JavaScript is disabled in your browser. Please enable JavaScript to view this website.
AB271876

Anti-Galectin 1 antibody [EPR3205] - BSA and Azide free

Be the first to review this product! Submit a review

|

(0 Publication)

Rabbit Recombinant Monoclonal Galectin 1 antibody. Carrier free. Suitable for IP, WB, IHC-P and reacts with Mouse, Rat, Human samples.

View Alternative Names

Galectin-1, Gal-1, 14 kDa laminin-binding protein, 14 kDa lectin, Beta-galactoside-binding lectin L-14-I, Galaptin, HBL, HPL, Lactose-binding lectin 1, Lectin galactoside-binding soluble 1, Putative MAPK-activating protein PM12, S-Lac lectin 1, HLBP14, LGALS1

3 Images
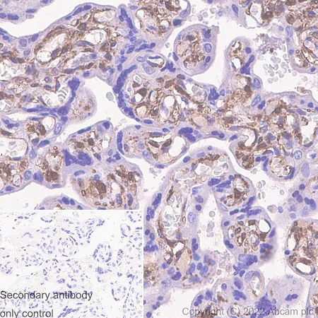
Immunohistochemistry (Formalin/PFA-fixed paraffin-embedded sections) - Anti-Galectin 1 antibody [EPR3205] - BSA and Azide free (AB271876)
  • IHC-P

Lab

Immunohistochemistry (Formalin/PFA-fixed paraffin-embedded sections) - Anti-Galectin 1 antibody [EPR3205] - BSA and Azide free (AB271876)

Immunohistochemical analysis of paraffin-embedded human placenta tissue labelling Galectin 1 with ab108389 at 1/3000 dilution (0.42 μg/ml) followed by a ready to use Rabbit specific IHC polymer detection kit HRP/DAB (ab209101) secondary antibody. Positive staining on vessels in human placenta tissue. The section was incubated with ab108389 for 30 mins at room temperature. The immunostaining was performed on a Leica Biosystems BOND® RX instrument. Counterstained with Hematoxylin.

Heat mediated antigen retrieval with Citrate buffer (pH 6.0, epitope retrieval solution1) for 20 mins.

This data was developed using the same antibody clone in a different buffer formulation containing PBS, BSA, glycerol, and sodium azide (ab108389).

Western blot - Anti-Galectin 1 antibody [EPR3205] - BSA and Azide free (AB271876)
  • WB

Unknown

Western blot - Anti-Galectin 1 antibody [EPR3205] - BSA and Azide free (AB271876)

This data was developed using the same antibody clone in a different buffer formulation containing PBS, BSA, glycerol, and sodium azide (ab108389).

All lanes:

Western blot - Anti-Galectin 1 antibody [EPR3205] (<a href='/en-us/products/primary-antibodies/galectin-1-antibody-epr3205-ab108389'>ab108389</a>) at 1/1000 dilution

Lane 1:

HL60 cell lysate at 10 µg

Lane 2:

K562 cell lysate at 10 µg

Predicted band size: 15 kDa

false

Western blot - Anti-Galectin 1 antibody [EPR3205] - BSA and Azide free (AB271876)
  • WB

Unknown

Western blot - Anti-Galectin 1 antibody [EPR3205] - BSA and Azide free (AB271876)

This data was developed using the same antibody clone in a different buffer formulation containing PBS, BSA, glycerol, and sodium azide (ab108389).

All lanes:

Western blot - Anti-Galectin 1 antibody [EPR3205] (<a href='/en-us/products/primary-antibodies/galectin-1-antibody-epr3205-ab108389'>ab108389</a>) at 1/1000 dilution

Lane 1:

mouse heart tissue lysate at 10 µg

Lane 2:

mouse kidney tissue lysate at 10 µg

Lane 3:

mouse spleen tissue lysate at 10 µg

Lane 4:

rat heart tissue lysate at 10 µg

Lane 5:

rat kidney tissue lysate at 10 µg

Lane 6:

NIH 3T3 cell lysate at 10 µg

Predicted band size: 15 kDa

false

  • Unconjugated

    Anti-Galectin 1 antibody [EPR3205]

  • 565 Alexa Fluor® 555

    Alexa Fluor® 555 Anti-Galectin 1 antibody [EPR3205]

