JavaScript is disabled in your browser. Please enable JavaScript to view this website.
AB288566

Anti-GAK antibody [EPR25327-102]

  • 20ul selling size
  • RabMAb
  • Recombinant
  • KO Validated
  • What is this?

Be the first to review this product! Submit a review

|

(0 Publication)

Rabbit Recombinant Monoclonal GAK antibody. Suitable for IP, WB and reacts with Human samples.

View Alternative Names

DNAJC26, GAK, Cyclin-G-associated kinase, DnaJ homolog subfamily C member 26

2 Images
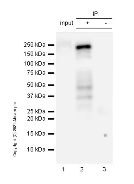
Immunoprecipitation - Anti-GAK antibody [EPR25327-102] (AB288566)
  • IP

Lab

Immunoprecipitation - Anti-GAK antibody [EPR25327-102] (AB288566)

GAK was immunoprecipitated from 0.35 mg Daudi (Human Burkitt's lymphoma lymphoblast) whole cell lysate 10ug using Anti-GAK antibody [EPR25327-102] at 1/30 dilution (2ug in 0.35mg lysates). Western blot was performed on the immunoprecipitate using Anti-GAK antibody [EPR25327-102] at 1/1000 dilution. VeriBlot for IP secondary antibody (HRP) (ab131366) was used at 1/5000 dilution.

Lane 1 : Daudi (Human Burkitt's lymphoma lymphoblast) whole cell lysate 10ug

Lane 2 : ab288566 IP in Daudi whole cell lysate

Lane 3 : Rabbit monoclonal IgG (ab172730) instead of ab288566 in Daudi whole cell lysate

Blocking and dilution buffer and concentration : 5% NFDM/TBST.

Exposure time : 15 seconds

The bands beneath the target band may be caused by degradation.

All lanes:

Immunoprecipitation - Anti-GAK antibody [EPR25327-102] (ab288566)

Predicted band size: 143 kDa

Observed band size: 160 kDa

false

Exposure time: 15s

Western blot - Anti-GAK antibody [EPR25327-102] (AB288566)
  • WB

Supplier Data

Western blot - Anti-GAK antibody [EPR25327-102] (AB288566)

Blocking and diluting buffer and concentration : 5% NFDM/TBST

Exposure time : 59 seconds

All lanes:

Western blot - Anti-GAK antibody [EPR25327-102] (ab288566) at 1/1000 dilution

Lane 1:

Western blot - Human wild-type HEK-293T cell line (ab255449) at 20 µg

Lane 2:

Western blot - Human GAK knockout HEK-293T cell line (<a href='/en-us/products/cell-lines/human-gak-knockout-hek-293t-cell-line-ab266417'>ab266417</a>) at 20 µg

Lane 3:

Daudi (Human Burkitt’s lymphoma lymphoblast), whole cell lysate at 20 µg

Secondary

All lanes:

Western blot - Goat Anti-Rabbit IgG H&L (HRP) (<a href='/en-us/products/secondary-antibodies/goat-rabbit-igg-h-l-hrp-ab97051'>ab97051</a>) at 1/100000 dilution

Predicted band size: 143 kDa

Observed band size: 160 kDa

false

Exposure time: 59s

  • Carrier free

    Anti-GAK antibody [EPR25327-102] - BSA and Azide free

Key facts

Host species

Rabbit

Clonality

Monoclonal

Clone number

EPR25327-102

Isotype

IgG

Carrier free

No

Reacts with

Human

Applications

WB, IP

applications

Immunogen

The exact immunogen used to generate this antibody is proprietary information.

