JavaScript is disabled in your browser. Please enable JavaScript to view this website.
AB209344

Anti-Galectin 3 antibody [EPR19244]

  • RabMAb
  • Recombinant
  • KO Validated
  • 20ul selling size
  • What is this?

5

(4 Reviews)

|

(13 Publications)

Anti-Galectin 3 antibody [EPR19244] (ab209344) is a rabbit monoclonal antibody detecting Galectin 3 in Western Blot, Flow Cytometry (Intra), Flow Cytometry, IP, IHC-P, ICC/IF. Suitable for Human.

- KO validated for confirmed specificity
- Biophysical QC for unrivalled batch-batch consistency

View Alternative Names

MAC2, LGALS3, Galectin-3, Gal-3, 35 kDa lectin, Carbohydrate-binding protein 35, Galactose-specific lectin 3, Galactoside-binding protein, IgE-binding protein, L-31, Laminin-binding protein, Lectin L-29, Mac-2 antigen, CBP 35, GALBP

13 Images
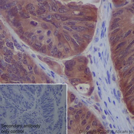
Immunohistochemistry (Formalin/PFA-fixed paraffin-embedded sections) - Anti-Galectin 3 antibody [EPR19244] (AB209344)
  • IHC-P

Supplier Data

Immunohistochemistry (Formalin/PFA-fixed paraffin-embedded sections) - Anti-Galectin 3 antibody [EPR19244] (AB209344)

Immunohistochemical analysis of paraffin-embedded human stomach tissue labeling Galectin 3 with ab209344 at 1/2000 dilution followed by Goat Anti-Rabbit IgG H&L (HRP) (ab97051) at 1/500 dilution. Cytoplasmic and nuclear staining on human stomach is observed. Counter stained with Hematoxylin.

Secondary antibody only control : Used PBS instead of primary antibody secondary antibody is Goat Anti-Rabbit IgG H&L (HRP) (ab97051) at 1/500 dilution.

Perform heat mediated antigen retrieval with Tris/EDTA buffer pH 9.0 before commencing with IHC staining protocol.

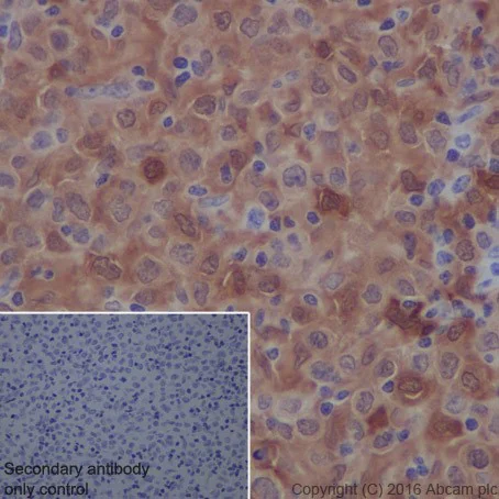
Immunohistochemistry (Formalin/PFA-fixed paraffin-embedded sections) - Anti-Galectin 3 antibody [EPR19244] (AB209344)
  • IHC-P

Supplier Data

Immunohistochemistry (Formalin/PFA-fixed paraffin-embedded sections) - Anti-Galectin 3 antibody [EPR19244] (AB209344)

Immunohistochemical analysis of paraffin-embedded human diffuse large B cell lymphoma tissue labeling Galectin 3 with ab209344 at 1/2000 dilution followed by Goat Anti-Rabbit IgG H&L (HRP) (ab97051) at 1/500 dilution. Cytoplasmic and weak nuclear staining on human diffuse large B cell lymphoma is observed. Counter stained with Hematoxylin.

Secondary antibody only control : Used PBS instead of primary antibody secondary antibody is Goat Anti-Rabbit IgG H&L (HRP) (ab97051) at 1/500 dilution.

Perform heat mediated antigen retrieval with Tris/EDTA buffer pH 9.0 before commencing with IHC staining protocol.

Flow Cytometry (Intracellular) - Anti-Galectin 3 antibody [EPR19244] (AB209344)
  • Flow Cyt (Intra)

Supplier Data

Flow Cytometry (Intracellular) - Anti-Galectin 3 antibody [EPR19244] (AB209344)

Intracellular flow cytometric analysis of 4% paraformaldehyde-fixed HeLa (Human epithelial cell line from cervix adenocarcinoma) cells labeling Galectin 3 with ab209344 at 1/50 dilution (red) compared with a rabbit monoclonal IgG isotype control (ab172730; black) and an unlabelled control (cells without incubation with primary antibody and secondary antibody; blue). Goat Anti-Rabbit IgG (Alexa Fluor® 488) at 1/2000 dilution was used as the secondary antibody.

