JavaScript is disabled in your browser. Please enable JavaScript to view this website.
AB240374

Anti-Galectin 7 antibody [EPR19903] - BSA and Azide free

Be the first to review this product! Submit a review

|

(1 Publication)

Rabbit Recombinant Monoclonal Galectin 7 antibody. Carrier free. Suitable for IP, WB, ICC/IF, IHC-Fr, Flow Cyt (Intra), IHC-P and reacts with Human, Rat, Mouse samples. Cited in 1 publication.

View Alternative Names

PIG1, LGALS7B, LGALS7, Galectin-7, Gal-7, HKL-14, PI7, p53-induced gene 1 protein

10 Images
Immunohistochemistry (Formalin/PFA-fixed paraffin-embedded sections) - Anti-Galectin 7 antibody [EPR19903] - BSA and Azide free (AB240374)
  • IHC-P

Supplier Data

Immunohistochemistry (Formalin/PFA-fixed paraffin-embedded sections) - Anti-Galectin 7 antibody [EPR19903] - BSA and Azide free (AB240374)

Immunohistochemical analysis of paraffin-embedded human skin tissue labeling Galectin 7 with ab206435 at 1/4000 dilution, followed by Goat Anti-Rabbit IgG H&L (HRP) (ab97051) at 1/500 dilution. Positive staining on epithelium of human skin is observed (PMID : 23658821). Counter stained with Hematoxylin.

Secondary antibody only control : Used PBS instead of primary antibody, secondary antibody is Goat Anti-Rabbit IgG H&L (HRP) (ab97051) at 1/500 dilution.

This data was developed using the same antibody clone in a different buffer formulation containing PBS, BSA, glycerol, and sodium azide (ab206435).

Perform heat mediated antigen retrieval with Tris/EDTA buffer pH 9.0 before commencing with IHC staining protocol.

Immunocytochemistry/ Immunofluorescence - Anti-Galectin 7 antibody [EPR19903] - BSA and Azide free (AB240374)
  • ICC/IF

Supplier Data

Immunocytochemistry/ Immunofluorescence - Anti-Galectin 7 antibody [EPR19903] - BSA and Azide free (AB240374)

Immunofluorescent analysis of 4% paraformaldehyde-fixed, 0.1% Triton X-100 permeabilized HaCaT (Human keratinocyte cell line) cells labeling Galectin 7 with ab206435 at 1/500 dilution, followed by Goat Anti-Rabbit IgG H&L (Alexa Fluor® 488) (ab150077) secondary antibody at 1/1000 dilution (green). Confocal image showing cytoplasmic staining on HACAT cell line. The nuclear counterstain is DAPI (blue).

Tubulin is detected with  Anti-alpha Tubulin antibody [DM1A] - Microtubule Marker (Alexa Fluor® 594) (ab195889) at 1/200 dilution (red).

Secondary antibody only control : Used PBS instead of primary antibody, secondary antibody is Goat Anti-Rabbit IgG H&L (Alexa Fluor® 488) (ab150077) secondary antibody at 1/1000 dilution.

This data was developed using the same antibody clone in a different buffer formulation containing PBS, BSA, glycerol, and sodium azide (ab206435).

Immunohistochemistry (Formalin/PFA-fixed paraffin-embedded sections) - Anti-Galectin 7 antibody [EPR19903] - BSA and Azide free (AB240374)
  • IHC-P

Supplier Data

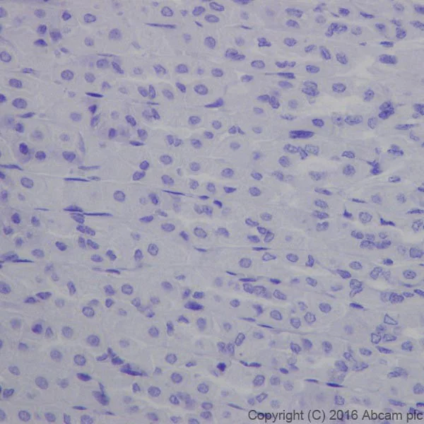
Immunohistochemistry (Formalin/PFA-fixed paraffin-embedded sections) - Anti-Galectin 7 antibody [EPR19903] - BSA and Azide free (AB240374)

Immunohistochemical analysis of paraffin-embedded human kidney tissue labeling Galectin 7 with ab206435 at 1/4000 dilution, followed by Goat Anti-Rabbit IgG H&L (HRP) (ab97051) at 1/500 dilution.

