JavaScript is disabled in your browser. Please enable JavaScript to view this website.
AB307489

Anti-GAD65 antibody [HL1187]

Be the first to review this product! Submit a review

|

(0 Publication)

Rabbit Recombinant Monoclonal GAD65 antibody. C-terminal. Carrier free. Suitable for ICC/IF, IHC-P, WB and reacts with Rat, Mouse, Dog, Cat, Human, Zebrafish, Transfected cell lysate - Human samples. Immunogen corresponding to Recombinant Fragment Protein within Human GAD2.

View Alternative Names

GAD65, GAD2, Glutamate decarboxylase 2, 65 kDa glutamic acid decarboxylase, Glutamate decarboxylase 65 kDa isoform, GAD-65

9 Images
Immunocytochemistry/ Immunofluorescence - Anti-GAD65 antibody [HL1187] (AB307489)
  • ICC/IF

Supplier Data

Immunocytochemistry/ Immunofluorescence - Anti-GAD65 antibody [HL1187] (AB307489)

Immunofluorescent analysis of 4% paraformaldehyde (PFA) - fixed (at RT for 15 min), DIV10 rat E18 primary cortical neuron cells. GAD65 stained with ab307489 rabbit monoclonal anti-GAD65 antibody [HL1187] used at 1/500 dilution (Green). Counterstain was a anti-Tau antibody used at 1/500 dilution (Red). Nuclear counterstain was DAPI (Fluoroshield) (Blue).

Immunohistochemistry (Formalin/PFA-fixed paraffin-embedded sections) - Anti-GAD65 antibody [HL1187] (AB307489)
  • IHC-P

Supplier Data

Immunohistochemistry (Formalin/PFA-fixed paraffin-embedded sections) - Anti-GAD65 antibody [HL1187] (AB307489)

Immunohistochemical analysis of paraffin embedded mouse eye detecting GAD65 with ab307489 rabbit monoclonal anti-GAD65 antibody [HL1187]. Positive staining at cell membrane and cytoplasm. ab307489 was used at 1/100 dilution (Green). A counterstain detecting beta Tubulin 3/ Tuj1 was used at 1/500 dilution (Red). Nuclear counterstain was DAPI (Fluoroshield mounting media) (Blue).

Antigen Retrieval : Citrate buffer, pH 6.0, 15 min.

Western blot - Anti-GAD65 antibody [HL1187] (AB307489)
  • WB

Supplier Data

Western blot - Anti-GAD65 antibody [HL1187] (AB307489)

Human brain tissue extract was separated by 10% SDS-PAGE.

All lanes:

Western blot - Anti-GAD65 antibody [HL1187] (ab307489) at 1/1000 dilution

All lanes:

Human brain tissue extract at 30 µg

Secondary

All lanes:

HRP-conjugated anti-rabbit IgG secondary antibody

Predicted band size: 65 kDa

false

Western blot - Anti-GAD65 antibody [HL1187] (AB307489)
  • WB

Supplier Data

Western blot - Anti-GAD65 antibody [HL1187] (AB307489)

Non-transfected (–) and transfected (+) 293T whole cell extracts (30 μg) were separated by 10% SDS-PAGE, and the membrane was blotted with GAD65 antibody [HL1187] (ab307489) diluted at 1/5000. A HRP-conjugated anti-rabbit IgG antibody was used to detect the primary antibody.

All lanes:

Western blot - Anti-GAD65 antibody [HL1187] (ab307489) at 1/5000 dilution

Lanes 1 - 2:

Non-transfected (–) 293T whole cell extracts at 30 µg

Lane 3:

Transfected (+) 293T whole cell extracts at 30 µg

Secondary

All lanes:

HRP-conjugated anti-rabbit IgG secondary antibody

Predicted band size: 65 kDa

false

Immunohistochemistry (Formalin/PFA-fixed paraffin-embedded sections) - Anti-GAD65 antibody [HL1187] (AB307489)
  • IHC-P

Supplier Data

Immunohistochemistry (Formalin/PFA-fixed paraffin-embedded sections) - Anti-GAD65 antibody [HL1187] (AB307489)

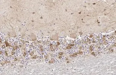
Paraffin-embedded dog cerebellum tissue stained for GAD65 protein at cell membrane and cytoplasm with ab307489 at a 1/100 dilution in immunohistochemical analysis.

Antigen Retrieval : Citrate buffer, pH 6.0, 15 min.

