JavaScript is disabled in your browser. Please enable JavaScript to view this website.
AB239372

Anti-GAD65 antibody [EPR22952-70]

5

(2 Reviews)

|

(13 Publications)

Anti-GAD65 antibody [EPR22952-70] (ab239372) is a rabbit monoclonal antibody detecting GAD65 in Western Blot, Flow Cytometry (Intra), Flow Cytometry, IP, IHC-P, IHC-Fr, ICC/IF. Suitable for Mouse, Rat.

- Biophysical QC for unrivalled batch-batch consistency

View Alternative Names

Gad65, Gad2, Glutamate decarboxylase 2, 65 kDa glutamic acid decarboxylase, Glutamate decarboxylase 65 kDa isoform, GAD-65

8 Images
Immunohistochemistry (Frozen sections) - Anti-GAD65 antibody [EPR22952-70] (AB239372)
  • IHC-Fr

Lab

Immunohistochemistry (Frozen sections) - Anti-GAD65 antibody [EPR22952-70] (AB239372)

Immunohistochemical analysis of 4% PFA fixed 0.2% Triton X-100 permeabilized frozen Rat pancreas tissue labeling GAD65 with ab239372 at 1/100 dilution (Green) followed by ab150077 AlexaFluor®488 Goat anti-Rabbit secondary at 1/1000 (2 μg/ml) dilution. The nuclear counterstain was DAPI (Blue).

Secondary antibody only control : Used PBS instead of primary antibody, secondary antibody was ab150077 AlexaFluor®488 Goat anti-Rabbit secondary at 1/1000 (2 μg/ml) dilution.

Flow Cytometry (Intracellular) - Anti-GAD65 antibody [EPR22952-70] (AB239372)
  • Flow Cyt (Intra)

Lab

Flow Cytometry (Intracellular) - Anti-GAD65 antibody [EPR22952-70] (AB239372)

Intracellular flow cytometric analysis of 4% paraformaldehyde fixed 90% methanol permeabilized Beta-TC-6 (Mouse pancreas insulinoma beta cell) cells labelling GAD65 with ab239372 at 1/60 dilution (Red) compared with a Rabbit monoclonal IgG (ab172730) (Black) isotype control and an unlabelled control (cells without incubation with primary antibody and secondary antibody) (Blue). A Goat anti rabbit IgG (Alexa Fluor® 488, ab150077) at 1/2000 dilution was used as the secondary antibody.

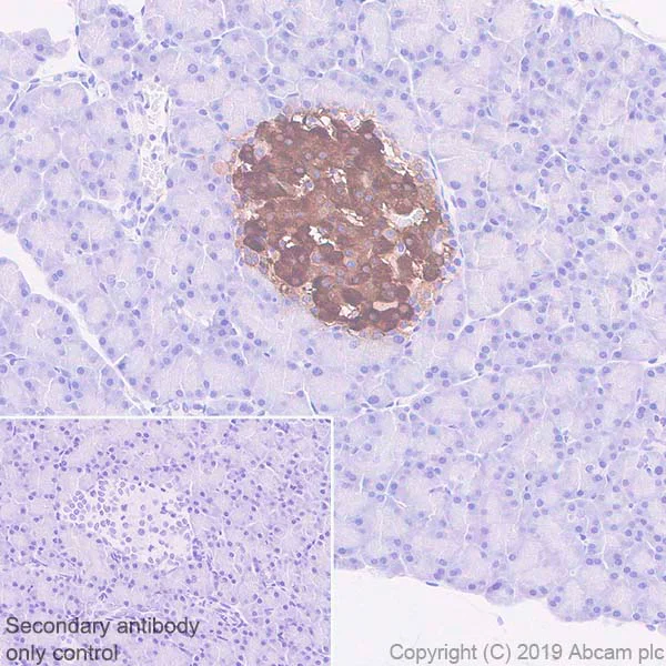
Immunohistochemistry (Formalin/PFA-fixed paraffin-embedded sections) - Anti-GAD65 antibody [EPR22952-70] (AB239372)
  • IHC-P

Lab

Immunohistochemistry (Formalin/PFA-fixed paraffin-embedded sections) - Anti-GAD65 antibody [EPR22952-70] (AB239372)

Immunohistochemical analysis of paraffin-embedded Rat pancreas tissue labeling GAD65 with ab239372 at 1/2000 (0.323 ug/ml) followed by a ready to use Rabbit specific IHC polymer detection kit HRP/DAB (ab209101). Cytoplasmic staining on islet of rat pancreas. The section was incubated with ab239372 for 15 mins at room temperature. The immunostaining was performed on a Leica Biosystems BOND® RX instrument. Counterstained with Hematoxylin. Heat mediated antigen retrieval with Tris-EDTA buffer (pH 9.0, epitope retrieval solution2) for 20 mins.