Negative control : No staining in human kidney (PMID : 9697310).

Counter stained with Hematoxylin.

This data was developed using the same antibody clone in a different buffer formulation containing PBS, BSA, glycerol, and sodium azide (ab206435).

Perform heat mediated antigen retrieval with Tris/EDTA buffer pH 9.0 before commencing with IHC staining protocol.

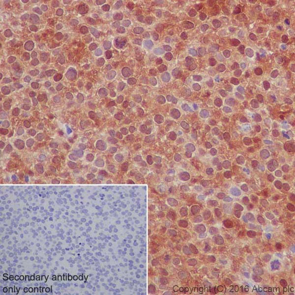
Immunohistochemistry (Formalin/PFA-fixed paraffin-embedded sections) - Anti-Galectin 7 antibody [EPR19903] - BSA and Azide free (AB240374)
  • IHC-P

Supplier Data

Immunohistochemistry (Formalin/PFA-fixed paraffin-embedded sections) - Anti-Galectin 7 antibody [EPR19903] - BSA and Azide free (AB240374)

Immunohistochemical analysis of paraffin-embedded human squamous carcinoma of the cervix tissue labeling Galectin 7 with ab206435 at 1/4000 dilution, followed by Goat Anti-Rabbit IgG H&L (HRP) (ab97051) at 1/500 dilution. Positive staining on tumor cells of squamous carcinoma of the cervix is observed. Counter stained with Hematoxylin.

Secondary antibody only control : Used PBS instead of primary antibody, secondary antibody is Goat Anti-Rabbit IgG H&L (HRP) (ab97051) at 1/500 dilution.

This data was developed using the same antibody clone in a different buffer formulation containing PBS, BSA, glycerol, and sodium azide (ab206435).

Perform heat mediated antigen retrieval with Tris/EDTA buffer pH 9.0 before commencing with IHC staining protocol.

Flow Cytometry (Intracellular) - Anti-Galectin 7 antibody [EPR19903] - BSA and Azide free (AB240374)
  • Flow Cyt (Intra)

Supplier Data

Flow Cytometry (Intracellular) - Anti-Galectin 7 antibody [EPR19903] - BSA and Azide free (AB240374)

Intracellular flow cytometric analysis of 4% paraformaldehyde-fixed HaCaT (Human keratinocyte cell line) cells labeling Galectin 7 with ab206435 at 1/600 dilution (red) compared with a rabbit monoclonal IgG isotype control (ab172730; black) and an unlabelled control (cells without incubation with primary antibody and secondary antibody; blue). Goat Anti-Rabbit IgG (Alexa Fluor® 488) at 1/2000 dilution was used as the secondary antibody.

This data was developed using the same antibody clone in a different buffer formulation containing PBS, BSA, glycerol, and sodium azide (ab206435).

Immunoprecipitation - Anti-Galectin 7 antibody [EPR19903] - BSA and Azide free (AB240374)
  • IP

Supplier Data

Immunoprecipitation - Anti-Galectin 7 antibody [EPR19903] - BSA and Azide free (AB240374)

Galectin 7 was immunoprecipitated from 0.35 mg of human skin lysate with ab206435 at 1/40 dilution.

Western blot was performed from the immunoprecipitate using ab206435 at 1/1000 dilution.

VeriBlot for IP Detection Reagent (HRP) (ab131366), was used for detection at 1/10000 dilution.

Lane 1 : Human skin lysate 10μg (Input).

Lane 2 : ab206435 IP in human skin lysate.

Lane 3 : Rabbit monoclonal IgG (ab172730) instead of ab206435 in human skin lysate.

Blocking and dilution buffer and concentration : 5% NFDM/TBST.

Exposure time : 30 seconds.

This data was developed using the same antibody clone in a different buffer formulation containing PBS, BSA, glycerol, and sodium azide (ab206435).