  • 665 Alexa Fluor® 647

    Alexa Fluor® 647 Anti-Galectin 1 antibody [EPR3205]

  • 617 Alexa Fluor® 594

    Alexa Fluor® 594 Anti-Galectin 1 antibody [EPR3205]

  • 660 APC

    APC Anti-Galectin 1 antibody [EPR3205]

  • 578 PE

    PE Anti-Galectin 1 antibody [EPR3205]

  • 519 Alexa Fluor® 488

    Alexa Fluor® 488 Anti-Galectin 1 antibody [EPR3205]

  • 775 Alexa Fluor® 750

    Alexa Fluor® 750 Anti-Galectin 1 antibody [EPR3205]

  • HRP

    HRP Anti-Galectin 1 antibody [EPR3205]

  • Carrier free

    Anti-Galectin 1 antibody [EPR3205] - BSA and Azide free (Detector)

  • Carrier free

    Anti-Galectin 1 antibody [EPR3205] - Low endotoxin, Azide free

Key facts

Host species

Rabbit

Clonality

Monoclonal

Clone number

EPR3205

Isotype

IgG

Carrier free

Yes

Reacts with

Mouse, Rat, Human

Applications

IHC-P, WB, IP

applications

Immunogen

The exact immunogen used to generate this antibody is proprietary information.

Reactivity data

{ "title": "Reactivity Data", "filters": { "stats": ["", "Species", "Dilution Info", "Notes"], "tabs": { "all-applications": {"fullname" : "All Applications", "shortname": "All Applications"}, "IP" : {"fullname" : "Immunoprecipitation", "shortname":"IP"}, "FlowCyt" : {"fullname" : "Flow Cytometry", "shortname":"Flow Cyt"}, "WB" : {"fullname" : "Western blot", "shortname":"WB"}, "IHCP" : {"fullname" : "Immunohistochemistry (Formalin/PFA-fixed paraffin-embedded sections)", "shortname":"IHC-P"}, "ICCIF" : {"fullname" : "Immunocytochemistry/ Immunofluorescence", "shortname":"ICC/IF"} }, "product-promise": { "all": "all", "testedAndGuaranteed": "tested", "guaranteed": "expected", "predicted": "predicted", "notRecommended": "not-recommended" } }, "values": { "Human": { "IP-species-checked": "guaranteed", "IP-species-dilution-info": "", "IP-species-notes": "<p></p>", "FlowCyt-species-checked": "notRecommended", "FlowCyt-species-dilution-info": "", "FlowCyt-species-notes": "<p></p>", "WB-species-checked": "guaranteed", "WB-species-dilution-info": "", "WB-species-notes": "", "IHCP-species-checked": "testedAndGuaranteed", "IHCP-species-dilution-info": "", "IHCP-species-notes": "<p></p>", "ICCIF-species-checked": "notRecommended", "ICCIF-species-dilution-info": "", "ICCIF-species-notes": "<p></p>" }, "Mouse": { "IP-species-checked": "guaranteed", "IP-species-dilution-info": "", "IP-species-notes": "<p></p>", "FlowCyt-species-checked": "notRecommended", "FlowCyt-species-dilution-info": "", "FlowCyt-species-notes": "<p></p>", "WB-species-checked": "testedAndGuaranteed", "WB-species-dilution-info": "", "WB-species-notes": "<p></p>", "IHCP-species-checked": "guaranteed", "IHCP-species-dilution-info": "", "IHCP-species-notes": "", "ICCIF-species-checked": "notRecommended", "ICCIF-species-dilution-info": "", "ICCIF-species-notes": "<p></p>" }, "Rat": { "IP-species-checked": "guaranteed", "IP-species-dilution-info": "", "IP-species-notes": "<p></p>", "FlowCyt-species-checked": "notRecommended", "FlowCyt-species-dilution-info": "", "FlowCyt-species-notes": "<p></p>", "WB-species-checked": "predicted", "WB-species-dilution-info": "", "WB-species-notes": "", "IHCP-species-checked": "predicted", "IHCP-species-dilution-info": "", "IHCP-species-notes": "", "ICCIF-species-checked": "notRecommended", "ICCIF-species-dilution-info": "", "ICCIF-species-notes": "<p></p>" } } }

Product details

ab271876 is the carrier-free version of ab108389.

