JavaScript is disabled in your browser. Please enable JavaScript to view this website.
AB112525

Anti-Galectin 1 antibody

Be the first to review this product! Submit a review

|

(3 Publications)

Rabbit Polyclonal Galectin 1 antibody. Suitable for WB, ICC, IHC-P, IHC-Fr, Flow Cyt and reacts with Rat, Mouse, Human samples. Cited in 3 publications. Immunogen corresponding to Synthetic Peptide within Human LGALS1.

View Alternative Names

Galectin-1, Gal-1, 14 kDa laminin-binding protein, 14 kDa lectin, Beta-galactoside-binding lectin L-14-I, Galaptin, HBL, HPL, Lactose-binding lectin 1, Lectin galactoside-binding soluble 1, Putative MAPK-activating protein PM12, S-Lac lectin 1, HLBP14, LGALS1

8 Images
Flow Cytometry - Anti-Galectin 1 antibody (AB112525)
  • Flow Cyt

Supplier Data

Flow Cytometry - Anti-Galectin 1 antibody (AB112525)

Overlay histogram showing PC-3 cells stained with ab112525 (Blue).The cells were blocked with 10% normal goat serum. And then incubated with ab112525 at 1µg/1x10^6 cells for 30 min at 20°C. DyLight®488 conjugated goat anti-rabbit IgG at 5-10µg/1x10^6 cells was used as secondary antibody for 30 minutes at 20°C. Isotype control antibody (Green) was rabbit IgG (1µg/1x10^6) used under the same conditions. Unlabelled sample (Red) was also used as a control.

Immunocytochemistry - Anti-Galectin 1 antibody (AB112525)
  • ICC

Unknown

Immunocytochemistry - Anti-Galectin 1 antibody (AB112525)

ab112525 staining Galectin 1 in U20S tissue by Immunohistochemistry. Enzyme antigen retrieval was performed using IHC enzyme antigen retrieval reagent (AR0022) for 15 mins. DyLight®488 Conjugated Goat Anti-Rabbit IgG was used as secondary antibody at 1 : 100 dilution and incubated for 30 minutes at 37°C. The section was counterstained with DAPI.

Immunohistochemistry (Formalin/PFA-fixed paraffin-embedded sections) - Anti-Galectin 1 antibody (AB112525)
  • IHC-P

Supplier Data

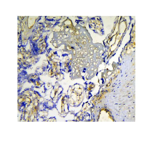
Immunohistochemistry (Formalin/PFA-fixed paraffin-embedded sections) - Anti-Galectin 1 antibody (AB112525)

Galectin-1 was detected in paraffin-embedded section of human liver cancer tissue. Heat mediated antigen retrieval was performed in EDTA buffer (pH8.0, epitope retrieval solution). The tissue section was blocked with 10% goat serum. The tissue section was then incubated with 1µg/ml ab112525 overnight at 4°C. Biotinylated goat anti-rabbit IgG was used as secondary antibody and incubated for 30 minutes at 37°C. The tissue section was developed using Strepavidin-Biotin-Complex (SABC) with DAB as the chromogen.

Immunohistochemistry (Formalin/PFA-fixed paraffin-embedded sections) - Anti-Galectin 1 antibody (AB112525)
  • IHC-P

Unknown

Immunohistochemistry (Formalin/PFA-fixed paraffin-embedded sections) - Anti-Galectin 1 antibody (AB112525)

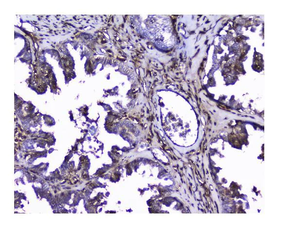
ab112525 staining Galectin 1 in intestinal cancer tissue by Immunohistochemistry (Formalin/PFA-fixed paraffin-embedded sections).