Secondary antibody only control : Used PBS instead of primary antibody, secondary antibody is a ready to use Rabbit specific IHC polymer detection kit HRP/DAB (ab209101).

Immunohistochemistry (Frozen sections) - Anti-GAD65 antibody [EPR22952-70] (AB239372)
  • IHC-Fr

Lab

Immunohistochemistry (Frozen sections) - Anti-GAD65 antibody [EPR22952-70] (AB239372)

Immunohistochemical analysis of 4% PFA fixed 0.2% Triton X-100 permeabilized frozen Mouse cerebellum tissue labeling GAD65 with ab239372 at 1/100 dilution (Green) followed by ab150077 AlexaFluor®488 Goat anti-Rabbit secondary at 1/1000 (2 μg/ml) dilution. The nuclear counterstain was DAPI (Blue). Positive staining on mouse cerebellum is observed.

Secondary antibody only control : Used PBS instead of primary antibody, secondary antibody was ab150077 AlexaFluor®488 Goat anti-Rabbit secondary at 1/1000 (2 μg/ml) dilution.

Immunohistochemistry (Formalin/PFA-fixed paraffin-embedded sections) - Anti-GAD65 antibody [EPR22952-70] (AB239372)
  • IHC-P

Lab

Immunohistochemistry (Formalin/PFA-fixed paraffin-embedded sections) - Anti-GAD65 antibody [EPR22952-70] (AB239372)

Immunohistochemical analysis of paraffin-embedded Mouse cerebrum tissue labeling GAD65 with ab239372 at 1/2000 (0.323 ug/ml) dilution followed by a ready to use Rabbit specific IHC polymer detection kit HRP/DAB (ab209101). Positive staining on mouse cerebrum is observed. The section was incubated with ab239372 for 15 mins at room temperature. The immunostaining was performed on a Leica Biosystems BOND® RX instrument. Counterstained with Hematoxylin. Heat mediated antigen retrieval with Tris-EDTA buffer (pH 9.0, epitope retrieval solution2) for 20 mins.

Secondary antibody only control : Used PBS instead of primary antibody, secondary antibody is a ready to use Rabbit specific IHC polymer detection kit HRP/DAB (ab209101).

Immunocytochemistry/ Immunofluorescence - Anti-GAD65 antibody [EPR22952-70] (AB239372)
  • ICC/IF

Supplier Data

Immunocytochemistry/ Immunofluorescence - Anti-GAD65 antibody [EPR22952-70] (AB239372)

Immunofluorescent analysis of 4% Paraformaldehyde-fixed, 0.1% TritonX-100 permeabilized mouse primary neuron cells labelling GAD65 with ab239372 at 1/100 dilution, followed by ab150077 Goat Anti-Rabbit IgG H&L (Alexa Fluor® 488) antibody at 1/1000 dilution (Green). Confocal image showing cytoplasmic staining in mouse primary neurons.is observed. ab195889 Anti-alpha Tubulin antibody (Alexa Fluor® 594) was used to counterstain tubulin at 1/1000 dilution (Red). The Nuclear counterstain was DAPI (Blue). Confocal scanning Z step was set as 0.3 μm followed by image processing with maximum Z projection.

Secondary antibody only control : Used PBS instead of primary antibody, secondary antibody is ab150077 Goat Anti-Rabbit IgG H&L (Alexa Fluor® 488) at 1/1000 dilution.

Immunoprecipitation - Anti-GAD65 antibody [EPR22952-70] (AB239372)
  • IP

Lab

Immunoprecipitation - Anti-GAD65 antibody [EPR22952-70] (AB239372)

GAD65 was immunoprecipitated from 0.35 mg Mouse brain lysate with ab239372 at 1/30 dilution. Western blot was performed on the immunoprecipitate using ab239372 at 1/1000 dilution (0.45 μg/ml). VeriBlot for IP Detection Reagent (HRP)(ab131366) was used at 1/5000 dilution.

Lane 1 : Mouse brain lysate 10 μg

Lane 2 : ab239372 IP in Mouse brain lysate

Lane 3 : Rabbit monoclonal IgG (ab172730) instead of ab239372 in Mouse brain lysate.

Blocking and dilution buffer and concentration : 5% NFDM/TBST.

Exposure time : 3 seconds

Bands above 100kDa are multimers of GAD65 (PMID : 10601283).

