JavaScript is disabled in your browser. Please enable JavaScript to view this website.
AB259971

Anti-GABA Transporter 1 / GAT 1 antibody [EPR24202-20]

  • BOND RX™ Validated
  • RabMAb
  • Recombinant
  • Advanced Validation
  • What is this?

Be the first to review this product! Submit a review

|

(1 Publication)

Rabbit Recombinant Monoclonal GABA Transporter 1 / GAT 1 antibody. Suitable for ICC/IF, IHC-Fr, IHC-P, mIHC and reacts with Rat, Mouse samples. Cited in 1 publication.

View Alternative Names

Gabt1, Gat-1, Gat1, Slc6a1, Sodium- and chloride-dependent GABA transporter 1, GAT-1, Solute carrier family 6 member 1

9 Images
Immunohistochemistry (Formalin/PFA-fixed paraffin-embedded sections) - Anti-GABA Transporter 1 / GAT 1 antibody [EPR24202-20] (AB259971)
  • IHC-P

Supplier Data

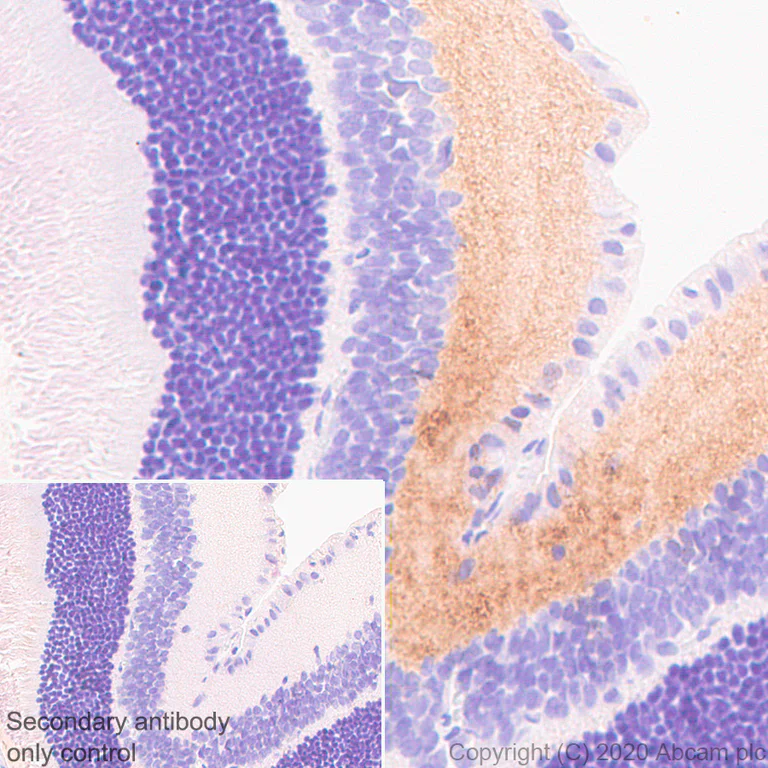
Immunohistochemistry (Formalin/PFA-fixed paraffin-embedded sections) - Anti-GABA Transporter 1 / GAT 1 antibody [EPR24202-20] (AB259971)

Immunohistochemical analysis of paraffin-embedded Rat retina tissue labeling GABA Transporter 1 / GAT 1 with ab259971 at 1/500 (0.982 ug/ml) dilution followed by a ready to use LeicaDS9800 (Bond® Polymer Refine Detection) . Positive staining on rat retina (PMID : 2387399).The section was incubated with ab259971 for 30 mins at room temperature.The immunostaining was performed on a Leica Biosystems BOND® RX instrument Counterstained with Hematoxylin.

Secondary antibody only control : Secondary antibody is a ready to use LeicaDS9800 (Bond® Polymer Refine Detection).

Heat mediated antigen retrieval with Tris-EDTA buffer (pH 9.0, epitope retrieval solution2) for 20 mins.

