JavaScript is disabled in your browser. Please enable JavaScript to view this website.
AB272716

Anti-Galectin 13/PLAC8 + Galectin-16 antibody [EPR23383-89]

Be the first to review this product! Submit a review

|

(0 Publication)

Rabbit Recombinant Monoclonal LEG16 antibody. Suitable for IP, WB, IHC-P and reacts with Human, Recombinant fragment - Human samples.

View Alternative Names

Galectin-16, LGALS16

4 Images
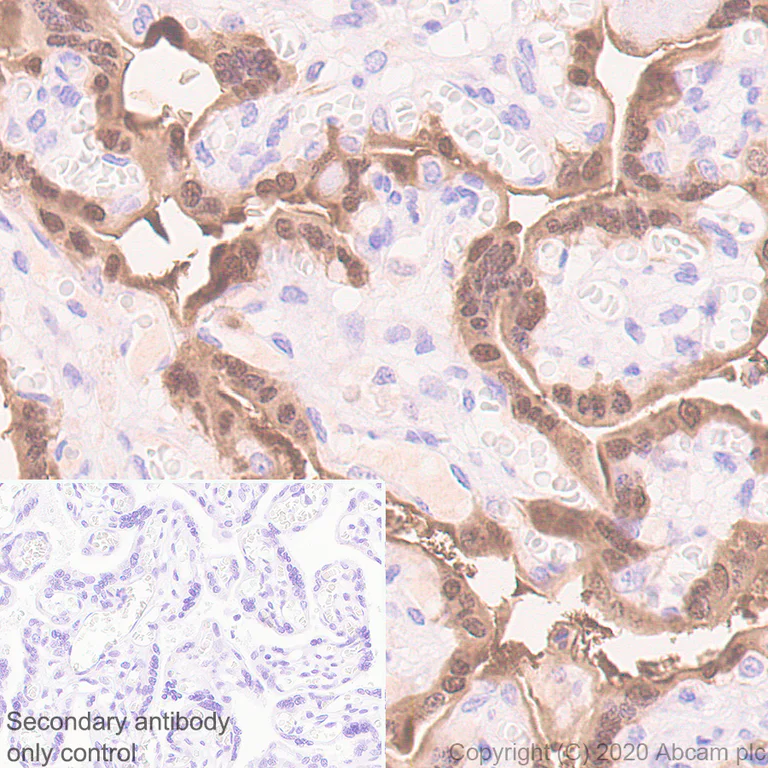
Immunohistochemistry (Formalin/PFA-fixed paraffin-embedded sections) - Anti-Galectin 13/PLAC8 + Galectin-16 antibody [EPR23383-89] (AB272716)
  • IHC-P

Unknown

Immunohistochemistry (Formalin/PFA-fixed paraffin-embedded sections) - Anti-Galectin 13/PLAC8 + Galectin-16 antibody [EPR23383-89] (AB272716)

Immunohistochemical analysis of paraffin-embedded human placenta tissue labeling Galectin 13+Galectin 16 with ab272716 at 1/2000 dilution followed by ready to use Rabbit specific IHC polymer detection kit HRP/DAB (ab209101). Positive staining on human placenta (PMID : 25191322). The section was incubated with ab272716 for 30 mins at room temperature. The immunostaining was performed on a Leica Biosystems BOND® RX instrument. Counterstained with Hematoxylin.

Secondary antibody only control : Secondary antibody is ready to use Rabbit specific IHC polymer detection kit HRP/DAB (ab209101).

Heat mediated antigen retrieval with Tris-EDTA buffer (pH 9.0, epitope retrieval solution2) for 20 mins.

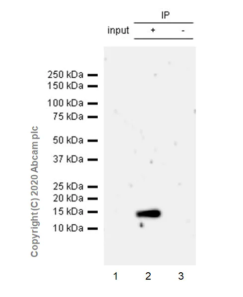
Immunoprecipitation - Anti-Galectin 13/PLAC8 + Galectin-16 antibody [EPR23383-89] (AB272716)
  • IP

Unknown

Immunoprecipitation - Anti-Galectin 13/PLAC8 + Galectin-16 antibody [EPR23383-89] (AB272716)

Galectin 13+Galectin 16 was immunoprecipitated from 0.35 mg human placenta tissue lysate with ab272716 at 1/30 dilution (2μg in 0.35mg lysates). Western blot was performed on the immunoprecipitate using ab272716 at 1/1000 dilution. VeriBlot for IP Detection Reagent (HRP)(ab131366) was used at 1/1000 dilution.