All lanes:

Immunoprecipitation - Anti-GAD65 antibody [EPR22952-70] (ab239372)

Predicted band size: 65 kDa

false

Western blot - Anti-GAD65 antibody [EPR22952-70] (AB239372)
  • WB

Lab

Western blot - Anti-GAD65 antibody [EPR22952-70] (AB239372)

Blocking/diluting buffer and concentration : 5% NFDM/TBST

Exposure time : 8 seconds.

Bands above 100kDa are multimers of GAD65.

The expression profile/ molecular weight observed is consistent with what has been described in the literature (PMID : 10601283, 21734072).

All lanes:

Western blot - Anti-GAD65 antibody [EPR22952-70] (ab239372) at 1/5000 dilution

Lane 1:

Mouse brain tissue lysate at 20 µg

Lane 2:

Mouse cerebellum tissue lysate at 20 µg

Lane 3:

Rat brain tissue lysate at 20 µg

Lane 4:

Rat cerebellum tissue lysate at 20 µg

Secondary

All lanes:

Western blot - Goat Anti-Rabbit IgG H&L (HRP) (<a href='/en-us/products/secondary-antibodies/goat-rabbit-igg-h-l-hrp-ab97051'>ab97051</a>) at 1/100000 dilution

Predicted band size: 65 kDa

false

Key facts

Host species

Rabbit

Clonality

Monoclonal

Clone number

EPR22952-70

Isotype

IgG

Carrier free

No

Reacts with

Mouse, Rat

Applications

IHC-Fr, Flow Cyt (Intra), ICC/IF, IP, IHC-P, WB

applications

Immunogen

The exact immunogen used to generate this antibody is proprietary information.

Reactivity data

{ "title": "Reactivity Data", "filters": { "stats": ["", "Species", "Dilution Info", "Notes"], "tabs": { "all-applications": {"fullname" : "All Applications", "shortname": "All Applications"}, "ICCIF" : {"fullname" : "Immunocytochemistry/ Immunofluorescence", "shortname":"ICC/IF"}, "IP" : {"fullname" : "Immunoprecipitation", "shortname":"IP"}, "WB" : {"fullname" : "Western blot", "shortname":"WB"}, "IHCP" : {"fullname" : "Immunohistochemistry (Formalin/PFA-fixed paraffin-embedded sections)", "shortname":"IHC-P"}, "IHCFr" : {"fullname" : "Immunohistochemistry (Frozen sections)", "shortname":"IHC-Fr"}, "FlowCytIntra" : {"fullname" : "Flow Cytometry (Intracellular)", "shortname":"Flow Cyt (Intra)"} }, "product-promise": { "all": "all", "testedAndGuaranteed": "tested", "guaranteed": "expected", "predicted": "predicted", "notRecommended": "not-recommended" } }, "values": { "Human": { "ICCIF-species-checked": "notRecommended", "ICCIF-species-dilution-info": "", "ICCIF-species-notes": "", "IP-species-checked": "notRecommended", "IP-species-dilution-info": "", "IP-species-notes": "", "WB-species-checked": "notRecommended", "WB-species-dilution-info": "1/5000", "WB-species-notes": "<p></p>", "IHCP-species-checked": "notRecommended", "IHCP-species-dilution-info": "1/2000", "IHCP-species-notes": "<p></p>", "IHCFr-species-checked": "notRecommended", "IHCFr-species-dilution-info": "", "IHCFr-species-notes": "", "FlowCytIntra-species-checked": "notRecommended", "FlowCytIntra-species-dilution-info": "", "FlowCytIntra-species-notes": "" }, "Mouse": { "ICCIF-species-checked": "testedAndGuaranteed", "ICCIF-species-dilution-info": "1/50", "ICCIF-species-notes": "<p></p>", "IP-species-checked": "testedAndGuaranteed", "IP-species-dilution-info": "1/30", "IP-species-notes": "<p></p>", "WB-species-checked": "testedAndGuaranteed", "WB-species-dilution-info": "1/5000", "WB-species-notes": "<p></p>", "IHCP-species-checked": "testedAndGuaranteed", "IHCP-species-dilution-info": "1/2000", "IHCP-species-notes": "<p></p>", "IHCFr-species-checked": "testedAndGuaranteed", "IHCFr-species-dilution-info": "1/100", "IHCFr-species-notes": "<p></p>", "FlowCytIntra-species-checked": "testedAndGuaranteed", "FlowCytIntra-species-dilution-info": "1/60", "FlowCytIntra-species-notes": "<p></p>" }, "Rat": { "ICCIF-species-checked": "guaranteed", "ICCIF-species-dilution-info": "", "ICCIF-species-notes": "", "IP-species-checked": "guaranteed", "IP-species-dilution-info": "", "IP-species-notes": "", "WB-species-checked": "testedAndGuaranteed", "WB-species-dilution-info": "1/5000", "WB-species-notes": "<p></p>", "IHCP-species-checked": "testedAndGuaranteed", "IHCP-species-dilution-info": "1/2000", "IHCP-species-notes": "<p></p>", "IHCFr-species-checked": "testedAndGuaranteed", "IHCFr-species-dilution-info": "1/100", "IHCFr-species-notes": "<p></p>", "FlowCytIntra-species-checked": "guaranteed", "FlowCytIntra-species-dilution-info": "", "FlowCytIntra-species-notes": "" } } }

