JavaScript is disabled in your browser. Please enable JavaScript to view this website.
AB251100

Anti-GABARAP+GABARAPL1+GABARAPL3 antibody [EPR18862] - BSA and Azide free

Be the first to review this product! Submit a review

|

(0 Publication)

Rabbit Recombinant Monoclonal GABARAP antibody. Carrier free. Suitable for IP, WB and reacts with Mouse, Rat, Human, Recombinant full length protein - Human samples.

View Alternative Names

FLC3B, HT004, GABARAP, Gamma-aminobutyric acid receptor-associated protein, GABA(A) receptor-associated protein, MM46

6 Images
Immunoprecipitation - Anti-GABARAP+GABARAPL1+GABARAPL3 antibody [EPR18862] - BSA and Azide free (AB251100)
  • IP

Supplier Data

Immunoprecipitation - Anti-GABARAP+GABARAPL1+GABARAPL3 antibody [EPR18862] - BSA and Azide free (AB251100)

This data was developed using ab191888, the same antibody clone in a different buffer formulation.

GABARAP + GABARAPL1 + GABARAPL3 was immunoprecipitated from 1 mg of Mouse brain lysate with ab191888 at 1/150 dilution. Western blot was performed from the immunoprecipitate using ab191888 at 1/1000 dilution. VeriBlot for IP Detection Reagent (HRP) (ab131366), was used for detection at 1/1000 dilution.

Lane 1 : Mouse brain lysate, 10μg (Input).
Lane 2 : ab191888 IP in Mouse brain lysate.
Lane 3 : Rabbit IgG,monoclonal [EPR25A]- Isotype Control (ab172730) instead of ab191888 in Mouse brain lysate.

Blocking and dilution buffer and concentration : 5% NFDM/TBST.

Exposure time : 3 minutes.

All lanes:

Immunoprecipitation - Anti-GABARAP + GABARAPL1 + GABARAPL3 antibody [EPR18862] (<a href='/en-us/products/primary-antibodies/gabarap-gabarapl1-gabarapl3-antibody-epr18862-ab191888'>ab191888</a>)

false

Western blot - Anti-GABARAP+GABARAPL1+GABARAPL3 antibody [EPR18862] - BSA and Azide free (AB251100)
  • WB

Supplier Data

Western blot - Anti-GABARAP+GABARAPL1+GABARAPL3 antibody [EPR18862] - BSA and Azide free (AB251100)

This data was developed using ab191888, the same antibody clone in a different buffer formulation.

Blocking and dilution buffer : 5% NFDM/TBST.

The observed MW is a little higher than predicted one (14KD), which is similar with the published literatures (PMID : 16650615; 21862879).

All lanes:

Western blot - Anti-GABARAP + GABARAPL1 + GABARAPL3 antibody [EPR18862] (<a href='/en-us/products/primary-antibodies/gabarap-gabarapl1-gabarapl3-antibody-epr18862-ab191888'>ab191888</a>) at 1/1000 dilution

All lanes:

Human brain tissue lysate at 10 µg

Secondary

All lanes:

Goat Anti-Rabbit IgG Peroxidase Conjugate, specific to the non-reduced form of IgG at 1/10000 dilution

Predicted band size: 14 kDa

Observed band size: 17 kDa

false

Exposure time: 3min

Western blot - Anti-GABARAP+GABARAPL1+GABARAPL3 antibody [EPR18862] - BSA and Azide free (AB251100)
  • WB

Supplier Data

Western blot - Anti-GABARAP+GABARAPL1+GABARAPL3 antibody [EPR18862] - BSA and Azide free (AB251100)

This data was developed using ab191888, the same antibody clone in a different buffer formulation.

Blocking and dilution buffer : 5% NFDM/TBST.

Exposure times : Lanes 1-2 : 5 seconds; Lane 3 : 3 minutes.

All three recombinant human full length proteins contain aa1-117 with an N-terminal His-Tag®. This product showed higher reactivity with GABARAPL1 and GABARAPL3, and lower reactivity with GABARAP.

All lanes:

Western blot - Anti-GABARAP + GABARAPL1 + GABARAPL3 antibody [EPR18862] (<a href='/en-us/products/primary-antibodies/gabarap-gabarapl1-gabarapl3-antibody-epr18862-ab191888'>ab191888</a>) at 1/5000 dilution

Lane 1:

Recombinant human GABARAPL2 full length protein at 0.01 µg

Lane 2:

Recombinant human GABARAPL3 full length protein at 0.01 µg

Lane 3:

Recombinant human GABARAP full length protein at 0.01 µg

Secondary

All lanes:

Western blot - Goat Anti-Rabbit IgG H&L (HRP) (<a href='/en-us/products/secondary-antibodies/goat-rabbit-igg-h-l-hrp-ab97051'>ab97051</a>) at 1/100000 dilution

Predicted band size: 14 kDa

false

Western blot - Anti-GABARAP+GABARAPL1+GABARAPL3 antibody [EPR18862] - BSA and Azide free (AB251100)
  • WB

Supplier Data

Western blot - Anti-GABARAP+GABARAPL1+GABARAPL3 antibody [EPR18862] - BSA and Azide free (AB251100)

This data was developed using ab191888, the same antibody clone in a different buffer formulation.

