JavaScript is disabled in your browser. Please enable JavaScript to view this website.
AB240280

Anti-GAD65 + GAD67 antibody [EPR19366] - BSA and Azide free

Be the first to review this product! Submit a review

|

(1 Publication)

Rabbit Recombinant Monoclonal GAD65 antibody. Carrier free. Suitable for IP, ICC/IF, IHC-Fr, IHC-P, WB and reacts with Human, Mouse, Rat, Recombinant fragment - Mouse samples. Cited in 1 publication.

View Alternative Names

GAD65, GAD2, Glutamate decarboxylase 2, 65 kDa glutamic acid decarboxylase, Glutamate decarboxylase 65 kDa isoform, GAD-65

9 Images
Immunoprecipitation - Anti-GAD65 + GAD67 antibody [EPR19366] - BSA and Azide free (AB240280)
  • IP

Supplier Data

Immunoprecipitation - Anti-GAD65 + GAD67 antibody [EPR19366] - BSA and Azide free (AB240280)

ab183999 Immunoprecipitating GAD65 + GAD67 in Human cerebellum lysate. 10μg of cell lysate was incubated with primary antibody 1/40. For western blotting ab183999 (1/1000) was used to confirm successful immunoprecipation. VeriBlot for IP Detection Reagent (HRP) (ab131366) was used for detection at 1/5000 dilution.

Lane 1 (Input) : Human cerebellum lysate 10μg
Lane 2 (+) : Human cerebellum lysate with ab183999, 1/40
Lane 3 (-) : Rabbit monoclonal IgG (ab172730) instead of ab183999 in Human cerebellum lysate

This data was developed using the same antibody clone in a different buffer formulation containing PBS, BSA, glycerol, and sodium azide (ab183999).

All lanes:

Immunoprecipitation - Anti-GAD65 + GAD67 antibody [EPR19366] (<a href='/en-us/products/primary-antibodies/gad65-gad67-antibody-epr19366-ab183999'>ab183999</a>)

Predicted band size: 65 kDa

false

Exposure time: 2min

Immunohistochemistry (Formalin/PFA-fixed paraffin-embedded sections) - Anti-GAD65 + GAD67 antibody [EPR19366] - BSA and Azide free (AB240280)
  • IHC-P

Supplier Data

Immunohistochemistry (Formalin/PFA-fixed paraffin-embedded sections) - Anti-GAD65 + GAD67 antibody [EPR19366] - BSA and Azide free (AB240280)

Immunohistochemical analysis of paraffin-embedded Rat cerebellum tissue labeling GAD65 + GAD67 with ab183999 at 1/1000 dilution, followed by Goat Anti-Rabbit IgG H&L (HRP) (ab97051) at 1/500 dilution. Cytoplasm staining on rat cerebellum is observed. Counter stained with Hematoxylin.

Secondary antibody only control : Used PBS instead of primary antibody, secondary antibody is ab97051 at 1/500 dilution.

This data was developed using the same antibody clone in a different buffer formulation containing PBS, BSA, glycerol, and sodium azide (ab183999).

Perform heat mediated antigen retrieval with Tris/EDTA buffer pH 9.0 before commencing with IHC staining protocol.

Immunohistochemistry (Frozen sections) - Anti-GAD65 + GAD67 antibody [EPR19366] - BSA and Azide free (AB240280)
  • IHC-Fr

Supplier Data

Immunohistochemistry (Frozen sections) - Anti-GAD65 + GAD67 antibody [EPR19366] - BSA and Azide free (AB240280)

Immunohistochemical analysis of 4% paraformaldehyde fixed, 0.2% Triton X-100 permealized frozen section of Mouse hippocampus tissue labeling GAD65 + GAD67 with ab183999 at 1/250 dilution, followed by Goat anti-rabbit IgG (Alexa Fluor® 488) secondary (ab150077) at 1/1000 dilution (green). The result showed mainly cytoplasmic staining on mouse hippocampus. The nuclear counterstain is DAPI (blue).

Secondary antibody only control : Used PBS instead of primary antibody, secondary antibody is ab150077 at 1/1000 dilution.

This data was developed using the same antibody clone in a different buffer formulation containing PBS, BSA, glycerol, and sodium azide (ab183999).

Immunohistochemistry (Formalin/PFA-fixed paraffin-embedded sections) - Anti-GAD65 + GAD67 antibody [EPR19366] - BSA and Azide free (AB240280)
  • IHC-P

Supplier Data

Immunohistochemistry (Formalin/PFA-fixed paraffin-embedded sections) - Anti-GAD65 + GAD67 antibody [EPR19366] - BSA and Azide free (AB240280)

Immunohistochemical analysis of paraffin-embedded Mouse cerebellum tissue labeling GAD65 + GAD67 with ab183999 at 1/1000 dilution, followed by Goat Anti-Rabbit IgG H&L (HRP) (ab97051) at 1/500 dilution. Cytoplasm staining on mouse cerebellum is observed. Counter stained with Hematoxylin.