Product details

What is this antibody validated in?
Anti-GAD65 antibody [EPR22952-70] (ab239372) is a rabbit recombinant monoclonal antibody and is validated for use in Western Blot (WB), Flow Cytometry (Intra), Flow Cytometry (Flow Cyt), Immunoprecipitation (IP), Immunohistochemistry (IHC-P), Immunohistochemistry (IHC-Fr), Immunocytochemistry/immunofluorescence (ICC/IF) in Mouse, Rat samples.

What is the molecular weight of GAD65?
Anti-GAD65 [EPR22952-70] (ab239372) specifically detects a band for GAD65 (UniProt: P48320) at a molecular weight of 65kDa.

Trial sizes available!
Test your antibody or perform pre-screening before committing to a larger quantity. Sold in 10µl. Discover our selection of trial-size antibodies.

Other related products
We have a range of other formats of antibody clone [EPR22952-70] also available for your convenience: ab239372, Carrier free - ab270037, Alexa Fluor® 555 - ab300548, Alexa Fluor® 647 - ab300737, Alexa Fluor® 594 - ab302656, Alexa Fluor® 488 - ab307129, Alexa Fluor® 568 - ab307856

Patented technology
Our RabMAb® technology is a patented hybridoma-based technology for making rabbit monoclonal antibodies. For details on our patents, please refer to RabMAb® patents.

What are the advantages of a recombinant monoclonal antibody?
This product is a recombinant monoclonal antibody, which offers several advantages including:

  • - High batch-to-batch consistency and reproducibility
  • - Improved sensitivity and specificity
  • - Long-term security of supply
  • - Animal-free batch production

For more information, read more on recombinant antibodies.

Properties and storage information

Form
Liquid
Purification technique
Affinity purification Protein A
Storage buffer
pH: 7.2 - 7.4 Preservative: 0.01% Sodium azide Constituents: PBS, 40% Glycerol (glycerin, glycerine), 0.05% BSA
Shipped at conditions
Blue Ice
Appropriate short-term storage duration
1-2 weeks
Appropriate short-term storage conditions
+4°C
Appropriate long-term storage conditions
-20°C
Aliquoting information
Upon delivery aliquot
Storage information
Avoid freeze / thaw cycle

Product protocols

For this product, it's our understanding that no specific protocols are required. You can visit:

Target data

Catalyzes the production of GABA.
See full target information Gad2

Publications (13)

Recent publications for all applications. Explore the full list and refine your search

Molecular brain 18:78 PubMed41068896

2025

Exploration of schizophrenia-related behavioral and molecular abnormalities in a mutant mouse model with a mutation in the TVV motif of the ErbB4 gene.

Applications

Unspecified application

Species

Unspecified reactive species

Abdul Aziz Khan,Shuai Wang,Ziying Wang,Zainab Rehman,Lei Chen,Yifang Kuang,Xu Zhang,Yuting Li,Jiarun Yang,Jun Ye,Xianda Ma,Qian Zhao,Ying Ding,Tatsuo Suzuki,Zhaohui Lan,Weidong Li

Journal of extracellular vesicles 13:e12439 PubMed38647111

2024

Neuropathogenic role of astrocyte-derived extracellular vesicles in HIV-associated neurocognitive disorders.

Applications

Unspecified application

Species

Unspecified reactive species

Divya T Chemparathy,Sudipta Ray,Chase Ochs,Natasha Ferguson,Dinesh Y Gawande,Shashank M Dravid,Shannon Callen,Susmita Sil,Shilpa Buch

The American journal of surgical pathology 48:377-386 PubMed38271200

2024

GAD2 Is a Highly Specific Marker for Neuroendocrine Neoplasms of the Pancreas.

