JavaScript is disabled in your browser. Please enable JavaScript to view this website.
AB300351

Anti-GABRD antibody [EPR25324-253] (BSA and Azide free)

Be the first to review this product! Submit a review

|

(1 Publication)

Rabbit Recombinant Monoclonal GABRD antibody. Carrier free. Suitable for IP, IHC-Fr, IHC-P, WB and reacts with Rat, Mouse samples. Cited in 1 publication.

View Alternative Names

Gamma-aminobutyric acid receptor subunit delta, GABA(A) receptor subunit delta, GABAAR subunit delta, Gabrd

11 Images
Immunohistochemistry (Formalin/PFA-fixed paraffin-embedded sections) - Anti-GABRD antibody [EPR25324-253] (BSA and Azide free) (AB300351)
  • IHC-P

Supplier Data

Immunohistochemistry (Formalin/PFA-fixed paraffin-embedded sections) - Anti-GABRD antibody [EPR25324-253] (BSA and Azide free) (AB300351)

This data was developed using ab300348, the same antibody clone in a different buffer formulation.

Immunohistochemical analysis of paraffin-embedded mouse kidney tissue labeling Gamma-aminobutyric acid receptor subunit delta with ab300348 at 1/500 dilution (0.956 μg/mL) followed by a ready to use LeicaDS9800 (Bond™ Polymer Refine Detection kit). Negative control : no staining in mouse kidney. The section was incubated with ab300348 for 30 mins at room temperature. The immunostaining was performed on a Leica Biosystems BOND® RX instrument. Counterstained with Hematoxylin.

Heat mediated antigen retrieval with Tris-EDTA buffer (pH 9.0, epitope retrieval solution 2) for 20 mins was used.

Immunohistochemistry (Formalin/PFA-fixed paraffin-embedded sections) - Anti-GABRD antibody [EPR25324-253] (BSA and Azide free) (AB300351)
  • IHC-P

Supplier Data

Immunohistochemistry (Formalin/PFA-fixed paraffin-embedded sections) - Anti-GABRD antibody [EPR25324-253] (BSA and Azide free) (AB300351)

This data was developed using ab300348, the same antibody clone in a different buffer formulation.

Immunohistochemical analysis of paraffin-embedded mouse thalamus tissue labeling Gamma-aminobutyric acid receptor subunit delta with ab300348 at 1/500 dilution (0.956 μg/mL) followed by a ready to use LeicaDS9800 (Bond™ Polymer Refine Detection kit). Positive staining in mouse thalamus (PMID : 23337532). The section was incubated with ab300348 for 30 mins at room temperature. The immunostaining was performed on a Leica Biosystems BOND® RX instrument. Counterstained with Hematoxylin.

Secondary antibody only control : PBS was used instead of primary antibody, followed by a ready to use secondary antibody LeicaDS9800 (Bond™ Polymer Refine Detection kit).

Heat mediated antigen retrieval with Tris-EDTA buffer (pH 9.0, epitope retrieval solution 2) for 20 mins.

