JavaScript is disabled in your browser. Please enable JavaScript to view this website.
AB196774

Anti-GADD45G/CR6 antibody

3

(1 Review)

|

(4 Publications)

Rabbit Polyclonal GADD45G/CR6 antibody. Suitable for IHC-P, ICC/IF and reacts with Human samples. Cited in 4 publications. Immunogen corresponding to Synthetic Peptide within Human GADD45G.

View Alternative Names

CR6, DDIT2, GADD45G, Growth arrest and DNA damage-inducible protein GADD45 gamma, Cytokine-responsive protein CR6, DNA damage-inducible transcript 2 protein, DDIT-2

2 Images
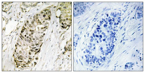
Immunohistochemistry (Formalin/PFA-fixed paraffin-embedded sections) - Anti-GADD45G/CR6 antibody (AB196774)
  • IHC-P

Supplier Data

Immunohistochemistry (Formalin/PFA-fixed paraffin-embedded sections) - Anti-GADD45G/CR6 antibody (AB196774)

Immunohistochemical analysis of paraffin-embedded Human lung carcinoma tissue labeling GADD45G/CR6 with ab196774 at 1/50 dilution. The image on the right is treated with synthesized peptide.

Immunocytochemistry/ Immunofluorescence - Anti-GADD45G/CR6 antibody (AB196774)
  • ICC/IF

Supplier Data

Immunocytochemistry/ Immunofluorescence - Anti-GADD45G/CR6 antibody (AB196774)

Immunofluorescent analysis of A549 cells labelling GADD45G/CR6 with ab196774 at a 1/00 dilution. The image on the right is treated with synthesized peptide.

Key facts

Host species

Rabbit

Clonality

Polyclonal

Isotype

IgG

Carrier free

No

Reacts with

Human

Applications

IHC-P, ICC/IF

applications

Immunogen

Synthetic Peptide within Human GADD45G. The exact immunogen used to generate this antibody is proprietary information.

O95257

Reactivity data

{ "title": "Reactivity Data", "filters": { "stats": ["", "Species", "Dilution Info", "Notes"], "tabs": { "all-applications": {"fullname" : "All Applications", "shortname": "All Applications"}, "IHCP" : {"fullname" : "Immunohistochemistry (Formalin/PFA-fixed paraffin-embedded sections)", "shortname":"IHC-P"}, "ICCIF" : {"fullname" : "Immunocytochemistry/ Immunofluorescence", "shortname":"ICC/IF"} }, "product-promise": { "all": "all", "testedAndGuaranteed": "tested", "guaranteed": "expected", "predicted": "predicted", "notRecommended": "not-recommended" } }, "values": { "Human": { "IHCP-species-checked": "testedAndGuaranteed", "IHCP-species-dilution-info": "1/50 - 1/100", "IHCP-species-notes": "<p></p>", "ICCIF-species-checked": "testedAndGuaranteed", "ICCIF-species-dilution-info": "1/100 - 1/500", "ICCIF-species-notes": "<p></p>" }, "Mouse": { "IHCP-species-checked": "predicted", "IHCP-species-dilution-info": "", "IHCP-species-notes": "", "ICCIF-species-checked": "predicted", "ICCIF-species-dilution-info": "", "ICCIF-species-notes": "" } } }

Properties and storage information

Form
Liquid
Purification technique
Affinity purification Immunogen
Purification notes
ab196774 was affinity-purified from rabbit antiserum by affinity-chromatography using epitope-specific immunogen.
Storage buffer
pH: 7.4 Preservative: 0.02% Sodium azide Constituents: PBS, 50% Glycerol (glycerin, glycerine), 0.87% Sodium chloride
Shipped at conditions
Blue Ice
Appropriate short-term storage duration
1-2 weeks
Appropriate short-term storage conditions
+4°C
Appropriate long-term storage conditions
-20°C
Aliquoting information
Upon delivery aliquot
Storage information
Avoid freeze / thaw cycle

Product protocols

For this product, it's our understanding that no specific protocols are required. You can visit:

Target data

Involved in the regulation of growth and apoptosis. Mediates activation of stress-responsive MTK1/MEKK4 MAPKKK.
See full target information GADD45G

Publications (4)

Recent publications for all applications. Explore the full list and refine your search

International journal of molecular sciences 22: PubMed34360791

2021

Protein Arginine Methyltransferase (PRMT) Inhibitors-AMI-1 and SAH Are Effective in Attenuating Rhabdomyosarcoma Growth and Proliferation in Cell Cultures.

Applications

Unspecified application

Species

Unspecified reactive species

Joanna Janisiak,Patrycja Kopytko,Marta Tkacz,Dorota Rogińska,Magdalena Perużyńska,Bogusław Machaliński,Andrzej Pawlik,Maciej Tarnowski

Endocrinology 159:1172-1186 PubMed29244109

2017

GADD45a Promotes Active DNA Demethylation of the MMP-9 Promoter via Base Excision Repair Pathway in AGEs-Treated Keratinocytes and in Diabetic Male Rat Skin.

Applications

Unspecified application

Species

Unspecified reactive species

Liyan Zhou,Wei Wang,Chuan Yang,Tingting Zeng,Mengdie Hu,Xiaoyi Wang,Na Li,Kan Sun,Chuan Wang,Jing Zhou,Meng Ren,Li Yan

Molecular cancer research : MCR 15:862-874 PubMed28385910

2017

Metformin Reduces Prostate Tumor Growth, in a Diet-Dependent Manner, by Modulating Multiple Signaling Pathways.

Applications

Unspecified application

Species

Unspecified reactive species

André Sarmento-Cabral,Fernando L-López,Manuel D Gahete,Justo P Castaño,Raúl M Luque

Journal of translational medicine 14:283 PubMed27687913

2016

IL-27 attenuates airway inflammation in a mouse asthma model via the STAT1 and GADD45γ/p38 MAPK pathways.

Applications

WB, WB

Species

Human, Mouse

Xiaoqiong Su,Jue Pan,Fengxi Bai,Honglei Yuan,Nian Dong,Dandan Li,Xiangdong Wang,Zhihong Chen
View all publications

Product promise

We are committed to supporting your work with high-quality reagents, and we're here for you every step of the way. In the unlikely event that one of our products does not perform as expected, you're protected by our Product Promise.
For full details, please see our Terms & Conditions

Please note: All products are 'FOR RESEARCH USE ONLY. NOT FOR USE IN DIAGNOSTIC OR THERAPEUTIC PROCEDURES'.

For licensing inquiries, please contact partnerships@abcam.com