Immunohistochemistry (Formalin/PFA-fixed paraffin-embedded sections) - Anti-GABA Transporter 1 / GAT 1 antibody [EPR24202-20] (AB259971)
  • IHC-P

Supplier Data

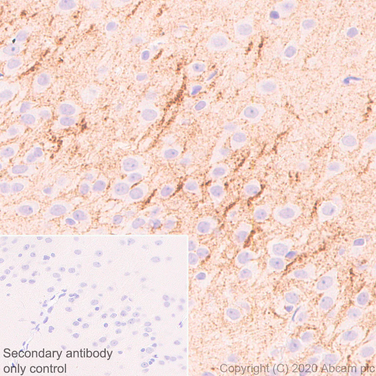
Immunohistochemistry (Formalin/PFA-fixed paraffin-embedded sections) - Anti-GABA Transporter 1 / GAT 1 antibody [EPR24202-20] (AB259971)

Immunohistochemical analysis of paraffin-embedded Mouse cerebrum tissue labeling GABA Transporter 1 / GAT 1 with ab259971 at 1/500 dilution (0.982 ug/ml) followed by a ready to use LeicaDS9800 (Bond® Polymer Refine Detection). Positive staining on mouse cerebrum (PMID : 21382352). The section was incubated with ab259971 for 30 mins at room temperature. The immunostaining was performed on a Leica Biosystems BOND® RX instrument. Counterstained with Hematoxylin.

Secondary antibody only control : Secondary antibody is a ready to use LeicaDS9800 (Bond® Polymer Refine Detection).

Heat mediated antigen retrieval with Tris-EDTA buffer (pH 9.0, epitope retrieval solution2) for 20 mins.

Immunohistochemistry (Formalin/PFA-fixed paraffin-embedded sections) - Anti-GABA Transporter 1 / GAT 1 antibody [EPR24202-20] (AB259971)
  • IHC-P

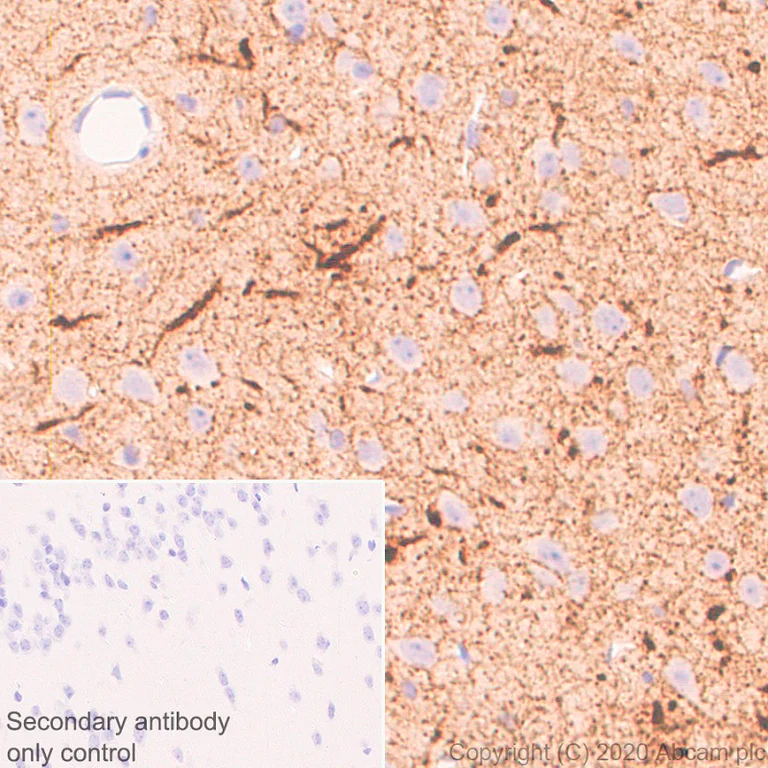
Supplier Data

Immunohistochemistry (Formalin/PFA-fixed paraffin-embedded sections) - Anti-GABA Transporter 1 / GAT 1 antibody [EPR24202-20] (AB259971)

Immunohistochemical analysis of paraffin-embedded Rat cerebrum tissue labeling GABA Transporter 1 / GAT 1 with ab259971 at 1/500 (0.982 ug/ml) dilution followed by a ready to use LeicaDS9800 (Bond® Polymer Refine Detection). Positive staining on rat cerebrum (PMID : 2387399). The section was incubated with ab259971 for 30 mins at room temperature. The immunostaining was performed on a Leica Biosystems BOND® RX instrument Counterstained with Hematoxylin.

