JavaScript is disabled in your browser. Please enable JavaScript to view this website.
AB308438

Anti-GABA antibody [EPR24433-9] - BSA and Azide free

Be the first to review this product! Submit a review

|

(0 Publication)

Rabbit Recombinant Monoclonal GABA antibody. Carrier free. Suitable for WB, IHC-P, I-ELISA and reacts with Chemical samples.

View Alternative Names

4 aminobutanoic acid, Gamma amino butyric acid

6 Images
Immunohistochemistry (Formalin/PFA-fixed paraffin-embedded sections) - Anti-GABA antibody [EPR24433-9] - BSA and Azide free (AB308438)
  • IHC-P

Supplier Data

Immunohistochemistry (Formalin/PFA-fixed paraffin-embedded sections) - Anti-GABA antibody [EPR24433-9] - BSA and Azide free (AB308438)

This data was produced using ab308437, the same clone but in a different formulation. Immunohistochemical analysis of paraffin-embedded rat cerebrum tissue labeling GABA with ab308437 at 1/500 dilution (1.036 ug/ml) followed by ready to use LeicaDS9800 (Bond® Polymer Refine Detection). Positive staining on rat cerebrum. The section was incubated with ab308437 for 30 mins at room temperature. The immunostaining was performed on a Leica Biosystems BOND® RX instrument. Counterstained with Hematoxylin. Secondary antibody only control : Secondary antibody is ready to use LeicaDS9800 (Bond® Polymer Refine Detection). Heat mediated antigen retrieval was performed with Tris-EDTA buffer (pH 9.0, Epitope Retrieval Solution2) for 20 mins.

Immunohistochemistry (Formalin/PFA-fixed paraffin-embedded sections) - Anti-GABA antibody [EPR24433-9] - BSA and Azide free (AB308438)
  • IHC-P

Supplier Data

Immunohistochemistry (Formalin/PFA-fixed paraffin-embedded sections) - Anti-GABA antibody [EPR24433-9] - BSA and Azide free (AB308438)

This data was produced using ab308437, the same clone but in a different formulation. Immunohistochemical analysis of paraffin-embedded rat skeletal muscle tissue labeling GABA with ab308437 at 1/500 dilution (1.036 ug/ml) followed by ready to use LeicaDS9800 (Bond® Polymer Refine Detection). Negative control : No staining on rat skeletal muscle. The section was incubated with ab308437 for 30 mins at room temperature. The immunostaining was performed on a Leica Biosystems BOND® RX instrument. Counterstained with Hematoxylin. Secondary antibody only control : Secondary antibody is ready to use LeicaDS9800 (Bond® Polymer Refine Detection). Heat mediated antigen retrieval was performed with Tris-EDTA buffer (pH 9.0, Epitope Retrieval Solution2) for 20 mins.

Immunohistochemistry (Formalin/PFA-fixed paraffin-embedded sections) - Anti-GABA antibody [EPR24433-9] - BSA and Azide free (AB308438)
  • IHC-P

Supplier Data

Immunohistochemistry (Formalin/PFA-fixed paraffin-embedded sections) - Anti-GABA antibody [EPR24433-9] - BSA and Azide free (AB308438)

This data was produced using ab308437, the same clone but in a different formulation. Immunohistochemical analysis of paraffin-embedded mouse hippocampus tissue labeling GABA with ab308437 at 1/500 dilution (1.036 ug/ml) followed by ready to use LeicaDS9800 (Bond® Polymer Refine Detection). Positive staining on mouse hippocampus. The section was incubated with ab308437 for 30 mins at room temperature. The immunostaining was performed on a Leica Biosystems BOND® RX instrument. Counterstained with Hematoxylin. Secondary antibody only control : Secondary antibody is ready to use LeicaDS9800 (Bond® Polymer Refine Detection). Heat mediated antigen retrieval was performed with Tris-EDTA buffer (pH 9.0, Epitope Retrieval Solution2) for 20 mins.

