JavaScript is disabled in your browser. Please enable JavaScript to view this website.
AB191888

Anti-GABARAP + GABARAPL1 + GABARAPL3 antibody [EPR18862]

Be the first to review this product! Submit a review

|

(2 Publications)

Rabbit Recombinant Monoclonal GABARAPL3 antibody. Suitable for IP, WB and reacts with Mouse, Rat, Human, Recombinant full length protein - Human samples. Cited in 2 publications.

View Alternative Names

Gamma-aminobutyric acid receptor-associated protein-like 3, GABA(A) receptor-associated protein-like 3, GABARAPL3

6 Images
Immunoprecipitation - Anti-GABARAP + GABARAPL1 + GABARAPL3 antibody [EPR18862] (AB191888)
  • IP

Supplier Data

Immunoprecipitation - Anti-GABARAP + GABARAPL1 + GABARAPL3 antibody [EPR18862] (AB191888)

GABARAP + GABARAPL1 + GABARAPL3 was immunoprecipitated from 1 mg of Mouse brain lysate with ab191888 at 1/150 dilution. Western blot was performed from the immunoprecipitate using ab191888 at 1/1000 dilution. VeriBlot for IP Detection Reagent (HRP) (ab131366), was used for detection at 1/1000 dilution.

Lane 1 : Mouse brain lysate, 10μg (Input).

Lane 2 : ab191888 IP in Mouse brain lysate.

Lane 3 : Rabbit IgG,monoclonal [EPR25A]- Isotype Control (ab172730) instead of ab191888 in Mouse brain lysate.

Blocking and dilution buffer and concentration : 5% NFDM/TBST.

Exposure time : 3 minutes.

All lanes:

Immunoprecipitation - Anti-GABARAP + GABARAPL1 + GABARAPL3 antibody [EPR18862] (ab191888)

false

Western blot - Anti-GABARAP + GABARAPL1 + GABARAPL3 antibody [EPR18862] (AB191888)
  • WB

Supplier Data

Western blot - Anti-GABARAP + GABARAPL1 + GABARAPL3 antibody [EPR18862] (AB191888)

Blocking/Dilution buffer : 5% NFDM/TBST.

The observed MW is a little higher than predicted one (14KD), which is similar with the published literatures (PMID : 16650615 & 21862879).

All lanes:

Western blot - Anti-GABARAP + GABARAPL1 + GABARAPL3 antibody [EPR18862] (ab191888) at 1/1000 dilution

All lanes:

Human brain tissue lysate at 10 µg

Secondary

All lanes:

Goat Anti-Rabbit IgG Peroxidase Conjugate, specific to the non-reduced form of IgG at 1/10000 dilution

Predicted band size: 14 kDa

Observed band size: 17 kDa

false

Exposure time: 3min

Western blot - Anti-GABARAP + GABARAPL1 + GABARAPL3 antibody [EPR18862] (AB191888)
  • WB

Supplier Data

Western blot - Anti-GABARAP + GABARAPL1 + GABARAPL3 antibody [EPR18862] (AB191888)

Blocking/Dilution buffer : 5% NFDM/TBST.

Exposure times : Lane 1 and 2 : 5 seconds; Lane 3 : 3 minutes.

All three recombinant human full length proteins contain aa1-117 with an N-terminal His-Tag®. This product showed higher reactivity with GABARAPL1 and GABARAPL3, and lower reactivity with GABARAP.

All lanes:

Western blot - Anti-GABARAP + GABARAPL1 + GABARAPL3 antibody [EPR18862] (ab191888) at 1/5000 dilution

Lane 1:

Recombinant human GABARAPL2 full length protein at 0.01 µg

Lane 2:

Recombinant human GABARAPL3 full length protein at 0.01 µg

Lane 3:

Recombinant human GABARAP full length protein at 0.01 µg

Secondary

All lanes:

Western blot - Goat Anti-Rabbit IgG H&L (HRP) (<a href='/en-us/products/secondary-antibodies/goat-rabbit-igg-h-l-hrp-ab97051'>ab97051</a>) at 1/100000 dilution

Predicted band size: 14 kDa

false

Western blot - Anti-GABARAP + GABARAPL1 + GABARAPL3 antibody [EPR18862] (AB191888)
  • WB

Supplier Data

Western blot - Anti-GABARAP + GABARAPL1 + GABARAPL3 antibody [EPR18862] (AB191888)

Blocking/Dilution buffer : 5% NFDM/TBST.

Human GABARAPL1 full length recombinant protein contains aa1-117 with a GST-Tag.