Secondary antibody only control : Used PBS instead of primary antibody, secondary antibody is ab97051 at 1/500 dilution.

This data was developed using the same antibody clone in a different buffer formulation containing PBS, BSA, glycerol, and sodium azide (ab183999).

Perform heat mediated antigen retrieval with Tris/EDTA buffer pH 9.0 before commencing with IHC staining protocol.

Immunocytochemistry/ Immunofluorescence - Anti-GAD65 + GAD67 antibody [EPR19366] - BSA and Azide free (AB240280)
  • ICC/IF

Lab

Immunocytochemistry/ Immunofluorescence - Anti-GAD65 + GAD67 antibody [EPR19366] - BSA and Azide free (AB240280)

Immunocytochemistry/ Immunofluorescence analysis of mouse primary neuron cells labeling GAD65 + GAD67 with purified ab183999 at 1/100 (10 μg/mL). Cells were fixed in 4% paraformaldehyde and permeabilized with 0.1% Triton X-100. Cells were counterstained with ab11267 Anti-MAP2 antibody [HM-2]; ab150120 Goat Anti-Mouse IgG H&L (Alexa Fluor® 594). Goat anti rabbit IgG (Alexa Fluor® 488, ab150077) was used as the secondary antibody at 1/1000 (2 μg/mL) dilution. DAPI (blue) was used as nuclear counterstain. PBS instead of the primary antibody was used as the secondary antibody only control.
Confocal scanning Z step was set as 0.3 μm followed by image processing with maximum Z projection.
This data was developed using the same antibody clone in a different buffer formulation containing PBS, BSA, glycerol, and sodium azide (ab183999).

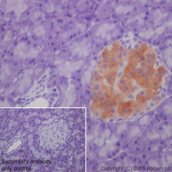
Immunohistochemistry (Formalin/PFA-fixed paraffin-embedded sections) - Anti-GAD65 + GAD67 antibody [EPR19366] - BSA and Azide free (AB240280)
  • IHC-P

Supplier Data

Immunohistochemistry (Formalin/PFA-fixed paraffin-embedded sections) - Anti-GAD65 + GAD67 antibody [EPR19366] - BSA and Azide free (AB240280)

Immunohistochemical analysis of paraffin-embedded Mouse pancreas tissue labeling GAD65 + GAD67 with ab183999 at 1/1000 dilution, followed by Goat Anti-Rabbit IgG H&L (HRP) (ab97051) at 1/500 dilution. Cytoplasm staining on mouse pancreas islets is observed. Counter stained with Hematoxylin.

Secondary antibody only control : Used PBS instead of primary antibody, secondary antibody is ab97051 at 1/500 dilution.

This data was developed using the same antibody clone in a different buffer formulation containing PBS, BSA, glycerol, and sodium azide (ab183999).

Perform heat mediated antigen retrieval with Tris/EDTA buffer pH 9.0 before commencing with IHC staining protocol.

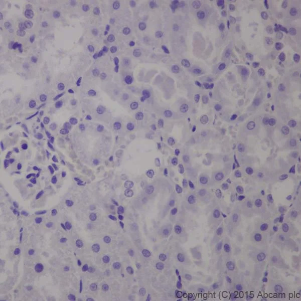
Immunohistochemistry (Formalin/PFA-fixed paraffin-embedded sections) - Anti-GAD65 + GAD67 antibody [EPR19366] - BSA and Azide free (AB240280)
  • IHC-P

Supplier Data

Immunohistochemistry (Formalin/PFA-fixed paraffin-embedded sections) - Anti-GAD65 + GAD67 antibody [EPR19366] - BSA and Azide free (AB240280)

Immunohistochemical analysis of paraffin-embedded rat kidney tissue labeling GAD65 + GAD67 with ab183999 at 1/1000 dilution, followed by Goat Anti-Rabbit IgG H&L (HRP) (ab97051) at 1/500 dilution. Negative on rat kidney. Counter stained with Hematoxylin.

Secondary antibody only control : Used PBS instead of primary antibody, secondary antibody is ab97051 at 1/500 dilution.

This data was developed using the same antibody clone in a different buffer formulation containing PBS, BSA, glycerol, and sodium azide (ab183999).

Perform heat mediated antigen retrieval with Tris/EDTA buffer pH 9.0 before commencing with IHC staining protocol.