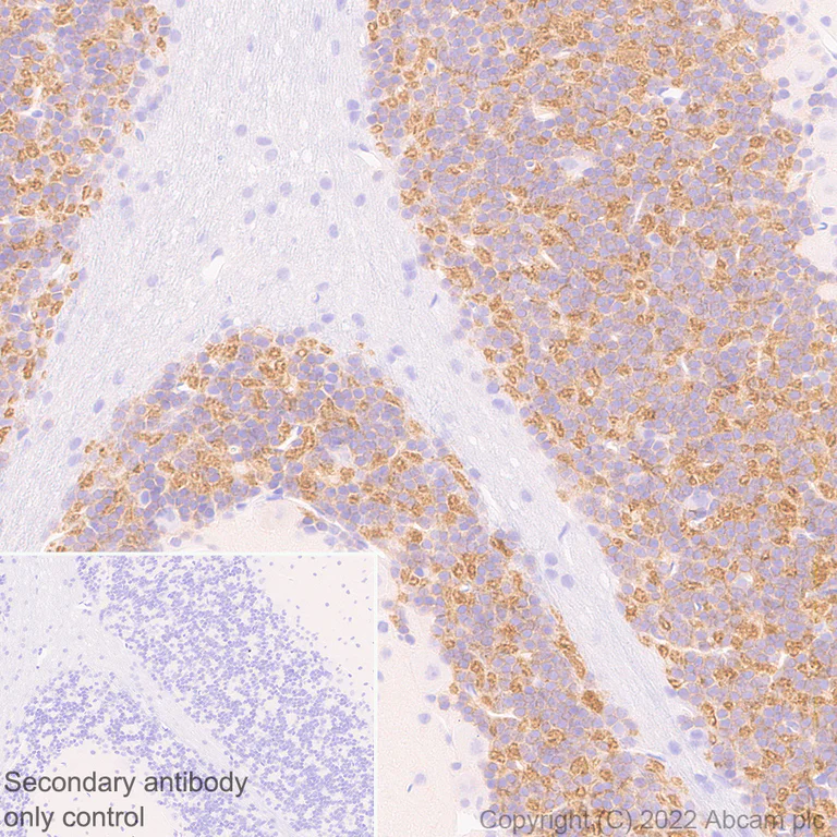
Immunohistochemistry (Frozen sections) - Anti-GABRD antibody [EPR25324-253] (BSA and Azide free) (AB300351)
  • IHC-Fr

Supplier Data

Immunohistochemistry (Frozen sections) - Anti-GABRD antibody [EPR25324-253] (BSA and Azide free) (AB300351)

This data was developed using ab300348, the same antibody clone in a different buffer formulation.

Immunohistochemical analysis of 4% PFA-fixed, 0.2% Triton X-100 permeabilized frozen mouse cerebellum (fresh) tissue labeling Gamma-aminobutyric acid receptor subunit delta with ab300348 at 1/500 (0.956 μg/ml) dilution followed by ab150081 Goat Anti-Rabbit IgG H&L (Alexa Fluor® 488) preadsorbed at 1/1000 dilution (2 μg/ml) (Green). Positive staining on mouse cerebellum is observed. The nuclear counterstain was DAPI (Blue).

Secondary antibody control : PBS was used instead of primary antibody, followed by preadsorbed secondary antibody ab150081 Goat Anti-Rabbit IgG H&L (Alexa Fluor® 488) at 1/1000 dilution (2 μg/ml).

Immunohistochemistry (Frozen sections) - Anti-GABRD antibody [EPR25324-253] (BSA and Azide free) (AB300351)
  • IHC-Fr

Supplier Data

Immunohistochemistry (Frozen sections) - Anti-GABRD antibody [EPR25324-253] (BSA and Azide free) (AB300351)

This data was developed using ab300348, the same antibody clone in a different buffer formulation.

Immunohistochemical analysis of 4% PFA-fixed, 0.2% Triton X-100 permeabilized frozen rat cerebellum (fresh) tissue labeling Gamma-aminobutyric acid receptor subunit delta with ab300348 at 1/500 (0.956 μg/ml) dilution followed by ab150081 Goat Anti-Rabbit IgG H&L (Alexa Fluor® 488) preadsorbed at 1/1000 dilution (2 μg/ml) (Green). Positive staining on rat cerebellum is observed. The nuclear counterstain was DAPI (Blue).

Secondary antibody control : PBS was used instead of primary antibody, followed by preadsorbed secondary antibody ab150081 Goat Anti-Rabbit IgG H&L (Alexa Fluor® 488) at 1/1000 dilution (2 μg/ml).

Immunohistochemistry (Formalin/PFA-fixed paraffin-embedded sections) - Anti-GABRD antibody [EPR25324-253] (BSA and Azide free) (AB300351)
  • IHC-P

Supplier Data

Immunohistochemistry (Formalin/PFA-fixed paraffin-embedded sections) - Anti-GABRD antibody [EPR25324-253] (BSA and Azide free) (AB300351)

This data was developed using ab300348, the same antibody clone in a different buffer formulation.

