JavaScript is disabled in your browser. Please enable JavaScript to view this website.
AB203063

Anti-GAD65 antibody

4

(1 Review)

|

(5 Publications)

Rabbit Polyclonal GAD65 antibody. Suitable for IHC-P and reacts with Rat samples. Cited in 5 publications. Immunogen corresponding to Synthetic Peptide within Human GAD2 aa 500 to C-terminus conjugated to Keyhole Limpet Haemocyanin.

View Alternative Names

GAD65, GAD2, Glutamate decarboxylase 2, 65 kDa glutamic acid decarboxylase, Glutamate decarboxylase 65 kDa isoform, GAD-65

2 Images
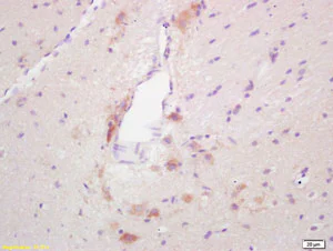
Immunohistochemistry (Formalin/PFA-fixed paraffin-embedded sections) - Anti-GAD65 antibody (AB203063)
  • IHC-P

Supplier Data

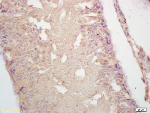
Immunohistochemistry (Formalin/PFA-fixed paraffin-embedded sections) - Anti-GAD65 antibody (AB203063)

Immunohistochemical analysis of formalin-fixed paraffin-embedded rat brain tissue labeling GAD65 with ab203063 at 1/200 dilution.

Immunohistochemistry (Formalin/PFA-fixed paraffin-embedded sections) - Anti-GAD65 antibody (AB203063)
  • IHC-P

Supplier Data

Immunohistochemistry (Formalin/PFA-fixed paraffin-embedded sections) - Anti-GAD65 antibody (AB203063)

Immunohistochemical analysis of formalin-fixed paraffin-embedded rat testis tissue labeling GAD65 with ab203063 at 1/200 dilution.

Key facts

Host species

Rabbit

Clonality

Polyclonal

Isotype

IgG

Carrier free

No

Reacts with

Rat

Applications

IHC-P

applications

Immunogen

Synthetic Peptide within Human GAD2 aa 500 to C-terminus conjugated to Keyhole Limpet Haemocyanin. The exact immunogen used to generate this antibody is proprietary information.

Q05329

Reactivity data

{ "title": "Reactivity Data", "filters": { "stats": ["", "Species", "Dilution Info", "Notes"], "tabs": { "all-applications": {"fullname" : "All Applications", "shortname": "All Applications"}, "IHCP" : {"fullname" : "Immunohistochemistry (Formalin/PFA-fixed paraffin-embedded sections)", "shortname":"IHC-P"} }, "product-promise": { "all": "all", "testedAndGuaranteed": "tested", "guaranteed": "expected", "predicted": "predicted", "notRecommended": "not-recommended" } }, "values": { "Rat": { "IHCP-species-checked": "testedAndGuaranteed", "IHCP-species-dilution-info": "1/100 - 1/500", "IHCP-species-notes": "<p>Use at 1/50 - 1/200 with fluorescent detection methods.</p> Perform heat-mediated antigen retrieval with citrate buffer pH 6 before commencing with IHC staining protocol." } } }

Properties and storage information

Form
Liquid
Purification technique
Affinity purification Protein A
Storage buffer
pH: 7.4 Preservative: 0.02% Proclin 300 Constituents: 50% Glycerol (glycerin, glycerine), 48.98% TBS, 1X, 1% BSA
Shipped at conditions
Blue Ice
Appropriate short-term storage duration
1-2 weeks
Appropriate short-term storage conditions
+4°C
Appropriate long-term storage conditions
-20°C
Aliquoting information
Upon delivery aliquot
Storage information
Avoid freeze / thaw cycle

Product protocols

For this product, it's our understanding that no specific protocols are required. You can visit:

Target data

Catalyzes the production of GABA.
See full target information GAD2

Publications (5)

Recent publications for all applications. Explore the full list and refine your search

Neurochemical research 47:1679-1691 PubMed35320460

2022

Body Weight-Supported Treadmill Training Ameliorates Motoneuronal Hyperexcitability by Increasing GAD-65/67 and KCC2 Expression via TrkB Signaling in Rats with Incomplete Spinal Cord Injury.

Applications

Unspecified application

Species

Unspecified reactive species

Xiangzhe Li,Xinjian Song,Lu Fang,Jie Ding,Longju Qi,Qinghua Wang,Chuanming Dong,Sheng Wang,Jiahuan Wu,Tong Wang,Qinfeng Wu

Molecular pain 16:1744806920924511 PubMed32418502

2020

Exercise training modulates glutamic acid decarboxylase-65/67 expression through TrkB signaling to ameliorate neuropathic pain in rats with spinal cord injury.

Applications

Unspecified application

Species

Unspecified reactive species

Xiangzhe Li,Qinghua Wang,Jie Ding,Sheng Wang,Chuanming Dong,Qinfeng Wu

Molecular brain 13:49 PubMed32216807

2020

Ascending noradrenergic excitation from the locus coeruleus to the anterior cingulate cortex.

Applications

Unspecified application

Species

Unspecified reactive species

Kohei Koga,Akihiro Yamada,Qian Song,Xu-Hui Li,Qi-Yu Chen,Ren-Hao Liu,Jun Ge,Cheng Zhan,Hidemasa Furue,Min Zhuo,Tao Chen

Neurochemistry international 118:127-133 PubMed29894700

2018

Neuronal loss in anterior cingulate cortex in spared nerve injury model of neuropathic pain.

Applications

WB

Species

Unspecified reactive species

Wei Tan,Wen-Long Yao,Bo Zhang,Rong Hu,Li Wan,Chuan-Han Zhang,Chang Zhu

Brain structure & function 222:2831-2853 PubMed28285370

2017

Metabolomics and neuroanatomical evaluation of post-mortem changes in the hippocampus.

Applications

Unspecified application

Species

Unspecified reactive species

Carolina Gonzalez-Riano,Silvia Tapia-González,Antonia García,Alberto Muñoz,Javier DeFelipe,Coral Barbas
View all publications

Product promise

We are committed to supporting your work with high-quality reagents, and we're here for you every step of the way. In the unlikely event that one of our products does not perform as expected, you're protected by our Product Promise.
For full details, please see our Terms & Conditions

Please note: All products are 'FOR RESEARCH USE ONLY. NOT FOR USE IN DIAGNOSTIC OR THERAPEUTIC PROCEDURES'.

For licensing inquiries, please contact partnerships@abcam.com