Immunohistochemistry (Formalin/PFA-fixed paraffin-embedded sections) - Anti-GABA antibody [EPR24433-9] - BSA and Azide free (AB308438)
  • IHC-P

Supplier Data

Immunohistochemistry (Formalin/PFA-fixed paraffin-embedded sections) - Anti-GABA antibody [EPR24433-9] - BSA and Azide free (AB308438)

This data was produced using ab308437, the same clone but in a different formulation. Immunohistochemical analysis of paraffin-embedded mouse skeletal muscle tissue labeling GABA with ab308437 at 1/500 dilution (1.036 ug/ml) followed by ready to use LeicaDS9800 (Bond® Polymer Refine Detection). Negative control : No staining on mouse skeletal muscle. The section was incubated with ab308437 for 30 mins at room temperature. The immunostaining was performed on a Leica Biosystems BOND® RX instrument. Counterstained with Hematoxylin. Secondary antibody only control : Secondary antibody is ready to use LeicaDS9800 (Bond® Polymer Refine Detection). Heat mediated antigen retrieval was performed with Tris-EDTA buffer (pH 9.0, Epitope Retrieval Solution2) for 20 mins.

Indirect ELISA - Anti-GABA antibody [EPR24433-9] - BSA and Azide free (AB308438)
  • I-ELISA

Supplier Data

Indirect ELISA - Anti-GABA antibody [EPR24433-9] - BSA and Azide free (AB308438)

This data was produced using ab308437, the same clone but in a different formulation. Indirect ELISA - Anti-GABA antibody [EPR24433-9] (ab308437) used at 0-1000 ng/ml. Secondary used is Alkaline Phosphatase-conjugated AffiniPure Goat Anti-Rabbit IgG (H+L) at a 1/2500 dilution. This antibody does not cross-react with L-Aspartic acid.

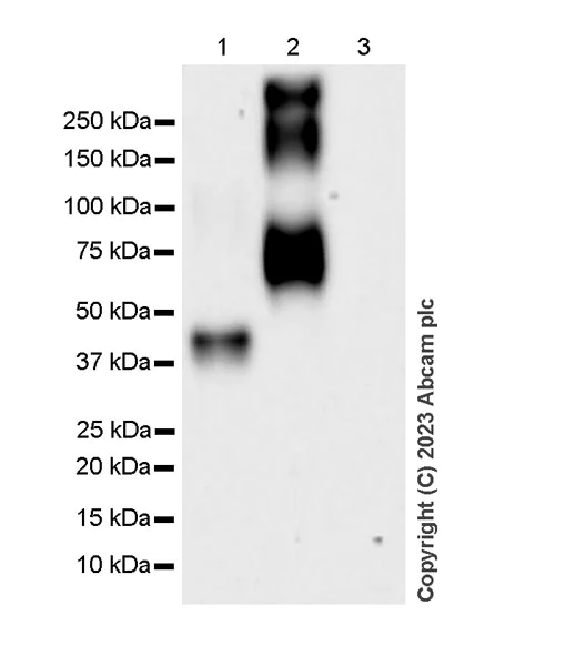
Western blot - Anti-GABA antibody [EPR24433-9] - BSA and Azide free (AB308438)
  • WB

Supplier Data

Western blot - Anti-GABA antibody [EPR24433-9] - BSA and Azide free (AB308438)

This data was produced using ab308437, the same clone but in a different formulation. Blocking and diluting buffer and concentration : 5% NFDM/TBST. This antibody does not cross-react with L-Aspartic acid. GABA has a molecular weight of 103Da, OVA 45kd, and BSA 67kd. In lane1, the band at approximately 45 kDa is the GABA cross-linked to OVA. In lane2, the band over 50 kDa is the GABA cross-linked to BSA.

All lanes:

Western blot - Anti-GABA antibody [EPR24433-9] (<a href='/en-us/products/primary-antibodies/gaba-antibody-epr24433-9-ab308437'>ab308437</a>) at 1/1000 dilution

Lane 1:

GABA cross-linked to OVA at 10 ng

Lane 2:

GABA cross-linked to BSA at 10 ng

Lane 3:

L-Aspartic acid cross-linked to BSA at 10 ng

Secondary

All lanes:

Western blot - Goat Anti-Rabbit IgG H&L (HRP) (<a href='/en-us/products/secondary-antibodies/goat-rabbit-igg-h-l-hrp-ab97051'>ab97051</a>) at 1/100000 dilution

Observed band size: 45 kDa,67 kDa

false

Exposure time: 103s

Key facts

Host species

Rabbit

Clonality

Monoclonal

Clone number

EPR24433-9

Isotype

IgG

Carrier free

Yes

Applications

IHC-P, I-ELISA, WB

applications

Immunogen

The exact immunogen used to generate this antibody is proprietary information.