Reactivity data

{ "title": "Reactivity Data", "filters": { "stats": ["", "Species", "Dilution Info", "Notes"], "tabs": { "all-applications": {"fullname" : "All Applications", "shortname": "All Applications"}, "ICCIF" : {"fullname" : "Immunocytochemistry/ Immunofluorescence", "shortname":"ICC/IF"}, "IP" : {"fullname" : "Immunoprecipitation", "shortname":"IP"}, "WB" : {"fullname" : "Western blot", "shortname":"WB"}, "FlowCytIntra" : {"fullname" : "Flow Cytometry (Intracellular)", "shortname":"Flow Cyt (Intra)"}, "IHCP" : {"fullname" : "Immunohistochemistry (Formalin/PFA-fixed paraffin-embedded sections)", "shortname":"IHC-P"} }, "product-promise": { "all": "all", "testedAndGuaranteed": "tested", "guaranteed": "expected", "predicted": "predicted", "notRecommended": "not-recommended" } }, "values": { "Human": { "ICCIF-species-checked": "notRecommended", "ICCIF-species-dilution-info": "", "ICCIF-species-notes": "<p></p>", "IP-species-checked": "testedAndGuaranteed", "IP-species-dilution-info": "1/30", "IP-species-notes": "<p></p>", "WB-species-checked": "testedAndGuaranteed", "WB-species-dilution-info": "1/1000", "WB-species-notes": "<p></p>", "FlowCytIntra-species-checked": "notRecommended", "FlowCytIntra-species-dilution-info": "", "FlowCytIntra-species-notes": "<p></p>", "IHCP-species-checked": "notRecommended", "IHCP-species-dilution-info": "", "IHCP-species-notes": "<p></p>" }, "Mouse": { "ICCIF-species-checked": "notRecommended", "ICCIF-species-dilution-info": "", "ICCIF-species-notes": "", "IP-species-checked": "notRecommended", "IP-species-dilution-info": "", "IP-species-notes": "", "WB-species-checked": "notRecommended", "WB-species-dilution-info": "1/1000", "WB-species-notes": "<p></p>", "FlowCytIntra-species-checked": "notRecommended", "FlowCytIntra-species-dilution-info": "", "FlowCytIntra-species-notes": "", "IHCP-species-checked": "notRecommended", "IHCP-species-dilution-info": "", "IHCP-species-notes": "<p></p>" }, "Rat": { "ICCIF-species-checked": "notRecommended", "ICCIF-species-dilution-info": "", "ICCIF-species-notes": "", "IP-species-checked": "notRecommended", "IP-species-dilution-info": "", "IP-species-notes": "", "WB-species-checked": "notRecommended", "WB-species-dilution-info": "1/1000", "WB-species-notes": "<p></p>", "FlowCytIntra-species-checked": "notRecommended", "FlowCytIntra-species-dilution-info": "", "FlowCytIntra-species-notes": "", "IHCP-species-checked": "notRecommended", "IHCP-species-dilution-info": "", "IHCP-species-notes": "<p></p>" } } }

Product details

Patented technology
Our RabMAb® technology is a patented hybridoma-based technology for making rabbit monoclonal antibodies. For details on our patents, please refer to RabMAb® patents.

What are the advantages of a recombinant monoclonal antibody?
This product is a recombinant monoclonal antibody, which offers several advantages including:

  • - High batch-to-batch consistency and reproducibility
  • - Improved sensitivity and specificity
  • - Long-term security of supply
  • - Animal-free batch production

For more information, read more on recombinant antibodies.

Properties and storage information

Form
Liquid
Purification technique
Affinity purification Protein A
Storage buffer
pH: 7.2 - 7.4 Preservative: 0.01% Sodium azide Constituents: 59% PBS, 40% Glycerol (glycerin, glycerine), 0.05% BSA
Shipped at conditions
Blue Ice
Appropriate short-term storage duration
1-2 weeks
Appropriate short-term storage conditions
+4°C
Appropriate long-term storage conditions
-20°C
Aliquoting information
Upon delivery aliquot
Storage information
Avoid freeze / thaw cycle

Product protocols

For this product, it's our understanding that no specific protocols are required. You can visit:

Target data

Associates with cyclin G and CDK5. Seems to act as an auxilin homolog that is involved in the uncoating of clathrin-coated vesicles by Hsc70 in non-neuronal cells. Expression oscillates slightly during the cell cycle, peaking at G1 (PubMed : 10625686). May play a role in clathrin-mediated endocytosis and intracellular trafficking, and in the dynamics of clathrin assembly/disassembly (PubMed : 18489706).
See full target information GAK

Product promise

We are committed to supporting your work with high-quality reagents, and we're here for you every step of the way. In the unlikely event that one of our products does not perform as expected, you're protected by our Product Promise.
For full details, please see our Terms & Conditions

Please note: All products are 'FOR RESEARCH USE ONLY. NOT FOR USE IN DIAGNOSTIC OR THERAPEUTIC PROCEDURES'.

For licensing inquiries, please contact partnerships@abcam.com