Immunohistochemical analysis of paraffin-embedded rat brain tissue labeling Gamma-aminobutyric acid receptor subunit delta with ab300348 at 1/500 dilution (0.956 μg/mL) followed by a ready to use LeicaDS9800 (Bond™ Polymer Refine Detection kit). Positive staining in rat brain. The section was incubated with ab300348 for 30 mins at room temperature. The immunostaining was performed on a Leica Biosystems BOND® RX instrument. Counterstained with Hematoxylin.

Secondary antibody only control : PBS was used instead of primary antibody, followed by a ready to use secondary antibody LeicaDS9800 (Bond™ Polymer Refine Detection kit).

Heat mediated antigen retrieval with Tris-EDTA buffer (pH 9.0, epitope retrieval solution 2) for 20 mins was used.

Immunohistochemistry (Formalin/PFA-fixed paraffin-embedded sections) - Anti-GABRD antibody [EPR25324-253] (BSA and Azide free) (AB300351)
  • IHC-P

Supplier Data

Immunohistochemistry (Formalin/PFA-fixed paraffin-embedded sections) - Anti-GABRD antibody [EPR25324-253] (BSA and Azide free) (AB300351)

This data was developed using ab300348, the same antibody clone in a different buffer formulation.

Immunohistochemical analysis of paraffin-embedded rat thalamus tissue labeling Gamma-aminobutyric acid receptor subunit delta with ab300348 at 1/500 dilution (0.956 μg/mL) followed by a ready to use LeicaDS9800 (Bond™ Polymer Refine Detection kit). Positive staining in rat thalamus. The section was incubated with ab300348 for 30 mins at room temperature. The immunostaining was performed on a Leica Biosystems BOND® RX instrument. Counterstained with Hematoxylin.

Secondary antibody only control : PBS was used instead of primary antibody, followed by a ready to use secondary antibody LeicaDS9800 (Bond™ Polymer Refine Detection kit).

Heat mediated antigen retrieval with Tris-EDTA buffer (pH 9.0, epitope retrieval solution 2) for 20 mins was used.

Immunohistochemistry (Formalin/PFA-fixed paraffin-embedded sections) - Anti-GABRD antibody [EPR25324-253] (BSA and Azide free) (AB300351)
  • IHC-P

Supplier Data

Immunohistochemistry (Formalin/PFA-fixed paraffin-embedded sections) - Anti-GABRD antibody [EPR25324-253] (BSA and Azide free) (AB300351)

This data was developed using ab300348, the same antibody clone in a different buffer formulation.

Immunohistochemical analysis of paraffin-embedded rat cerebellum tissue labeling Gamma-aminobutyric acid receptor subunit delta with ab300348 at 1/500 dilution (0.956 µg/mL) followed by a ready to use LeicaDS9800 (Bond™ Polymer Refine Detection kit). Positive staining in rat cerebellum. The section was incubated with ab300348 for 30 mins at room temperature. The immunostaining was performed on a Leica Biosystems BOND® RX instrument. Counterstained with Hematoxylin.

Secondary antibody only control : PBS was used instead of primary antibody, followed by a ready to use secondary antibody LeicaDS9800 (Bond™ Polymer Refine Detection kit).

Heat mediated antigen retrieval with Tris-EDTA buffer (pH 9.0, epitope retrieval solution 2) for 20 mins.

Immunohistochemistry (Formalin/PFA-fixed paraffin-embedded sections) - Anti-GABRD antibody [EPR25324-253] (BSA and Azide free) (AB300351)
  • IHC-P

Supplier Data

Immunohistochemistry (Formalin/PFA-fixed paraffin-embedded sections) - Anti-GABRD antibody [EPR25324-253] (BSA and Azide free) (AB300351)

This data was developed using ab300348, the same antibody clone in a different buffer formulation.

