JavaScript is disabled in your browser. Please enable JavaScript to view this website.
AB157475

Anti-Galectin 10 antibody [EPR11197]

Be the first to review this product! Submit a review

|

(7 Publications)

Rabbit Recombinant Monoclonal Galectin 10 antibody. Suitable for WB, IHC-P, ICC/IF and reacts with Human samples. Cited in 7 publications.

View Alternative Names

LGALS10, LGALS10A, CLC, Galectin-10, Gal-10, Charcot-Leyden crystal protein, Eosinophil lysophospholipase, Lysolecithin acylhydrolase

4 Images
Immunohistochemistry (Formalin/PFA-fixed paraffin-embedded sections) - Anti-Galectin 10 antibody [EPR11197] (AB157475)
  • IHC-P

Lab

Immunohistochemistry (Formalin/PFA-fixed paraffin-embedded sections) - Anti-Galectin 10 antibody [EPR11197] (AB157475)

Immunohistochemical analysis of paraffin-embedded human tonsil tissue labelling Galectin 10 with ab157475 at 1/40000 dilution, followed by ready to use Rabbit specific IHC polymer detection kit HRP/DAB (ab209101). Positive staining on stromal cells of human tonsil. is observed. Counter stained with Hematoxylin.

Secondary antibody only control : Used PBS instead of primary antibody, secondary antibody is ready to use Rabbit specific IHC polymer detection kit HRP/DAB (ab209101).

Heat mediated antigen retrieval was performed with Tris-EDTA buffer (pH 9.0, Epitope Retrieval Solution2) for 20 mins.

The section was incubated with ab157475 for 30 mins at room temperature. The immunostaining staining was performed on a Leica Biosystems BOND® RX instrument.

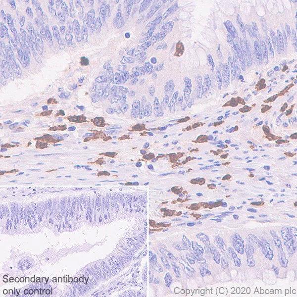
Immunohistochemistry (Formalin/PFA-fixed paraffin-embedded sections) - Anti-Galectin 10 antibody [EPR11197] (AB157475)
  • IHC-P

Lab

Immunohistochemistry (Formalin/PFA-fixed paraffin-embedded sections) - Anti-Galectin 10 antibody [EPR11197] (AB157475)

Immunohistochemical analysis of paraffin-embedded human colon carcinoma tissue labelling Galectin 10 with ab157475 at 1/40000 dilution, followed by ready to use Rabbit specific IHC polymer detection kit HRP/DAB (ab209101). Positive staining on stromal cells of human colon carcinoma is observed. Counter stained with Hematoxylin.

Secondary antibody only control : Used PBS instead of primary antibody, secondary antibody is ready to use Rabbit specific IHC polymer detection kit HRP/DAB (ab209101).

Heat mediated antigen retrieval was performed with Tris-EDTA buffer (pH 9.0, Epitope Retrieval Solution2) for 20 mins.

The section was incubated with ab157475 for 30 mins at room temperature. The immunostaining staining was performed on a Leica Biosystems BOND® RX instrument.

Immunocytochemistry/ Immunofluorescence - Anti-Galectin 10 antibody [EPR11197] (AB157475)
  • ICC/IF

Unknown

Immunocytochemistry/ Immunofluorescence - Anti-Galectin 10 antibody [EPR11197] (AB157475)

Immunofluorescent analysis of THP-1 cells labeling Galectin 10 with ab157475 at 1/100 dilution.

