JavaScript is disabled in your browser. Please enable JavaScript to view this website.
AB183999

Anti-GAD65 + GAD67 antibody [EPR19366]

5

(4 Reviews)

|

(34 Publications)

Anti-GAD65 + GAD67 antibody [EPR19366] (ab183999) is a rabbit monoclonal antibody detecting GAD65 + GAD67 in Western Blot, IP, IHC-P, IHC-Fr, ICC/IF. Suitable for Human, Mouse, Rat.

- Biophysical QC for unrivalled batch-batch consistency
- Over 10 publications

View Alternative Names

GAD65, GAD2, Glutamate decarboxylase 2, 65 kDa glutamic acid decarboxylase, Glutamate decarboxylase 65 kDa isoform, GAD-65

12 Images
Immunohistochemistry (Formalin/PFA-fixed paraffin-embedded sections) - Anti-GAD65 + GAD67 antibody [EPR19366] (AB183999)
  • IHC-P

Supplier Data

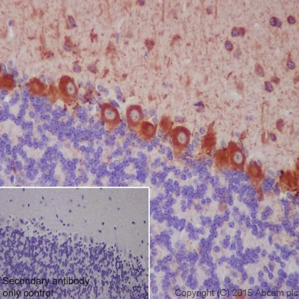
Immunohistochemistry (Formalin/PFA-fixed paraffin-embedded sections) - Anti-GAD65 + GAD67 antibody [EPR19366] (AB183999)

Immunohistochemical analysis of paraffin-embedded Mouse cerebellum tissue labeling GAD65 + GAD67 with ab183999 at 1/1000 dilution, followed by Goat Anti-Rabbit IgG H&L (HRP) (ab97051) at 1/500 dilution. Cytoplasm staining on mouse cerebellum is observed. Counter stained with Hematoxylin.

Secondary antibody only control : Used PBS instead of primary antibody, secondary antibody is ab97051 at 1/500 dilution.

Perform heat mediated antigen retrieval with Tris/EDTA buffer pH 9.0 before commencing with IHC staining protocol.

Immunoprecipitation - Anti-GAD65 + GAD67 antibody [EPR19366] (AB183999)
  • IP

Supplier Data

Immunoprecipitation - Anti-GAD65 + GAD67 antibody [EPR19366] (AB183999)

ab183999 Immunoprecipitating GAD65 + GAD67 in Human cerebellum lysate. 10μg of cell lysate was incubated with primary antibody 1/40. For western blotting ab183999 (1/1000) was used to confirm successful immunoprecipation. VeriBlot for IP Detection Reagent (HRP) (ab131366) was used at 1/5000.

Lane 1 (Input) : Human cerebellum lysate 10μg
Lane 2 (+) : Human cerebellum lysate with ab183999, 1/40
Lane 3 (-) : Rabbit monoclonal IgG (ab172730) instead of ab183999 in Human cerebellum lysate

All lanes:

Immunoprecipitation - Anti-GAD65 + GAD67 antibody [EPR19366] (ab183999)

Predicted band size: 65 kDa

false

Exposure time: 2min

Immunohistochemistry (Formalin/PFA-fixed paraffin-embedded sections) - Anti-GAD65 + GAD67 antibody [EPR19366] (AB183999)
  • IHC-P

Supplier Data

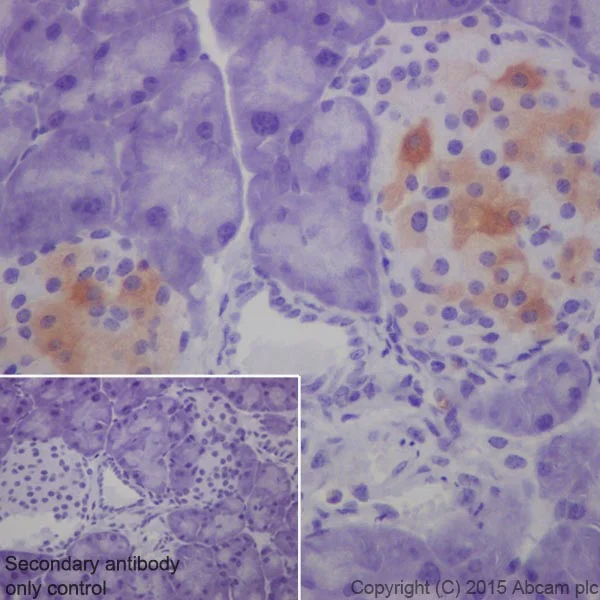
Immunohistochemistry (Formalin/PFA-fixed paraffin-embedded sections) - Anti-GAD65 + GAD67 antibody [EPR19366] (AB183999)

