JavaScript is disabled in your browser. Please enable JavaScript to view this website.
AB300559

Anti-GABA Transporter 3 / GAT 3 antibody [EPR25153-38]

  • BOND RX™ Validated
  • 20ul selling size
  • RabMAb
  • Recombinant
  • What is this?

Be the first to review this product! Submit a review

|

(0 Publication)

Rabbit Recombinant Monoclonal GABA Transporter 3 / GAT 3 antibody. Suitable for IP, IHC-Fr, IHC-P, WB and reacts with Rat, Mouse samples.

View Alternative Names

Gabt3, Gabt4, Gat-4, Gat3, Gat4, Slc6a11, Sodium- and chloride-dependent GABA transporter 3, GAT-3, Sodium- and chloride-dependent GABA transporter 4, Solute carrier family 6 member 11, GAT-4

8 Images
Immunohistochemistry (Frozen sections) - Anti-GABA Transporter 3 / GAT 3 antibody [EPR25153-38] (AB300559)
  • IHC-Fr

Lab

Immunohistochemistry (Frozen sections) - Anti-GABA Transporter 3 / GAT 3 antibody [EPR25153-38] (AB300559)

Immunohistochemical analysis of 4% PFA-fixed, 0.2% Triton X-100 permeabilized frozen Mouse liver tissue labeling GABA Transporter 3 / GAT 3 with ab300559 at 1/200 dilution followed by ab150081 Goat Anti-Rabbit IgG H&L (Alexa Fluor® 488) preadsorbed at 1/1000 dilution (Green).

Negative control : no staining on mouse liver (PMID : 22896705).

Immunohistochemistry (Formalin/PFA-fixed paraffin-embedded sections) - Anti-GABA Transporter 3 / GAT 3 antibody [EPR25153-38] (AB300559)
  • IHC-P

Lab

Immunohistochemistry (Formalin/PFA-fixed paraffin-embedded sections) - Anti-GABA Transporter 3 / GAT 3 antibody [EPR25153-38] (AB300559)

Immunohistochemical analysis of paraffin-embedded mouse hypothalamus labelling GABA Transporter 3 / GAT 3 with ab300559 at 1/8000 dilution.

Positive staining on mouse hypothalamus

The primary antibody was incubated for 30 mins at room temperature.

The immunostaining was performed on a Leica Biosystems BOND® RX instrument

Heat mediated antigen retrieval was performed with Tris-EDTA buffer (pH 9.0, Epitope Retrieval Solution2) for 20 mins

Immunohistochemistry (Frozen sections) - Anti-GABA Transporter 3 / GAT 3 antibody [EPR25153-38] (AB300559)
  • IHC-Fr

Lab

Immunohistochemistry (Frozen sections) - Anti-GABA Transporter 3 / GAT 3 antibody [EPR25153-38] (AB300559)

Positive staining on rat thalamus tissue.

Rat thalamus tissue was fixed with 4% PFA and permeabilised with 0.2 % Triton X100. ab300559 was used as a primary antibody at 1/200 dilution.

ab150081 Goat Anti-Rabbit IgG H&L (Alexa Fluor® 488) preadsorbed was used as a secondary antibody at 1/1000 dilution.

DAPI was used as a nuclear counterstain.

Immunohistochemistry (Formalin/PFA-fixed paraffin-embedded sections) - Anti-GABA Transporter 3 / GAT 3 antibody [EPR25153-38] (AB300559)
  • IHC-P

Lab

Immunohistochemistry (Formalin/PFA-fixed paraffin-embedded sections) - Anti-GABA Transporter 3 / GAT 3 antibody [EPR25153-38] (AB300559)

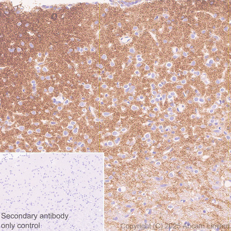
Immunohistochemical analysis of paraffin-embedded rat hypothalamus labelling GABA Transporter 3 / GAT 3 with ab300559 at 1/8000 dilution.

Positive staining on rat hypothalamus

The primary antibody was incubated for 30 mins at room temperature.

The immunostaining was performed on a Leica Biosystems BOND® RX instrument

Heat mediated antigen retrieval was performed with Tris-EDTA buffer (pH 9.0, Epitope Retrieval Solution2) for 20 mins

Immunohistochemistry (Frozen sections) - Anti-GABA Transporter 3 / GAT 3 antibody [EPR25153-38] (AB300559)
  • IHC-Fr

Lab

Immunohistochemistry (Frozen sections) - Anti-GABA Transporter 3 / GAT 3 antibody [EPR25153-38] (AB300559)

Positive staining on mouse thalamus tissue.

Fresh mouse thalamus tissue was fixed with 4% PFA and permeabilised with 0.2 % Triton X100. ab300559 was used as a primary antibody at 1/200 dilution.

ab150081 Goat Anti-Rabbit IgG H&L (Alexa Fluor® 488) preadsorbed was used as a secondary antibody at 1/1000 dilution.

