JavaScript is disabled in your browser. Please enable JavaScript to view this website.
AB190167

Anti-Galectin 3 antibody

5

(4 Reviews)

|

(3 Publications)

Goat Polyclonal Galectin 3 antibody. Suitable for WB, IHC-P and reacts with Mouse, Human samples. Cited in 3 publications. Immunogen corresponding to Synthetic Peptide within Mouse Lgals3 aa 150-200.

View Alternative Names

MAC2, LGALS3, Galectin-3, Gal-3, 35 kDa lectin, Carbohydrate-binding protein 35, Galactose-specific lectin 3, Galactoside-binding protein, IgE-binding protein, L-31, Laminin-binding protein, Lectin L-29, Mac-2 antigen, CBP 35, GALBP

2 Images
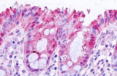
Immunohistochemistry (Formalin/PFA-fixed paraffin-embedded sections) - Anti-Galectin 3 antibody (AB190167)
  • IHC-P

Supplier Data

Immunohistochemistry (Formalin/PFA-fixed paraffin-embedded sections) - Anti-Galectin 3 antibody (AB190167)

Immunohistochemical analysis of formalin-fixed, paraffin-embedded Human colon tissue labeling Galectin 3 with ab190167 at 10 μg/ml.

Western blot - Anti-Galectin 3 antibody (AB190167)
  • WB

Supplier Data

Western blot - Anti-Galectin 3 antibody (AB190167)

Primary incubation was 1 hour.

All lanes:

Western blot - Anti-Galectin 3 antibody (ab190167) at 0.5 µg/mL

All lanes:

Mouse heart tissue lysate (in RIPA buffer) at 35 µg

Predicted band size: 26 kDa

true

Key facts

Host species

Goat

Clonality

Polyclonal

Isotype

IgG

Carrier free

No

Reacts with

Mouse, Human

Applications

IHC-P, WB

applications

Immunogen

Synthetic Peptide within Mouse Lgals3 aa 150-200. The exact immunogen used to generate this antibody is proprietary information.

P16110

Reactivity data

{ "title": "Reactivity Data", "filters": { "stats": ["", "Species", "Dilution Info", "Notes"], "tabs": { "all-applications": {"fullname" : "All Applications", "shortname": "All Applications"}, "WB" : {"fullname" : "Western blot", "shortname":"WB"}, "IHCP" : {"fullname" : "Immunohistochemistry (Formalin/PFA-fixed paraffin-embedded sections)", "shortname":"IHC-P"} }, "product-promise": { "all": "all", "testedAndGuaranteed": "tested", "guaranteed": "expected", "predicted": "predicted", "notRecommended": "not-recommended" } }, "values": { "Human": { "WB-species-checked": "guaranteed", "WB-species-dilution-info": "", "WB-species-notes": "", "IHCP-species-checked": "testedAndGuaranteed", "IHCP-species-dilution-info": "10 µg/mL", "IHCP-species-notes": "<p></p>" }, "Mouse": { "WB-species-checked": "testedAndGuaranteed", "WB-species-dilution-info": "0.5-2 µg/mL", "WB-species-notes": "<p></p>", "IHCP-species-checked": "guaranteed", "IHCP-species-dilution-info": "", "IHCP-species-notes": "" } } }

Properties and storage information

Form
Liquid
Purification technique
Affinity purification Immunogen
Storage buffer
pH: 7.3 Preservative: 0.02% Sodium azide Constituents: 99% Tris buffered saline, 0.5% BSA
Shipped at conditions
Blue Ice
Appropriate short-term storage duration
1-2 weeks
Appropriate short-term storage conditions
+4°C
Appropriate long-term storage conditions
-20°C
Aliquoting information
Upon delivery aliquot
Storage information
Avoid freeze / thaw cycle

Supplementary information

This supplementary information is collated from multiple sources and compiled automatically.