Immunohistochemical analysis of paraffin-embedded Rat pancreas tissue labeling GAD65 + GAD67 with ab183999 at 1/1000 dilution, followed by Goat Anti-Rabbit IgG H&L (HRP) (ab97051) at 1/500 dilution. Cytoplasm staining on rat pancreas islet is observed. Counter stained with Hematoxylin.

Secondary antibody only control : Used PBS instead of primary antibody, secondary antibody is ab97051 at 1/500 dilution.

Perform heat mediated antigen retrieval with Tris/EDTA buffer pH 9.0 before commencing with IHC staining protocol.

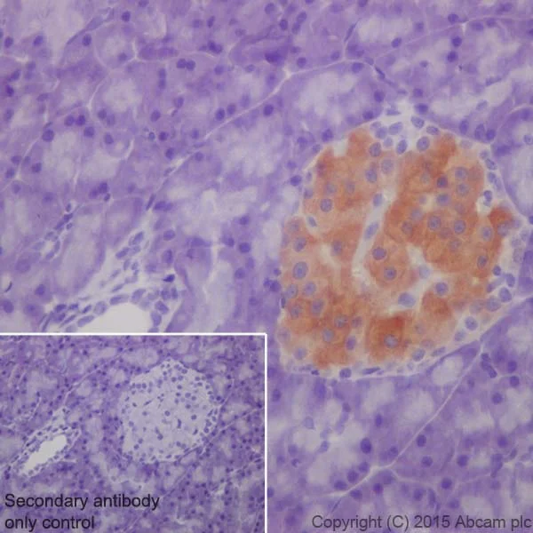
Immunohistochemistry (Formalin/PFA-fixed paraffin-embedded sections) - Anti-GAD65 + GAD67 antibody [EPR19366] (AB183999)
  • IHC-P

Supplier Data

Immunohistochemistry (Formalin/PFA-fixed paraffin-embedded sections) - Anti-GAD65 + GAD67 antibody [EPR19366] (AB183999)

Immunohistochemical analysis of paraffin-embedded Mouse pancreas tissue labeling GAD65 + GAD67 with ab183999 at 1/1000 dilution, followed by Goat Anti-Rabbit IgG H&L (HRP) (ab97051) at 1/500 dilution. Cytoplasm staining on mouse pancreas islets is observed. Counter stained with Hematoxylin.

Secondary antibody only control : Used PBS instead of primary antibody, secondary antibody is ab97051 at 1/500 dilution.

Perform heat mediated antigen retrieval with Tris/EDTA buffer pH 9.0 before commencing with IHC staining protocol.

Immunohistochemistry (Formalin/PFA-fixed paraffin-embedded sections) - Anti-GAD65 + GAD67 antibody [EPR19366] (AB183999)
  • IHC-P

Supplier Data

Immunohistochemistry (Formalin/PFA-fixed paraffin-embedded sections) - Anti-GAD65 + GAD67 antibody [EPR19366] (AB183999)

Immunohistochemical analysis of paraffin-embedded rat kidney tissue labeling GAD65 + GAD67 with ab183999 at 1/1000 dilution, followed by Goat Anti-Rabbit IgG H&L (HRP) (ab97051) at 1/500 dilution. Negative on rat kidney. Counter stained with Hematoxylin.

Secondary antibody only control : Used PBS instead of primary antibody, secondary antibody is ab97051 at 1/500 dilution.

Perform heat mediated antigen retrieval with Tris/EDTA buffer pH 9.0 before commencing with IHC staining protocol.