Applications

Unspecified application

Species

Unspecified reactive species

Maximilian Lennartz,Nick Benjamin Dünnebier,Doris Höflmayer,Sebastian Dwertmann Rico,Simon Kind,Viktor Reiswich,Florian Viehweger,Florian Lutz,Christoph Fraune,Natalia Gorbokon,Andreas M Luebke,Claudia Hube-Magg,Franziska Büscheck,Anne Menz,Ria Uhlig,Till Krech,Andrea Hinsch,Eike Burandt,Guido Sauter,Ronald Simon,Martina Kluth,Stefan Steurer,Andreas H Marx,Patrick Lebok,David Dum,Sarah Minner,Frank Jacobsen,Till S Clauditz,Christian Bernreuther

International journal of molecular sciences 24: PubMed38069205

2023

Dopaminergic Projections from the Hypothalamic A11 Nucleus to the Spinal Trigeminal Nucleus Are Involved in Bidirectional Migraine Modulation.

Applications

Unspecified application

Species

Unspecified reactive species

Chenhao Li,Yang Li,Wenwen Zhang,Zhenjie Ma,Shaobo Xiao,Wei Xie,Shuai Miao,Bozhi Li,Guangshuang Lu,Yingyuan Liu,Wenhao Bai,Shengyuan Yu

iScience 26:108306 PubMed38026209

2023

Preclinical long-term safety of intraspinal transplantation of human dorsal spinal GABA neural progenitor cells.

Applications

Unspecified application

Species

Unspecified reactive species

Xiaolong Zheng,Zhixian Liu,Ziyu He,Jia Xu,YaNan Wang,ChenZi Gong,Ruoying Zhang,Su-Chun Zhang,Hong Chen,Wei Wang

Frontiers in neuroscience 17:1201294 PubMed37841690

2023

New insights of metabolite abnormalities in the thalamus of rats with iminodiproprionitrile-induced tic disorders.

Applications

Unspecified application

Species

Unspecified reactive species

Jingru Yu,Xuan Yao,Xin Zhang,Juanjuan Hao

Frontiers in immunology 14:1237498 PubMed37691918

2023

Multi-omics analysis identifies IgG2b class-switching with ALCAM-CD6 co-stimulation in joint-draining lymph nodes during advanced inflammatory-erosive arthritis.

Applications

Unspecified application

Species

Unspecified reactive species

H Mark Kenney,Javier Rangel-Moreno,Yue Peng,Kiana L Chen,Jennifer Bruno,Abdul Embong,Elizabeth Pritchett,Jeffrey I Fox,Enrique Becerril-Villanueva,Armando Gamboa-Domínguez,Sally Quataert,Gowrishankar Muthukrishnan,Ronald W Wood,Benjamin D Korman,Jennifer H Anolik,Lianping Xing,Christopher T Ritchlin,Edward M Schwarz,Chia-Lung Wu

Journal of neuroinflammation 20:162 PubMed37434240

2023

NLRP3-GABA signaling pathway contributes to the pathogenesis of impulsive-like behaviors and cognitive deficits in aged mice.

Applications

Unspecified application

Species

Unspecified reactive species

Lu-Ying Wang,Xu-Peng Wang,Jin-Meng Lv,Yu-Dong Shan,Shi-Yan Jia,Zhi-Fang Yu,Hui-Tao Miao,Yue Xin,Dong-Xue Zhang,Li-Min Zhang

Redox biology 62:102700 PubMed37084690

2023

Inhibition of spinal ferroptosis-like cell death alleviates hyperalgesia and spontaneous pain in a mouse model of bone cancer pain.

Applications

Unspecified application

Species

Unspecified reactive species

Zhuofeng Ding,Xiaoshen Liang,Jian Wang,Zongbin Song,Qulian Guo,Michael K E Schäfer,Changsheng Huang

Frontiers in neuroscience 17:1109735 PubMed36743805

2023

Low frequency repetitive transcranial magnetic stimulation promotes plasticity of the visual cortex in adult amblyopic rats.

Applications

Unspecified application

Species

Unspecified reactive species

Jing Zheng,Wenqiu Zhang,Longqian Liu,Maurice Keng Hung Yap
View all publications

Product promise

We are committed to supporting your work with high-quality reagents, and we're here for you every step of the way. In the unlikely event that one of our products does not perform as expected, you're protected by our Product Promise.
For full details, please see our Terms & Conditions

Please note: All products are 'FOR RESEARCH USE ONLY. NOT FOR USE IN DIAGNOSTIC OR THERAPEUTIC PROCEDURES'.

For licensing inquiries, please contact partnerships@abcam.com