Specificity

This RabMAb works well in mouse and rat brain tissues but not human. However, undetermined positive signals are found in human heart, liver, and testis for IHC.

WB application is recommended for testing GABA cross-linking proteins. We do not guarantee detection of endogenous GABA in WB.

Reactivity data

{ "title": "Reactivity Data", "filters": { "stats": ["", "Species", "Dilution Info", "Notes"], "tabs": { "all-applications": {"fullname" : "All Applications", "shortname": "All Applications"}, "WB" : {"fullname" : "Western blot", "shortname":"WB"}, "IHCP" : {"fullname" : "Immunohistochemistry (Formalin/PFA-fixed paraffin-embedded sections)", "shortname":"IHC-P"}, "IELISA" : {"fullname" : "Indirect ELISA", "shortname":"I-ELISA"} }, "product-promise": { "all": "all", "testedAndGuaranteed": "tested", "guaranteed": "expected", "predicted": "predicted", "notRecommended": "not-recommended" } }, "values": { "Human": { "WB-species-checked": "notRecommended", "WB-species-dilution-info": "", "WB-species-notes": "", "IHCP-species-checked": "notRecommended", "IHCP-species-dilution-info": "", "IHCP-species-notes": "<p></p>", "IELISA-species-checked": "notRecommended", "IELISA-species-dilution-info": "", "IELISA-species-notes": "" }, "Chemical": { "WB-species-checked": "testedAndGuaranteed", "WB-species-dilution-info": "", "WB-species-notes": "<p></p>", "IHCP-species-checked": "testedAndGuaranteed", "IHCP-species-dilution-info": "", "IHCP-species-notes": "<p></p>", "IELISA-species-checked": "testedAndGuaranteed", "IELISA-species-dilution-info": "", "IELISA-species-notes": "<p></p>" } } }

Product details

Patented technology
Our RabMAb® technology is a patented hybridoma-based technology for making rabbit monoclonal antibodies. For details on our patents, please refer to RabMAb® patents.

What are the advantages of a recombinant monoclonal antibody?
This product is a recombinant monoclonal antibody, which offers several advantages including:

  • - High batch-to-batch consistency and reproducibility
  • - Improved sensitivity and specificity
  • - Long-term security of supply
  • - Animal-free batch production

For more information, read more on recombinant antibodies.

Conjugation ready
Our carrier-free antibodies are typically supplied in a PBS-only formulation, purified and free of BSA, sodium azide and glycerol. This conjugation-ready format is designed for use with fluorochromes, metal isotopes, oligonucleotides, and enzymes, which makes them ideal for antibody labelling, functional and cell-based assays, flow-based assays (e.g. mass cytometry) and Multiplex Imaging applications.

Use our conjugation kits for antibody conjugates that are ready-to-use in as little as 20 minutes with 1 minute hands-on-time and 100% antibody recovery: available for fluorescent dyes, HRP, biotin and gold.

Compatibility
This product is compatible with the Maxpar® Antibody Labeling Kit from Fluidigm, without the need for antibody preparation. Maxpar® is a trademark of Fluidigm Canada Inc.

Properties and storage information

Form
Liquid
Purification technique
Affinity purification Protein A
Storage buffer
pH: 7.2 - 7.4 Constituents: PBS
Shipped at conditions
Blue Ice
Appropriate short-term storage conditions
+4°C
Appropriate long-term storage conditions
+4°C

Product protocols

For this product, it's our understanding that no specific protocols are required. You can visit:

Product promise

We are committed to supporting your work with high-quality reagents, and we're here for you every step of the way. In the unlikely event that one of our products does not perform as expected, you're protected by our Product Promise.
For full details, please see our Terms & Conditions

Please note: All products are 'FOR RESEARCH USE ONLY. NOT FOR USE IN DIAGNOSTIC OR THERAPEUTIC PROCEDURES'.

For licensing inquiries, please contact partnerships@abcam.com