DAPI was used as a nuclear counterstain.

Immunoprecipitation - Anti-GABA Transporter 3 / GAT 3 antibody [EPR25153-38] (AB300559)
  • IP

Lab

Immunoprecipitation - Anti-GABA Transporter 3 / GAT 3 antibody [EPR25153-38] (AB300559)

GABA Transporter 3 / GAT 3 was immunoprecipitated from 0.35 mg Rat brain tissue lysate with ab300559 at 1/30 dilution (2ug in 0.35mg lysates). Western blot was performed on the immunoprecipitate using ab300559 at 1/1000 dilution.

Blocking and dilution buffer and concentration : 5% NFDM/TBST.

All lanes:

Immunoprecipitation - Anti-GABA Transporter 3 / GAT 3 antibody [EPR25153-38] (ab300559) at 1/1000 dilution

Lane 1:

Rat brain tissue lysate at 10 µg

Lane 2:

ab300559 at 1/30 IP in rat brain tissue lysate at 10 µg

Lane 3:

Rabbit monoclonal IgG (<a href='/en-us/products/primary-antibodies/rabbit-igg-monoclonal-epr25a-isotype-control-ab172730'>ab172730</a>) instead of ab300559 in rat brain tissue lysate at 10 µg

Secondary

All lanes:

Immunoprecipitation - VeriBlot for IP Detection Reagent (HRP) (<a href='/en-us/products/reagents/veriblot-for-ip-detection-reagent-hrp-ab131366'>ab131366</a>) at 1/5000 dilution

Observed band size: 70 kDa,160 kDa,280 kDa

false

Exposure time: 6s

Immunoprecipitation - Anti-GABA Transporter 3 / GAT 3 antibody [EPR25153-38] (AB300559)
  • IP

Lab

Immunoprecipitation - Anti-GABA Transporter 3 / GAT 3 antibody [EPR25153-38] (AB300559)

GABA Transporter 3 / GAT 3 was immunoprecipitated from 0.35 mg Mouse thalamus tissue lysate with ab300559 at 1/30 dilution (2ug in 0.35mg lysates). Western blot was performed on the immunoprecipitate using ab300559 at 1/1000 dilution.

Blocking and dilution buffer and concentration : 5% NFDM/TBST

All lanes:

Immunoprecipitation - Anti-GABA Transporter 3 / GAT 3 antibody [EPR25153-38] (ab300559) at 1/1000 dilution

Lane 1:

Mouse thalamus tissue lysate at 10 µg

Lane 2:

ab300559 at 1/30 IP in mouse thalamus tissue lysate at 10 µg

Lane 3:

Rabbit monoclonal IgG (<a href='/en-us/products/primary-antibodies/rabbit-igg-monoclonal-epr25a-isotype-control-ab172730'>ab172730</a>) instead of ab300559 in mouse thalamus tissue lysate at 10 µg at 10 µg

Secondary

All lanes:

Immunoprecipitation - VeriBlot for IP Detection Reagent (HRP) (<a href='/en-us/products/reagents/veriblot-for-ip-detection-reagent-hrp-ab131366'>ab131366</a>) at 1/5000 dilution

Observed band size: 70 kDa,160 kDa,280 kDa

false

Exposure time: 3s

Western blot - Anti-GABA Transporter 3 / GAT 3 antibody [EPR25153-38] (AB300559)
  • WB

Lab

Western blot - Anti-GABA Transporter 3 / GAT 3 antibody [EPR25153-38] (AB300559)

Blocking and diluting buffer and concentration : 5% NFDM/TBST.

Samples are non-boiled as boiling may cause protein aggregation

All lanes:

Western blot - Anti-GABA Transporter 3 / GAT 3 antibody [EPR25153-38] (ab300559) at 1/1000 dilution

Lane 1:

Mouse brain tissue lysate at 20 µg

Lane 2:

Mouse spinal cord tissue lysate at 20 µg

Lane 3:

Rat brain tissue lysate at 20 µg

Lane 4:

Rat spinal cord tissue lysate at 20 µg

Secondary

All lanes:

Western blot - Goat Anti-Rabbit IgG H&L (HRP) (<a href='/en-us/products/secondary-antibodies/goat-rabbit-igg-h-l-hrp-ab97051'>ab97051</a>) at 1/20000 dilution

Observed band size: 70 kDa,160 kDa,280 kDa

false

Exposure time: 10s

  • Carrier free

    Anti-GABA Transporter 3 / GAT 3 antibody [EPR25153-38] (BSA and Azide free)

Key facts

Host species

Rabbit

Clonality

Monoclonal

Clone number

EPR25153-38

Isotype

IgG

Carrier free

No

Reacts with

Rat, Mouse

Applications

IP, IHC-Fr, IHC-P, WB

applications

Immunogen

The exact immunogen used to generate this antibody is proprietary information.