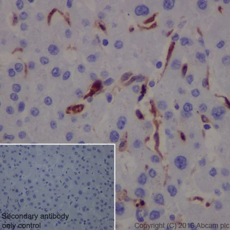
Immunohistochemistry (Formalin/PFA-fixed paraffin-embedded sections) - Anti-Galectin 3 antibody [EPR19244] (AB209344)
  • IHC-P

Supplier Data

Immunohistochemistry (Formalin/PFA-fixed paraffin-embedded sections) - Anti-Galectin 3 antibody [EPR19244] (AB209344)

Immunohistochemical analysis of paraffin-embedded human liver tissue labeling Galectin 3 with ab209344 at 1/2000 dilution followed by Goat Anti-Rabbit IgG H&L (HRP) (ab97051) at 1/500 dilution. Positive staining on Kupffer cells in the liver is observed. Counter stained with Hematoxylin.

Secondary antibody only control : Used PBS instead of primary antibody secondary antibody is Goat Anti-Rabbit IgG H&L (HRP) (ab97051) at 1/500 dilution.

Perform heat mediated antigen retrieval with Tris/EDTA buffer pH 9.0 before commencing with IHC staining protocol.

Immunohistochemistry (Formalin/PFA-fixed paraffin-embedded sections) - Anti-Galectin 3 antibody [EPR19244] (AB209344)
  • IHC-P

Supplier Data

Immunohistochemistry (Formalin/PFA-fixed paraffin-embedded sections) - Anti-Galectin 3 antibody [EPR19244] (AB209344)

Immunohistochemical analysis of paraffin-embedded human colon cancer tissue labeling Galectin 3 with ab209344 at 1/2000 dilution followed by Goat Anti-Rabbit IgG H&L (HRP) (ab97051) at 1/500 dilution. Cytoplasmic and weak nuclear staining on human colon cancer is observed. Counter stained with Hematoxylin.

Secondary antibody only control : Used PBS instead of primary antibody secondary antibody is Goat Anti-Rabbit IgG H&L (HRP) (ab97051) at 1/500 dilution.

Perform heat mediated antigen retrieval with Tris/EDTA buffer pH 9.0 before commencing with IHC staining protocol.

Immunocytochemistry/ Immunofluorescence - Anti-Galectin 3 antibody [EPR19244] (AB209344)
  • ICC/IF

Supplier Data

Immunocytochemistry/ Immunofluorescence - Anti-Galectin 3 antibody [EPR19244] (AB209344)

Immunofluorescent analysis of 4% paraformaldehyde-fixed 0.1% Triton X-100 permeabilized A431 (Human epidermoid carcinoma cell line) cells labeling Galectin 3 with ab209344 at 1/500 dilution followed by Goat Anti-Rabbit IgG H&L (Alexa Fluor® 488) (ab150077) secondary antibody at 1/1000 dilution (green). Confocal image showing nuclear and weakly cytoplasmic staining on A431 cell line. The nuclear counter stain is DAPI (blue).

Tubulin is detected with Anti-alpha Tubulin mouse MAb (ab7291) at 1/1000 dilution and Goat Anti-Mouse IgG H&L (Alexa Fluor® 594) (ab150120) secondary antibody at 1/1000 dilution (red).

The negative controls are as follows :
-ve control 1 : ab209344 at 1/500 dilution followed by ab150120 Goat Anti-Mouse IgG H&L (Alexa Fluor® 594) (ab150120) secondary antibody at 1/1000 dilution.
-ve control 2 : Anti-alpha Tubulin mouse MAb (ab7291) at 1/1000 dilution followed by Goat Anti-Rabbit IgG H&L (Alexa Fluor® 488) (ab150077) secondary antibody at 1/1000 dilution.

