JavaScript is disabled in your browser. Please enable JavaScript to view this website.
AB192842

Anti-Galectin 1 antibody [SP247] - C-terminal

Be the first to review this product! Submit a review

|

(1 Publication)

Rabbit Recombinant Monoclonal Galectin 1 antibody. C-terminal. Suitable for WB, IHC-P, IHC-Fr, Flow Cyt (Intra) and reacts with Mouse, Human samples. Cited in 1 publication.

View Alternative Names

Galectin-1, Gal-1, 14 kDa laminin-binding protein, 14 kDa lectin, Beta-galactoside-binding lectin L-14-I, Galaptin, HBL, HPL, Lactose-binding lectin 1, Lectin galactoside-binding soluble 1, Putative MAPK-activating protein PM12, S-Lac lectin 1, HLBP14, LGALS1

5 Images
Flow Cytometry (Intracellular) - Anti-Galectin 1 antibody [SP247] - C-terminal (AB192842)
  • Flow Cyt (Intra)

Supplier Data

Flow Cytometry (Intracellular) - Anti-Galectin 1 antibody [SP247] - C-terminal (AB192842)

Intracellular flow cytometric analysis ofHL-60 (Human promyelocytic leukemia cell line) cells labeling Galectin 1 with ab192842 at 1/100 dilution (green) compared to a negative control of rabbit IgG (blue).

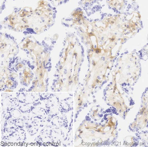
Immunohistochemistry (Frozen sections) - Anti-Galectin 1 antibody [SP247] - C-terminal (AB192842)
  • IHC-Fr

Lab

Immunohistochemistry (Frozen sections) - Anti-Galectin 1 antibody [SP247] - C-terminal (AB192842)

IHC image of Galectin 1 staining in a section of frozen normal human placenta* performed on a Leica BOND™ system using the standard protocol. The section was fixed in 10% paraformaldehyde (10 min) prior to staining. The section was incubated with ab192842, 10ugml, for 15 mins at room temperature and detected using an HRP conjugated compact polymer system. DAB was used as the chromogen. The section was then counterstained with haematoxylin and mounted with DPX. The inset secondary-only control image is taken from an identical assay without primary antibody.

For other IHC staining systems (automated and non-automated) customers should optimize variable parameters such as antigen retrieval conditions, primary antibody concentration and antibody incubation times.

*Tissue obtained from the Human Research Tissue Bank, supported by the NIHR Cambridge Biomedical Research Centre

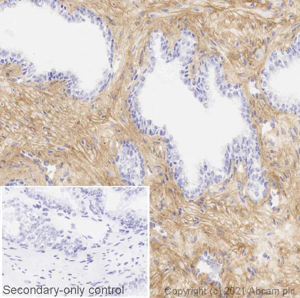
Immunohistochemistry (Frozen sections) - Anti-Galectin 1 antibody [SP247] - C-terminal (AB192842)
  • IHC-Fr

Lab

Immunohistochemistry (Frozen sections) - Anti-Galectin 1 antibody [SP247] - C-terminal (AB192842)

IHC image of Galectin 1 staining in a section of frozen normal human prostate carcinoma* performed on a Leica BOND™ system using the standard protocol. The section was fixed in 10% paraformaldehyde (10 min) prior to staining. The section was incubated with ab192842, 10ugml, for 15 mins at room temperature and detected using an HRP conjugated compact polymer system. DAB was used as the chromogen. The section was then counterstained with haematoxylin and mounted with DPX. The inset secondary-only control image is taken from an identical assay without primary antibody.

For other IHC staining systems (automated and non-automated) customers should optimize variable parameters such as antigen retrieval conditions, primary antibody concentration and antibody incubation times.

*Tissue obtained from the Human Research Tissue Bank, supported by the NIHR Cambridge Biomedical Research Centre

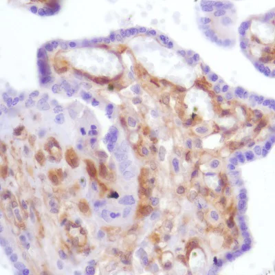
Immunohistochemistry (Formalin/PFA-fixed paraffin-embedded sections) - Anti-Galectin 1 antibody [SP247] - C-terminal (AB192842)
  • IHC-P

Supplier Data

Immunohistochemistry (Formalin/PFA-fixed paraffin-embedded sections) - Anti-Galectin 1 antibody [SP247] - C-terminal (AB192842)

Formalin-fixed, paraffin-embedded human placenta tissue stained for Galectin 1 using ab192842 at 1/100 dilution in immunohistochemical analysis.

