JavaScript is disabled in your browser. Please enable JavaScript to view this website.
AB309524

Anti-GADD34 antibody [EPR26071-37] - BSA and Azide free

Be the first to review this product! Submit a review

|

(0 Publication)

Rabbit Recombinant Monoclonal GADD34 antibody. Carrier free. Suitable for WB and reacts with Human, Mouse, Rat samples.

View Alternative Names

GADD34, PPP1R15A, Protein phosphatase 1 regulatory subunit 15A, Growth arrest and DNA damage-inducible protein GADD34, Myeloid differentiation primary response protein MyD116 homolog

4 Images
Western blot - Anti-GADD34 antibody [EPR26071-37] - BSA and Azide free (AB309524)
  • WB

Supplier Data

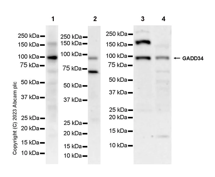
Western blot - Anti-GADD34 antibody [EPR26071-37] - BSA and Azide free (AB309524)

This data was developed using ab309523, the same antibody clone in a different buffer formulation. Blocking and diluting buffer and concentration : 5% NFDM/TBST The identity of the bands at 150 kDa and 75 kDa are unknown. Exposure time : 180 seconds

All lanes:

Western blot - Anti-GADD34 antibody [EPR26071-37] (<a href='/en-us/products/primary-antibodies/gadd34-antibody-epr26071-37-ab309523'>ab309523</a>) at 1/1000 dilution

Lane 1:

Human liver tissue lysate at 20 µg

Lane 2:

Mouse heart tissue lysate at 20 µg

Lane 3:

Rat liver tissue lysate at 20 µg

Lane 4:

Rat testis tissue lysate at 20 µg

Secondary

All lanes:

Western blot - Goat Anti-Rabbit IgG H&L (HRP) (<a href='/en-us/products/secondary-antibodies/goat-rabbit-igg-h-l-hrp-ab97051'>ab97051</a>) at 1/20000 dilution

Observed band size: 100 kDa

false

Exposure time: 180s

Western blot - Anti-GADD34 antibody [EPR26071-37] - BSA and Azide free (AB309524)
  • WB

Supplier Data

Western blot - Anti-GADD34 antibody [EPR26071-37] - BSA and Azide free (AB309524)

This data was developed using ab309523, the same antibody clone in a different buffer formulation.

Blocking and diluting buffer and concentration : 5% NFDM/TBST.

This blot was developed using a high sensitivity ECL substrate. The high-sensitivity ECL substrate used allows for the detection of proteins in the mid-femtogram range.

In Western blot, anti-GAPDH antibody (ab181602) loading control staining at 1/200000 dilution.

All lanes:

Western blot - Anti-GADD34 antibody [EPR26071-37] (<a href='/en-us/products/primary-antibodies/gadd34-antibody-epr26071-37-ab309523'>ab309523</a>) at 1/1000 dilution

Lane 1:

HeLa (human cervical adenocarcinoma epithelial cell) transfected with scrambled siRNA control whole cell lysate at 20 µg

Lane 2:

HeLa transfected with siRNA specifically targeti GADD34 whole cell lysate at 20 µg

Secondary

All lanes:

Western blot - Goat Anti-Rabbit IgG H&L (HRP) (<a href='/en-us/products/secondary-antibodies/goat-rabbit-igg-h-l-hrp-ab97051'>ab97051</a>) at 1/20000 dilution

Observed band size: 100 kDa

true

Exposure time: 103s

Western blot - Anti-GADD34 antibody [EPR26071-37] - BSA and Azide free (AB309524)
  • WB

Supplier Data

Western blot - Anti-GADD34 antibody [EPR26071-37] - BSA and Azide free (AB309524)

This data was developed using ab309523, the same antibody clone in a different buffer formulation.

Blocking and diluting buffer and concentration : 5% NFDM/TBST.

The identity of the bands between 30 kDa and 75 kDa are unknown.

This blot was developed using a high sensitivity ECL substrate. The high-sensitivity ECL substrate used allows for the detection of proteins in the mid-femtogram range.

In Western blot, anti-GAPDH antibody (ab181602) loading control staining at 1/200000 dilution.