Lane 1 : Human placenta tissue lysate 10μg

Lane 2 : ab272716 IP in human placenta tissue lysate

Lane 3 : Rabbit monoclonal IgG (ab172730) instead of ab272716 in human placenta tissue lysate

Blocking and dilution buffer and concentration : 5% NFDM/TBST.

Exposure time : 3 minutes.

All lanes:

Immunoprecipitation - Anti-Galectin 13/PLAC8 + Galectin-16 antibody [EPR23383-89] (ab272716)

Observed band size: 15 kDa

false

Western blot - Anti-Galectin 13/PLAC8 + Galectin-16 antibody [EPR23383-89] (AB272716)
  • WB

Lab

Western blot - Anti-Galectin 13/PLAC8 + Galectin-16 antibody [EPR23383-89] (AB272716)

Blocking and diluting buffer and concentration : 5% NFDM/TBST.

This product has cross reaction with Galectin 16.

Sample loaded onto lane 2 was extract of HEK293 expressing Galectin 16, which contains a lif tag (40 kDa).

Exposure time : 70 seconds.

All lanes:

Western blot - Anti-Galectin 13/PLAC8 + Galectin-16 antibody [EPR23383-89] (ab272716) at 1/1000 dilution

Lane 1:

His-tagged human Galectin 13/PLAC8 recombinant protein (aa 1-139, <a href='/en-us/products/proteins-peptides/recombinant-human-galectin-13-plac8-protein-ab124309'>ab124309</a>), 20 ng

Lane 2:

His-lif tagged human Galectin 16 recombinant protein (aa 1-141) 5 μL

Secondary

All lanes:

Western blot - Goat Anti-Rabbit IgG H&L (HRP) (<a href='/en-us/products/secondary-antibodies/goat-rabbit-igg-h-l-hrp-ab97051'>ab97051</a>) at 1/100000 dilution

Observed band size: 15 kDa,55 kDa

false

Western blot - Anti-Galectin 13/PLAC8 + Galectin-16 antibody [EPR23383-89] (AB272716)
  • WB

Lab

Western blot - Anti-Galectin 13/PLAC8 + Galectin-16 antibody [EPR23383-89] (AB272716)

Blocking and diluting buffer and concentration : 5% NFDM/TBST.

The expression profile observed is consistent with what has been described in the literature (PMID : 10527825, 19497882).

Negative control : Human skeletal muscle (PMID : 10527825).

This blot was developed using a higher sensitivity ECL substrate.

Exposure time : 3 minutes.

All lanes:

Western blot - Anti-Galectin 13/PLAC8 + Galectin-16 antibody [EPR23383-89] (ab272716) at 1/1000 dilution

Lane 1:

Human placenta tissue lysate at 20 µg

Lane 2:

Human skeletal muscle tissue lysate at 20 µg

Secondary

All lanes:

VeriBlot for IP secondary antibody(HRP)(<a href='/en-us/products/reagents/veriblot-for-ip-detection-reagent-hrp-ab131366'>ab131366</a>) at 1/1000 dilution

Observed band size: 15 kDa

false

  • Carrier free

    Anti-Galectin 13/PLAC8 + Galectin-16 antibody [EPR23383-89] - BSA and Azide free

Key facts

Host species

Rabbit

Clonality

Monoclonal

Clone number

EPR23383-89

Isotype

IgG

Carrier free

No

Reacts with

Human

Applications

IHC-P, WB, IP

applications

Immunogen

The exact immunogen used to generate this antibody is proprietary information.