Secondary antibody only control : Secondary antibody is a ready to use LeicaDS9800 (Bond® Polymer Refine Detection).

Heat mediated antigen retrieval with Tris-EDTA buffer (pH 9.0, epitope retrieval solution2) for 20 mins.

Immunohistochemistry (Frozen sections) - Anti-GABA Transporter 1 / GAT 1 antibody [EPR24202-20] (AB259971)
  • IHC-Fr

Supplier Data

Immunohistochemistry (Frozen sections) - Anti-GABA Transporter 1 / GAT 1 antibody [EPR24202-20] (AB259971)

Immunohistochemical analysis of 4% PFA-fixed, 0.2% Triton X-100 permeabilized frozen Mouse retina tissue labeling GABA Transporter 1 / GAT 1 with ab259971 at 1/50 (9.82 ug/ml) dilution followed by ab150077 Goat Anti-Rabbit IgG H&L (Alexa Fluor® 488) at 1/1000 dilution (Green). Positive staining on mouse retina is observed. The nuclear counterstain was DAPI (Blue).

Secondary antibody control : Secondary antibody is ab150077 Goat Anti-Rabbit IgG H&L (Alexa Fluor®488)at 1/1000 dilution.

Heat mediated antigen retrieval using sodium citrate buffer (10mM citrate pH 6.0 + 0.05% Tween-20).

Immunohistochemistry (Formalin/PFA-fixed paraffin-embedded sections) - Anti-GABA Transporter 1 / GAT 1 antibody [EPR24202-20] (AB259971)
  • IHC-P

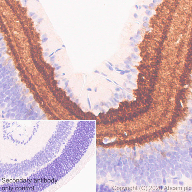
Supplier Data

Immunohistochemistry (Formalin/PFA-fixed paraffin-embedded sections) - Anti-GABA Transporter 1 / GAT 1 antibody [EPR24202-20] (AB259971)

Immunohistochemical analysis of paraffin-embedded Mouse retina tissue labeling GABA Transporter 1 / GAT 1 with ab259971 at 1/500 (0.982 ug/ml) dilution followed by a ready to use LeicaDS9800 (Bond® Polymer Refine Detection). Positive staining on mouse retina (PMID : 18975268).The section was incubated with ab259971 for 30 mins at room temperature .The immunostaining was performed on a Leica Biosystems BOND® RX instrument Counterstained with Hematoxylin.

Secondary antibody only control : Secondary antibody is a ready to use LeicaDS9800 (Bond® Polymer Refine Detection).

Heat mediated antigen retrieval with Tris-EDTA buffer (pH 9.0, epitope retrieval solution2) for 20 mins.

Immunocytochemistry/ Immunofluorescence - Anti-GABA Transporter 1 / GAT 1 antibody [EPR24202-20] (AB259971)
  • ICC/IF

Supplier Data

Immunocytochemistry/ Immunofluorescence - Anti-GABA Transporter 1 / GAT 1 antibody [EPR24202-20] (AB259971)

Immunofluorescence staining of GABA Transporter 1 / GAT 1 using ab259971 in primary hippocampal rat neurons/glia, (obtained from Neuromics, cat. no. PC35101), DIV14. The cells were fixed with 100% methanol (5 min), permeabilized with 0.1% PBS-Tween for 5 mins and then blocked with 1% BSA/10% normal goat serum/0.3M glycine in 0.1% PBS-Tween for 1h.

The cells were then incubated overnight at +4°C with ab259971 at 5 μg/ml and ab7291, Mouse monoclonal [DM1A] to alpha Tubulin, at 1/1000 dilution. Cells were then incubated with ab150081, Goat Anti-Rabbit IgG H&L (Alexa Fluor® 488) preadsorbed at 1/1000 dilution (shown in green) and ab150120, Goat Anti-Mouse IgG H&L (Alexa Fluor® 594) preadsorbed at 1/1000 dilution (shown in red). Nuclear DNA was labelled with DAPI (shown in blue).

Images were acquired with the Perkin Elmer Operetta HCA and a maximum intensity projection of confocal sections is shown.