Immunohistochemistry (Formalin/PFA-fixed paraffin-embedded sections) - Anti-Galectin 1 antibody (AB112525)
  • IHC-P

Unknown

Immunohistochemistry (Formalin/PFA-fixed paraffin-embedded sections) - Anti-Galectin 1 antibody (AB112525)

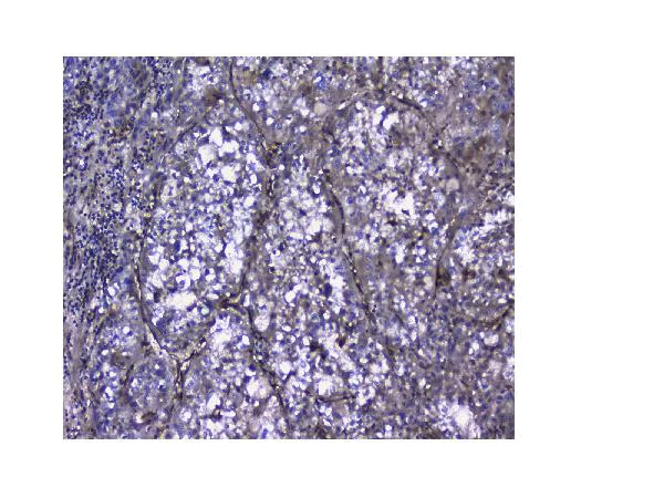
ab112525 staining Galectin 1 in gastric cancer tissue by Immunohistochemistry (Formalin/PFA-fixed paraffin-embedded sections).

Immunohistochemistry (Frozen sections) - Anti-Galectin 1 antibody (AB112525)
  • IHC-Fr

Unknown

Immunohistochemistry (Frozen sections) - Anti-Galectin 1 antibody (AB112525)

ab112525 (1 μg/mL) staining Galectin 1 in placenta tissue by Immunohistochemistry (Frozen sections)

Immunohistochemistry (Formalin/PFA-fixed paraffin-embedded sections) - Anti-Galectin 1 antibody (AB112525)
  • IHC-P

Unknown

Immunohistochemistry (Formalin/PFA-fixed paraffin-embedded sections) - Anti-Galectin 1 antibody (AB112525)

ab112525 staining Galectin 1 in tonsil tissue by Immunohistochemistry (Formalin/PFA-fixed paraffin-embedded sections).

Western blot - Anti-Galectin 1 antibody (AB112525)
  • WB

Supplier Data

Western blot - Anti-Galectin 1 antibody (AB112525)

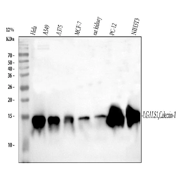
Electrophoresis was performed on a 5-20% SDS-PAGE gel at 70V (Stacking gel) / 90V (Resolving gel) for 2-3 hours. After electrophoresis, proteins were transferred to a nitrocellulose membrane at 150 mA for 50-90 minutes. Blocked the membrane with 5% non-fat milk/TBS for 1.5 hour at RT. The membrane was incubated with ab112525 at 0.5 µg/mL overnight at 4°C, then washed with TBS-0.1% Tween 3 times with 5 minutes each and probed with a goat anti-rabbit IgG-HRP secondary antibody at a dilution of 1/5000 for 1.5 hour at RT. The signal is developed using an Enhanced Chemiluminescent detection (ECL) kit with Tanon 5200 system. A specific band was detected for Galectin 1 at approximately 15 kDa. The expected band size for Galectin 1 is at 15 kDa.

All lanes:

Western blot - Anti-Galectin 1 antibody (ab112525) at 0.5 µg/mL

Lane 1:

human Hela whole cell lysates at 30 µg

Lane 2:

human A549 whole cell lysates at 30 µg

Lane 3:

human A375 whole cell lysates at 30 µg

Lane 4:

human MCF-7 whole cell lysates at 30 µg

Lane 5:

rat kidney tissue lysates at 30 µg

Lane 6:

rat PC-12 whole cell lysates at 30 µg

Lane 7:

mouse NIH/3T3 whole cell lysates at 30 µg

Secondary

All lanes:

goat anti-rabbit IgG-HRP at 1/5000 dilution

true

Key facts

Host species

Rabbit

Clonality

Polyclonal

Isotype

IgG

Carrier free

No

Reacts with

Mouse, Rat, Human

Applications

IHC-Fr, IHC-P, ICC, Flow Cyt, WB

applications

Immunogen

Synthetic Peptide within Human LGALS1. The exact immunogen used to generate this antibody is proprietary information.