Immunohistochemistry (Formalin/PFA-fixed paraffin-embedded sections) - Anti-GAD65 + GAD67 antibody [EPR19366] (AB183999)
  • IHC-P

Supplier Data

Immunohistochemistry (Formalin/PFA-fixed paraffin-embedded sections) - Anti-GAD65 + GAD67 antibody [EPR19366] (AB183999)

Immunohistochemical analysis of paraffin-embedded Mouse lung tissue labeling GAD65 + GAD67 with ab183999 at 1/1000 dilution, followed by Goat Anti-Rabbit IgG H&L (HRP) (ab97051) at 1/500 dilution. Negative on mouse lung. Counter stained with Hematoxylin.

Secondary antibody only control : Used PBS instead of primary antibody, secondary antibody is ab97051 at 1/500 dilution.

Perform heat mediated antigen retrieval with Tris/EDTA buffer pH 9.0 before commencing with IHC staining protocol.

Immunohistochemistry (Formalin/PFA-fixed paraffin-embedded sections) - Anti-GAD65 + GAD67 antibody [EPR19366] (AB183999)
  • IHC-P

Supplier Data

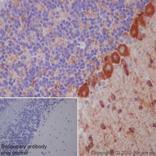
Immunohistochemistry (Formalin/PFA-fixed paraffin-embedded sections) - Anti-GAD65 + GAD67 antibody [EPR19366] (AB183999)

Immunohistochemical analysis of paraffin-embedded Rat cerebellum tissue labeling GAD65 + GAD67 with ab183999 at 1/1000 dilution, followed by Goat Anti-Rabbit IgG H&L (HRP) (ab97051) at 1/500 dilution. Cytoplasm staining on rat cerebellum is observed. Counter stained with Hematoxylin.

Secondary antibody only control : Used PBS instead of primary antibody, secondary antibody is ab97051 at 1/500 dilution.

Perform heat mediated antigen retrieval with Tris/EDTA buffer pH 9.0 before commencing with IHC staining protocol.

Immunohistochemistry (Frozen sections) - Anti-GAD65 + GAD67 antibody [EPR19366] (AB183999)
  • IHC-Fr

Supplier Data

Immunohistochemistry (Frozen sections) - Anti-GAD65 + GAD67 antibody [EPR19366] (AB183999)

Immunohistochemical analysis of 4% paraformaldehyde fixed, 0.2% Triton X-100 permealized frozen section of Mouse hippocampus tissue labeling GAD65 + GAD67 with ab183999 at 1/250 dilution, followed by Goat anti-rabbit IgG (Alexa Fluor® 488) secondary (ab150077) at 1/1000 dilution (green). The result showed mainly cytoplasmic staining on mouse hippocampus. The nuclear counterstain is DAPI (blue).

Secondary antibody only control : Used PBS instead of primary antibody, secondary antibody is ab150077 at 1/1000 dilution.

Immunocytochemistry/ Immunofluorescence - Anti-GAD65 + GAD67 antibody [EPR19366] (AB183999)
  • ICC/IF

Lab

Immunocytochemistry/ Immunofluorescence - Anti-GAD65 + GAD67 antibody [EPR19366] (AB183999)

Immunocytochemistry/ Immunofluorescence analysis of mouse primary neuron cells labeling GAD65 + GAD67 with purified ab183999 at 1/100 (10 μg/mL). Cells were fixed in 4% paraformaldehyde and permeabilized with 0.1% Triton X-100. Cells were counterstained with ab11267 Anti-MAP2 antibody [HM-2]; ab150120 Goat Anti-Mouse IgG H&L (Alexa Fluor® 594). Goat anti rabbit IgG (Alexa Fluor® 488, ab150077) was used as the secondary antibody at 1/1000 (2 μg/mL) dilution. DAPI (blue) was used as nuclear counterstain. PBS instead of the primary antibody was used as the secondary antibody only control.
Confocal scanning Z step was set as 0.3 μm followed by image processing with maximum Z projection.