All lanes:

Western blot - Anti-GADD34 antibody [EPR26071-37] (<a href='/en-us/products/primary-antibodies/gadd34-antibody-epr26071-37-ab309523'>ab309523</a>) at 1/1000 dilution

Lane 1:

HepG2 (human hepatocellar carcinoma epithelial cell) whole cell lysate at 20 µg

Lane 2:

RAW264.7 (mouse Abelson murine leukemia virus-induced tumor macrophage) whole cell lysate at 20 µg

Lane 3:

C6 (rat glial tumor glial cell) whole cell lysate at 20 µg

Secondary

All lanes:

Western blot - Goat Anti-Rabbit IgG H&L (HRP) (<a href='/en-us/products/secondary-antibodies/goat-rabbit-igg-h-l-hrp-ab97051'>ab97051</a>) at 1/20000 dilution

Observed band size: 100 kDa

true

Exposure time: 125s

Western blot - Anti-GADD34 antibody [EPR26071-37] - BSA and Azide free (AB309524)
  • WB

Supplier Data

Western blot - Anti-GADD34 antibody [EPR26071-37] - BSA and Azide free (AB309524)

This data was developed using ab309523, the same antibody clone in a different buffer formulation.

Blocking and diluting buffer and concentration : 5% NFDM/TBST.

The expression of GADD34 is upregulated in response to thapsigargin treatment (PMID : 18794359 ).

The identity of the bands between 15 kDa and 50 kDa are unknown.

This blot was developed using a high sensitivity ECL substrate. The high-sensitivity ECL substrate used allows for the detection of proteins in the mid-femtogram range.

In Western blot, anti-GAPDH antibody (ab181602) loading control staining at 1/200000 dilution.

All lanes:

Western blot - Anti-GADD34 antibody [EPR26071-37] (<a href='/en-us/products/primary-antibodies/gadd34-antibody-epr26071-37-ab309523'>ab309523</a>) at 1/1000 dilution

Lane 1:

Untreated A549 (human lung carcinoma epithelial cell) whole cell lysate at 20 µg

Lane 2:

A549 treated with 1 uM thapsigargin for 5 hours whole cell lysate at 20 µg

Secondary

All lanes:

Western blot - Goat Anti-Rabbit IgG H&L (HRP) (<a href='/en-us/products/secondary-antibodies/goat-rabbit-igg-h-l-hrp-ab97051'>ab97051</a>) at 1/20000 dilution

Observed band size: 100 kDa

true

Exposure time: 125s

Key facts

Host species

Rabbit

Clonality

Monoclonal

Clone number

EPR26071-37

Isotype

IgG

Carrier free

Yes

Reacts with

Human, Mouse, Rat

Applications

WB

applications

Immunogen

The exact immunogen used to generate this antibody is proprietary information.

Reactivity data

{ "title": "Reactivity Data", "filters": { "stats": ["", "Species", "Dilution Info", "Notes"], "tabs": { "all-applications": {"fullname" : "All Applications", "shortname": "All Applications"}, "WB" : {"fullname" : "Western blot", "shortname":"WB"}, "IHCP" : {"fullname" : "Immunohistochemistry (Formalin/PFA-fixed paraffin-embedded sections)", "shortname":"IHC-P"}, "ICCIF" : {"fullname" : "Immunocytochemistry/ Immunofluorescence", "shortname":"ICC/IF"}, "FlowCytIntra" : {"fullname" : "Flow Cytometry (Intracellular)", "shortname":"Flow Cyt (Intra)"}, "IP" : {"fullname" : "Immunoprecipitation", "shortname":"IP"} }, "product-promise": { "all": "all", "testedAndGuaranteed": "tested", "guaranteed": "expected", "predicted": "predicted", "notRecommended": "not-recommended" } }, "values": { "Human": { "WB-species-checked": "testedAndGuaranteed", "WB-species-dilution-info": "", "WB-species-notes": "<p></p>", "IHCP-species-checked": "notRecommended", "IHCP-species-dilution-info": "", "IHCP-species-notes": "<p></p>", "ICCIF-species-checked": "notRecommended", "ICCIF-species-dilution-info": "", "ICCIF-species-notes": "<p></p>", "FlowCytIntra-species-checked": "notRecommended", "FlowCytIntra-species-dilution-info": "", "FlowCytIntra-species-notes": "<p></p>", "IP-species-checked": "notRecommended", "IP-species-dilution-info": "", "IP-species-notes": "<p></p>" }, "Mouse": { "WB-species-checked": "testedAndGuaranteed", "WB-species-dilution-info": "", "WB-species-notes": "<p></p>", "IHCP-species-checked": "notRecommended", "IHCP-species-dilution-info": "", "IHCP-species-notes": "<p></p>", "ICCIF-species-checked": "notRecommended", "ICCIF-species-dilution-info": "", "ICCIF-species-notes": "", "FlowCytIntra-species-checked": "notRecommended", "FlowCytIntra-species-dilution-info": "", "FlowCytIntra-species-notes": "", "IP-species-checked": "notRecommended", "IP-species-dilution-info": "", "IP-species-notes": "" }, "Rat": { "WB-species-checked": "testedAndGuaranteed", "WB-species-dilution-info": "", "WB-species-notes": "<p></p>", "IHCP-species-checked": "notRecommended", "IHCP-species-dilution-info": "", "IHCP-species-notes": "<p></p>", "ICCIF-species-checked": "notRecommended", "ICCIF-species-dilution-info": "", "ICCIF-species-notes": "", "FlowCytIntra-species-checked": "notRecommended", "FlowCytIntra-species-dilution-info": "", "FlowCytIntra-species-notes": "", "IP-species-checked": "notRecommended", "IP-species-dilution-info": "", "IP-species-notes": "" } } }