Immunohistochemistry (Formalin/PFA-fixed paraffin-embedded sections) - Anti-GAD65 + GAD67 antibody [EPR19366] - BSA and Azide free (AB240280)
  • IHC-P

Supplier Data

Immunohistochemistry (Formalin/PFA-fixed paraffin-embedded sections) - Anti-GAD65 + GAD67 antibody [EPR19366] - BSA and Azide free (AB240280)

Immunohistochemical analysis of paraffin-embedded Mouse lung tissue labeling GAD65 + GAD67 with ab183999 at 1/1000 dilution, followed by Goat Anti-Rabbit IgG H&L (HRP) (ab97051) at 1/500 dilution. Negative on mouse lung. Counter stained with Hematoxylin.

Secondary antibody only control : Used PBS instead of primary antibody, secondary antibody is ab97051 at 1/500 dilution.

This data was developed using the same antibody clone in a different buffer formulation containing PBS, BSA, glycerol, and sodium azide (ab183999).

Perform heat mediated antigen retrieval with Tris/EDTA buffer pH 9.0 before commencing with IHC staining protocol.

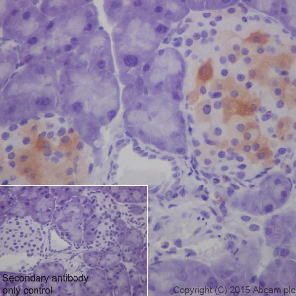
Immunohistochemistry (Formalin/PFA-fixed paraffin-embedded sections) - Anti-GAD65 + GAD67 antibody [EPR19366] - BSA and Azide free (AB240280)
  • IHC-P

Supplier Data

Immunohistochemistry (Formalin/PFA-fixed paraffin-embedded sections) - Anti-GAD65 + GAD67 antibody [EPR19366] - BSA and Azide free (AB240280)

Immunohistochemical analysis of paraffin-embedded Rat pancreas tissue labeling GAD65 + GAD67 with ab183999 at 1/1000 dilution, followed by Goat Anti-Rabbit IgG H&L (HRP) (ab97051) at 1/500 dilution. Cytoplasm staining on rat pancreas islet is observed. Counter stained with Hematoxylin.

Secondary antibody only control : Used PBS instead of primary antibody, secondary antibody is ab97051 at 1/500 dilution.

This data was developed using the same antibody clone in a different buffer formulation containing PBS, BSA, glycerol, and sodium azide (ab183999).

Perform heat mediated antigen retrieval with Tris/EDTA buffer pH 9.0 before commencing with IHC staining protocol.

  • Unconjugated

    Anti-GAD65 + GAD67 antibody [EPR19366]

  • 519 Alexa Fluor® 488

    Alexa Fluor® 488 Anti-GAD65 + GAD67 antibody [EPR19366]

  • 665 Alexa Fluor® 647

    Alexa Fluor® 647 Anti-GAD65 + GAD67 antibody [EPR19366]

  • Biotin

    Biotin Anti-GAD65 + GAD67 antibody [EPR19366]

Key facts

Host species

Rabbit

Clonality

Monoclonal

Clone number

EPR19366

Isotype

IgG

Carrier free

Yes

Reacts with

Mouse, Rat, Human

Applications

IHC-P, IP, ICC/IF, WB, IHC-Fr

applications

Immunogen

The exact immunogen used to generate this antibody is proprietary information.