Immunocytochemistry/ Immunofluorescence - Anti-Galectin 3 antibody [EPR19244] (AB209344)
  • ICC/IF

Supplier Data

Immunocytochemistry/ Immunofluorescence - Anti-Galectin 3 antibody [EPR19244] (AB209344)

Immunofluorescent analysis of 4% paraformaldehyde-fixed 0.1% Triton X-100 permeabilized HeLa (Human epithelial cell line from cervix adenocarcinoma) cells labeling Galectin 3 with ab209344 at 1/500 dilution followed by Goat Anti-Rabbit IgG H&L(Alexa Fluor® 488) (ab150077) secondary antibody at 1/1000 dilution (green). Confocal image showing nuclear and weak cytoplasmic staining on HeLa cell line. The nuclear counter stain is DAPI (blue).

Tubulin is detected with Anti-alpha Tubulin mouse MAb (ab7291) at 1/1000 dilution and Goat Anti-Mouse IgG H&L (Alexa Fluor® 594) (ab150120) secondary antibody at 1/1000 dilution (red).

The negative controls are as follows :
-ve control 1 : ab209344 at 1/500 dilution followed by Goat Anti-Mouse IgG H&L (Alexa Fluor® 594) (ab150120) secondary antibody at 1/1000 dilution.
-ve control 2 : Anti-alpha Tubulin mouse MAb (ab7291) at 1/1000 dilution followed by Goat Anti-Rabbit IgG H&L(Alexa Fluor® 488) (ab150077) secondary antibody at 1/1000 dilution.

Immunoprecipitation - Anti-Galectin 3 antibody [EPR19244] (AB209344)
  • IP

Supplier Data

Immunoprecipitation - Anti-Galectin 3 antibody [EPR19244] (AB209344)

Galectin 3 was immunoprecipitated from 0.35 mg of HeLa (Human epithelial cell line from cervix adenocarcinoma) whole cell lysate with ab209344 at 1/30 dilution. Western blot was performed from the immunoprecipitate using ab209344 at 1/1000 dilution. VeriBlot for IP Detection Reagent (HRP) (ab131366), was used for detection at 1/10000 dilution.

Lane 1 : HeLa whole cell lysate 10μg (Input).

Lane 2 : ab209344 IP in HeLa whole cell lysate.

Lane 3 : Rabbit monoclonal IgG (ab172730) instead of ab209344 in HeLa whole cell lysate.

Blocking and dilution buffer and concentration : 5% NFDM/TBST.

Exposure time : 8 seconds.

All lanes:

Immunoprecipitation - Anti-Galectin 3 antibody [EPR19244] (ab209344)

Predicted band size: 26 kDa

false

Western blot - Anti-Galectin 3 antibody [EPR19244] (AB209344)
  • WB

Supplier Data

Western blot - Anti-Galectin 3 antibody [EPR19244] (AB209344)

False colour image of Western blot : Anti-Galectin 3 antibody [EPR19244] staining at 1/1000 dilution, shown in green; Mouse anti-Alpha Tubulin [DM1A] (ab7291) loading control staining at 1/20000 dilution, shown in red. In Western blot, ab209344 was shown to bind specifically to Galectin 3. A band was observed at 30 kDa in wild-type A549 cell lysates with no signal observed at this size in LGALS3 knockout cell line. To generate this image, wild-type and LGALS3 knockout A549 cell lysates were analysed. First, samples were run on an SDS-PAGE gel then transferred onto a nitrocellulose membrane. Membranes were blocked in 3 % milk in TBS-0.1 % Tween® 20 (TBS-T) before incubation with primary antibodies overnight at 4 °C. Blots were washed four times in TBS-T, incubated with secondary antibodies for 1 h at room temperature, washed again four times then imaged. Secondary antibodies used were Goat anti-Rabbit IgG H&L 800CW and Goat anti-Mouse IgG H&L 680RD at 1/20000 dilution.

All lanes:

Western blot - Anti-Galectin 3 antibody [EPR19244] (ab209344) at 1/1000 dilution

Lane 1:

Wild-type A549 cell lysate at 20 µg

Lane 2:

LGALS3 knockout A549 cell lysate at 20 µg

Lane 3:

MCF7 cell lysate at 20 µg

Lane 4:

LNCaP cell lysate at 20 µg

Secondary

All lanes:

Goat anti-Rabbit IgG H&L 800CW and Goat anti-Mouse IgG H&L 680RD at 1/20000 dilution

Predicted band size: 26 kDa

Observed band size: 30 kDa

false

Western blot - Anti-Galectin 3 antibody [EPR19244] (AB209344)
  • WB

Supplier Data

Western blot - Anti-Galectin 3 antibody [EPR19244] (AB209344)

Blocking/Dilution buffer : 5% NFDM/TBST.