P09382

Reactivity data

{ "title": "Reactivity Data", "filters": { "stats": ["", "Species", "Dilution Info", "Notes"], "tabs": { "all-applications": {"fullname" : "All Applications", "shortname": "All Applications"}, "WB" : {"fullname" : "Western blot", "shortname":"WB"}, "ICC" : {"fullname" : "Immunocytochemistry", "shortname":"ICC"}, "IHCP" : {"fullname" : "Immunohistochemistry (Formalin/PFA-fixed paraffin-embedded sections)", "shortname":"IHC-P"}, "IHCFr" : {"fullname" : "Immunohistochemistry (Frozen sections)", "shortname":"IHC-Fr"}, "FlowCyt" : {"fullname" : "Flow Cytometry", "shortname":"Flow Cyt"} }, "product-promise": { "all": "all", "testedAndGuaranteed": "tested", "guaranteed": "expected", "predicted": "predicted", "notRecommended": "not-recommended" } }, "values": { "Human": { "WB-species-checked": "testedAndGuaranteed", "WB-species-dilution-info": "0.1-0.5 µg/mL", "WB-species-notes": "<p>The detection limit for Galectin 1 is approximately 2.5ng/lane under non-reducing and reducing conditions.</p>", "ICC-species-checked": "testedAndGuaranteed", "ICC-species-dilution-info": "2 µg/mL", "ICC-species-notes": "<p></p>", "IHCP-species-checked": "testedAndGuaranteed", "IHCP-species-dilution-info": "0.5-1 µg/mL", "IHCP-species-notes": "<p></p>", "IHCFr-species-checked": "testedAndGuaranteed", "IHCFr-species-dilution-info": "0.5-1 µg/mL", "IHCFr-species-notes": "<p></p>", "FlowCyt-species-checked": "testedAndGuaranteed", "FlowCyt-species-dilution-info": "", "FlowCyt-species-notes": "<p></p>" }, "Mouse": { "WB-species-checked": "testedAndGuaranteed", "WB-species-dilution-info": "", "WB-species-notes": "<p></p>", "ICC-species-checked": "guaranteed", "ICC-species-dilution-info": "", "ICC-species-notes": "", "IHCP-species-checked": "guaranteed", "IHCP-species-dilution-info": "", "IHCP-species-notes": "", "IHCFr-species-checked": "guaranteed", "IHCFr-species-dilution-info": "", "IHCFr-species-notes": "", "FlowCyt-species-checked": "guaranteed", "FlowCyt-species-dilution-info": "", "FlowCyt-species-notes": "" }, "Rat": { "WB-species-checked": "testedAndGuaranteed", "WB-species-dilution-info": "", "WB-species-notes": "<p></p>", "ICC-species-checked": "guaranteed", "ICC-species-dilution-info": "", "ICC-species-notes": "", "IHCP-species-checked": "guaranteed", "IHCP-species-dilution-info": "", "IHCP-species-notes": "", "IHCFr-species-checked": "guaranteed", "IHCFr-species-dilution-info": "", "IHCFr-species-notes": "", "FlowCyt-species-checked": "guaranteed", "FlowCyt-species-dilution-info": "", "FlowCyt-species-notes": "" } } }

Properties and storage information

Form
Liquid
Purification technique
Affinity purification Protein A
Storage buffer
Preservative: 0.31% Thimerosal (merthiolate), 0.06% Sodium azide Constituents: 30.75% BSA, 5.54% Sodium chloride, 1.23% Disodium hydrogenorthophosphate
Shipped at conditions
Blue Ice
Appropriate short-term storage duration
1-2 weeks
Appropriate short-term storage conditions
+4°C
Appropriate long-term storage conditions
-20°C
Aliquoting information
Upon delivery aliquot

Supplementary information

This supplementary information is collated from multiple sources and compiled automatically.