Immunohistochemical analysis of paraffin-embedded rat cerebellum tissue labeling Gamma-aminobutyric acid receptor subunit delta with ab300348 at 1/500 dilution (0.956 μg/mL) followed by a ready to use LeicaDS9800 (Bond™ Polymer Refine Detection kit). Positive staining in rat cerebellum. The section was incubated with ab300348 for 30 mins at room temperature. The immunostaining was performed on a Leica Biosystems BOND® RX instrument. Counterstained with Hematoxylin.

Secondary antibody only control : PBS was used instead of primary antibody, followed by a ready to use secondary antibody LeicaDS9800 (Bond™ Polymer Refine Detection kit).

Heat mediated antigen retrieval with Tris-EDTA buffer (pH 9.0, epitope retrieval solution 2) for 20 mins was used.

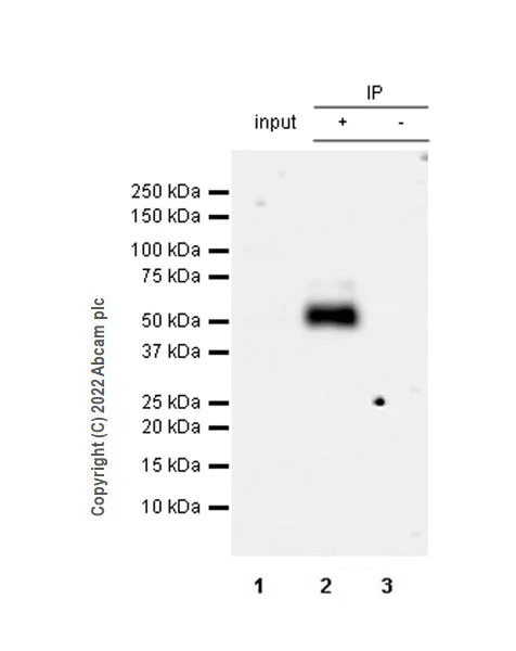
Immunoprecipitation - Anti-GABRD antibody [EPR25324-253] (BSA and Azide free) (AB300351)
  • IP

Supplier Data

Immunoprecipitation - Anti-GABRD antibody [EPR25324-253] (BSA and Azide free) (AB300351)

This data was developed using ab300348, the same antibody clone in a different buffer formulation.

Gamma-aminobutyric acid receptor subunit delta was immunoprecipitated from 0.35 mg Mouse cerebellum tissue lysate 10 ug with ab300348 at 1/30 dilution (2ug in 0.35mg lysates). Western blot was performed on the immunoprecipitate using ab300348 at 1/1000 dilution.

VeriBlot for IP secondary antibody(HRP)(ab131366) was used at 1/5000 dilution.

Blocking and dilution buffer and concentration : 5% NFDM/TBST.

All lanes:

Immunoprecipitation - Anti-GABRD antibody [EPR25324-253] (<a href='/en-us/products/primary-antibodies/gabrd-antibody-epr25324-253-ab300348'>ab300348</a>) at 1/1000 dilution

Lane 1:

Mouse cerebellum tissue lysate

Lane 2:

<a href='/en-us/products/primary-antibodies/gabrd-antibody-epr25324-253-ab300348'>ab300348</a> at 1/30 IP in mouse cerebellum tissue lysate

Lane 3:

Rabbit monoclonal IgG (<a href='/en-us/products/primary-antibodies/rabbit-igg-monoclonal-epr25a-isotype-control-ab172730'>ab172730</a>) instead of <a href='/en-us/products/primary-antibodies/gabrd-antibody-epr25324-253-ab300348'>ab300348</a> in mouse cerebellum tissue lysate

Secondary

All lanes:

Immunoprecipitation - VeriBlot for IP Detection Reagent (HRP) (<a href='/en-us/products/reagents/veriblot-for-ip-detection-reagent-hrp-ab131366'>ab131366</a>) at 1/5000 dilution

