JavaScript is disabled in your browser. Please enable JavaScript to view this website.
AB255295

Anti-Galanin antibody [EPR22496-254]

Be the first to review this product! Submit a review

|

(1 Publication)

Rabbit Recombinant Monoclonal Galanin antibody. Suitable for IHC-P and reacts with Human samples. Cited in 1 publication.

View Alternative Names

GAL1, GALN, GLNN, GAL, Galanin peptides

2 Images
Immunohistochemistry (Formalin/PFA-fixed paraffin-embedded sections) - Anti-Galanin antibody [EPR22496-254] (AB255295)
  • IHC-P

Unknown

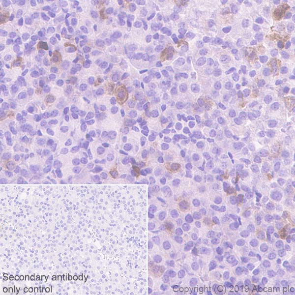
Immunohistochemistry (Formalin/PFA-fixed paraffin-embedded sections) - Anti-Galanin antibody [EPR22496-254] (AB255295)

Immunohistochemical analysis of paraffin-embedded human pituitary gland tissue labeling Galanin with ab255295 at 1/2000 dilution, followed by Rabbit specific IHC polymer detection kit HRP/DAB (ab209101). Positive staining on human pituitary gland (PMID : 10098517) is observed. Counterstained with hematoxylin.

Secondary antibody only control : Used PBS instead of primary antibody, secondary antibody is Rabbit specific IHC polymer detection kit HRP/DAB (ab209101).

Heat mediated antigen retrieval with Tris-EDTA buffer (pH 9.0, epitope retrieval solution 2) for 20 mins.

The section was incubated with ab255295 for 30 mins at room temperature.

The immunostaining was performed on a Leica Biosystems BOND® RX instrument.

Immunohistochemistry (Formalin/PFA-fixed paraffin-embedded sections) - Anti-Galanin antibody [EPR22496-254] (AB255295)
  • IHC-P

Unknown

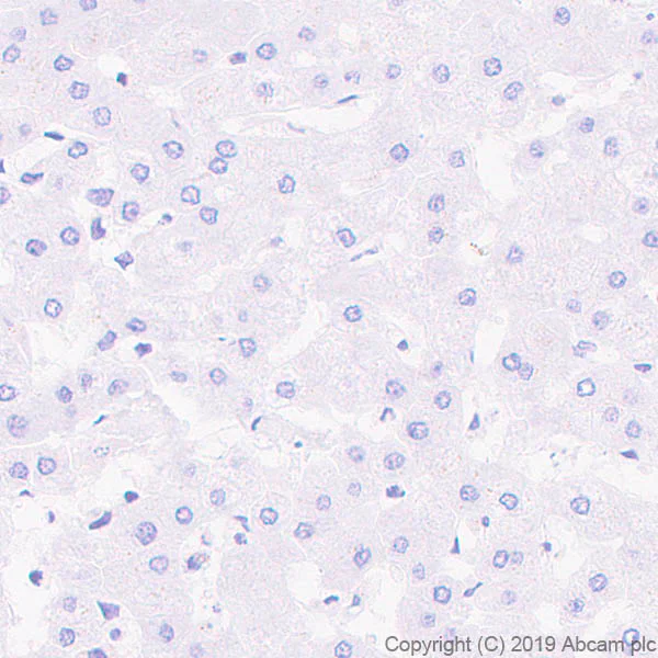
Immunohistochemistry (Formalin/PFA-fixed paraffin-embedded sections) - Anti-Galanin antibody [EPR22496-254] (AB255295)

Immunohistochemical analysis of paraffin-embedded human liver tissue labeling Galanin with ab255295 at 1/2000 dilution, followed by Rabbit specific IHC polymer detection kit HRP/DAB (ab209101). Negative control : No staining on human liver (PMID : 2448788) is observed. Counterstained with hematoxylin.

Secondary antibody only control : Used PBS instead of primary antibody, secondary antibody is Rabbit specific IHC polymer detection kit HRP/DAB (ab209101).

Heat mediated antigen retrieval with Tris-EDTA buffer (pH 9.0, epitope retrieval solution 2) for 20 mins.

The section was incubated with ab255295 for 30 mins at room temperature.

The immunostaining was performed on a Leica Biosystems BOND® RX instrument.

  • Carrier free

    Anti-Galanin antibody [EPR22496-254] - BSA and Azide free

Key facts

Host species

Rabbit

Clonality

Monoclonal

Clone number

EPR22496-254

Isotype

IgG

Carrier free

No

Reacts with

Human

Applications

IHC-P

applications

Immunogen

The exact immunogen used to generate this antibody is proprietary information.