Western blot - Anti-Galectin 10 antibody [EPR11197] (AB157475)
  • WB

Unknown

Western blot - Anti-Galectin 10 antibody [EPR11197] (AB157475)

All lanes:

Western blot - Anti-Galectin 10 antibody [EPR11197] (ab157475) at 1/10000 dilution

Lane 1:

Human spleen lysate at 10 µg

Lane 2:

Human bone marrow lysate at 10 µg

Lane 3:

Human tonsil lysate at 10 µg

Lane 4:

THP-1 cell lysate at 10 µg

Secondary

All lanes:

HRP labelled goat anti-rabbit at 1/2000 dilution

Predicted band size: 16 kDa

false

Key facts

Host species

Rabbit

Clonality

Monoclonal

Clone number

EPR11197

Isotype

IgG

Carrier free

No

Reacts with

Human

Applications

WB, ICC/IF, IHC-P

applications

Immunogen

The exact immunogen used to generate this antibody is proprietary information.

Reactivity data

{ "title": "Reactivity Data", "filters": { "stats": ["", "Species", "Dilution Info", "Notes"], "tabs": { "all-applications": {"fullname" : "All Applications", "shortname": "All Applications"}, "IP" : {"fullname" : "Immunoprecipitation", "shortname":"IP"}, "WB" : {"fullname" : "Western blot", "shortname":"WB"}, "IHCP" : {"fullname" : "Immunohistochemistry (Formalin/PFA-fixed paraffin-embedded sections)", "shortname":"IHC-P"}, "ICCIF" : {"fullname" : "Immunocytochemistry/ Immunofluorescence", "shortname":"ICC/IF"} }, "product-promise": { "all": "all", "testedAndGuaranteed": "tested", "guaranteed": "expected", "predicted": "predicted", "notRecommended": "not-recommended" } }, "values": { "Human": { "IP-species-checked": "notRecommended", "IP-species-dilution-info": "", "IP-species-notes": "<p></p>", "WB-species-checked": "testedAndGuaranteed", "WB-species-dilution-info": "1/10000 - 1/50000", "WB-species-notes": "<p></p>", "IHCP-species-checked": "testedAndGuaranteed", "IHCP-species-dilution-info": "", "IHCP-species-notes": "<p></p>", "ICCIF-species-checked": "testedAndGuaranteed", "ICCIF-species-dilution-info": "1/100 - 1/250", "ICCIF-species-notes": "<p></p>" } } }

Product details

Species reactivity
Mouse, Rat: We have preliminary internal testing data to indicate this antibody may not react with these species.
Please contact us for more information.

Patented technology
Our RabMAb® technology is a patented hybridoma-based technology for making rabbit monoclonal antibodies. For details on our patents, please refer to RabMAb® patents.

What are the advantages of a recombinant monoclonal antibody?
This product is a recombinant monoclonal antibody, which offers several advantages including:

  • - High batch-to-batch consistency and reproducibility
  • - Improved sensitivity and specificity
  • - Long-term security of supply
  • - Animal-free batch production

For more information, read more on recombinant antibodies.

Properties and storage information

Form
Liquid
Purity
Tissue culture supernatant
Storage buffer
pH: 7.2 - 7.4 Preservative: 0.01% Sodium azide Constituents: PBS, 50% Tissue culture supernatant, 40% Glycerol (glycerin, glycerine), 0.05% BSA
Shipped at conditions
Blue Ice
Appropriate short-term storage conditions
+4°C
Appropriate long-term storage conditions
-20°C

Supplementary information

This supplementary information is collated from multiple sources and compiled automatically.

Galectin-10 also known as Charcot-Leyden crystal protein is part of the galectin family of proteins. It functions by binding to carbohydrates due to its unique lectin properties. With a molecular mass of approximately 16.5 kDa this protein is mainly expressed in eosinophils and basophils cells that are significant in the immune system. Galectin-10 is secreted by these cells and also stored in their granules suggesting its importance in immune responses.
Biological function summary

Galectin-10 influences cellular processes like apoptosis cell adhesion and immune cell migration contributing to immune regulation. It is not well known to form part of large complexes but its release has implications on cell signaling and tissue remodeling. The presence of galectin-10 in eosinophils suggests a role in inflammation given their involvement in allergic responses and asthma.

