JavaScript is disabled in your browser. Please enable JavaScript to view this website.
AB154309

Anti-GAL4 antibody

Be the first to review this product! Submit a review

|

(1 Publication)

Rabbit Polyclonal GAL4 antibody. Suitable for WB, IHC-P and reacts with Human samples. Cited in 1 publication. Immunogen corresponding to Recombinant Fragment Protein within Human Galectin-4 aa 1-250.

View Alternative Names

Galectin-4, Gal-4, Antigen NY-CO-27, L-36 lactose-binding protein, Lactose-binding lectin 4, L36LBP, LGALS4

3 Images
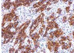
Immunohistochemistry (Formalin/PFA-fixed paraffin-embedded sections) - Anti-GAL4 antibody (AB154309)
  • IHC-P

Unknown

Immunohistochemistry (Formalin/PFA-fixed paraffin-embedded sections) - Anti-GAL4 antibody (AB154309)

Immunohistochemical analysis of paraffin-embedded Human Gastric Carcinoma tissue labeling GAL4 with ab154309 at 1/500 dilution.

Western blot - Anti-GAL4 antibody (AB154309)
  • WB

Supplier Data

Western blot - Anti-GAL4 antibody (AB154309)

Samples were separated by 10% SDS-PAGE. Corresponding RNA expression data for the same cell lines are based on Human Protein Atlas program.

All lanes:

Western blot - Anti-GAL4 antibody (ab154309) at 1/1000 dilution

Lane 1:

AsPC-1 whole cell extracts at 30 µg

Lane 2:

HT-29 whole cell extracts at 30 µg

Lane 3:

MCF-7 whole cell extracts at 30 µg

Secondary

All lanes:

HRP-conjugated anti-rabbit IgG antibody

false

Western blot - Anti-GAL4 antibody (AB154309)
  • WB

Unknown

Western blot - Anti-GAL4 antibody (AB154309)

10% SDS PAGE

All lanes:

Western blot - Anti-GAL4 antibody (ab154309) at 1/5000 dilution

Lane 1:

Non-transfected 293T whole cell lysate at 30 µg

Lane 2:

GAL4-transfected 293T whole cell lysate at 30 µg

Predicted band size: 36 kDa

false

Key facts

Host species

Rabbit

Clonality

Polyclonal

Isotype

IgG

Carrier free

No

Reacts with

Human

Applications

WB, IHC-P

applications

Immunogen

Recombinant Fragment Protein within Human Galectin-4 aa 1-250. The exact immunogen used to generate this antibody is proprietary information.

P56470

Reactivity data

{ "title": "Reactivity Data", "filters": { "stats": ["", "Species", "Dilution Info", "Notes"], "tabs": { "all-applications": {"fullname" : "All Applications", "shortname": "All Applications"}, "WB" : {"fullname" : "Western blot", "shortname":"WB"}, "IHCP" : {"fullname" : "Immunohistochemistry (Formalin/PFA-fixed paraffin-embedded sections)", "shortname":"IHC-P"} }, "product-promise": { "all": "all", "testedAndGuaranteed": "tested", "guaranteed": "expected", "predicted": "predicted", "notRecommended": "not-recommended" } }, "values": { "Human": { "WB-species-checked": "testedAndGuaranteed", "WB-species-dilution-info": "1/1000 - 1/10000", "WB-species-notes": "<p></p>", "IHCP-species-checked": "testedAndGuaranteed", "IHCP-species-dilution-info": "1/100 - 1/1000", "IHCP-species-notes": "<p></p>" } } }

Properties and storage information

Form
Liquid
Purification technique
Affinity purification Immunogen
Storage buffer
pH: 7 Preservative: 0.01% Thimerosal (merthiolate) Constituents: 20% Glycerol (glycerin, glycerine), 1.21% Tris, 0.75% Glycine
Shipped at conditions
Blue Ice
Appropriate short-term storage conditions
+4°C
Appropriate long-term storage conditions
-20°C
Aliquoting information
Upon delivery aliquot
Storage information
Avoid freeze / thaw cycle

Product protocols

For this product, it's our understanding that no specific protocols are required. You can visit:

Target data

Galectin that binds lactose and a related range of sugars. May be involved in the assembly of adherens junctions.
See full target information Galectin-4

Publications (1)

Recent publications for all applications. Explore the full list and refine your search

Experimental and therapeutic medicine 26:473 PubMed37753299

2023

Effects and mechanism of Rictor interference in podocyte injury induced by high glucose.

Applications

Unspecified application

Species

Unspecified reactive species

Yan Zeng,Changbin Xiong,Yinxiang Chen,Chunyun Yang,Qiuyue Li
View all publications

Product promise

We are committed to supporting your work with high-quality reagents, and we're here for you every step of the way. In the unlikely event that one of our products does not perform as expected, you're protected by our Product Promise.
For full details, please see our Terms & Conditions

Please note: All products are 'FOR RESEARCH USE ONLY. NOT FOR USE IN DIAGNOSTIC OR THERAPEUTIC PROCEDURES'.

For licensing inquiries, please contact partnerships@abcam.com