All lanes:

Western blot - Anti-GABARAP + GABARAPL1 + GABARAPL3 antibody [EPR18862] (ab191888) at 1/1000 dilution

All lanes:

Human GABARAPL1 full length recombinant protein at 0.02 µg

Secondary

All lanes:

Western blot - Goat Anti-Rabbit IgG H&L (HRP) (<a href='/en-us/products/secondary-antibodies/goat-rabbit-igg-h-l-hrp-ab97051'>ab97051</a>) at 1/100000 dilution

Predicted band size: 14 kDa

false

Exposure time: 5s

Western blot - Anti-GABARAP + GABARAPL1 + GABARAPL3 antibody [EPR18862] (AB191888)
  • WB

Supplier Data

Western blot - Anti-GABARAP + GABARAPL1 + GABARAPL3 antibody [EPR18862] (AB191888)

Blocking/Dilution buffer : 5% NFDM/TBST.

Exposure time : 30 seconds

The observed MW is a little higher than predicted one (14KD), which is similar with the published literatures (PMID : 16650615 & 21862879).

All lanes:

Western blot - Anti-GABARAP + GABARAPL1 + GABARAPL3 antibody [EPR18862] (ab191888) at 1/1000 dilution

Lane 1:

HeLa (Human epithelial cell line from cervix adenocarcinoma) whole cell lysate at 10 µg

Lane 2:

HepG2 (Human liver hepatocellular carcinoma cell line) whole cell lysate at 10 µg

Secondary

All lanes:

Western blot - Goat Anti-Rabbit IgG H&L (HRP) (<a href='/en-us/products/secondary-antibodies/goat-rabbit-igg-h-l-hrp-ab97051'>ab97051</a>) at 1/10000 dilution

Predicted band size: 14 kDa

Observed band size: 17 kDa

false

Exposure time: 30s

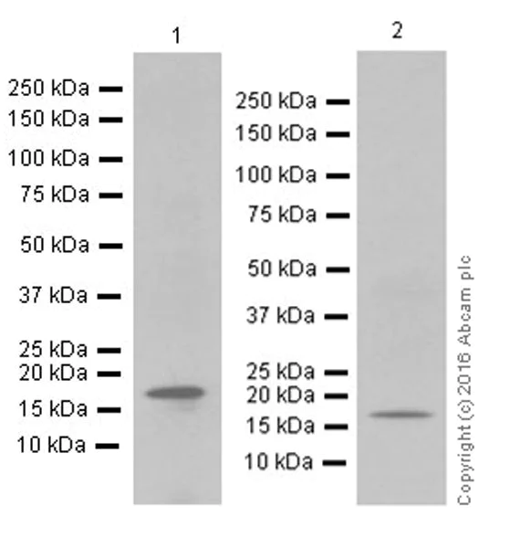
Western blot - Anti-GABARAP + GABARAPL1 + GABARAPL3 antibody [EPR18862] (AB191888)
  • WB

Supplier Data

Western blot - Anti-GABARAP + GABARAPL1 + GABARAPL3 antibody [EPR18862] (AB191888)

Blocking/Dilution buffer : 5% NFDM/TBST.

The observed MW is a little higher than predicted one (14KD), which is similar with the published literatures (PMID : 16650615 & 21862879).

All lanes:

Western blot - Anti-GABARAP + GABARAPL1 + GABARAPL3 antibody [EPR18862] (ab191888) at 1/1000 dilution

Lane 1:

Mouse brain lysate at 10 µg

Lane 2:

Mouse kidney lysate at 10 µg

Lane 3:

Mouse spleen lysate at 10 µg

Lane 4:

Rat brain lysate at 10 µg

Lane 5:

Rat kidney lysate at 10 µg

Secondary

All lanes:

Western blot - Goat Anti-Rabbit IgG H&L (HRP) (<a href='/en-us/products/secondary-antibodies/goat-rabbit-igg-h-l-hrp-ab97051'>ab97051</a>) at 1/100000 dilution

Predicted band size: 14 kDa

Observed band size: 17 kDa

false

Exposure time: 3min

  • Carrier free

    Anti-GABARAP+GABARAPL1+GABARAPL3 antibody [EPR18862] - BSA and Azide free

Key facts

Host species

Rabbit

Clonality

Monoclonal

Clone number

EPR18862

Isotype

IgG

Carrier free

No

Reacts with

Mouse, Rat, Human

Applications

IP, WB

applications

Immunogen

The exact immunogen used to generate this antibody is proprietary information.