Product details

Patented technology
Our RabMAb® technology is a patented hybridoma-based technology for making rabbit monoclonal antibodies. For details on our patents, please refer to RabMAb® patents.

What are the advantages of a recombinant monoclonal antibody?
This product is a recombinant monoclonal antibody, which offers several advantages including:

  • - High batch-to-batch consistency and reproducibility
  • - Improved sensitivity and specificity
  • - Long-term security of supply
  • - Animal-free batch production

For more information, read more on recombinant antibodies.

Conjugation ready
Our carrier-free antibodies are typically supplied in a PBS-only formulation, purified and free of BSA, sodium azide and glycerol. This conjugation-ready format is designed for use with fluorochromes, metal isotopes, oligonucleotides, and enzymes, which makes them ideal for antibody labelling, functional and cell-based assays, flow-based assays (e.g. mass cytometry) and Multiplex Imaging applications.

Use our conjugation kits for antibody conjugates that are ready-to-use in as little as 20 minutes with 1 minute hands-on-time and 100% antibody recovery: available for fluorescent dyes, HRP, biotin and gold.

Compatibility
This product is compatible with the Maxpar® Antibody Labeling Kit from Fluidigm, without the need for antibody preparation. Maxpar® is a trademark of Fluidigm Canada Inc.

Properties and storage information

Form
Liquid
Purification technique
Affinity purification Protein A
Storage buffer
pH: 7.2 - 7.4 Constituents: 100% PBS
Shipped at conditions
Blue Ice
Appropriate short-term storage conditions
+4°C
Appropriate long-term storage conditions
+4°C

Product protocols

For this product, it's our understanding that no specific protocols are required. You can visit:

Target data

Recruits the serine/threonine-protein phosphatase PPP1CA to prevents excessive phosphorylation of the translation initiation factor eIF-2A/EIF2S1, thereby reversing the shut-off of protein synthesis initiated by stress-inducible kinases and facilitating recovery of cells from stress (PubMed : 26095357, PubMed : 26742780). Down-regulates the TGF-beta signaling pathway by promoting dephosphorylation of TGFB1 by PP1 (PubMed : 14718519). May promote apoptosis by inducing p53/TP53 phosphorylation on 'Ser-15' (PubMed : 14635196). Plays an essential role in autophagy by tuning translation during starvation, thus enabling lysosomal biogenesis and a sustained autophagic flux (PubMed : 32978159). Acts also a viral restriction factor by attenuating HIV-1 replication (PubMed : 31778897). Mechanistically, mediates the inhibition of HIV-1 TAR RNA-mediated translation (PubMed : 31778897).. (Microbial infection) Promotes enterovirus 71 replication by mediating the internal ribosome entry site (IRES) activity of viral 5'-UTR.
See full target information PPP1R15A

Product promise

We are committed to supporting your work with high-quality reagents, and we're here for you every step of the way. In the unlikely event that one of our products does not perform as expected, you're protected by our Product Promise.
For full details, please see our Terms & Conditions

Please note: All products are 'FOR RESEARCH USE ONLY. NOT FOR USE IN DIAGNOSTIC OR THERAPEUTIC PROCEDURES'.

For licensing inquiries, please contact partnerships@abcam.com