Exposure time : Lane 1/2 : 15 seconds; Lane 3 : 30 seconds

All lanes:

Western blot - Anti-Galectin 3 antibody [EPR19244] (ab209344) at 1/1000 dilution

Lane 1:

Human heart tissue at 10 µg

Lane 2:

Human kidney tissue at 10 µg

Lane 3:

Human stomach tissue at 10 µg

Secondary

All lanes:

Goat Anti-Rabbit IgG Peroxidase Conjugate, specific to the non-reduced form of IgG at 1/10000 dilution

Predicted band size: 26 kDa

Observed band size: 26 kDa

false

Western blot - Anti-Galectin 3 antibody [EPR19244] (AB209344)
  • WB

Supplier Data

Western blot - Anti-Galectin 3 antibody [EPR19244] (AB209344)

Blocking/Dilution buffer : 5% NFDM/TBST.

Exposure time : Lane 1/2 : 30 seconds; Lane 3/4 : 8 seconds

Lanes 1 - 2:

Western blot - Anti-Galectin 3 antibody [EPR19244] (ab209344) at 1/10000 dilution

Lanes 3 - 4:

Western blot - Anti-Galectin 3 antibody [EPR19244] (ab209344) at 1/1000 dilution

Lane 1:

HeLa (Human epithelial cell line from cervix adenocarcinoma) whole cell lysate at 10 µg

Lane 2:

SW480 (Human colorectal adenocarcinoma cell line) whole cell lysate at 10 µg

Lane 3:

MCF7 (Human breast adenocarcinoma cell line) whole cell lysate at 10 µg

Lane 4:

A431 (Human epidermoid carcinoma cell line) whole cell lysate at 10 µg

Secondary

All lanes:

Western blot - Goat Anti-Rabbit IgG H&L (HRP) (<a href='/en-us/products/secondary-antibodies/goat-rabbit-igg-h-l-hrp-ab97051'>ab97051</a>) at 1/100000 dilution

Predicted band size: 26 kDa

Observed band size: 26 kDa

false

Western blot - Anti-Galectin 3 antibody [EPR19244] (AB209344)
  • WB

Lab

Western blot - Anti-Galectin 3 antibody [EPR19244] (AB209344)

Lane 1 : Wild-type HAP1 whole cell lysate (20 μg)
Lane 2 : Galectin 3 (KO) knockout HAP1 whole cell lysate (20 μg)
Lane 3 : HeLa whole cell lysate (20 μg)
Lane 4 : MCF7 whole cell lysate (20 μg)

Lanes 1 - 4 : Merged signal (red and green). Green - ab209344 observed at 35 kDa. Red - loading control, ab8245, observed at 37 kDa.

ab209344 was shown to specifically react with Galectin 3 (KO) in wild-type HAP1 cells. No band was observed when LGALS3 (KO) knockout samples were examined. Wild-type and Galectin 3 (KO) knockout samples were subjected to SDS-PAGE. ab209344 and ab8245 (Mouse anti GAPDH loading control) were incubated overnight at 4°C at 1/1000 dilution and 1/10,000 dilution respectively. Blots were developed with Goat anti-Rabbit IgG H&L (IRDye® 800CW) preabsorbed ab216773 and Goat anti-Mouse IgG H&L (IRDye® 680RD) preabsorbed ab216776 secondary antibodies at 1/20,000 dilution for 1 hour at room temperature before imaging.

All lanes:

Western blot - Anti-Galectin 3 antibody [EPR19244] (ab209344)

Predicted band size: 26 kDa

false

Western blot - Anti-Galectin 3 antibody [EPR19244] (AB209344)
  • WB

AbReview79353****

Western blot - Anti-Galectin 3 antibody [EPR19244] (AB209344)

4-15% SDS-PAGE. Blocking was done using 5% milk in 0.1% PBST

All lanes:

Western blot - Anti-Galectin 3 antibody [EPR19244] (ab209344) at 1/2000 dilution

All lanes:

PC-3 cells - human prostate cancer cells - plasma at 40 µg

Secondary

All lanes:

Donkey anti-Rb HRP at 1/10000 dilution

true

Exposure time: 1min

This image is courtesy of an Abreview submitted by Armen Petrosyan

  • Carrier free

    Anti-Galectin 3 antibody [EPR19244] - BSA and Azide free

Key facts

Host species

Rabbit

Clonality

Monoclonal

Clone number

EPR19244

Isotype

IgG

Carrier free

No

Reacts with

Human

Applications

Flow Cyt (Intra), WB, ICC/IF, IHC-P, IP

applications

Immunogen

The exact immunogen used to generate this antibody is proprietary information.