Blocking and dilution buffer : 5% NFDM/TBST.

Human GABARAPL1 full length recombinant protein contains aa1-117 with a GST-Tag.

All lanes:

Western blot - Anti-GABARAP + GABARAPL1 + GABARAPL3 antibody [EPR18862] (<a href='/en-us/products/primary-antibodies/gabarap-gabarapl1-gabarapl3-antibody-epr18862-ab191888'>ab191888</a>) at 1/1000 dilution

All lanes:

Human GABARAPL1 full length recombinant protein at 0.02 µg

Secondary

All lanes:

Western blot - Goat Anti-Rabbit IgG H&L (HRP) (<a href='/en-us/products/secondary-antibodies/goat-rabbit-igg-h-l-hrp-ab97051'>ab97051</a>) at 1/100000 dilution

Predicted band size: 14 kDa

false

Exposure time: 5s

Western blot - Anti-GABARAP+GABARAPL1+GABARAPL3 antibody [EPR18862] - BSA and Azide free (AB251100)
  • WB

Supplier Data

Western blot - Anti-GABARAP+GABARAPL1+GABARAPL3 antibody [EPR18862] - BSA and Azide free (AB251100)

This data was developed using ab191888, the same antibody clone in a different buffer formulation.

Blocking and dilution buffer : 5% NFDM/TBST.

Exposure time : 30 seconds.

The observed MW is a little higher than predicted one (14KD), which is similar with the published literatures (PMID : 16650615; 21862879).

All lanes:

Western blot - Anti-GABARAP + GABARAPL1 + GABARAPL3 antibody [EPR18862] (<a href='/en-us/products/primary-antibodies/gabarap-gabarapl1-gabarapl3-antibody-epr18862-ab191888'>ab191888</a>) at 1/1000 dilution

Lane 1:

HeLa (Human epithelial cell line from cervix adenocarcinoma) whole cell lysate at 10 µg

Lane 2:

HepG2 (Human liver hepatocellular carcinoma cell line) whole cell lysate at 10 µg

Secondary

All lanes:

Western blot - Goat Anti-Rabbit IgG H&L (HRP) (<a href='/en-us/products/secondary-antibodies/goat-rabbit-igg-h-l-hrp-ab97051'>ab97051</a>) at 1/10000 dilution

Predicted band size: 14 kDa

Observed band size: 17 kDa

false

Exposure time: 30s

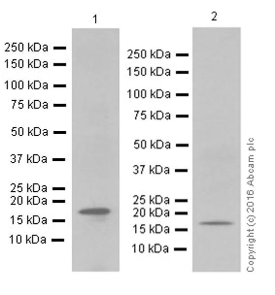
Western blot - Anti-GABARAP+GABARAPL1+GABARAPL3 antibody [EPR18862] - BSA and Azide free (AB251100)
  • WB

Supplier Data

Western blot - Anti-GABARAP+GABARAPL1+GABARAPL3 antibody [EPR18862] - BSA and Azide free (AB251100)

This data was developed using ab191888, the same antibody clone in a different buffer formulation.

Blocking and dilution buffer : 5% NFDM/TBST.

The observed MW is a little higher than predicted one (14KD), which is similar with the published literatures (PMID : 16650615; 21862879).

All lanes:

Western blot - Anti-GABARAP + GABARAPL1 + GABARAPL3 antibody [EPR18862] (<a href='/en-us/products/primary-antibodies/gabarap-gabarapl1-gabarapl3-antibody-epr18862-ab191888'>ab191888</a>) at 1/1000 dilution

Lane 1:

Mouse brain lysate at 10 µg

Lane 2:

Mouse kidney lysate at 10 µg

Lane 3:

Mouse spleen lysate at 10 µg

Lane 4:

Rat brain lysate at 10 µg

Lane 5:

Rat kidney lysate at 10 µg

Secondary

All lanes:

Western blot - Goat Anti-Rabbit IgG H&L (HRP) (<a href='/en-us/products/secondary-antibodies/goat-rabbit-igg-h-l-hrp-ab97051'>ab97051</a>) at 1/100000 dilution

Predicted band size: 14 kDa

Observed band size: 17 kDa

false

Exposure time: 3min

  • Unconjugated

    Anti-GABARAP + GABARAPL1 + GABARAPL3 antibody [EPR18862]

Key facts

Host species

Rabbit

Clonality

Monoclonal

Clone number

EPR18862

Isotype

IgG

Carrier free

Yes

Reacts with

Mouse, Rat, Human

Applications

IP, WB

applications

Immunogen

The exact immunogen used to generate this antibody is proprietary information.