Observed band size: 62 kDa

false

Exposure time: 3min

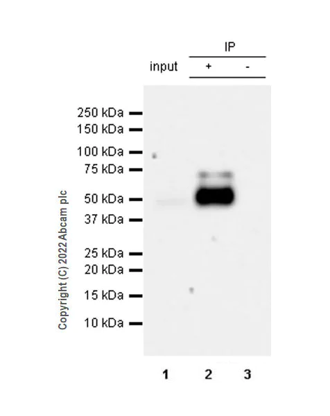
Immunoprecipitation - Anti-GABRD antibody [EPR25324-253] (BSA and Azide free) (AB300351)
  • IP

Supplier Data

Immunoprecipitation - Anti-GABRD antibody [EPR25324-253] (BSA and Azide free) (AB300351)

This data was developed using ab300348, the same antibody clone in a different buffer formulation.

Gamma-aminobutyric acid receptor subunit delta was immunoprecipitated from 0.35 mg Rat cerebellum tissue lysate 10 ug with ab300348 at 1/30 dilution (2ug in 0.35mg lysates). Western blot was performed on the immunoprecipitate using ab300348 at 1/1000 dilution.

VeriBlot for IP secondary antibody(HRP)(ab131366) was used at 1/5000 dilution.

Blocking and dilution buffer and concentration : 5% NFDM/TBST.

All lanes:

Immunoprecipitation - Anti-GABRD antibody [EPR25324-253] (<a href='/en-us/products/primary-antibodies/gabrd-antibody-epr25324-253-ab300348'>ab300348</a>) at 1/1000 dilution

Lane 1:

Rat cerebellum tissue lysate at 10 µg

Lane 2:

<a href='/en-us/products/primary-antibodies/gabrd-antibody-epr25324-253-ab300348'>ab300348</a> at 1/30 IP in rat cerebellum tissue lysate at 10 µg

Lane 3:

Rabbit monoclonal IgG (<a href='/en-us/products/primary-antibodies/rabbit-igg-monoclonal-epr25a-isotype-control-ab172730'>ab172730</a>) instead of <a href='/en-us/products/primary-antibodies/gabrd-antibody-epr25324-253-ab300348'>ab300348</a> in rat cerebellum tissue lysate at 10 µg

Secondary

All lanes:

Immunoprecipitation - VeriBlot for IP Detection Reagent (HRP) (<a href='/en-us/products/reagents/veriblot-for-ip-detection-reagent-hrp-ab131366'>ab131366</a>) at 1/5000 dilution

Observed band size: 62 Da

false

Exposure time: 41s

Western blot - Anti-GABRD antibody [EPR25324-253] (BSA and Azide free) (AB300351)
  • WB

Supplier Data

Western blot - Anti-GABRD antibody [EPR25324-253] (BSA and Azide free) (AB300351)

This data was developed using ab300348, the same antibody clone in a different buffer formulation. The expression profile/ molecular weight observed is consistent with what has been described in the literature (PMID : 18408071). Negative control : kidney (PMID : 12119096) Samples are non-boiled as boiling may cause protein aggregation. Blocking Buffer and concentration : 5% NFDM/TBST

All lanes:

Western blot - Anti-GABRD antibody [EPR25324-253] (<a href='/en-us/products/primary-antibodies/gabrd-antibody-epr25324-253-ab300348'>ab300348</a>) at 1/1000 dilution

Lane 1:

Mouse cerebral cortex tissue lysate

Lane 2:

Mouse cerebellum tissue lysate

Lane 3:

Mouse kidney tissue lysate

Lane 4:

Rat cerebellum tissue lysate

Lane 5:

Rat kidney tissue lysate

Secondary

All lanes:

Goat Anti-Rabbit IgG (HRP) with minimal cross-reactivity with human IgG at 1/2000 dilution

Observed band size: 62 kDa

false

Exposure time: 5.5s

Key facts

Host species

Rabbit

Clonality

Monoclonal

Clone number

EPR25324-253

Isotype

IgG

Carrier free

Yes

Reacts with

Rat, Mouse

Applications

WB, IP, IHC-Fr, IHC-P

applications

Immunogen

The exact immunogen used to generate this antibody is proprietary information.