Reactivity data

{ "title": "Reactivity Data", "filters": { "stats": ["", "Species", "Dilution Info", "Notes"], "tabs": { "all-applications": {"fullname" : "All Applications", "shortname": "All Applications"}, "IP" : {"fullname" : "Immunoprecipitation", "shortname":"IP"}, "WB" : {"fullname" : "Western blot", "shortname":"WB"}, "ICCIF" : {"fullname" : "Immunocytochemistry/ Immunofluorescence", "shortname":"ICC/IF"}, "FlowCytIntra" : {"fullname" : "Flow Cytometry (Intracellular)", "shortname":"Flow Cyt (Intra)"}, "IHCP" : {"fullname" : "Immunohistochemistry (Formalin/PFA-fixed paraffin-embedded sections)", "shortname":"IHC-P"} }, "product-promise": { "all": "all", "testedAndGuaranteed": "tested", "guaranteed": "expected", "predicted": "predicted", "notRecommended": "not-recommended" } }, "values": { "Human": { "IP-species-checked": "testedAndGuaranteed", "IP-species-dilution-info": "1/30", "IP-species-notes": "<p></p>", "WB-species-checked": "testedAndGuaranteed", "WB-species-dilution-info": "1/1000", "WB-species-notes": "<p></p>", "ICCIF-species-checked": "testedAndGuaranteed", "ICCIF-species-dilution-info": "1/500", "ICCIF-species-notes": "<p></p>", "FlowCytIntra-species-checked": "testedAndGuaranteed", "FlowCytIntra-species-dilution-info": "1/50", "FlowCytIntra-species-notes": "<p></p>", "IHCP-species-checked": "testedAndGuaranteed", "IHCP-species-dilution-info": "1/2000", "IHCP-species-notes": "<p></p>" } } }

Product details

What is this antibody validated in?
Anti-Galectin 3 antibody [EPR19244] (ab209344) is a rabbit recombinant monoclonal antibody and is validated for use in Western Blot (WB), Flow Cytometry (Intra), Flow Cytometry (Flow Cyt), Immunoprecipitation (IP), Immunohistochemistry (IHC-P), Immunocytochemistry/immunofluorescence (ICC/IF) in Human samples.

What is the molecular weight of Galectin 3?
Anti-Galectin 3 [EPR19244] (ab209344) specifically detects a band for Galectin 3 (UniProt: P17931) at a molecular weight of 26kDa.

Reviewed by scientists
Anti-Galectin 3 [EPR19244] (ab209344) has over 5 independent reviews from customers.

Trial sizes available!
Test your antibody or perform pre-screening before committing to a larger quantity. Sold in 10µl. Discover our selection of trial-size antibodies.

Specificity confirmed
The specificity of Anti-Galectin 3 antibody [EPR19244] (ab209344) has been confirmed by Western blot testing in LGALS3 Knockout HAP1 cells.

Other related products
We have a range of other formats of antibody clone [EPR19244] also available for your convenience: ab209344, Carrier free - ab251504

Patented technology
Our RabMAb® technology is a patented hybridoma-based technology for making rabbit monoclonal antibodies. For details on our patents, please refer to RabMAb® patents.

What are the advantages of a recombinant monoclonal antibody?
This product is a recombinant monoclonal antibody, which offers several advantages including:

  • - High batch-to-batch consistency and reproducibility
  • - Improved sensitivity and specificity
  • - Long-term security of supply
  • - Animal-free batch production

For more information, read more on recombinant antibodies.