Western blot - Anti-GAD65 + GAD67 antibody [EPR19366] (AB183999)
  • WB

Supplier Data

Western blot - Anti-GAD65 + GAD67 antibody [EPR19366] (AB183999)

Blocking/Dilution buffer : 5% NFDM/TBST.

Exposure time : Lane 1-5 : 3 minutes; Lane 6 and 7 : 2 seconds.

All lanes:

Western blot - Anti-GAD65 + GAD67 antibody [EPR19366] (ab183999) at 1/1000 dilution

Lane 1:

Human cerebellum lysate at 20 µg

Lane 2:

Mouse skin lysate at 20 µg

Lane 3:

Mouse lung lysate at 20 µg

Lane 4:

Neuro-2a (Mouse neuroblastoma cell line) whole cell lysate at 20 µg

Lane 5:

C6 (Rat glial tumor cell line) whole cell lysate at 20 µg

Lane 6:

Mouse cerebellum lysate at 20 µg

Lane 7:

Rat cerebellum lysate at 20 µg

Secondary

All lanes:

Western blot - Goat Anti-Rabbit IgG H&L (HRP) (<a href='/en-us/products/secondary-antibodies/goat-rabbit-igg-h-l-hrp-ab97051'>ab97051</a>) at 1/100000 dilution

Predicted band size: 65 kDa

Observed band size: 65 kDa,67 kDa

false

Western blot - Anti-GAD65 + GAD67 antibody [EPR19366] (AB183999)
  • WB

Supplier Data

Western blot - Anti-GAD65 + GAD67 antibody [EPR19366] (AB183999)

Blocking/Dilution buffer : 5% NFDM/TBST.

Lane 1:

Western blot - Anti-GAD65 + GAD67 antibody [EPR19366] (ab183999) at 1/5000 dilution

Lane 2:

Western blot - Anti-GAD65 + GAD67 antibody [EPR19366] (ab183999) at 1/1000 dilution

Lane 1:

Mouse brain lysate at 10 µg

Lane 2:

Rat brain lysate at 10 µg

Secondary

All lanes:

Western blot - Goat Anti-Rabbit IgG H&L (HRP) (<a href='/en-us/products/secondary-antibodies/goat-rabbit-igg-h-l-hrp-ab97051'>ab97051</a>) at 1/100000 dilution

Predicted band size: 65 kDa

Observed band size: 65 kDa,67 kDa

false

Exposure time: 2s

Western blot - Anti-GAD65 + GAD67 antibody [EPR19366] (AB183999)
  • WB

Supplier Data

Western blot - Anti-GAD65 + GAD67 antibody [EPR19366] (AB183999)

Blocking/Dilution buffer : 5% NFDM/TBST.

Exposure time : Lane 1 : 1 second; Lane 2 : 15 seconds.

Mouse GAD67 fragment recombinant protein contain aa468-592 with a His-Tag®. Mouse GAD65 fragment recombinant protein contain aa460-584 with a His-Tag®. These two fragment recombinant proteins were made in-house. The ~30 kDa band represents doublets of the recombinant fragments.

All lanes:

Western blot - Anti-GAD65 + GAD67 antibody [EPR19366] (ab183999) at 1/1000 dilution

Lane 1:

Mouse GAD67 fragment recombinant protein at 0.01 µg

Lane 2:

Mouse GAD65 fragment recombinant protein at 0.01 µg

Secondary

All lanes:

Western blot - Goat Anti-Rabbit IgG H&L (HRP) (<a href='/en-us/products/secondary-antibodies/goat-rabbit-igg-h-l-hrp-ab97051'>ab97051</a>) at 1/100000 dilution

Predicted band size: 65 kDa

false

  • 665 Alexa Fluor® 647

    Alexa Fluor® 647 Anti-GAD65 + GAD67 antibody [EPR19366]

  • Carrier free

    Anti-GAD65 + GAD67 antibody [EPR19366] - BSA and Azide free

  • Biotin

    Biotin Anti-GAD65 + GAD67 antibody [EPR19366]

  • 519 Alexa Fluor® 488

    Alexa Fluor® 488 Anti-GAD65 + GAD67 antibody [EPR19366]

Key facts

Host species

Rabbit

Clonality

Monoclonal

Clone number

EPR19366

Isotype

IgG

Carrier free

No

Reacts with

Mouse, Rat, Human

Applications

IHC-Fr, WB, IHC-P, ICC/IF, IP

applications

Immunogen

The exact immunogen used to generate this antibody is proprietary information.