Reactivity data

{ "title": "Reactivity Data", "filters": { "stats": ["", "Species", "Dilution Info", "Notes"], "tabs": { "all-applications": {"fullname" : "All Applications", "shortname": "All Applications"}, "IP" : {"fullname" : "Immunoprecipitation", "shortname":"IP"}, "ICCIF" : {"fullname" : "Immunocytochemistry/ Immunofluorescence", "shortname":"ICC/IF"}, "IHCFr" : {"fullname" : "Immunohistochemistry (Frozen sections)", "shortname":"IHC-Fr"}, "IHCP" : {"fullname" : "Immunohistochemistry (Formalin/PFA-fixed paraffin-embedded sections)", "shortname":"IHC-P"}, "WB" : {"fullname" : "Western blot", "shortname":"WB"}, "FlowCyt" : {"fullname" : "Flow Cytometry", "shortname":"Flow Cyt"} }, "product-promise": { "all": "all", "testedAndGuaranteed": "tested", "guaranteed": "expected", "predicted": "predicted", "notRecommended": "not-recommended" } }, "values": { "Human": { "IP-species-checked": "notRecommended", "IP-species-dilution-info": "", "IP-species-notes": "", "ICCIF-species-checked": "notRecommended", "ICCIF-species-dilution-info": "", "ICCIF-species-notes": "<p></p>", "IHCFr-species-checked": "notRecommended", "IHCFr-species-dilution-info": "", "IHCFr-species-notes": "", "IHCP-species-checked": "notRecommended", "IHCP-species-dilution-info": "", "IHCP-species-notes": "<p>Perform heat mediated antigen retrieval with Tris/EDTA buffer pH 9.0 before commencing with IHC staining protocol.</p>", "WB-species-checked": "notRecommended", "WB-species-dilution-info": "", "WB-species-notes": "<p></p>", "FlowCyt-species-checked": "notRecommended", "FlowCyt-species-dilution-info": "", "FlowCyt-species-notes": "<p></p>" }, "Mouse": { "IP-species-checked": "testedAndGuaranteed", "IP-species-dilution-info": "", "IP-species-notes": "<p></p>", "ICCIF-species-checked": "notRecommended", "ICCIF-species-dilution-info": "", "ICCIF-species-notes": "<p></p>", "IHCFr-species-checked": "testedAndGuaranteed", "IHCFr-species-dilution-info": "", "IHCFr-species-notes": "<p></p>", "IHCP-species-checked": "testedAndGuaranteed", "IHCP-species-dilution-info": "", "IHCP-species-notes": "<p>Perform heat mediated antigen retrieval with Tris/EDTA buffer pH 9.0 before commencing with IHC staining protocol.</p>", "WB-species-checked": "testedAndGuaranteed", "WB-species-dilution-info": "", "WB-species-notes": "<p></p>", "FlowCyt-species-checked": "notRecommended", "FlowCyt-species-dilution-info": "", "FlowCyt-species-notes": "<p></p>" }, "Rat": { "IP-species-checked": "testedAndGuaranteed", "IP-species-dilution-info": "", "IP-species-notes": "<p></p>", "ICCIF-species-checked": "notRecommended", "ICCIF-species-dilution-info": "", "ICCIF-species-notes": "", "IHCFr-species-checked": "testedAndGuaranteed", "IHCFr-species-dilution-info": "", "IHCFr-species-notes": "<p></p>", "IHCP-species-checked": "testedAndGuaranteed", "IHCP-species-dilution-info": "", "IHCP-species-notes": "<p>Perform heat mediated antigen retrieval with Tris/EDTA buffer pH 9.0 before commencing with IHC staining protocol.</p>", "WB-species-checked": "testedAndGuaranteed", "WB-species-dilution-info": "", "WB-species-notes": "<p></p>", "FlowCyt-species-checked": "notRecommended", "FlowCyt-species-dilution-info": "", "FlowCyt-species-notes": "" } } }

Product details

Patented technology
Our RabMAb® technology is a patented hybridoma-based technology for making rabbit monoclonal antibodies. For details on our patents, please refer to RabMAb® patents.