Reactivity data

{ "title": "Reactivity Data", "filters": { "stats": ["", "Species", "Dilution Info", "Notes"], "tabs": { "all-applications": {"fullname" : "All Applications", "shortname": "All Applications"}, "IP" : {"fullname" : "Immunoprecipitation", "shortname":"IP"}, "WB" : {"fullname" : "Western blot", "shortname":"WB"} }, "product-promise": { "all": "all", "testedAndGuaranteed": "tested", "guaranteed": "expected", "predicted": "predicted", "notRecommended": "not-recommended" } }, "values": { "Human": { "IP-species-checked": "guaranteed", "IP-species-dilution-info": "", "IP-species-notes": "", "WB-species-checked": "testedAndGuaranteed", "WB-species-dilution-info": "", "WB-species-notes": "<p></p>" }, "Mouse": { "IP-species-checked": "testedAndGuaranteed", "IP-species-dilution-info": "", "IP-species-notes": "<p></p>", "WB-species-checked": "testedAndGuaranteed", "WB-species-dilution-info": "", "WB-species-notes": "<p></p>" }, "Rat": { "IP-species-checked": "guaranteed", "IP-species-dilution-info": "", "IP-species-notes": "", "WB-species-checked": "testedAndGuaranteed", "WB-species-dilution-info": "", "WB-species-notes": "<p></p>" }, "Recombinant full length protein - Human": { "IP-species-checked": "notRecommended", "IP-species-dilution-info": "", "IP-species-notes": "", "WB-species-checked": "testedAndGuaranteed", "WB-species-dilution-info": "", "WB-species-notes": "<p></p>" } } }

Product details

ab251100 is the carrier-free version of ab191888.

Patented technology
Our RabMAb® technology is a patented hybridoma-based technology for making rabbit monoclonal antibodies. For details on our patents, please refer to RabMAb® patents.

What are the advantages of a recombinant monoclonal antibody?
This product is a recombinant monoclonal antibody, which offers several advantages including:

  • - High batch-to-batch consistency and reproducibility
  • - Improved sensitivity and specificity
  • - Long-term security of supply
  • - Animal-free batch production

For more information, read more on recombinant antibodies.

Conjugation ready
Our carrier-free antibodies are typically supplied in a PBS-only formulation, purified and free of BSA, sodium azide and glycerol. This conjugation-ready format is designed for use with fluorochromes, metal isotopes, oligonucleotides, and enzymes, which makes them ideal for antibody labelling, functional and cell-based assays, flow-based assays (e.g. mass cytometry) and Multiplex Imaging applications.

Use our conjugation kits for antibody conjugates that are ready-to-use in as little as 20 minutes with 1 minute hands-on-time and 100% antibody recovery: available for fluorescent dyes, HRP, biotin and gold.

Compatibility
This product is compatible with the Maxpar® Antibody Labeling Kit from Fluidigm, without the need for antibody preparation. Maxpar® is a trademark of Fluidigm Canada Inc.

Properties and storage information

Form
Liquid
Storage buffer
pH: 7.2 - 7.4 Constituents: PBS
Shipped at conditions
Blue Ice
Appropriate short-term storage conditions
+4°C
Appropriate long-term storage conditions
+4°C
Storage information
Do Not Freeze

Product protocols

For this product, it's our understanding that no specific protocols are required. You can visit:

Target data

Ubiquitin-like modifier that plays a role in intracellular transport of GABA(A) receptors and its interaction with the cytoskeleton (PubMed : 9892355). Involved in autophagy : while LC3s are involved in elongation of the phagophore membrane, the GABARAP/GATE-16 subfamily is essential for a later stage in autophagosome maturation (PubMed : 15169837, PubMed : 20562859, PubMed : 22948227). Through its interaction with the reticulophagy receptor TEX264, participates in the remodeling of subdomains of the endoplasmic reticulum into autophagosomes upon nutrient stress, which then fuse with lysosomes for endoplasmic reticulum turnover (PubMed : 31006538). Also required for the local activation of the CUL3(KBTBD6/7) E3 ubiquitin ligase complex, regulating ubiquitination and degradation of TIAM1, a guanyl-nucleotide exchange factor (GEF) that activates RAC1 and downstream signal transduction (PubMed : 25684205). Thereby, regulates different biological processes including the organization of the cytoskeleton, cell migration and proliferation (PubMed : 25684205). Involved in apoptosis (PubMed : 15977068).
See full target information GABARAP

Additional targets

GABARAPL1,GABARAPL3

Product promise

We are committed to supporting your work with high-quality reagents, and we're here for you every step of the way. In the unlikely event that one of our products does not perform as expected, you're protected by our Product Promise.
For full details, please see our Terms & Conditions

Please note: All products are 'FOR RESEARCH USE ONLY. NOT FOR USE IN DIAGNOSTIC OR THERAPEUTIC PROCEDURES'.

For licensing inquiries, please contact partnerships@abcam.com