Reactivity data

{ "title": "Reactivity Data", "filters": { "stats": ["", "Species", "Dilution Info", "Notes"], "tabs": { "all-applications": {"fullname" : "All Applications", "shortname": "All Applications"}, "IP" : {"fullname" : "Immunoprecipitation", "shortname":"IP"}, "WB" : {"fullname" : "Western blot", "shortname":"WB"}, "ICCIF" : {"fullname" : "Immunocytochemistry/ Immunofluorescence", "shortname":"ICC/IF"}, "IHCFr" : {"fullname" : "Immunohistochemistry (Frozen sections)", "shortname":"IHC-Fr"}, "IHCP" : {"fullname" : "Immunohistochemistry (Formalin/PFA-fixed paraffin-embedded sections)", "shortname":"IHC-P"} }, "product-promise": { "all": "all", "testedAndGuaranteed": "tested", "guaranteed": "expected", "predicted": "predicted", "notRecommended": "not-recommended" } }, "values": { "Human": { "IP-species-checked": "testedAndGuaranteed", "IP-species-dilution-info": "1/40", "IP-species-notes": "<p></p>", "WB-species-checked": "testedAndGuaranteed", "WB-species-dilution-info": "1/1000", "WB-species-notes": "<p></p>", "ICCIF-species-checked": "guaranteed", "ICCIF-species-dilution-info": "", "ICCIF-species-notes": "", "IHCFr-species-checked": "guaranteed", "IHCFr-species-dilution-info": "", "IHCFr-species-notes": "", "IHCP-species-checked": "guaranteed", "IHCP-species-dilution-info": "", "IHCP-species-notes": "" }, "Mouse": { "IP-species-checked": "guaranteed", "IP-species-dilution-info": "", "IP-species-notes": "", "WB-species-checked": "testedAndGuaranteed", "WB-species-dilution-info": "1/1000", "WB-species-notes": "<p></p>", "ICCIF-species-checked": "testedAndGuaranteed", "ICCIF-species-dilution-info": "1/100", "ICCIF-species-notes": "<p></p>", "IHCFr-species-checked": "testedAndGuaranteed", "IHCFr-species-dilution-info": "1/2500", "IHCFr-species-notes": "<p></p>", "IHCP-species-checked": "testedAndGuaranteed", "IHCP-species-dilution-info": "1/1000", "IHCP-species-notes": "<p></p> Perform heat-mediated antigen retrieval with Tris/EDTA buffer pH 9.0 before commencing with IHC staining protocol." }, "Rat": { "IP-species-checked": "guaranteed", "IP-species-dilution-info": "", "IP-species-notes": "", "WB-species-checked": "testedAndGuaranteed", "WB-species-dilution-info": "1/1000", "WB-species-notes": "<p></p>", "ICCIF-species-checked": "guaranteed", "ICCIF-species-dilution-info": "", "ICCIF-species-notes": "", "IHCFr-species-checked": "guaranteed", "IHCFr-species-dilution-info": "", "IHCFr-species-notes": "", "IHCP-species-checked": "testedAndGuaranteed", "IHCP-species-dilution-info": "1/1000", "IHCP-species-notes": "<p></p> Perform heat-mediated antigen retrieval with Tris/EDTA buffer pH 9.0 before commencing with IHC staining protocol." }, "Common marmoset": { "IP-species-checked": "predicted", "IP-species-dilution-info": "", "IP-species-notes": "", "WB-species-checked": "predicted", "WB-species-dilution-info": "", "WB-species-notes": "", "ICCIF-species-checked": "predicted", "ICCIF-species-dilution-info": "", "ICCIF-species-notes": "", "IHCFr-species-checked": "predicted", "IHCFr-species-dilution-info": "", "IHCFr-species-notes": "", "IHCP-species-checked": "predicted", "IHCP-species-dilution-info": "", "IHCP-species-notes": "" } } }

Product details

Anti-GAD65 + GAD67 antibody [EPR19366] (ab183999) was developed by Abcam using patented rabbit monoclonal antibody technology and is validated for use in ICC/IF, IHC-Fr, IHC-P, IP, WB in human, mouse, rat samples.