Immunohistochemistry (Formalin/PFA-fixed paraffin-embedded sections) - Anti-GAD65 antibody [HL1187] (AB307489)
  • IHC-P

Supplier Data

Immunohistochemistry (Formalin/PFA-fixed paraffin-embedded sections) - Anti-GAD65 antibody [HL1187] (AB307489)

Paraffin-embedded cat cerebellum tissue stained for GAD65 protein at cell membrane and cytoplasm with ab307489 at a 1/100 dilution in immunohistochemical analysis.

Antigen Retrieval : Citrate buffer, pH 6.0, 15 min.

Western blot - Anti-GAD65 antibody [HL1187] (AB307489)
  • WB

Supplier Data

Western blot - Anti-GAD65 antibody [HL1187] (AB307489)

Samples were separated by 10% SDS-PAGE.

All lanes:

Western blot - Anti-GAD65 antibody [HL1187] (ab307489) at 1/1000 dilution

All lanes:

Whole zebrafish extract at 30 µg

Secondary

All lanes:

HRP-conjugated anti-rabbit IgG antibody

Predicted band size: 65 kDa

false

Western blot - Anti-GAD65 antibody [HL1187] (AB307489)
  • WB

Supplier Data

Western blot - Anti-GAD65 antibody [HL1187] (AB307489)

Mouse and rat brain tissue extracts (50 μg) were separated by 10% SDS-PAGE, and the membrane was blotted with GAD65 antibody [HL1187] ab307489 diluted at 1/1000. A HRP-conjugated anti-rabbit IgG antibody was used to detect the primary antibody.

All lanes:

Western blot - Anti-GAD65 antibody [HL1187] (ab307489) at 1/1000 dilution

Lane 1:

Mouse brain tissue extract at 50 µg

Lane 2:

Rat brain tissue extract at 50 µg

Secondary

All lanes:

HRP-conjugated anti-rabbit IgG secondary antibody

Predicted band size: 65 kDa

false

Western blot - Anti-GAD65 antibody [HL1187] (AB307489)
  • WB

Supplier Data

Western blot - Anti-GAD65 antibody [HL1187] (AB307489)

Samples were separated by 10% SDS-PAGE.

All lanes:

Western blot - Anti-GAD65 antibody [HL1187] (ab307489) at 1/1000 dilution

Lane 1:

MDCK Whole cell extracts at 30 µg

Lane 2:

PG-4 whole cell extracts at 30 µg

Secondary

All lanes:

HRP-conjugated anti-rabbit IgG antibody

Predicted band size: 65 kDa

false

Key facts

Host species

Rabbit

Clonality

Monoclonal

Clone number

HL1187

Isotype

IgG

Carrier free

Yes

Reacts with

Human, Mouse, Rat, Dog, Cat, Zebrafish

Applications

IHC-P, WB, ICC/IF

applications

Immunogen

Recombinant Fragment Protein within Human GAD2. The exact immunogen used to generate this antibody is proprietary information.

