JavaScript is disabled in your browser. Please enable JavaScript to view this website.
AB117080

Anti-GABRA4 antibody

Be the first to review this product! Submit a review

|

(4 Publications)

Goat Polyclonal GABRA4 antibody. Suitable for IHC-P, WB and reacts with Human samples. Cited in 4 publications. Immunogen corresponding to Synthetic Peptide within Human GABRA4 aa 300-400.

View Alternative Names

Gamma-aminobutyric acid receptor subunit alpha-4, GABA(A) receptor subunit alpha-4, GABAAR subunit alpha-4, GABRA4

2 Images
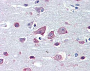
Immunohistochemistry (Formalin/PFA-fixed paraffin-embedded sections) - Anti-GABRA4 antibody (AB117080)
  • IHC-P

Unknown

Immunohistochemistry (Formalin/PFA-fixed paraffin-embedded sections) - Anti-GABRA4 antibody (AB117080)

Human Brain, Cortex (formalin-fixed, paraffin-embedded) stained with ab117080 followed by biotinylated anti-goat IgG secondary antibody, alkaline phosphatase-streptavidin and chromogen.

Western blot - Anti-GABRA4 antibody (AB117080)
  • WB

Unknown

Western blot - Anti-GABRA4 antibody (AB117080)

All lanes:

Western blot - Anti-GABRA4 antibody (ab117080) at 0.1 µg/mL

All lanes:

Human Frontal Cortex lysate (in RIPA buffer) at 35 µg

Predicted band size: 62 kDa

true

Key facts

Host species

Goat

Clonality

Polyclonal

Isotype

IgG

Carrier free

No

Reacts with

Human

Applications

WB, IHC-P

applications

Immunogen

Synthetic Peptide within Human GABRA4 aa 300-400. The exact immunogen used to generate this antibody is proprietary information.

P48169

Reactivity data

{ "title": "Reactivity Data", "filters": { "stats": ["", "Species", "Dilution Info", "Notes"], "tabs": { "all-applications": {"fullname" : "All Applications", "shortname": "All Applications"}, "IHCP" : {"fullname" : "Immunohistochemistry (Formalin/PFA-fixed paraffin-embedded sections)", "shortname":"IHC-P"}, "WB" : {"fullname" : "Western blot", "shortname":"WB"} }, "product-promise": { "all": "all", "testedAndGuaranteed": "tested", "guaranteed": "expected", "predicted": "predicted", "notRecommended": "not-recommended" } }, "values": { "Human": { "IHCP-species-checked": "testedAndGuaranteed", "IHCP-species-dilution-info": "2.5 µg/mL", "IHCP-species-notes": "<p></p> Perform heat-mediated antigen retrieval with citrate buffer pH 6 before commencing with IHC staining protocol.", "WB-species-checked": "testedAndGuaranteed", "WB-species-dilution-info": "0.1-0.3 µg/mL", "WB-species-notes": "<p></p>" } } }

Properties and storage information

Form
Liquid
Purification technique
Affinity purification Immunogen
Storage buffer
pH: 7.3 Preservative: 0.02% Sodium azide Constituents: 99% Tris buffered saline, 0.5% BSA
Shipped at conditions
Blue Ice
Appropriate short-term storage conditions
+4°C
Appropriate long-term storage conditions
-20°C
Aliquoting information
Upon delivery aliquot
Storage information
Avoid freeze / thaw cycle

Product protocols

For this product, it's our understanding that no specific protocols are required. You can visit:

Target data

Alpha subunit of the heteropentameric ligand-gated chloride channel gated by gamma-aminobutyric acid (GABA), a major inhibitory neurotransmitter in the brain (PubMed : 35355020). GABA-gated chloride channels, also named GABA(A) receptors (GABAAR), consist of five subunits arranged around a central pore and contain GABA active binding site(s) located at the alpha and beta subunit interface(s) (PubMed : 35355020). When activated by GABA, GABAARs selectively allow the flow of chloride anions across the cell membrane down their electrochemical gradient (PubMed : 35355020). GABAARs containing alpha-4 are predominantly extrasynaptic, contributing to tonic inhibition in dentate granule cells and thalamic relay neurons (By similarity). Extrasynaptic alpha-4-containing GABAARs control levels of excitability and network activity (By similarity). GABAAR containing alpha-4-beta-3-delta subunits can simultaneously bind GABA and histamine where histamine binds at the interface of two neighboring beta subunits, which may be involved in the regulation of sleep and wakefulness (PubMed : 35355020).
See full target information GABRA4

Publications (4)

Recent publications for all applications. Explore the full list and refine your search

The Journal of neuroscience : the official journal of the Society for Neuroscience 43:7056-7068 PubMed37657933

2023

Divergent Population-Specific Effects of Chronic Ethanol Exposure on Excitability and Inhibitory Transmission in Male and Female Rat Central Amygdala.

Applications

Unspecified application

Species

Unspecified reactive species

Elizabeth J Crofton,Todd K O'Buckley,John P Bohnsack,A Leslie Morrow,Melissa A Herman

Alcoholism, clinical and experimental research 43:822-832 PubMed30860602

2019

Chronic Ethanol Exposure and Withdrawal Impair Synaptic GABA Receptor-Mediated Neurotransmission in Deep-Layer Prefrontal Cortex.

Applications

Unspecified application

Species

Unspecified reactive species

Benjamin A Hughes,John Peyton Bohnsack,Todd K O'Buckley,Melissa A Herman,A Leslie Morrow

Neuropharmacology 105:124-132 PubMed26767953

2016

Differential regulation of synaptic and extrasynaptic α4 GABA(A) receptor populations by protein kinase A and protein kinase C in cultured cortical neurons.

Applications

Unspecified application

Species

Unspecified reactive species

John Peyton Bohnsack,Stephen L Carlson,A Leslie Morrow

Alcoholism, clinical and experimental research 39:262-71 PubMed25684048

2015

Chronic intermittent ethanol exposure produces persistent anxiety in adolescent and adult rats.

Applications

Unspecified application

Species

Unspecified reactive species

Candice E Van Skike,Jaime L Diaz-Granados,Douglas B Matthews
View all publications

Product promise

We are committed to supporting your work with high-quality reagents, and we're here for you every step of the way. In the unlikely event that one of our products does not perform as expected, you're protected by our Product Promise.
For full details, please see our Terms & Conditions

Please note: All products are 'FOR RESEARCH USE ONLY. NOT FOR USE IN DIAGNOSTIC OR THERAPEUTIC PROCEDURES'.

For licensing inquiries, please contact partnerships@abcam.com