All lanes:

Immunoprecipitation - Anti-Galectin 7 antibody [EPR19903] (<a href='/en-us/products/primary-antibodies/galectin-7-antibody-epr19903-ab206435'>ab206435</a>)

Predicted band size: 15 kDa

false

Immunohistochemistry (Formalin/PFA-fixed paraffin-embedded sections) - Anti-Galectin 7 antibody [EPR19903] - BSA and Azide free (AB240374)
  • IHC-P

Supplier Data

Immunohistochemistry (Formalin/PFA-fixed paraffin-embedded sections) - Anti-Galectin 7 antibody [EPR19903] - BSA and Azide free (AB240374)

Immunohistochemical analysis of paraffin-embedded mouse stomach tissue labeling Galectin 7 with ab206435 at 1/4000 dilution, followed by Goat Anti-Rabbit IgG H&L (HRP) (ab97051) at 1/500 dilution.

Negative control : No staining on mouse stomach (PMID : 9697310).

Counter stained with Hematoxylin.

This data was developed using the same antibody clone in a different buffer formulation containing PBS, BSA, glycerol, and sodium azide (ab206435).

Perform heat mediated antigen retrieval with Tris/EDTA buffer pH 9.0 before commencing with IHC staining protocol.

Immunohistochemistry (Frozen sections) - Anti-Galectin 7 antibody [EPR19903] - BSA and Azide free (AB240374)
  • IHC-Fr

Supplier Data

Immunohistochemistry (Frozen sections) - Anti-Galectin 7 antibody [EPR19903] - BSA and Azide free (AB240374)

Immunohistochemical analysis of 4% paraformaldehyde-fixed, 0.2% Triton X-100 permeabilized rat skin tissue labeling Galectin 7 with ab206435 at 1/500 dilution, followed by Goat Anti-Rabbit IgG H&L (Alexa Fluor® 488) (ab150077) secondary antibody at 1/1000 dilution (green). Positive staining on epithelium of rat skin is observed. Nuclear counterstain : DAPI (Blue).

Secondary antibody only control : Used PBS instead of primary antibody, secondary antibody is Goat Anti-Rabbit IgG H&L (Alexa Fluor® 488) (ab150077) secondary antibody at 1/1000 dilution.

This data was developed using the same antibody clone in a different buffer formulation containing PBS, BSA, glycerol, and sodium azide (ab206435).

Immunohistochemistry (Formalin/PFA-fixed paraffin-embedded sections) - Anti-Galectin 7 antibody [EPR19903] - BSA and Azide free (AB240374)
  • IHC-P

Supplier Data

Immunohistochemistry (Formalin/PFA-fixed paraffin-embedded sections) - Anti-Galectin 7 antibody [EPR19903] - BSA and Azide free (AB240374)

Immunohistochemical analysis of paraffin-embedded rat skin tissue labeling Galectin 7 with ab206435 at 1/4000 dilution, followed by Goat Anti-Rabbit IgG H&L (HRP) (ab97051) at 1/500 dilution. Positive staining on epithelium of rat skin is observed. Counter stained with Hematoxylin.

Secondary antibody only control : Used PBS instead of primary antibody, secondary antibody is Goat Anti-Rabbit IgG H&L (HRP) (ab97051) at 1/500 dilution.

This data was developed using the same antibody clone in a different buffer formulation containing PBS, BSA, glycerol, and sodium azide (ab206435).

Perform heat mediated antigen retrieval with Tris/EDTA buffer pH 9.0 before commencing with IHC staining protocol.

Immunohistochemistry (Formalin/PFA-fixed paraffin-embedded sections) - Anti-Galectin 7 antibody [EPR19903] - BSA and Azide free (AB240374)
  • IHC-P

Supplier Data

Immunohistochemistry (Formalin/PFA-fixed paraffin-embedded sections) - Anti-Galectin 7 antibody [EPR19903] - BSA and Azide free (AB240374)

Immunohistochemical analysis of paraffin-embedded mouse skin tissue labeling Galectin 7 with ab206435 at 1/4000 dilution, followed by Goat Anti-Rabbit IgG H&L (HRP) (ab97051) at 1/500 dilution. Positive staining on epithelium of mouse skin is observed. Counter stained with Hematoxylin.

Secondary antibody only control : Used PBS instead of primary antibody, secondary antibody is Goat Anti-Rabbit IgG H&L (HRP) (ab97051) at 1/500 dilution.

This data was developed using the same antibody clone in a different buffer formulation containing PBS, BSA, glycerol, and sodium azide (ab206435).