Properties and storage information

Form
Liquid
Purification technique
Affinity purification Protein A
Storage buffer
pH: 7.2 - 7.4 Preservative: 0.01% Sodium azide Constituents: PBS, 40% Glycerol (glycerin, glycerine), 0.05% BSA
Shipped at conditions
Blue Ice
Appropriate short-term storage duration
1-2 weeks
Appropriate short-term storage conditions
+4°C
Appropriate long-term storage conditions
-20°C
Aliquoting information
Upon delivery aliquot
Storage information
Avoid freeze / thaw cycle

Supplementary information

This supplementary information is collated from multiple sources and compiled automatically.

Galectin-3 also known as LGALS3 is a protein belonging to the galectin family which are beta-galactoside-binding lectins. This protein has a molecular weight of about 30 kDa. It shows expression in various tissues including the heart liver and gastrointestinal tract. Galectin-3 plays a mechanical role in cell-cell adhesion cell-matrix interactions and modulating immune responses. Researchers often use galectin-3 ELISA kits to quantify its presence in different biological samples.
Biological function summary

Galectin-3 participates in cell growth regulation apoptosis and immune system modulation. Galectin-3 does not typically integrate into larger molecular complexes but it interacts with a variety of cell surface and extracellular matrix molecules. Its function influences processes like cell differentiation and angiogenesis where it can act as a regulator leveraging its ability to bind glycans on cell surfaces and matrix components.

Pathways

Galectin-3 contributes to the regulation of pathways such as the MAPK signaling pathway and the Wnt signaling pathway. In the MAPK pathway it influences cell proliferation and survival. Galectin-3 interacts with proteins like Β-catenin in the Wnt pathway assisting in transcriptional regulation and cell fate determination. These pathways are vital for maintaining cellular homeostasis and responding to extracellular signals.

Galectin-3 has a strong connection to cancer and fibrosis. Its role in cancer involves promoting tumor cell survival metastasis and angiogenesis where it interacts with proteins like integrins to facilitate tumor progression. In fibrosis galectin-3 contributes to fibrotic tissue formation especially in conditions like idiopathic pulmonary fibrosis and cardiac fibrosis often associated with proteins such as TGF-Β. Understanding these interactions helps in developing therapeutic strategies targeting galectin-3 in these diseases.

Product protocols

For this product, it's our understanding that no specific protocols are required. You can visit:

Target data

Galactose-specific lectin which binds IgE. May mediate with the alpha-3, beta-1 integrin the stimulation by CSPG4 of endothelial cells migration. Together with DMBT1, required for terminal differentiation of columnar epithelial cells during early embryogenesis (By similarity). In the nucleus : acts as a pre-mRNA splicing factor. Involved in acute inflammatory responses including neutrophil activation and adhesion, chemoattraction of monocytes macrophages, opsonization of apoptotic neutrophils, and activation of mast cells. Together with TRIM16, coordinates the recognition of membrane damage with mobilization of the core autophagy regulators ATG16L1 and BECN1 in response to damaged endomembranes.
See full target information LGALS3

Publications (13)

Recent publications for all applications. Explore the full list and refine your search

FASEB journal : official publication of the Federation of American Societies for Experimental Biology 39:e71044 PubMed40932621

2025

CD8 T-Cell Deletion Suppressed the Development of Injury-Induced Experimental Neointimal Hyperplasia in Mice With or Without Chronic Stress.

Applications

Unspecified application

Species

Unspecified reactive species

Jingyuan Jin,Meiling Piao,Xianji Piao,Shangzhi Shu,Longguo Zhao,Zhibo Wang,Xueling Yue,Jinshun Piao,Xianglan Jin,Lina Hu,Yongshan Nan,Xian Wu Cheng

Frontiers in cell and developmental biology 12:1368021 PubMed38596358

2024

Deciphering perivascular macrophages and microglia in the retinal ganglion cell layers.

Applications

Unspecified application

Species

Unspecified reactive species

Jehwi Jeon,Yong Soo Park,Sang-Hoon Kim,Eunji Kong,Jay Kim,Jee Myung Yang,Joo Yong Lee,You-Me Kim,In-Beom Kim,Pilhan Kim

BMC musculoskeletal disorders 25:249 PubMed38561725

2024

Role of Galectin-3 in intervertebral disc degeneration: an experimental study.

Applications

Unspecified application

Species

Unspecified reactive species

Jianjiang Li,Nianrong Han,Zhenqiang Liu,Akram Osman,Leilei Xu,Jing Song,Yang Xiao,Wei Hu

Nature communications 13:7578 PubMed36481721

2022

Intracellular galectin-3 is a lipopolysaccharide sensor that promotes glycolysis through mTORC1 activation.