Western blot - Anti-Galectin 1 antibody [SP247] - C-terminal (AB192842)
  • WB

Supplier Data

Western blot - Anti-Galectin 1 antibody [SP247] - C-terminal (AB192842)

All lanes:

Western blot - Anti-Galectin 1 antibody [SP247] - C-terminal (ab192842) at 1/100 dilution

All lanes:

NIH/3T3 (Mouse embryo fibroblast cell line) cell lysate

Predicted band size: 15 kDa

false

  • Carrier free

    Anti-Galectin 1 antibody [SP247] - BSA and Azide free

Key facts

Host species

Rabbit

Clonality

Monoclonal

Clone number

SP247

Isotype

IgG

Carrier free

No

Reacts with

Mouse, Human

Applications

WB, Flow Cyt (Intra), IHC-Fr, IHC-P

applications

Immunogen

The exact immunogen used to generate this antibody is proprietary information.

Reactivity data

{ "title": "Reactivity Data", "filters": { "stats": ["", "Species", "Dilution Info", "Notes"], "tabs": { "all-applications": {"fullname" : "All Applications", "shortname": "All Applications"}, "WB" : {"fullname" : "Western blot", "shortname":"WB"}, "IHCP" : {"fullname" : "Immunohistochemistry (Formalin/PFA-fixed paraffin-embedded sections)", "shortname":"IHC-P"}, "IHCFr" : {"fullname" : "Immunohistochemistry (Frozen sections)", "shortname":"IHC-Fr"}, "FlowCytIntra" : {"fullname" : "Flow Cytometry (Intracellular)", "shortname":"Flow Cyt (Intra)"} }, "product-promise": { "all": "all", "testedAndGuaranteed": "tested", "guaranteed": "expected", "predicted": "predicted", "notRecommended": "not-recommended" } }, "values": { "Human": { "WB-species-checked": "guaranteed", "WB-species-dilution-info": "", "WB-species-notes": "", "IHCP-species-checked": "testedAndGuaranteed", "IHCP-species-dilution-info": "1/100", "IHCP-species-notes": "<p>Perform heat mediated antigen retrieval by boiling tissue section in EDTA buffer pH 8.0 for 10 minutes followed by cooling at room temperature for 20 minutes.</p><p>Primary antibody incubation for 10 minutes at room temperature.</p>", "IHCFr-species-checked": "testedAndGuaranteed", "IHCFr-species-dilution-info": "10 µg/mL", "IHCFr-species-notes": "<p></p>", "FlowCytIntra-species-checked": "testedAndGuaranteed", "FlowCytIntra-species-dilution-info": "1/100", "FlowCytIntra-species-notes": "<p>Primary antibody incubation for 30 minutes at 4°C.</p>" }, "Mouse": { "WB-species-checked": "testedAndGuaranteed", "WB-species-dilution-info": "1/100", "WB-species-notes": "<p>Primary antibody incubation for 1 hour at room temperature.</p>", "IHCP-species-checked": "guaranteed", "IHCP-species-dilution-info": "", "IHCP-species-notes": "", "IHCFr-species-checked": "guaranteed", "IHCFr-species-dilution-info": "", "IHCFr-species-notes": "", "FlowCytIntra-species-checked": "guaranteed", "FlowCytIntra-species-dilution-info": "", "FlowCytIntra-species-notes": "" }, "Rat": { "WB-species-checked": "predicted", "WB-species-dilution-info": "", "WB-species-notes": "", "IHCP-species-checked": "predicted", "IHCP-species-dilution-info": "", "IHCP-species-notes": "", "IHCFr-species-checked": "predicted", "IHCFr-species-dilution-info": "", "IHCFr-species-notes": "", "FlowCytIntra-species-checked": "predicted", "FlowCytIntra-species-dilution-info": "", "FlowCytIntra-species-notes": "" }, "Cow": { "WB-species-checked": "predicted", "WB-species-dilution-info": "", "WB-species-notes": "", "IHCP-species-checked": "predicted", "IHCP-species-dilution-info": "", "IHCP-species-notes": "", "IHCFr-species-checked": "predicted", "IHCFr-species-dilution-info": "", "IHCFr-species-notes": "", "FlowCytIntra-species-checked": "predicted", "FlowCytIntra-species-dilution-info": "", "FlowCytIntra-species-notes": "" }, "Pig": { "WB-species-checked": "predicted", "WB-species-dilution-info": "", "WB-species-notes": "", "IHCP-species-checked": "predicted", "IHCP-species-dilution-info": "", "IHCP-species-notes": "", "IHCFr-species-checked": "predicted", "IHCFr-species-dilution-info": "", "IHCFr-species-notes": "", "FlowCytIntra-species-checked": "predicted", "FlowCytIntra-species-dilution-info": "", "FlowCytIntra-species-notes": "" } } }