Q05329

Reactivity data

{ "title": "Reactivity Data", "filters": { "stats": ["", "Species", "Dilution Info", "Notes"], "tabs": { "all-applications": {"fullname" : "All Applications", "shortname": "All Applications"}, "ICCIF" : {"fullname" : "Immunocytochemistry/ Immunofluorescence", "shortname":"ICC/IF"}, "IHCP" : {"fullname" : "Immunohistochemistry (Formalin/PFA-fixed paraffin-embedded sections)", "shortname":"IHC-P"}, "WB" : {"fullname" : "Western blot", "shortname":"WB"} }, "product-promise": { "all": "all", "testedAndGuaranteed": "tested", "guaranteed": "expected", "predicted": "predicted", "notRecommended": "not-recommended" } }, "values": { "Human": { "ICCIF-species-checked": "guaranteed", "ICCIF-species-dilution-info": "", "ICCIF-species-notes": "", "IHCP-species-checked": "guaranteed", "IHCP-species-dilution-info": "", "IHCP-species-notes": "", "WB-species-checked": "testedAndGuaranteed", "WB-species-dilution-info": "1/500 - 1/5000", "WB-species-notes": "<p></p>" }, "Mouse": { "ICCIF-species-checked": "guaranteed", "ICCIF-species-dilution-info": "", "ICCIF-species-notes": "", "IHCP-species-checked": "testedAndGuaranteed", "IHCP-species-dilution-info": "1/100", "IHCP-species-notes": "<p></p> Perform heat-mediated antigen retrieval with citrate buffer pH 6 before commencing with IHC staining protocol.", "WB-species-checked": "testedAndGuaranteed", "WB-species-dilution-info": "1/500 - 1/5000", "WB-species-notes": "<p></p>" }, "Rat": { "ICCIF-species-checked": "testedAndGuaranteed", "ICCIF-species-dilution-info": "1/500", "ICCIF-species-notes": "<p></p>", "IHCP-species-checked": "guaranteed", "IHCP-species-dilution-info": "", "IHCP-species-notes": "", "WB-species-checked": "testedAndGuaranteed", "WB-species-dilution-info": "1/500 - 1/5000", "WB-species-notes": "<p></p>" }, "Cat": { "ICCIF-species-checked": "guaranteed", "ICCIF-species-dilution-info": "", "ICCIF-species-notes": "", "IHCP-species-checked": "testedAndGuaranteed", "IHCP-species-dilution-info": "1/100", "IHCP-species-notes": "<p></p>", "WB-species-checked": "testedAndGuaranteed", "WB-species-dilution-info": "1/500 - 1/5000", "WB-species-notes": "<p></p>" }, "Dog": { "ICCIF-species-checked": "guaranteed", "ICCIF-species-dilution-info": "", "ICCIF-species-notes": "", "IHCP-species-checked": "testedAndGuaranteed", "IHCP-species-dilution-info": "1/100", "IHCP-species-notes": "<p></p>", "WB-species-checked": "testedAndGuaranteed", "WB-species-dilution-info": "1/500 - 1/5000", "WB-species-notes": "<p></p>" }, "Transfected cell lysate - Human": { "ICCIF-species-checked": "notRecommended", "ICCIF-species-dilution-info": "", "ICCIF-species-notes": "", "IHCP-species-checked": "notRecommended", "IHCP-species-dilution-info": "", "IHCP-species-notes": "", "WB-species-checked": "testedAndGuaranteed", "WB-species-dilution-info": "1/500 - 1/5000", "WB-species-notes": "<p></p>" }, "Zebrafish": { "ICCIF-species-checked": "guaranteed", "ICCIF-species-dilution-info": "", "ICCIF-species-notes": "", "IHCP-species-checked": "guaranteed", "IHCP-species-dilution-info": "", "IHCP-species-notes": "", "WB-species-checked": "testedAndGuaranteed", "WB-species-dilution-info": "1/500 - 1/5000", "WB-species-notes": "<p></p>" } } }

Product details

What are the advantages of a recombinant monoclonal antibody?
This product is a recombinant monoclonal antibody, which offers several advantages including:

  • - High batch-to-batch consistency and reproducibility
  • - Improved sensitivity and specificity
  • - Long-term security of supply
  • - Animal-free batch production

For more information, read more on recombinant antibodies.

Conjugation ready
Our carrier-free antibodies are typically supplied in a PBS-only formulation, purified and free of BSA, sodium azide and glycerol. This conjugation-ready format is designed for use with fluorochromes, metal isotopes, oligonucleotides, and enzymes, which makes them ideal for antibody labelling, functional and cell-based assays, flow-based assays (e.g. mass cytometry) and Multiplex Imaging applications.

Use our conjugation kits for antibody conjugates that are ready-to-use in as little as 20 minutes with 1 minute hands-on-time and 100% antibody recovery: available for fluorescent dyes, HRP, biotin and gold.

Properties and storage information

Form
Liquid
Purification technique
Affinity purification Protein A
Storage buffer
pH: 7.4 Constituents: PBS
Shipped at conditions
Blue Ice
Appropriate short-term storage duration
1-2 weeks
Appropriate short-term storage conditions
+4°C
Appropriate long-term storage conditions
+4°C
Aliquoting information
Upon delivery aliquot
Storage information
Avoid freeze / thaw cycle

Product protocols

For this product, it's our understanding that no specific protocols are required. You can visit:

Target data

Catalyzes the production of GABA.
See full target information GAD2

Product promise

We are committed to supporting your work with high-quality reagents, and we're here for you every step of the way. In the unlikely event that one of our products does not perform as expected, you're protected by our Product Promise.
For full details, please see our Terms & Conditions

Please note: All products are 'FOR RESEARCH USE ONLY. NOT FOR USE IN DIAGNOSTIC OR THERAPEUTIC PROCEDURES'.

For licensing inquiries, please contact partnerships@abcam.com