Immunocytochemistry/ Immunofluorescence - Anti-GABA Transporter 1 / GAT 1 antibody [EPR24202-20] (AB259971)
  • ICC/IF

Supplier Data

Immunocytochemistry/ Immunofluorescence - Anti-GABA Transporter 1 / GAT 1 antibody [EPR24202-20] (AB259971)

Immunofluorescence staining of GABA Transporter 1 / GAT 1 using ab259971 in primary hippocampal rat neurons/glia, (obtained from Neuromics, cat. no. PC35101), DIV14. The cells were fixed with 4% formaldehyde (10 min), permeabilized with 0.1% PBS-Tween for 5 mins and then blocked with 1% BSA/10% normal goat serum/0.3M glycine in 0.1% PBS-Tween for 1h.

The cells were then incubated overnight at +4°C with ab259971 at 1 μg/ml and ab7291, Mouse monoclonal [DM1A] to alpha Tubulin, at 1/1000 dilution. Cells were then incubated with ab150081, Goat Anti-Rabbit IgG H&L (Alexa Fluor® 488) preadsorbed at 1/1000 dilution (shown in green) and ab150120, Goat Anti-Mouse IgG H&L (Alexa Fluor® 594) preadsorbed at 1/1000 dilution (shown in red). Nuclear DNA was labelled with DAPI (shown in blue).

Images were acquired with the Perkin Elmer Operetta HCA and a maximum intensity projection of confocal sections is shown.

Multiplex immunohistochemistry - Anti-GABA Transporter 1 / GAT 1 antibody [EPR24202-20] (AB259971)
  • mIHC

Lab

Multiplex immunohistochemistry - Anti-GABA Transporter 1 / GAT 1 antibody [EPR24202-20] (AB259971)

Multiplex immunohistochemistry analysis of formalin/PFA-fixed paraffin-embedded mouse retina tissue staining RBPMS with ab309094 at a 1/2000 dilution, ab140603 anti-CPX used at 1/2000 dilution and ab259971 anti-GAT1 used at a 1/500 dilution.

Panel A : merged staining of anti-RBPMS (green; Opal™520), anti-CPX (magenta; Opal™690) and anti-GAT1 (gray; Opal™570) on mouse retina.

Panel B : anti-RBPMS staining ganglion cell layer in mouse retina.

Panel C : ant-CPX staining outer nuclear layer and inner nuclear layer in mouse retina.

Panel D : ant-GAT1 staining inner plexiform layer in mouse retina.

Nuclear DNA was labeled with DAPI (shown in blue).

The section was incubated in three rounds of staining : in the order of ab309094, ab140603 and ab259971 for 30 mins at room temperature. Each round was followed by a separate fluorescent tyramide signal amplification system.

The immunostaining was performed on a Leica Biosystems BOND® RX instrument with an Opal™ 4-color kit. Image acquisition was performed with Leica SP8 confocal microscope.

Heat mediated antigen retrieval was performed with Tris-EDTA buffer (pH 9.0, Epitope Retrieval Solution2) for 20 mins.

Multiplex immunohistochemistry - Anti-GABA Transporter 1 / GAT 1 antibody [EPR24202-20] (AB259971)
  • mIHC

Lab

Multiplex immunohistochemistry - Anti-GABA Transporter 1 / GAT 1 antibody [EPR24202-20] (AB259971)

Multiplex immunohistochemistry analysis of formalin/PFA-fixed paraffin-embedded rat retina tissue staining RBPMS with ab309094 at a 1/2000 dilution, ab140603 anti-CPX used at 1/2000 dilution and ab259971 anti-GAT1 used at a 1/500 dilution.

Panel A : merged staining of anti-RBPMS (green; Opal™520), anti-CPX (magenta; Opal™690) and anti-GAT1 (gray; Opal™570) on rat retina.

Panel B : anti-RBPMS staining ganglion cell layer in rat retina.

Panel C : ant-CPX staining outer nuclear layer and inner nuclear layer in rat retina.

Panel D : ant-GAT1 staining inner plexiform layer in rat retina.

Nuclear DNA was labeled with DAPI (shown in blue).

The section was incubated in three rounds of staining : in the order of ab309094, ab140603 and ab259971 for 30 mins at room temperature. Each round was followed by a separate fluorescent tyramide signal amplification system.

The immunostaining was performed on a Leica Biosystems BOND® RX instrument with an Opal™ 4-color kit. Image acquisition was performed with Leica SP8 confocal microscope.