Galectin-3 also known as LGALS3 is a protein belonging to the galectin family which are beta-galactoside-binding lectins. This protein has a molecular weight of about 30 kDa. It shows expression in various tissues including the heart liver and gastrointestinal tract. Galectin-3 plays a mechanical role in cell-cell adhesion cell-matrix interactions and modulating immune responses. Researchers often use galectin-3 ELISA kits to quantify its presence in different biological samples.
Biological function summary

Galectin-3 participates in cell growth regulation apoptosis and immune system modulation. Galectin-3 does not typically integrate into larger molecular complexes but it interacts with a variety of cell surface and extracellular matrix molecules. Its function influences processes like cell differentiation and angiogenesis where it can act as a regulator leveraging its ability to bind glycans on cell surfaces and matrix components.

Pathways

Galectin-3 contributes to the regulation of pathways such as the MAPK signaling pathway and the Wnt signaling pathway. In the MAPK pathway it influences cell proliferation and survival. Galectin-3 interacts with proteins like β-catenin in the Wnt pathway assisting in transcriptional regulation and cell fate determination. These pathways are vital for maintaining cellular homeostasis and responding to extracellular signals.

Galectin-3 has a strong connection to cancer and fibrosis. Its role in cancer involves promoting tumor cell survival metastasis and angiogenesis where it interacts with proteins like integrins to facilitate tumor progression. In fibrosis galectin-3 contributes to fibrotic tissue formation especially in conditions like idiopathic pulmonary fibrosis and cardiac fibrosis often associated with proteins such as TGF-β. Understanding these interactions helps in developing therapeutic strategies targeting galectin-3 in these diseases.

Product protocols

For this product, it's our understanding that no specific protocols are required. You can visit:

Target data

Galactose-specific lectin which binds IgE. May mediate with the alpha-3, beta-1 integrin the stimulation by CSPG4 of endothelial cells migration. Together with DMBT1, required for terminal differentiation of columnar epithelial cells during early embryogenesis (By similarity). In the nucleus : acts as a pre-mRNA splicing factor. Involved in acute inflammatory responses including neutrophil activation and adhesion, chemoattraction of monocytes macrophages, opsonization of apoptotic neutrophils, and activation of mast cells. Together with TRIM16, coordinates the recognition of membrane damage with mobilization of the core autophagy regulators ATG16L1 and BECN1 in response to damaged endomembranes.
See full target information LGALS3

Publications (3)

Recent publications for all applications. Explore the full list and refine your search

Biomolecules 14: PubMed38672423

2024

The Influence of Lysosomal Stress on Dental Pulp Stem Cell-Derived Schwann Cells.

Applications

Unspecified application

Species

Unspecified reactive species

Karen Libberecht,Nathalie Dirkx,Tim Vangansewinkel,Wendy Vandendries,Ivo Lambrichts,Esther Wolfs

Frontiers in molecular neuroscience 16:1170313 PubMed37138705

2023

Peroxisomal defects in microglial cells induce a disease-associated microglial signature.

Applications

Unspecified application

Species

Unspecified reactive species

Quentin Raas,Ali Tawbeh,Mounia Tahri-Joutey,Catherine Gondcaille,Céline Keime,Romain Kaiser,Doriane Trompier,Boubker Nasser,Valerio Leoni,Emma Bellanger,Maud Boussand,Yannick Hamon,Alexandre Benani,Francesca Di Cara,Caroline Truntzer,Mustapha Cherkaoui-Malki,Pierre Andreoletti,Stéphane Savary

Scientific reports 6:35205 PubMed27748416

2016

MicroRNA-127 targeting of mitoNEET inhibits neurite outgrowth, induces cell apoptosis and contributes to physiological dysfunction after spinal cord transection.

Applications

Unspecified application

Species

Unspecified reactive species

Qin-Qin He,Liu-Lin Xiong,Fei Liu,Xiang He,Guo-Ying Feng,Fei-Fei Shang,Qing-Jie Xia,You-Cui Wang,De-Lu Qiu,Chao-Zhi Luo,Jia Liu,Ting-Hua Wang
View all publications

Product promise

We are committed to supporting your work with high-quality reagents, and we're here for you every step of the way. In the unlikely event that one of our products does not perform as expected, you're protected by our Product Promise.
For full details, please see our Terms & Conditions

Please note: All products are 'FOR RESEARCH USE ONLY. NOT FOR USE IN DIAGNOSTIC OR THERAPEUTIC PROCEDURES'.

For licensing inquiries, please contact partnerships@abcam.com