Reactivity data

{ "title": "Reactivity Data", "filters": { "stats": ["", "Species", "Dilution Info", "Notes"], "tabs": { "all-applications": {"fullname" : "All Applications", "shortname": "All Applications"}, "IP" : {"fullname" : "Immunoprecipitation", "shortname":"IP"}, "WB" : {"fullname" : "Western blot", "shortname":"WB"} }, "product-promise": { "all": "all", "testedAndGuaranteed": "tested", "guaranteed": "expected", "predicted": "predicted", "notRecommended": "not-recommended" } }, "values": { "Human": { "IP-species-checked": "guaranteed", "IP-species-dilution-info": "", "IP-species-notes": "", "WB-species-checked": "testedAndGuaranteed", "WB-species-dilution-info": "1/1000", "WB-species-notes": "<p></p>" }, "Mouse": { "IP-species-checked": "testedAndGuaranteed", "IP-species-dilution-info": "1/150", "IP-species-notes": "<p></p>", "WB-species-checked": "testedAndGuaranteed", "WB-species-dilution-info": "1/1000", "WB-species-notes": "<p></p>" }, "Rat": { "IP-species-checked": "guaranteed", "IP-species-dilution-info": "", "IP-species-notes": "", "WB-species-checked": "testedAndGuaranteed", "WB-species-dilution-info": "1/1000", "WB-species-notes": "<p></p>" }, "Recombinant full length protein - Human": { "IP-species-checked": "notRecommended", "IP-species-dilution-info": "", "IP-species-notes": "", "WB-species-checked": "testedAndGuaranteed", "WB-species-dilution-info": "1/1000", "WB-species-notes": "<p></p>" } } }

Product details

Patented technology
Our RabMAb® technology is a patented hybridoma-based technology for making rabbit monoclonal antibodies. For details on our patents, please refer to RabMAb® patents.

What are the advantages of a recombinant monoclonal antibody?
This product is a recombinant monoclonal antibody, which offers several advantages including:

  • - High batch-to-batch consistency and reproducibility
  • - Improved sensitivity and specificity
  • - Long-term security of supply
  • - Animal-free batch production

For more information, read more on recombinant antibodies.

Properties and storage information

Form
Liquid
Purification technique
Affinity purification Protein A
Storage buffer
pH: 7.2 - 7.4 Preservative: 0.01% Sodium azide Constituents: PBS, 40% Glycerol (glycerin, glycerine), 0.05% BSA
Shipped at conditions
Blue Ice
Appropriate short-term storage duration
1-2 weeks
Appropriate short-term storage conditions
+4°C
Appropriate long-term storage conditions
-20°C
Aliquoting information
Upon delivery aliquot
Storage information
Avoid freeze / thaw cycle

Product protocols

For this product, it's our understanding that no specific protocols are required. You can visit:

Target data

Ubiquitin-like modifier involved in autophagosome formation. Whereas LC3s are involved in elongation of the phagophore membrane, the GABARAP/GATE-16 subfamily is essential for a later stage in autophagosome maturation (By similarity).
See full target information GABARAPL3

Additional targets

GABARAPL1,GABARAPL3

Publications (2)

Recent publications for all applications. Explore the full list and refine your search

Breast cancer research : BCR 27:149 PubMed40826100

2025

Cold-inducible RNA-binding protein is associated with subtype-specific breast cancer patient outcomes.

Applications

Unspecified application

Species

Unspecified reactive species

Matthew Dankner,Veronique Ouellet,Jakob Lafon,Rima Ezzeddine,Matthew G Annis,Afnan Abu-Thuraia,Peter M Siegel

Nature communications 13:7929 PubMed36566259

2022

A genome-wide CRISPR screen identifies WDFY3 as a regulator of macrophage efferocytosis.

Applications

Unspecified application

Species

Unspecified reactive species

Jianting Shi,Xun Wu,Ziyi Wang,Fang Li,Yujiao Meng,Rebecca M Moore,Jian Cui,Chenyi Xue,Katherine R Croce,Arif Yurdagul,John G Doench,Wei Li,Konstantinos S Zarbalis,Ira Tabas,Ai Yamamoto,Hanrui Zhang
View all publications

Product promise

We are committed to supporting your work with high-quality reagents, and we're here for you every step of the way. In the unlikely event that one of our products does not perform as expected, you're protected by our Product Promise.
For full details, please see our Terms & Conditions

Please note: All products are 'FOR RESEARCH USE ONLY. NOT FOR USE IN DIAGNOSTIC OR THERAPEUTIC PROCEDURES'.

For licensing inquiries, please contact partnerships@abcam.com