Heat mediated antigen retrieval was performed with Tris-EDTA buffer (pH 9.0, Epitope Retrieval Solution2) for 20 mins.

  • Carrier free

    Anti-GABA Transporter 1 / GAT 1 antibody [EPR24202-20] - BSA and Azide free

  • 665 Alexa Fluor® 647

    Alexa Fluor® 647 Anti-GABA Transporter 1 / GAT 1 antibody [EPR24202-20]

Key facts

Host species

Rabbit

Clonality

Monoclonal

Clone number

EPR24202-20

Isotype

IgG

Carrier free

No

Reacts with

Mouse, Rat

Applications

IHC-P, ICC/IF, IHC-Fr, mIHC

applications

Immunogen

The exact immunogen used to generate this antibody is proprietary information.

Reactivity data

{ "title": "Reactivity Data", "filters": { "stats": ["", "Species", "Dilution Info", "Notes"], "tabs": { "all-applications": {"fullname" : "All Applications", "shortname": "All Applications"}, "IP" : {"fullname" : "Immunoprecipitation", "shortname":"IP"}, "FlowCyt" : {"fullname" : "Flow Cytometry", "shortname":"Flow Cyt"}, "WB" : {"fullname" : "Western blot", "shortname":"WB"}, "ICCIF" : {"fullname" : "Immunocytochemistry/ Immunofluorescence", "shortname":"ICC/IF"}, "IHCFr" : {"fullname" : "Immunohistochemistry (Frozen sections)", "shortname":"IHC-Fr"}, "IHCP" : {"fullname" : "Immunohistochemistry (Formalin/PFA-fixed paraffin-embedded sections)", "shortname":"IHC-P"}, "mIHC" : {"fullname" : "Multiplex immunohistochemistry", "shortname":"mIHC"} }, "product-promise": { "all": "all", "testedAndGuaranteed": "tested", "guaranteed": "expected", "predicted": "predicted", "notRecommended": "not-recommended" } }, "values": { "Human": { "IP-species-checked": "notRecommended", "IP-species-dilution-info": "", "IP-species-notes": "", "FlowCyt-species-checked": "notRecommended", "FlowCyt-species-dilution-info": "", "FlowCyt-species-notes": "<p></p>", "WB-species-checked": "notRecommended", "WB-species-dilution-info": "", "WB-species-notes": "<p></p>", "ICCIF-species-checked": "notRecommended", "ICCIF-species-dilution-info": "1-5 µg/mL", "ICCIF-species-notes": "<p></p>", "IHCFr-species-checked": "notRecommended", "IHCFr-species-dilution-info": "", "IHCFr-species-notes": "", "IHCP-species-checked": "notRecommended", "IHCP-species-dilution-info": "1/500", "IHCP-species-notes": "<p></p> Perform heat-mediated antigen retrieval with Tris/EDTA buffer pH 9.0 before commencing with IHC staining protocol.", "mIHC-species-checked": "notRecommended", "mIHC-species-dilution-info": "", "mIHC-species-notes": "" }, "Mouse": { "IP-species-checked": "notRecommended", "IP-species-dilution-info": "", "IP-species-notes": "<p></p>", "FlowCyt-species-checked": "notRecommended", "FlowCyt-species-dilution-info": "", "FlowCyt-species-notes": "<p></p>", "WB-species-checked": "notRecommended", "WB-species-dilution-info": "", "WB-species-notes": "<p></p>", "ICCIF-species-checked": "notRecommended", "ICCIF-species-dilution-info": "1-5 µg/mL", "ICCIF-species-notes": "<p></p>", "IHCFr-species-checked": "testedAndGuaranteed", "IHCFr-species-dilution-info": "1/50", "IHCFr-species-notes": "<p>Heat mediated antigen retrieval using sodium citrate buffer (10mM citrate pH 6.0 + 0.05% Tween-20).</p>", "IHCP-species-checked": "testedAndGuaranteed", "IHCP-species-dilution-info": "1/500", "IHCP-species-notes": "<p></p> Perform heat-mediated antigen retrieval with Tris/EDTA buffer pH 9.0 before commencing with IHC staining protocol.", "mIHC-species-checked": "testedAndGuaranteed", "mIHC-species-dilution-info": "1/500", "mIHC-species-notes": "<p></p> Perform heat-mediated antigen retrieval with Tris/EDTA buffer pH 9.0 before commencing with IHC staining protocol." }, "Rat": { "IP-species-checked": "notRecommended", "IP-species-dilution-info": "", "IP-species-notes": "<p></p>", "FlowCyt-species-checked": "notRecommended", "FlowCyt-species-dilution-info": "", "FlowCyt-species-notes": "<p></p>", "WB-species-checked": "notRecommended", "WB-species-dilution-info": "", "WB-species-notes": "<p></p>", "ICCIF-species-checked": "testedAndGuaranteed", "ICCIF-species-dilution-info": "1-5 µg/mL", "ICCIF-species-notes": "<p></p>", "IHCFr-species-checked": "notRecommended", "IHCFr-species-dilution-info": "1/50", "IHCFr-species-notes": "<p>Heat mediated antigen retrieval using sodium citrate buffer (10mM citrate pH 6.0 + 0.05% Tween-20).</p>", "IHCP-species-checked": "testedAndGuaranteed", "IHCP-species-dilution-info": "1/500", "IHCP-species-notes": "<p></p> Perform heat-mediated antigen retrieval with Tris/EDTA buffer pH 9.0 before commencing with IHC staining protocol.", "mIHC-species-checked": "testedAndGuaranteed", "mIHC-species-dilution-info": "1/499", "mIHC-species-notes": "<p></p> Perform heat-mediated antigen retrieval with Tris/EDTA buffer pH 9.0 before commencing with IHC staining protocol." } } }

