protocol.", "ICCIF-species-checked": "notRecommended", "ICCIF-species-dilution-info": "", "ICCIF-species-notes": "", "WB-species-checked": "notRecommended", "WB-species-dilution-info": "", "WB-species-notes": "<p></p>" } } }

Product details

Want a custom formulation?
This antibody clone is manufactured by Abcam. If you require a custom buffer formulation or conjugation for your experiments, please contact orders@abcam.com

What are the advantages of a recombinant monoclonal antibody?
This product is a recombinant monoclonal antibody, which offers several advantages including:

  • - High batch-to-batch consistency and reproducibility
  • - Improved sensitivity and specificity
  • - Long-term security of supply
  • - Animal-free batch production

For more information, read more on recombinant antibodies.

Conjugation ready
Our carrier-free antibodies are typically supplied in a PBS-only formulation, purified and free of BSA, sodium azide and glycerol. This conjugation-ready format is designed for use with fluorochromes, metal isotopes, oligonucleotides, and enzymes, which makes them ideal for antibody labelling, functional and cell-based assays, flow-based assays (e.g. mass cytometry) and Multiplex Imaging applications.

Use our conjugation kits for antibody conjugates that are ready-to-use in as little as 20 minutes with 1 minute hands-on-time and 100% antibody recovery: available for fluorescent dyes, HRP, biotin and gold.

Compatibility
This product is compatible with the Maxpar® Antibody Labeling Kit from Fluidigm, without the need for antibody preparation. Maxpar® is a trademark of Fluidigm Canada Inc.

Properties and storage information

Form
Liquid
Purification technique
Affinity purification Protein A
Storage buffer
pH: 7.2 - 7.4 Constituents: PBS
Shipped at conditions
Blue Ice
Appropriate short-term storage conditions
+4°C
Appropriate long-term storage conditions
+4°C

Product protocols

For this product, it's our understanding that no specific protocols are required. You can visit:

Target data

Gamma subunit of the heteropentameric ligand-gated chloride channel gated by gamma-aminobutyric acid (GABA), a major inhibitory neurotransmitter in the brain (PubMed : 14993607, PubMed : 16412217, PubMed : 23909897, PubMed : 2538761, PubMed : 25489750, PubMed : 27864268, PubMed : 29950725, PubMed : 30602789). GABA-gated chloride channels, also named GABA(A) receptors (GABAAR), consist of five subunits arranged around a central pore and contain GABA active binding site(s) located at the alpha and beta subunit interface(s) (PubMed : 29950725, PubMed : 30602789). When activated by GABA, GABAARs selectively allow the flow of chloride anions across the cell membrane down their electrochemical gradient (PubMed : 14993607, PubMed : 16412217, PubMed : 2538761, PubMed : 27864268, PubMed : 29950725, PubMed : 30602789). Gamma-2/GABRG2-containing GABAARs are found at both synaptic and extrasynaptic sites (By similarity). Chloride influx into the postsynaptic neuron following GABAAR opening decreases the neuron ability to generate a new action potential, thereby reducing nerve transmission (By similarity). GABAARs containing alpha-1 and beta-2 or -3 subunits exhibit synaptogenic activity; the gamma-2 subunit being necessary but not sufficient to induce rapid synaptic contacts formation (PubMed : 23909897, PubMed : 25489750). Extrasynaptic gamma-2-containing receptors contribute to the tonic GABAergic inhibition (By similarity). GABAARs function also as histamine receptor where histamine binds at the interface of two neighboring beta subunits and potentiates GABA response in a gamma-2 subunit-controlled manner (By similarity).
See full target information GABRG2

Product promise

We are committed to supporting your work with high-quality reagents, and we're here for you every step of the way. In the unlikely event that one of our products does not perform as expected, you're protected by our Product Promise.
For full details, please see our Terms & Conditions

Please note: All products are 'FOR RESEARCH USE ONLY. NOT FOR USE IN DIAGNOSTIC OR THERAPEUTIC PROCEDURES'.

For licensing inquiries, please contact partnerships@abcam.com