Perform heat mediated antigen retrieval with Tris/EDTA buffer pH 9.0 before commencing with IHC staining protocol.

Key facts

Host species

Rabbit

Clonality

Monoclonal

Clone number

EPR19903

Isotype

IgG

Carrier free

Yes

Reacts with

Mouse, Rat, Human

Applications

IP, WB, Flow Cyt (Intra), IHC-Fr, IHC-P, ICC/IF

applications

Immunogen

The exact immunogen used to generate this antibody is proprietary information.

Reactivity data

{ "title": "Reactivity Data", "filters": { "stats": ["", "Species", "Dilution Info", "Notes"], "tabs": { "all-applications": {"fullname" : "All Applications", "shortname": "All Applications"}, "IP" : {"fullname" : "Immunoprecipitation", "shortname":"IP"}, "WB" : {"fullname" : "Western blot", "shortname":"WB"}, "ICCIF" : {"fullname" : "Immunocytochemistry/ Immunofluorescence", "shortname":"ICC/IF"}, "IHCFr" : {"fullname" : "Immunohistochemistry (Frozen sections)", "shortname":"IHC-Fr"}, "FlowCytIntra" : {"fullname" : "Flow Cytometry (Intracellular)", "shortname":"Flow Cyt (Intra)"}, "IHCP" : {"fullname" : "Immunohistochemistry (Formalin/PFA-fixed paraffin-embedded sections)", "shortname":"IHC-P"} }, "product-promise": { "all": "all", "testedAndGuaranteed": "tested", "guaranteed": "expected", "predicted": "predicted", "notRecommended": "not-recommended" } }, "values": { "Human": { "IP-species-checked": "testedAndGuaranteed", "IP-species-dilution-info": "", "IP-species-notes": "<p></p>", "WB-species-checked": "guaranteed", "WB-species-dilution-info": "", "WB-species-notes": "<p></p>", "ICCIF-species-checked": "testedAndGuaranteed", "ICCIF-species-dilution-info": "", "ICCIF-species-notes": "<p></p>", "IHCFr-species-checked": "guaranteed", "IHCFr-species-dilution-info": "", "IHCFr-species-notes": "", "FlowCytIntra-species-checked": "testedAndGuaranteed", "FlowCytIntra-species-dilution-info": "", "FlowCytIntra-species-notes": "<p></p>", "IHCP-species-checked": "guaranteed", "IHCP-species-dilution-info": "", "IHCP-species-notes": "" }, "Mouse": { "IP-species-checked": "guaranteed", "IP-species-dilution-info": "", "IP-species-notes": "", "WB-species-checked": "guaranteed", "WB-species-dilution-info": "", "WB-species-notes": "<p></p>", "ICCIF-species-checked": "guaranteed", "ICCIF-species-dilution-info": "", "ICCIF-species-notes": "", "IHCFr-species-checked": "guaranteed", "IHCFr-species-dilution-info": "", "IHCFr-species-notes": "", "FlowCytIntra-species-checked": "guaranteed", "FlowCytIntra-species-dilution-info": "", "FlowCytIntra-species-notes": "", "IHCP-species-checked": "testedAndGuaranteed", "IHCP-species-dilution-info": "", "IHCP-species-notes": "<p>(<a href='/en-us/products/buffers/antigen-retrieval-buffer-100x-tris-edta-buffer-ph-90-ab93684'>ab93684</a>)</p>" }, "Rat": { "IP-species-checked": "guaranteed", "IP-species-dilution-info": "", "IP-species-notes": "", "WB-species-checked": "guaranteed", "WB-species-dilution-info": "", "WB-species-notes": "<p></p>", "ICCIF-species-checked": "guaranteed", "ICCIF-species-dilution-info": "", "ICCIF-species-notes": "", "IHCFr-species-checked": "testedAndGuaranteed", "IHCFr-species-dilution-info": "", "IHCFr-species-notes": "<p></p>", "FlowCytIntra-species-checked": "guaranteed", "FlowCytIntra-species-dilution-info": "", "FlowCytIntra-species-notes": "", "IHCP-species-checked": "guaranteed", "IHCP-species-dilution-info": "", "IHCP-species-notes": "" } } }

Product details

ab240374 is the carrier-free version of ab206435.

