JavaScript is disabled in your browser. Please enable JavaScript to view this website.
AB229347

Anti-GAL4 antibody

Be the first to review this product! Submit a review

|

(1 Publication)

Rabbit Polyclonal GAL4 antibody. Suitable for WB, IHC-P and reacts with Mouse, Rat, Human samples. Cited in 1 publication. Immunogen corresponding to Recombinant Fragment Protein within Human Galectin-4.

View Alternative Names

Galectin-4, Gal-4, Antigen NY-CO-27, L-36 lactose-binding protein, Lactose-binding lectin 4, L36LBP, LGALS4

5 Images
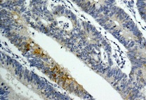
Immunohistochemistry (Formalin/PFA-fixed paraffin-embedded sections) - Anti-GAL4 antibody (AB229347)
  • IHC-P

Supplier Data

Immunohistochemistry (Formalin/PFA-fixed paraffin-embedded sections) - Anti-GAL4 antibody (AB229347)

Paraffin-embedded human gastric cancer tissue stained for GAL4 using ab229347 at 1/500 dilution in immunohistochemical analysis.

Western blot - Anti-GAL4 antibody (AB229347)
  • WB

Supplier Data

Western blot - Anti-GAL4 antibody (AB229347)

10% SDS-PAGE gel.

All lanes:

Western blot - Anti-GAL4 antibody (ab229347) at 1/500 dilution

All lanes:

HCT 116 (human colorectal carcinoma cell line) whole cell extract at 30 µg

Secondary

All lanes:

HRP-conjugated anti-rabbit IgG

Predicted band size: 36 kDa

false

Western blot - Anti-GAL4 antibody (AB229347)
  • WB

Supplier Data

Western blot - Anti-GAL4 antibody (AB229347)

10% SDS-PAGE gel.

All lanes:

Western blot - Anti-GAL4 antibody (ab229347) at 1/1000 dilution

All lanes:

Mouse colon extract at 50 µg

Secondary

All lanes:

HRP-conjugated anti-rabbit IgG

Predicted band size: 36 kDa

false

Western blot - Anti-GAL4 antibody (AB229347)
  • WB

Supplier Data

Western blot - Anti-GAL4 antibody (AB229347)

10% SDS-PAGE gel.

All lanes:

Western blot - Anti-GAL4 antibody (ab229347) at 1/5000 dilution

Lane 1:

Non-transfected HEK-293T (human epithelial cell line from embryonic kidney transformed with large T antigen) whole cell extract at 30 µg

Lane 2:

GAL4-transfected HEK-293T whole cell extract at 30 µg

Secondary

All lanes:

HRP-conjugated anti-rabbit IgG

Predicted band size: 36 kDa

false

Western blot - Anti-GAL4 antibody (AB229347)
  • WB

Supplier Data

Western blot - Anti-GAL4 antibody (AB229347)

10% SDS-PAGE gel.

All lanes:

Western blot - Anti-GAL4 antibody (ab229347) at 1/5000 dilution

All lanes:

Rat colon extract at 50 µg

Secondary

All lanes:

HRP-conjugated anti-rabbit IgG

Predicted band size: 36 kDa

false

Key facts

Host species

Rabbit

Clonality

Polyclonal

Isotype

IgG

Carrier free

No

Reacts with

Mouse, Rat, Human

Applications

WB, IHC-P

applications

Immunogen

Recombinant Fragment Protein within Human Galectin-4. The exact immunogen used to generate this antibody is proprietary information.