Anti-GAD65 + GAD67 antibody [EPR19366] (ab183999) has been cited over 17 times in peer reviewed journals and is trusted by the scientific community.

Abcams high quality manufacturing and validation processes ensure Anti-GAD65 + GAD67 antibody [EPR19366] (ab183999) has high sensitivity and specificity alongside high lot-to-lot consistency and reproducibility.

Anti-GAD65 + GAD67 antibody [EPR19366] (ab183999) has 4 independent reviews from customers.

Anti-GAD65 + GAD67 antibody [EPR19366] (ab183999) specifically detects GAD65 + GAD67 (UniProt ID: P48318; Molecular weight: 67kDa) and is sold in 100 uL and 1 mL selling sizes.

Conjugation-ready, carrier free format available for antibody clone EPR19366 - ab2428.

Antibody clone EPR19366 is also available pre-conjugated to a variety of labels for your convenience - Alexa Fluor® 647, Biotin, Alexa Fluor® 488 (ab313591, ab314398, ab314811).

Patented technology
Our RabMAb® technology is a patented hybridoma-based technology for making rabbit monoclonal antibodies. For details on our patents, please refer to RabMAb® patents.

What are the advantages of a recombinant monoclonal antibody?
This product is a recombinant monoclonal antibody, which offers several advantages including:

  • - High batch-to-batch consistency and reproducibility
  • - Improved sensitivity and specificity
  • - Long-term security of supply
  • - Animal-free batch production

For more information, read more on recombinant antibodies.

Properties and storage information

Form
Liquid
Purification technique
Affinity purification Protein A
Storage buffer
pH: 7.2 Preservative: 0.01% Sodium azide Constituents: PBS, 40% Glycerol (glycerin, glycerine), 0.05% BSA
Shipped at conditions
Blue Ice
Appropriate short-term storage duration
1-2 weeks
Appropriate short-term storage conditions
+4°C
Appropriate long-term storage conditions
-20°C
Aliquoting information
Upon delivery aliquot
Storage information
Avoid freeze / thaw cycle

Product protocols

For this product, it's our understanding that no specific protocols are required. You can visit:

Target data

Catalyzes the production of GABA.
See full target information GAD2

Additional targets

GAD1

Publications (34)

Recent publications for all applications. Explore the full list and refine your search

eNeuro 12: PubMed40935670

2025

Cell Type-Specific Contributions of UBE3A to Angelman Syndrome Behavioral Phenotypes.

Applications

Unspecified application

Species

Unspecified reactive species

Nicholas W Ringelberg,Renée E Mayfield,Julia S Lord,Graham H Diering,Alain C Burette,Benjamin D Philpot

Nature communications 16:4318 PubMed40346081

2025

Ectoparasites enhance survival by suppressing host exploration and limiting dispersal.

Applications

Unspecified application

Species

Unspecified reactive species

Pengbo Liu,Dongsheng Ren,Guichang Li,Xiaoming Xu,Luca Presotto,Wei Liu,Ning Zhao,Dongmei Li,Min Chen,Jun Wang,Xiaobo Liu,Chunchun Zhao,Liang Lu,Qiyong Liu

Cellular and molecular neurobiology 45:18 PubMed39883258

2025

Differential Neuronal Activation of Nociceptive Pathways in Neuropathic Pain After Spinal Cord Injury.

Applications

Unspecified application

Species

Unspecified reactive species

Ziyu He,Jun Zhang,Jia Xu,Yu Wang,Xiaolong Zheng,Wei Wang

Alzheimer's research & therapy 17:20 PubMed39806490

2025

CEST imaging combined with H-MRS reveal the neuroprotective effects of riluzole by improving neurotransmitter imbalances in Alzheimer's disease mice.