Galectin-1 also referred to as GAL1 or galectin 1 is a protein with a molecular mass of approximately 14.5 kDa. It belongs to a group called the beta-galactoside-binding lectins and is typically characterized by its distinct carbohydrate-recognition domain. Galectin-1 is expressed in a variety of tissues including muscle epithelial cells the nervous system and immune cells. In particular high expression levels are found in the placenta and the thymus indicating a role in development and immune function.
Biological function summary

This protein mediates a variety of cellular processes such as cell differentiation apoptosis and immune cell modulation. As a monomer galectin-1 binds specifically to beta-galactoside residues on the cell surface. It plays a significant role in regulation of cell signaling circuits affecting T-cell activation as well as macrophage function. The Galectin-1 protein does not commonly form complexes but can influence interactions of other proteins by binding to glycoproteins on the cell surface which can modulate signaling outcomes.

Pathways

The protein is actively involved in pathways related to cell-cell interactions and immune modulation. It interacts with pathways like Ras signaling which is fundamental in cell growth proliferation and survival. Through these pathways galectin-1 is closely related to other proteins including Ras and Raf which are critical in transmitting signals from the cell surface to the DNA in the nucleus affecting gene expression involved in apoptosis and autophagy.

Galectin-1 association with cancer progression and autoimmune diseases reflects its role in immune system regulation. High galectin-1 levels have been recorded in various tumors where the protein promotes tumor progression by supporting angiogenesis and suppressing immune response against cancer cells. In autoimmune disorders such as multiple sclerosis modulation of Galectin-1 levels can alter disease progression and the immune system’s behavior. The protein interacts with other key regulators like cytokines emphasizing its importance in immune-inflammatory pathways and potential as a therapeutic target.

Product protocols

For this product, it's our understanding that no specific protocols are required. You can visit:

Target data

Lectin that binds beta-galactoside and a wide array of complex carbohydrates. Plays a role in regulating apoptosis, cell proliferation and cell differentiation. Inhibits CD45 protein phosphatase activity and therefore the dephosphorylation of Lyn kinase. Strong inducer of T-cell apoptosis. Plays a negative role in Th17 cell differentiation via activation of the receptor CD69 (PubMed : 24752896).
See full target information LGALS1

Publications (3)

Recent publications for all applications. Explore the full list and refine your search

Biomedicines 12: PubMed39062081

2024

Prognostic Influence of Galectin-1 in Gastric Adenocarcinoma.

Applications

Unspecified application

Species

Unspecified reactive species

Cristina Díaz Del Arco,Lourdes Estrada Muñoz,María de Los Ángeles Cerón Nieto,Elena Molina Roldán,María Jesús Fernández Aceñero,Soledad García Gómez de Las Heras

Aging 15:6503-6525 PubMed37433225

2023

Galectin-1-mediated MET/AXL signaling enhances sorafenib resistance in hepatocellular carcinoma by escaping ferroptosis.

Applications

Unspecified application

Species

Unspecified reactive species

Tung-Wei Hsu,Yen-Hao Su,Hsin-An Chen,Po-Hsiang Liao,Shih Chiang Shen,Kuei-Yen Tsai,Tzu-Hsuan Wang,Alvin Chen,Chih-Yang Huang,Marthandam Asokan Shibu,Wan-Yu Wang,Shing-Chuan Shen

American journal of physiology. Cell physiology 307:C266-77 PubMed24898587

2014

Chronic opioids regulate KATP channel subunit Kir6.2 and carbonic anhydrase I and II expression in rat adrenal chromaffin cells via HIF-2α and protein kinase A.

Applications

Unspecified application

Species

Unspecified reactive species

Shaima Salman,Alison C Holloway,Colin A Nurse
View all publications

Product promise

We are committed to supporting your work with high-quality reagents, and we're here for you every step of the way. In the unlikely event that one of our products does not perform as expected, you're protected by our Product Promise.
For full details, please see our Terms & Conditions

Please note: All products are 'FOR RESEARCH USE ONLY. NOT FOR USE IN DIAGNOSTIC OR THERAPEUTIC PROCEDURES'.

For licensing inquiries, please contact partnerships@abcam.com