Reactivity data

{ "title": "Reactivity Data", "filters": { "stats": ["", "Species", "Dilution Info", "Notes"], "tabs": { "all-applications": {"fullname" : "All Applications", "shortname": "All Applications"}, "IP" : {"fullname" : "Immunoprecipitation", "shortname":"IP"}, "IHCFr" : {"fullname" : "Immunohistochemistry (Frozen sections)", "shortname":"IHC-Fr"}, "IHCP" : {"fullname" : "Immunohistochemistry (Formalin/PFA-fixed paraffin-embedded sections)", "shortname":"IHC-P"}, "WB" : {"fullname" : "Western blot", "shortname":"WB"} }, "product-promise": { "all": "all", "testedAndGuaranteed": "tested", "guaranteed": "expected", "predicted": "predicted", "notRecommended": "not-recommended" } }, "values": { "Human": { "IP-species-checked": "notRecommended", "IP-species-dilution-info": "1/30", "IP-species-notes": "<p></p>", "IHCFr-species-checked": "notRecommended", "IHCFr-species-dilution-info": "1/50", "IHCFr-species-notes": "<p></p>", "IHCP-species-checked": "notRecommended", "IHCP-species-dilution-info": "1/2000", "IHCP-species-notes": "<p></p> Perform heat-mediated antigen retrieval with Tris/EDTA buffer pH 9.0 before commencing with IHC staining protocol.", "WB-species-checked": "notRecommended", "WB-species-dilution-info": "1/1000", "WB-species-notes": "<p></p>" }, "Mouse": { "IP-species-checked": "testedAndGuaranteed", "IP-species-dilution-info": "1/30", "IP-species-notes": "<p></p>", "IHCFr-species-checked": "testedAndGuaranteed", "IHCFr-species-dilution-info": "1/200", "IHCFr-species-notes": "<p></p>", "IHCP-species-checked": "testedAndGuaranteed", "IHCP-species-dilution-info": "1/8000", "IHCP-species-notes": "<p></p> Perform heat-mediated antigen retrieval with Tris/EDTA buffer pH 9.0 before commencing with IHC staining protocol.", "WB-species-checked": "testedAndGuaranteed", "WB-species-dilution-info": "1/1000", "WB-species-notes": "<p></p>" }, "Rat": { "IP-species-checked": "testedAndGuaranteed", "IP-species-dilution-info": "1/30", "IP-species-notes": "<p></p>", "IHCFr-species-checked": "testedAndGuaranteed", "IHCFr-species-dilution-info": "1/200", "IHCFr-species-notes": "<p></p>", "IHCP-species-checked": "testedAndGuaranteed", "IHCP-species-dilution-info": "1/8000", "IHCP-species-notes": "<p></p> Perform heat-mediated antigen retrieval with Tris/EDTA buffer pH 9.0 before commencing with IHC staining protocol.", "WB-species-checked": "testedAndGuaranteed", "WB-species-dilution-info": "1/1000", "WB-species-notes": "<p></p>" } } }

Product details

Patented technology
Our RabMAb® technology is a patented hybridoma-based technology for making rabbit monoclonal antibodies. For details on our patents, please refer to RabMAb® patents.

What are the advantages of a recombinant monoclonal antibody?
This product is a recombinant monoclonal antibody, which offers several advantages including:

  • - High batch-to-batch consistency and reproducibility
  • - Improved sensitivity and specificity
  • - Long-term security of supply
  • - Animal-free batch production

For more information, read more on recombinant antibodies.

Properties and storage information

Form
Liquid
Purification technique
Affinity purification Protein A
Storage buffer
pH: 7.2 - 7.4 Preservative: 0.01% Sodium azide Constituents: PBS, 40% Glycerol (glycerin, glycerine), 0.05% BSA
Shipped at conditions
Blue Ice
Appropriate short-term storage duration
1-2 weeks
Appropriate short-term storage conditions
+4°C
Appropriate long-term storage conditions
-20°C
Aliquoting information
Upon delivery aliquot
Storage information
Avoid freeze / thaw cycle

Product protocols

For this product, it's our understanding that no specific protocols are required. You can visit:

Target data

Mediates sodium- and chloride-dependent transport of gamma-aminobutyric acid (GABA) (PubMed : 30270321, PubMed : 8420981). Can also mediate transport of beta-alanine and to a lower extent that of taurine and hypotaurine (PubMed : 30270321, PubMed : 8420981).
See full target information Slc6a11

Product promise

We are committed to supporting your work with high-quality reagents, and we're here for you every step of the way. In the unlikely event that one of our products does not perform as expected, you're protected by our Product Promise.
For full details, please see our Terms & Conditions

Please note: All products are 'FOR RESEARCH USE ONLY. NOT FOR USE IN DIAGNOSTIC OR THERAPEUTIC PROCEDURES'.

For licensing inquiries, please contact partnerships@abcam.com