Product details

Patented technology
Our RabMAb® technology is a patented hybridoma-based technology for making rabbit monoclonal antibodies. For details on our patents, please refer to RabMAb® patents.

What are the advantages of a recombinant monoclonal antibody?
This product is a recombinant monoclonal antibody, which offers several advantages including:

  • - High batch-to-batch consistency and reproducibility
  • - Improved sensitivity and specificity
  • - Long-term security of supply
  • - Animal-free batch production

For more information, read more on recombinant antibodies.

Properties and storage information

Form
Liquid
Purification technique
Affinity purification Protein A
Storage buffer
Preservative: 0.01% Sodium azide Constituents: PBS, 40% Glycerol (glycerin, glycerine), 0.05% BSA
Shipped at conditions
Blue Ice
Appropriate short-term storage duration
1-2 weeks
Appropriate short-term storage conditions
+4°C
Appropriate long-term storage conditions
-20°C
Aliquoting information
Upon delivery aliquot
Storage information
Avoid freeze / thaw cycle

Product protocols

For this product, it's our understanding that no specific protocols are required. You can visit:

Target data

Mediates transport of gamma-aminobutyric acid (GABA) together with sodium and chloride and is responsible for the reuptake of GABA from the synapse (PubMed : 15234345, PubMed : 16150932, PubMed : 30270321, PubMed : 8420981). The translocation of GABA, however, may also occur in the reverse direction leading to the release of GABA (By similarity). The direction and magnitude of GABA transport is a consequence of the prevailing thermodynamic conditions, determined by membrane potential and the intracellular and extracellular concentrations of Na(+), Cl(-) and GABA (By similarity). Can also mediate sodium- and chloride-dependent transport of hypotaurine but to a much lower extent as compared to GABA (PubMed : 30270321).
See full target information Slc6a1

Publications (1)

Recent publications for all applications. Explore the full list and refine your search

Drug design, development and therapy 19:2677-2691 PubMed40226128

2025

Huyang Yangkun Formula Enhances Ovarian Function and Delays Reproductive Aging by Influencing Hypothalamic GnRH/LH Pulse Release Through GAT-1/GABA/GABAAR2.

Applications

Unspecified application

Species

Unspecified reactive species

Yang Li,Yin Peng,Guangning Nie,Fangping Cheng,Yuling Zhou,Jian Liu,Hongyan Yang
View all publications

Product promise

We are committed to supporting your work with high-quality reagents, and we're here for you every step of the way. In the unlikely event that one of our products does not perform as expected, you're protected by our Product Promise.
For full details, please see our Terms & Conditions

Please note: All products are 'FOR RESEARCH USE ONLY. NOT FOR USE IN DIAGNOSTIC OR THERAPEUTIC PROCEDURES'.

For licensing inquiries, please contact partnerships@abcam.com