Patented technology
Our RabMAb® technology is a patented hybridoma-based technology for making rabbit monoclonal antibodies. For details on our patents, please refer to RabMAb® patents.

What are the advantages of a recombinant monoclonal antibody?
This product is a recombinant monoclonal antibody, which offers several advantages including:

  • - High batch-to-batch consistency and reproducibility
  • - Improved sensitivity and specificity
  • - Long-term security of supply
  • - Animal-free batch production

For more information, read more on recombinant antibodies.

Conjugation ready
Our carrier-free antibodies are typically supplied in a PBS-only formulation, purified and free of BSA, sodium azide and glycerol. This conjugation-ready format is designed for use with fluorochromes, metal isotopes, oligonucleotides, and enzymes, which makes them ideal for antibody labelling, functional and cell-based assays, flow-based assays (e.g. mass cytometry) and Multiplex Imaging applications.

Use our conjugation kits for antibody conjugates that are ready-to-use in as little as 20 minutes with 1 minute hands-on-time and 100% antibody recovery: available for fluorescent dyes, HRP, biotin and gold.

Compatibility
This product is compatible with the Maxpar® Antibody Labeling Kit from Fluidigm, without the need for antibody preparation. Maxpar® is a trademark of Fluidigm Canada Inc.

Properties and storage information

Form
Liquid
Purification technique
Affinity purification Protein A
Storage buffer
pH: 7.2 - 7.4 Constituents: PBS
Shipped at conditions
Blue Ice
Appropriate short-term storage conditions
+4°C
Appropriate long-term storage conditions
+4°C
Storage information
Do Not Freeze

Supplementary information

This supplementary information is collated from multiple sources and compiled automatically.

Galectin-1 also referred to as GAL1 or galectin 1 is a protein with a molecular mass of approximately 14.5 kDa. It belongs to a group called the beta-galactoside-binding lectins and is typically characterized by its distinct carbohydrate-recognition domain. Galectin-1 is expressed in a variety of tissues including muscle epithelial cells the nervous system and immune cells. In particular high expression levels are found in the placenta and the thymus indicating a role in development and immune function.
Biological function summary

This protein mediates a variety of cellular processes such as cell differentiation apoptosis and immune cell modulation. As a monomer galectin-1 binds specifically to beta-galactoside residues on the cell surface. It plays a significant role in regulation of cell signaling circuits affecting T-cell activation as well as macrophage function. The Galectin-1 protein does not commonly form complexes but can influence interactions of other proteins by binding to glycoproteins on the cell surface which can modulate signaling outcomes.

Pathways

The protein is actively involved in pathways related to cell-cell interactions and immune modulation. It interacts with pathways like Ras signaling which is fundamental in cell growth proliferation and survival. Through these pathways galectin-1 is closely related to other proteins including Ras and Raf which are critical in transmitting signals from the cell surface to the DNA in the nucleus affecting gene expression involved in apoptosis and autophagy.

Galectin-1 association with cancer progression and autoimmune diseases reflects its role in immune system regulation. High galectin-1 levels have been recorded in various tumors where the protein promotes tumor progression by supporting angiogenesis and suppressing immune response against cancer cells. In autoimmune disorders such as multiple sclerosis modulation of Galectin-1 levels can alter disease progression and the immune system’s behavior. The protein interacts with other key regulators like cytokines emphasizing its importance in immune-inflammatory pathways and potential as a therapeutic target.

Product protocols

For this product, it's our understanding that no specific protocols are required. You can visit:

Target data

Lectin that binds beta-galactoside and a wide array of complex carbohydrates. Plays a role in regulating apoptosis, cell proliferation and cell differentiation. Inhibits CD45 protein phosphatase activity and therefore the dephosphorylation of Lyn kinase. Strong inducer of T-cell apoptosis. Plays a negative role in Th17 cell differentiation via activation of the receptor CD69 (PubMed : 24752896).
See full target information LGALS1

Product promise

We are committed to supporting your work with high-quality reagents, and we're here for you every step of the way. In the unlikely event that one of our products does not perform as expected, you're protected by our Product Promise.
For full details, please see our Terms & Conditions

Please note: All products are 'FOR RESEARCH USE ONLY. NOT FOR USE IN DIAGNOSTIC OR THERAPEUTIC PROCEDURES'.

For licensing inquiries, please contact partnerships@abcam.com