Applications

Unspecified application

Species

Unspecified reactive species

Xing Chen,Chunyu Yu,Xinhua Liu,Beibei Liu,Xiaodi Wu,Jiajing Wu,Dong Yan,Lulu Han,Zifan Tang,Xinyi Yuan,Jianqiu Wang,Yue Wang,Shumeng Liu,Lin Shan,Yongfeng Shang

Nature genetics 54:1827-1838 PubMed36175792

2022

The NALCN channel regulates metastasis and nonmalignant cell dissemination.

Applications

Unspecified application

Species

Unspecified reactive species

Eric P Rahrmann,David Shorthouse,Amir Jassim,Linda P Hu,Mariaestela Ortiz,Betania Mahler-Araujo,Peter Vogel,Marta Paez-Ribes,Atefeh Fatemi,Gregory J Hannon,Radhika Iyer,Jay A Blundon,Filipe C Lourenço,Jonathan Kay,Rosalynn M Nazarian,Benjamin A Hall,Stanislav S Zakharenko,Douglas J Winton,Liqin Zhu,Richard J Gilbertson

Cellular and molecular life sciences : CMLS 79:488 PubMed35984564

2022

Impairment of APPL1/Myoferlin facilitates adipogenic differentiation of mesenchymal stem cells by blocking autophagy flux in osteoporosis.

Applications

Unspecified application

Species

Unspecified reactive species

Yunhui Zhang,Wenjie Liu,Weiquan Yuan,Zhaopeng Cai,Guiwen Ye,Guan Zheng,Chenhao Xu,Xinglang Wang,Chenying Zeng,Rujia Mi,Pei Feng,Fenglei Chen,Yanfeng Wu,Huiyong Shen,Peng Wang

Bioengineered 13:4260-4270 PubMed35191812

2022

Tanshinone IIA alleviates cardiac hypertrophy through m6A modification of galectin-3.

Applications

Unspecified application

Species

Unspecified reactive species

Meiqi Zhang,Yun Chen,Huan Chen,Ye Shen,Lingxiao Pang,Weihua Wu,Zhenfei Yu

Journal of bone and mineral research : the official journal of the American Society for Bone and Mineral Research 37:724-739 PubMed35064940

2022

Galectin-3 Enhances Osteogenic Differentiation of Precursor Cells From Patients With Diffuse Idiopathic Skeletal Hyperostosis via Wnt/β-Catenin Signaling.

Applications

Unspecified application

Species

Unspecified reactive species

Liang Xu,Zhuang Qian,Sinian Wang,Rong Wang,Xiaojiang Pu,Bo Yang,Qingshuang Zhou,Changzhi Du,Quanchi Chen,Zhenhua Feng,Leilei Xu,Zezhang Zhu,Yong Qiu,Xu Sun

Journal of healthcare engineering 2021:2771712 PubMed34956563

2021

CircRNA RERE Promotes the Oxidative Stress-Induced Apoptosis and Autophagy of Nucleus Pulposus Cells through the miR-299-5p/Galectin-3 Axis.

Applications

Unspecified application

Species

Unspecified reactive species

Rong Wang,Xingchao Zhou,Guorui Luo,Jin Zhang,Min Yang,Chao Song

Bioengineered 12:10823-10836 PubMed34872449

2021

Angiotensin (ang) 1-7 inhibits ang II-induced atrial fibrosis through regulating the interaction of proto-oncogene tyrosine-protein kinase Src (c-Src) and Src homology region 2 domain-containing phosphatase-1 (SHP-1)).

Applications

Unspecified application

Species

Unspecified reactive species

Li Lu,Li Cao,Yihao Liu,Yunlin Chen,Jinqi Fan,Yuehui Yin
View all publications

Product promise

We are committed to supporting your work with high-quality reagents, and we're here for you every step of the way. In the unlikely event that one of our products does not perform as expected, you're protected by our Product Promise.
For full details, please see our Terms & Conditions

Please note: All products are 'FOR RESEARCH USE ONLY. NOT FOR USE IN DIAGNOSTIC OR THERAPEUTIC PROCEDURES'.

For licensing inquiries, please contact partnerships@abcam.com