Reactivity data

{ "title": "Reactivity Data", "filters": { "stats": ["", "Species", "Dilution Info", "Notes"], "tabs": { "all-applications": {"fullname" : "All Applications", "shortname": "All Applications"}, "IP" : {"fullname" : "Immunoprecipitation", "shortname":"IP"}, "FlowCyt" : {"fullname" : "Flow Cytometry", "shortname":"Flow Cyt"}, "WB" : {"fullname" : "Western blot", "shortname":"WB"}, "ICCIF" : {"fullname" : "Immunocytochemistry/ Immunofluorescence", "shortname":"ICC/IF"}, "IHCP" : {"fullname" : "Immunohistochemistry (Formalin/PFA-fixed paraffin-embedded sections)", "shortname":"IHC-P"} }, "product-promise": { "all": "all", "testedAndGuaranteed": "tested", "guaranteed": "expected", "predicted": "predicted", "notRecommended": "not-recommended" } }, "values": { "Human": { "IP-species-checked": "notRecommended", "IP-species-dilution-info": "", "IP-species-notes": "<p></p>", "FlowCyt-species-checked": "notRecommended", "FlowCyt-species-dilution-info": "", "FlowCyt-species-notes": "<p></p>", "WB-species-checked": "notRecommended", "WB-species-dilution-info": "", "WB-species-notes": "<p></p>", "ICCIF-species-checked": "notRecommended", "ICCIF-species-dilution-info": "", "ICCIF-species-notes": "<p></p>", "IHCP-species-checked": "testedAndGuaranteed", "IHCP-species-dilution-info": "1/2000", "IHCP-species-notes": "<p></p>" } } }

Product details

Patented technology
Our RabMAb® technology is a patented hybridoma-based technology for making rabbit monoclonal antibodies. For details on our patents, please refer to RabMAb® patents.

What are the advantages of a recombinant monoclonal antibody?
This product is a recombinant monoclonal antibody, which offers several advantages including:

  • - High batch-to-batch consistency and reproducibility
  • - Improved sensitivity and specificity
  • - Long-term security of supply
  • - Animal-free batch production

For more information, read more on recombinant antibodies.

Properties and storage information

Form
Liquid
Purification technique
Affinity purification Protein A
Storage buffer
pH: 7.2 - 7.4 Preservative: 0.01% Sodium azide Constituents: PBS, 40% Glycerol (glycerin, glycerine), 0.05% BSA
Shipped at conditions
Blue Ice
Appropriate short-term storage duration
1-2 weeks
Appropriate short-term storage conditions
+4°C
Appropriate long-term storage conditions
-20°C
Aliquoting information
Upon delivery aliquot
Storage information
Avoid freeze / thaw cycle

Supplementary information

This supplementary information is collated from multiple sources and compiled automatically.

Galanin also known as the galanin peptide is a neuropeptide that plays a role in various physiological processes. It has a molecular mass of approximately 3 kDa and is expressed widely throughout the central and peripheral nervous systems. Galanin is extensively distributed in the brain spinal cord and gut indicating its involvement in multiple neural functions.
Biological function summary

Galanin influences neurotransmitter release and modulates synaptic transmission. It often forms part of a receptor complex with galanin receptors GALR1 GALR2 and GALR3 which mediate its effects. Galanin exerts diverse actions including regulation of mood feeding behavior and modulation of nociception. These broad biological roles highlight its importance in maintaining homeostasis.

Pathways

Galanin takes part in the regulation of several key signaling pathways such as the MAPK/ERK and the cAMP-PKA pathways. It interacts with other neuropeptides and its activity can modulate the action of neurotransmitters like norepinephrine and serotonin which influence mood and stress response. These pathways reveal its integrative role in neurophysiological regulation and its connection with multiple proteins.

Galanin is linked with conditions such as depression and epilepsy. Changes in galanin expression have been observed in depressive disorders where it may interact with serotonin transporter proteins affecting mood regulation. In epilepsy galanin has a potential role in reducing seizure susceptibility possibly in relation to its interaction with the gamma-aminobutyric acid (GABA) system. Understanding these associations aids in exploring galanin as a potential therapeutic target.

Product protocols

For this product, it's our understanding that no specific protocols are required. You can visit:

Target data

Endocrine hormone of the central and peripheral nervous systems that binds and activates the G protein-coupled receptors GALR1, GALR2, and GALR3. This small neuropeptide may regulate diverse physiologic functions including contraction of smooth muscle of the gastrointestinal and genitourinary tract, growth hormone and insulin release and adrenal secretion.
See full target information GAL

Publications (1)

Recent publications for all applications. Explore the full list and refine your search

Frontiers in nutrition 11:1468874 PubMed39758319

2025

Melanin-concentrating hormone attenuates the hedonic feeding induced by orexin-A in the ventral tegmental area of high-fat diet male mice.

Applications

Unspecified application

Species

Unspecified reactive species

Xiaoning Liu,Helin Yang,Wenguang Xu,Xuezhe Wang,Wenhui Tang,Xiaoxuan Wang,Yang Jiao,Xinchi Luan,Pengmeng Li,Feifei Guo
View all publications

Product promise

We are committed to supporting your work with high-quality reagents, and we're here for you every step of the way. In the unlikely event that one of our products does not perform as expected, you're protected by our Product Promise.
For full details, please see our Terms & Conditions

Please note: All products are 'FOR RESEARCH USE ONLY. NOT FOR USE IN DIAGNOSTIC OR THERAPEUTIC PROCEDURES'.

For licensing inquiries, please contact partnerships@abcam.com