What are the advantages of a recombinant monoclonal antibody?
This product is a recombinant monoclonal antibody, which offers several advantages including:

  • - High batch-to-batch consistency and reproducibility
  • - Improved sensitivity and specificity
  • - Long-term security of supply
  • - Animal-free batch production

For more information, read more on recombinant antibodies.

Conjugation ready
Our carrier-free antibodies are typically supplied in a PBS-only formulation, purified and free of BSA, sodium azide and glycerol. This conjugation-ready format is designed for use with fluorochromes, metal isotopes, oligonucleotides, and enzymes, which makes them ideal for antibody labelling, functional and cell-based assays, flow-based assays (e.g. mass cytometry) and Multiplex Imaging applications.

Use our conjugation kits for antibody conjugates that are ready-to-use in as little as 20 minutes with 1 minute hands-on-time and 100% antibody recovery: available for fluorescent dyes, HRP, biotin and gold.

Compatibility
This product is compatible with the Maxpar® Antibody Labeling Kit from Fluidigm, without the need for antibody preparation. Maxpar® is a trademark of Fluidigm Canada Inc.

Properties and storage information

Form
Liquid
Purification technique
Affinity purification Protein A
Storage buffer
pH: 7.2 - 7.4 Constituents: PBS
Shipped at conditions
Blue Ice
Appropriate short-term storage conditions
+4°C
Appropriate long-term storage conditions
+4°C
Storage information
Do Not Freeze

Product protocols

For this product, it's our understanding that no specific protocols are required. You can visit:

Target data

Delta subunit of the heteropentameric ligand-gated chloride channel gated by gamma-aminobutyric acid (GABA), a major inhibitory neurotransmitter in the brain (By similarity). GABA-gated chloride channels, also named GABA(A) receptors (GABAAR), consist of five subunits arranged around a central pore and contain GABA active binding site(s) located at the alpha and beta subunit interface(s) (By similarity). When activated by GABA, GABAARs selectively allow the flow of chloride anions across the cell membrane down their electrochemical gradient (By similarity). GABAARs containing delta/GABRD subunits are predominantly expressed and located in extrasynaptic or perisynaptic positions on hippocampus and cerebellar granule cells, and contribute to the tonic GABAergic inhibition (By similarity). GABAAR containing alpha-4-beta-3-delta subunits can simultaneously bind GABA and histamine where histamine binds at the interface of two neighboring beta subunits, which may be involved in the regulation of sleep and wakefulness (By similarity).
See full target information GABRD

Publications (1)

Recent publications for all applications. Explore the full list and refine your search

Organogenesis 21:2519607 PubMed40569104

2025

Baicalein Alleviates Lithium-Pilocarpine-Induced Status Epilepticus by Regulating DNMT1/GABRD Pathway in Rats.

Applications

Unspecified application

Species

Unspecified reactive species

Zhenggang Wu,Jing Liu,Deju Yin,Jing Huang,Yujing Huang,Pengfei Wang
View all publications

Product promise

We are committed to supporting your work with high-quality reagents, and we're here for you every step of the way. In the unlikely event that one of our products does not perform as expected, you're protected by our Product Promise.
For full details, please see our Terms & Conditions

Please note: All products are 'FOR RESEARCH USE ONLY. NOT FOR USE IN DIAGNOSTIC OR THERAPEUTIC PROCEDURES'.

For licensing inquiries, please contact partnerships@abcam.com