Properties and storage information

Form
Liquid
Purification technique
Affinity purification Protein A
Purification notes
Purified from TCS by protein A/G.
Storage buffer
pH: 7.2 - 7.4 Preservative: 0.1% Sodium azide Constituents: PBS, 1% BSA
Shipped at conditions
Blue Ice
Appropriate short-term storage duration
1-2 weeks
Appropriate short-term storage conditions
+4°C
Appropriate long-term storage conditions
-20°C
Aliquoting information
Upon delivery aliquot
Storage information
Avoid freeze / thaw cycle

Supplementary information

This supplementary information is collated from multiple sources and compiled automatically.

Galectin-1 also referred to as GAL1 or galectin 1 is a protein with a molecular mass of approximately 14.5 kDa. It belongs to a group called the beta-galactoside-binding lectins and is typically characterized by its distinct carbohydrate-recognition domain. Galectin-1 is expressed in a variety of tissues including muscle epithelial cells the nervous system and immune cells. In particular high expression levels are found in the placenta and the thymus indicating a role in development and immune function.
Biological function summary

This protein mediates a variety of cellular processes such as cell differentiation apoptosis and immune cell modulation. As a monomer galectin-1 binds specifically to beta-galactoside residues on the cell surface. It plays a significant role in regulation of cell signaling circuits affecting T-cell activation as well as macrophage function. The Galectin-1 protein does not commonly form complexes but can influence interactions of other proteins by binding to glycoproteins on the cell surface which can modulate signaling outcomes.

Pathways

The protein is actively involved in pathways related to cell-cell interactions and immune modulation. It interacts with pathways like Ras signaling which is fundamental in cell growth proliferation and survival. Through these pathways galectin-1 is closely related to other proteins including Ras and Raf which are critical in transmitting signals from the cell surface to the DNA in the nucleus affecting gene expression involved in apoptosis and autophagy.

Galectin-1 association with cancer progression and autoimmune diseases reflects its role in immune system regulation. High galectin-1 levels have been recorded in various tumors where the protein promotes tumor progression by supporting angiogenesis and suppressing immune response against cancer cells. In autoimmune disorders such as multiple sclerosis modulation of Galectin-1 levels can alter disease progression and the immune system’s behavior. The protein interacts with other key regulators like cytokines emphasizing its importance in immune-inflammatory pathways and potential as a therapeutic target.

Product protocols

For this product, it's our understanding that no specific protocols are required. You can visit:

Target data

Lectin that binds beta-galactoside and a wide array of complex carbohydrates. Plays a role in regulating apoptosis, cell proliferation and cell differentiation. Inhibits CD45 protein phosphatase activity and therefore the dephosphorylation of Lyn kinase. Strong inducer of T-cell apoptosis. Plays a negative role in Th17 cell differentiation via activation of the receptor CD69 (PubMed : 24752896).
See full target information LGALS1

Publications (1)

Recent publications for all applications. Explore the full list and refine your search

International journal of molecular sciences 25: PubMed39337395

2024

Metabolomics-Based Study of the Protective Effect of 4-Hydroxybenzyl Alcohol on Ischemic Astrocytes.

Applications

Unspecified application

Species

Unspecified reactive species

Tian Xiao,Xingzhi Yu,Jie Tao,Liping Yang,Xiaohua Duan
View all publications

Product promise

We are committed to supporting your work with high-quality reagents, and we're here for you every step of the way. In the unlikely event that one of our products does not perform as expected, you're protected by our Product Promise.
For full details, please see our Terms & Conditions

Please note: All products are 'FOR RESEARCH USE ONLY. NOT FOR USE IN DIAGNOSTIC OR THERAPEUTIC PROCEDURES'.

For licensing inquiries, please contact partnerships@abcam.com