Reactivity data

{ "title": "Reactivity Data", "filters": { "stats": ["", "Species", "Dilution Info", "Notes"], "tabs": { "all-applications": {"fullname" : "All Applications", "shortname": "All Applications"}, "IP" : {"fullname" : "Immunoprecipitation", "shortname":"IP"}, "WB" : {"fullname" : "Western blot", "shortname":"WB"}, "IHCP" : {"fullname" : "Immunohistochemistry (Formalin/PFA-fixed paraffin-embedded sections)", "shortname":"IHC-P"} }, "product-promise": { "all": "all", "testedAndGuaranteed": "tested", "guaranteed": "expected", "predicted": "predicted", "notRecommended": "not-recommended" } }, "values": { "Human": { "IP-species-checked": "testedAndGuaranteed", "IP-species-dilution-info": "1/30", "IP-species-notes": "<p></p>", "WB-species-checked": "testedAndGuaranteed", "WB-species-dilution-info": "1/1000", "WB-species-notes": "<p></p>", "IHCP-species-checked": "testedAndGuaranteed", "IHCP-species-dilution-info": "1/2000", "IHCP-species-notes": "<p></p>" }, "Mouse": { "IP-species-checked": "notRecommended", "IP-species-dilution-info": "", "IP-species-notes": "", "WB-species-checked": "notRecommended", "WB-species-dilution-info": "1/1000", "WB-species-notes": "<p></p>", "IHCP-species-checked": "notRecommended", "IHCP-species-dilution-info": "1/2000", "IHCP-species-notes": "<p></p>" }, "Rat": { "IP-species-checked": "notRecommended", "IP-species-dilution-info": "", "IP-species-notes": "", "WB-species-checked": "notRecommended", "WB-species-dilution-info": "1/1000", "WB-species-notes": "<p></p>", "IHCP-species-checked": "notRecommended", "IHCP-species-dilution-info": "1/2000", "IHCP-species-notes": "<p></p>" }, "Recombinant fragment - Human": { "IP-species-checked": "notRecommended", "IP-species-dilution-info": "", "IP-species-notes": "", "WB-species-checked": "testedAndGuaranteed", "WB-species-dilution-info": "1/1000", "WB-species-notes": "<p></p>", "IHCP-species-checked": "notRecommended", "IHCP-species-dilution-info": "", "IHCP-species-notes": "" } } }

Product details

Patented technology
Our RabMAb® technology is a patented hybridoma-based technology for making rabbit monoclonal antibodies. For details on our patents, please refer to RabMAb® patents.

What are the advantages of a recombinant monoclonal antibody?
This product is a recombinant monoclonal antibody, which offers several advantages including:

  • - High batch-to-batch consistency and reproducibility
  • - Improved sensitivity and specificity
  • - Long-term security of supply
  • - Animal-free batch production

For more information, read more on recombinant antibodies.

Properties and storage information

Form
Liquid
Purification technique
Affinity purification Protein A
Storage buffer
pH: 7.2 - 7.4 Preservative: 0.01% Sodium azide Constituents: PBS, 40% Glycerol (glycerin, glycerine), 0.05% BSA
Shipped at conditions
Blue Ice
Appropriate short-term storage duration
1-2 weeks
Appropriate short-term storage conditions
+4°C
Appropriate long-term storage conditions
-20°C
Aliquoting information
Upon delivery aliquot
Storage information
Avoid freeze / thaw cycle

Supplementary information

This supplementary information is collated from multiple sources and compiled automatically.

Galectin 13 also known as PLAC8 or Galectin-16 is a type of protein that belongs to the Galectin family. It functions by binding to β-galactoside sugars which allows it to interact with glycoproteins and cell surfaces. The protein has a mass of approximately 16 kDa. Expression occurs mainly in the placenta suggesting a role in reproductive physiology but it has also been identified in other tissues to lesser extents including the colon.
Biological function summary

Galectin 13/PLAC8 Galectin-16 plays significant roles in modulating immune responses and cell-cell interactions. It appears integral to the maintenance of an immune-tolerant environment particularly in the placenta supporting successful implantation and pregnancy. The protein might operate as part of a complex involving other members of the Galectin family to regulate immune checkpoints and enhance cell adhesion processes.

Pathways

Galectin 13/PLAC8 Galectin-16 contributes to essential biological pathways linked to cell signaling and immune system modulation. It influences the JAK/STAT signaling pathway which is vital for cell proliferation and differentiation modes. This involvement supports balanced communication within immune responses and the protein interacts with other Galectins and perhaps other signaling molecules within this context.

Alterations in Galectin 13/PLAC8 Galectin-16 levels have associations with preeclampsia a complex pregnancy disorder marked by hypertension and organ dysfunction. Studies illustrating its role show connections to inflammatory conditions that might affect pregnancy outcomes. Its interactions with other proteins such as Galectin-1 highlight potential mechanisms in placental pathophysiology and broader implications in immune-mediated disorders.

Product protocols

For this product, it's our understanding that no specific protocols are required. You can visit:

Target data

Binds lactose with high affinity. Strong inducer of T-cell apoptosis.
See full target information LGALS16

Additional targets

LGALS13

Product promise

We are committed to supporting your work with high-quality reagents, and we're here for you every step of the way. In the unlikely event that one of our products does not perform as expected, you're protected by our Product Promise.
For full details, please see our Terms & Conditions

Please note: All products are 'FOR RESEARCH USE ONLY. NOT FOR USE IN DIAGNOSTIC OR THERAPEUTIC PROCEDURES'.

For licensing inquiries, please contact partnerships@abcam.com