P56470

Reactivity data

{ "title": "Reactivity Data", "filters": { "stats": ["", "Species", "Dilution Info", "Notes"], "tabs": { "all-applications": {"fullname" : "All Applications", "shortname": "All Applications"}, "WB" : {"fullname" : "Western blot", "shortname":"WB"}, "IHCP" : {"fullname" : "Immunohistochemistry (Formalin/PFA-fixed paraffin-embedded sections)", "shortname":"IHC-P"} }, "product-promise": { "all": "all", "testedAndGuaranteed": "tested", "guaranteed": "expected", "predicted": "predicted", "notRecommended": "not-recommended" } }, "values": { "Human": { "WB-species-checked": "testedAndGuaranteed", "WB-species-dilution-info": "1/500 - 1/10000", "WB-species-notes": "<p></p>", "IHCP-species-checked": "testedAndGuaranteed", "IHCP-species-dilution-info": "1/100 - 1/1000", "IHCP-species-notes": "<p></p>" }, "Mouse": { "WB-species-checked": "testedAndGuaranteed", "WB-species-dilution-info": "1/500 - 1/10000", "WB-species-notes": "<p></p>", "IHCP-species-checked": "guaranteed", "IHCP-species-dilution-info": "", "IHCP-species-notes": "" }, "Rat": { "WB-species-checked": "testedAndGuaranteed", "WB-species-dilution-info": "1/500 - 1/10000", "WB-species-notes": "<p></p>", "IHCP-species-checked": "guaranteed", "IHCP-species-dilution-info": "", "IHCP-species-notes": "" } } }

Properties and storage information

Form
Liquid
Purification technique
Affinity purification Immunogen
Storage buffer
pH: 7 Preservative: 0.01% Thimerosal (merthiolate) Constituents: 79.99% PBS, 20% Glycerol (glycerin, glycerine)
Shipped at conditions
Blue Ice
Appropriate short-term storage duration
1-2 weeks
Appropriate short-term storage conditions
+4°C
Appropriate long-term storage conditions
-20°C
Aliquoting information
Upon delivery aliquot
Storage information
Avoid freeze / thaw cycle

Supplementary information

This supplementary information is collated from multiple sources and compiled automatically.

GAL4 also known as a transcription factor is an important protein in yeast. It plays a critical role in regulating the transcription of genes involved in galactose metabolism. The GAL4 protein has a mass of approximately 881 amino acids and is mainly expressed in the nucleus of yeast cells. Common parts of GAL4 include the GAL4 DBD (DNA-binding domain) and GAL4 AD (activation domain) which are critical for its function. Although similar sounding GAL4 should not be confused with galectin-4 or galectin 4 which are different proteins.
Biological function summary

The GAL4 transcription factor functions as a major regulator of galactose-responsive genes. It acts as part of a complex binding with its DNA target sites to initiate transcription of GAL genes like GAL1 GAL7 and GAL10. GAL4 protein recruits transcriptional machinery through its activation domain working alongside other factors to turn on specific gene expression in response to the presence of galactose. This capacity for gene regulation underlines its essential role in sugar metabolism in yeast.

Pathways

GAL4 is intimately involved in the GAL gene regulatory pathway that manages the cellular response to galactose. In this pathway proteins such as GAL80 inhibit GAL4 function under non-inducing conditions. However in the presence of galactose GAL3 binds and neutralizes GAL80 liberating GAL4 to activate gene expression. This system exemplifies a dynamic interaction in yeast allowing precise gene regulation in accordance with sugar availability.

While GAL4 is specifically a yeast protein and does not directly relate to human diseases its functional analogs and concepts have implications in genetic research and synthetic biology. For example GAL4 system is widely used in Drosophila and other model organisms to study gene expression patterns and related disorders. This system compared with mammalian transcription factors provides a foundational methodology for exploring genetic regulation mechanisms and potential implications in understanding metabolic disorders.

Product protocols

For this product, it's our understanding that no specific protocols are required. You can visit:

Target data

Galectin that binds lactose and a related range of sugars. May be involved in the assembly of adherens junctions.
See full target information Galectin-4

Publications (1)

Recent publications for all applications. Explore the full list and refine your search

Technology in cancer research & treatment 18:1533033819876601 PubMed31558111

2019

LGALS4 as a Prognostic Factor in Urothelial Carcinoma of Bladder Affects Cell Functions.

Applications

Unspecified application

Species

Unspecified reactive species

Yu Ding,Qifeng Cao,Chen Wang,Huangqi Duan,Haibo Shen
View all publications

Product promise

We are committed to supporting your work with high-quality reagents, and we're here for you every step of the way. In the unlikely event that one of our products does not perform as expected, you're protected by our Product Promise.
For full details, please see our Terms & Conditions

Please note: All products are 'FOR RESEARCH USE ONLY. NOT FOR USE IN DIAGNOSTIC OR THERAPEUTIC PROCEDURES'.

For licensing inquiries, please contact partnerships@abcam.com