Reactivity data

{ "title": "Reactivity Data", "filters": { "stats": ["", "Species", "Dilution Info", "Notes"], "tabs": { "all-applications": {"fullname" : "All Applications", "shortname": "All Applications"}, "IP" : {"fullname" : "Immunoprecipitation", "shortname":"IP"}, "ICCIF" : {"fullname" : "Immunocytochemistry/ Immunofluorescence", "shortname":"ICC/IF"}, "IHCFr" : {"fullname" : "Immunohistochemistry (Frozen sections)", "shortname":"IHC-Fr"}, "IHCP" : {"fullname" : "Immunohistochemistry (Formalin/PFA-fixed paraffin-embedded sections)", "shortname":"IHC-P"}, "WB" : {"fullname" : "Western blot", "shortname":"WB"} }, "product-promise": { "all": "all", "testedAndGuaranteed": "tested", "guaranteed": "expected", "predicted": "predicted", "notRecommended": "not-recommended" } }, "values": { "Human": { "IP-species-checked": "testedAndGuaranteed", "IP-species-dilution-info": "", "IP-species-notes": "<p></p>", "ICCIF-species-checked": "guaranteed", "ICCIF-species-dilution-info": "", "ICCIF-species-notes": "", "IHCFr-species-checked": "guaranteed", "IHCFr-species-dilution-info": "", "IHCFr-species-notes": "", "IHCP-species-checked": "guaranteed", "IHCP-species-dilution-info": "", "IHCP-species-notes": "", "WB-species-checked": "testedAndGuaranteed", "WB-species-dilution-info": "", "WB-species-notes": "<p></p>" }, "Mouse": { "IP-species-checked": "guaranteed", "IP-species-dilution-info": "", "IP-species-notes": "", "ICCIF-species-checked": "testedAndGuaranteed", "ICCIF-species-dilution-info": "", "ICCIF-species-notes": "<p></p>", "IHCFr-species-checked": "testedAndGuaranteed", "IHCFr-species-dilution-info": "", "IHCFr-species-notes": "<p></p>", "IHCP-species-checked": "testedAndGuaranteed", "IHCP-species-dilution-info": "", "IHCP-species-notes": "<p></p>", "WB-species-checked": "testedAndGuaranteed", "WB-species-dilution-info": "", "WB-species-notes": "<p></p>" }, "Rat": { "IP-species-checked": "guaranteed", "IP-species-dilution-info": "", "IP-species-notes": "", "ICCIF-species-checked": "guaranteed", "ICCIF-species-dilution-info": "", "ICCIF-species-notes": "", "IHCFr-species-checked": "guaranteed", "IHCFr-species-dilution-info": "", "IHCFr-species-notes": "", "IHCP-species-checked": "testedAndGuaranteed", "IHCP-species-dilution-info": "", "IHCP-species-notes": "<p></p>", "WB-species-checked": "testedAndGuaranteed", "WB-species-dilution-info": "", "WB-species-notes": "<p></p>" }, "Recombinant fragment - Mouse": { "IP-species-checked": "notRecommended", "IP-species-dilution-info": "", "IP-species-notes": "", "ICCIF-species-checked": "notRecommended", "ICCIF-species-dilution-info": "", "ICCIF-species-notes": "", "IHCFr-species-checked": "notRecommended", "IHCFr-species-dilution-info": "", "IHCFr-species-notes": "", "IHCP-species-checked": "notRecommended", "IHCP-species-dilution-info": "", "IHCP-species-notes": "", "WB-species-checked": "testedAndGuaranteed", "WB-species-dilution-info": "", "WB-species-notes": "<p></p>" } } }

Product details

ab240280 is the carrier-free version of ab183999.

Patented technology
Our RabMAb® technology is a patented hybridoma-based technology for making rabbit monoclonal antibodies. For details on our patents, please refer to RabMAb® patents.

What are the advantages of a recombinant monoclonal antibody?
This product is a recombinant monoclonal antibody, which offers several advantages including:

  • - High batch-to-batch consistency and reproducibility
  • - Improved sensitivity and specificity
  • - Long-term security of supply
  • - Animal-free batch production

For more information, read more on recombinant antibodies.

Conjugation ready
Our carrier-free antibodies are typically supplied in a PBS-only formulation, purified and free of BSA, sodium azide and glycerol. This conjugation-ready format is designed for use with fluorochromes, metal isotopes, oligonucleotides, and enzymes, which makes them ideal for antibody labelling, functional and cell-based assays, flow-based assays (e.g. mass cytometry) and Multiplex Imaging applications.

Use our conjugation kits for antibody conjugates that are ready-to-use in as little as 20 minutes with 1 minute hands-on-time and 100% antibody recovery: available for fluorescent dyes, HRP, biotin and gold.

Compatibility
This product is compatible with the Maxpar® Antibody Labeling Kit from Fluidigm, without the need for antibody preparation. Maxpar® is a trademark of Fluidigm Canada Inc.

Properties and storage information

Form
Liquid
Purification technique
Affinity purification Protein A
Storage buffer
pH: 7.2 - 7.4 Constituents: PBS
Shipped at conditions
Blue Ice
Appropriate short-term storage conditions
+4°C
Appropriate long-term storage conditions
+4°C
Storage information
Do Not Freeze

Product protocols

For this product, it's our understanding that no specific protocols are required. You can visit:

Target data

Catalyzes the production of GABA.
See full target information GAD2

Additional targets

GAD1

Publications (1)

Recent publications for all applications. Explore the full list and refine your search

European journal of histochemistry : EJH 65: PubMed34587716

2021

Long noncoding RNA Meg3 mediates ferroptosis induced by oxygen and glucose deprivation combined with hyperglycemia in rat brain microvascular endothelial cells, through modulating the p53/GPX4 axis.

Applications

Unspecified application

Species

Unspecified reactive species

Cheng Chen,Yan Huang,Pingping Xia,Fan Zhang,Longyan Li,E Wang,Qulian Guo,Zhi Ye
View all publications

Product promise

We are committed to supporting your work with high-quality reagents, and we're here for you every step of the way. In the unlikely event that one of our products does not perform as expected, you're protected by our Product Promise.
For full details, please see our Terms & Conditions

Please note: All products are 'FOR RESEARCH USE ONLY. NOT FOR USE IN DIAGNOSTIC OR THERAPEUTIC PROCEDURES'.

For licensing inquiries, please contact partnerships@abcam.com