Applications

Unspecified application

Species

Unspecified reactive species

Yuanyu Shen,Xiaolei Zhang,Siqi Liu,Lijing Xin,Wentao Xuan,Caiyu Zhuang,Yue Chen,Beibei Chen,Xinhui Zheng,Renhua Wu,Yan Lin

Molecular therapy : the journal of the American Society of Gene Therapy 33:786-804 PubMed39741412

2025

Modulation of pain sensitivity by Ascl1- and Lhx6-dependent GABAergic neuronal function in streptozotocin diabetic mice.

Applications

Unspecified application

Species

Unspecified reactive species

Sung-Min Hwang,Md Mahbubur Rahman,Eun Jin Go,Jueun Roh,Rayoung Park,Sung-Gwon Lee,Minyeop Nahm,Temugin Berta,Yong Ho Kim,Chul-Kyu Park

The European journal of neuroscience 60:7228-7248 PubMed39622242

2024

Evolving alterations of structural organization and functional connectivity in feedforward neural networks after induced P301L tau mutation.

Applications

Unspecified application

Species

Unspecified reactive species

Janelle S Weir,Katrine Sjaastad Hanssen,Nicolai Winter-Hjelm,Axel Sandvig,Ioanna Sandvig

Journal of inflammation research 17:9347-9358 PubMed39588143

2024

High Translocation of High Mobility Group Box 1 in the Brain Tissue of Patients with Sturge-Weber Syndrome.

Applications

Unspecified application

Species

Unspecified reactive species

Zizhang Cheng,Xiaoli Li,Shu Wang,Weijin Sun,Junhong Pan,Xiongfei Wang,Jian Zhou,Tianfu Li,Guoming Luan,Yuguang Guan

Neurotherapeutics : the journal of the American Society for Experimental NeuroTherapeutics 22:e00477 PubMed39516073

2024

IGF-1 impacts neocortical interneuron connectivity in epileptic spasm generation and resolution.

Applications

Unspecified application

Species

Unspecified reactive species

Carlos J Ballester-Rosado,John T Le,Trang T Lam,Anne E Anderson,James D Frost,John W Swann

Molecular psychiatry 29:3128-3140 PubMed38684795

2024

Integrative metabolomics-genomics analysis identifies key networks in a stem cell-based model of schizophrenia.

Applications

Unspecified application

Species

Unspecified reactive species

Angeliki Spathopoulou,Gabriella A Sauerwein,Valentin Marteau,Martina Podlesnic,Theresa Lindlbauer,Tobias Kipura,Madlen Hotze,Elisa Gabassi,Katharina Kruszewski,Marja Koskuvi,János M Réthelyi,Ágota Apáti,Luciano Conti,Manching Ku,Therese Koal,Udo Müller,Radu A Talmazan,Ilkka Ojansuu,Olli Vaurio,Markku Lähteenvuo,Šárka Lehtonen,Jerome Mertens,Marcel Kwiatkowski,Katharina Günther,Jari Tiihonen,Jari Koistinaho,Zlatko Trajanoski,Frank Edenhofer

The Journal of neuroscience : the official journal of the Society for Neuroscience 44: PubMed38326037

2024

Parvalbumin and Somatostatin: Biomarkers for Two Parallel Tectothalamic Pathways in the Auditory Midbrain.

Applications

Unspecified application

Species

Unspecified reactive species

Mengting Liu,Yixiao Gao,Fengyuan Xin,Ying Hu,Tao Wang,Fenghua Xie,Chengjun Shao,Tianyu Li,Ningyu Wang,Kexin Yuan
View all publications

Product promise

We are committed to supporting your work with high-quality reagents, and we're here for you every step of the way. In the unlikely event that one of our products does not perform as expected, you're protected by our Product Promise.
For full details, please see our Terms & Conditions

Please note: All products are 'FOR RESEARCH USE ONLY. NOT FOR USE IN DIAGNOSTIC OR THERAPEUTIC PROCEDURES'.

For licensing inquiries, please contact partnerships@abcam.com