Pathways

Studies associate galectin-10 with the allergy response and eosinophil apoptosis pathways. This protein cooperates with other galectin family members like galectin-3 in modulating cellular responses. Signaling interactions of galectin-10 impact pathways involving cell survival and death highlighting its role in immune system dynamics.

Researchers link galectin-10 to conditions such as asthma and eosinophilic disorders. Eosinophil activity in these diseases often correlates with elevated galectin-10 levels in tissues and bloodstream. Connections exist between galectin-10 and other inflammation-related proteins like interleukins influencing disease progression and severity through their regulatory roles in immune responses.

Product protocols

For this product, it's our understanding that no specific protocols are required. You can visit:

Target data

Regulates immune responses through the recognition of cell-surface glycans. Essential for the anergy and suppressive function of CD25-positive regulatory T-cells (Treg).
See full target information CLC

Publications (7)

Recent publications for all applications. Explore the full list and refine your search

Critical reviews in immunology 45:67-78 PubMed40921147

2025

Galectin-10 Silencing Reduces Eosinophilic Inflammation in Chronic Rhinosinusitis with Nasal Polyps by Inhibiting the p38/MAPK/NF-κB Pathway.

Applications

Unspecified application

Species

Unspecified reactive species

Chunhua Li,HongBing Liu

Acta medica Lituanica 32:78-91 PubMed40641544

2025

Galectin-10 Characterization in Cleft Lip Palate - Affected Palatal Tissue.

Applications

Unspecified application

Species

Unspecified reactive species

Alise Elizabete Rone,Mara Pilmane

Journal of personalized medicine 14: PubMed39338219

2024

Characterization of Tissue Immunity Defense Factors of the Lip in Primary Dentition Children with Bilateral Cleft Lip Palate.

Applications

Unspecified application

Species

Unspecified reactive species

Laura Ozola,Mara Pilmane

Acta dermato-venereologica 104:adv35401 PubMed38348729

2024

Lesional Infiltration of Eosinophils, Basophils, and M2 Macrophages Expressing Eotaxin-1 and Eotaxin-3 in Granuloma Faciale, but not in Erythema Elevatum Diutinum.

Applications

Unspecified application

Species

Unspecified reactive species

Nozomi Akai,Takashi Hashimoto,Manami Okuzawa,Satoshi Okuno,Takahiro Satoh

Mediators of inflammation 2023:8052579 PubMed37448887

2023

LINC00174 Promotes Colon Cancer Progression by Regulating Inflammation and Glycolysis by Targeting the MicroRNA-2467-3p/Enolase 3 Axis.

Applications

Unspecified application

Species

Unspecified reactive species

Sheng Xu,Jiawei Lin,Rong Chen,Junjie Xie,Enquan Yuan,Fajie Cen,Fanbiao Kong

Biomolecules 12: PubMed36551191

2022

-GlcNAc-Mediated Regulation of Galectin Expression and Secretion in Human Promyelocytic HL-60 Cells Undergoing Neutrophilic Differentiation.

Applications

Unspecified application

Species

Unspecified reactive species

Adam McTague,Rada Tazhitdinova,Alexander V Timoshenko

The Journal of allergy and clinical immunology 146:337-343.e6 PubMed32417132

2020

Type 2 inflammation in chronic rhinosinusitis without nasal polyps: Another relevant endotype.

Applications

Unspecified application

Species

Unspecified reactive species

Tim Delemarre,Gabriele Holtappels,Natalie De Ruyck,Nan Zhang,Hans Nauwynck,Claus Bachert,Elien Gevaert
View all publications

Product promise

We are committed to supporting your work with high-quality reagents, and we're here for you every step of the way. In the unlikely event that one of our products does not perform as expected, you're protected by our Product Promise.
For full details, please see our Terms & Conditions

Please note: All products are 'FOR RESEARCH USE ONLY. NOT FOR USE IN DIAGNOSTIC OR THERAPEUTIC PROCEDURES'.

For licensing inquiries, please contact partnerships@abcam.com