Patented technology
Our RabMAb® technology is a patented hybridoma-based technology for making rabbit monoclonal antibodies. For details on our patents, please refer to RabMAb® patents.

What are the advantages of a recombinant monoclonal antibody?
This product is a recombinant monoclonal antibody, which offers several advantages including:

  • - High batch-to-batch consistency and reproducibility
  • - Improved sensitivity and specificity
  • - Long-term security of supply
  • - Animal-free batch production

For more information, read more on recombinant antibodies.

Conjugation ready
Our carrier-free antibodies are typically supplied in a PBS-only formulation, purified and free of BSA, sodium azide and glycerol. This conjugation-ready format is designed for use with fluorochromes, metal isotopes, oligonucleotides, and enzymes, which makes them ideal for antibody labelling, functional and cell-based assays, flow-based assays (e.g. mass cytometry) and Multiplex Imaging applications.

Use our conjugation kits for antibody conjugates that are ready-to-use in as little as 20 minutes with 1 minute hands-on-time and 100% antibody recovery: available for fluorescent dyes, HRP, biotin and gold.

Compatibility
This product is compatible with the Maxpar® Antibody Labeling Kit from Fluidigm, without the need for antibody preparation. Maxpar® is a trademark of Fluidigm Canada Inc.

Properties and storage information

Form
Liquid
Purification technique
Affinity purification Protein A
Storage buffer
pH: 7.2 - 7.4 Constituents: PBS
Shipped at conditions
Blue Ice
Appropriate short-term storage conditions
+4°C
Appropriate long-term storage conditions
+4°C
Storage information
Do Not Freeze

Supplementary information

This supplementary information is collated from multiple sources and compiled automatically.

Galectin 7 also known as Gal-7 is a member of the galectin family of beta-galactoside-binding proteins. It has a molecular mass of approximately 15 kDa. Structurally Galectin 7 has a single carbohydrate recognition domain (CRD) which allows it to bind glycoconjugates. Galectin 7 expresses in various tissues with high expression levels in the epidermis and in stratified squamous epithelia.
Biological function summary

Galectin 7 plays a role in cell-cell adhesion apoptosis regulation and immune response modulation. It plays a role in the cell's apoptosis machinery and interacts with the cytochrome c release pathway. This protein does not typically form a part of large complexes functioning individually in most biological processes. It can influence keratinocyte migration indicating involvement in wound healing processes.

Pathways

Galectin 7 participates in the apoptosis and cell adhesion pathways. It works alongside proteins such as Bcl-2 and Bax to regulate programmed cell death by promoting apoptosis. Additionally it interacts with matrix metalloproteinases influencing the remodelling of extracellular matrix a critical component of tissue repair and immune response.

Galectin 7 is associated with cancer and psoriasis. In cancer it can act as a pro-apoptotic factor and modulates tumor progression often in concert with p53 a well-known tumor suppressor protein. In psoriasis aberrant expression of Galectin 7 correlates with impaired epidermal function and inflammation suggesting it may alter the disease course by influencing local immune responses and keratinocyte behavior.

Product protocols

For this product, it's our understanding that no specific protocols are required. You can visit:

Target data

Could be involved in cell-cell and/or cell-matrix interactions necessary for normal growth control. Pro-apoptotic protein that functions intracellularly upstream of JNK activation and cytochrome c release.
See full target information LGALS7

Publications (1)

Recent publications for all applications. Explore the full list and refine your search

Signal transduction and targeted therapy 8:358 PubMed37735155

2023

Tauopathy promotes spinal cord-dependent production of toxic amyloid-beta in transgenic monkeys.

Applications

Unspecified application

Species

Unspecified reactive species

Zhuchi Tu,Sen Yan,Bofeng Han,Caijuan Li,Weien Liang,Yingqi Lin,Yongyan Ding,Huiyi Wei,Lu Wang,Hao Xu,Jianmeng Ye,Bang Li,Shihua Li,Xiao-Jiang Li
View all publications

Product promise

We are committed to supporting your work with high-quality reagents, and we're here for you every step of the way. In the unlikely event that one of our products does not perform as expected, you're protected by our Product Promise.
For full details, please see our Terms & Conditions

Please note: All products are 'FOR RESEARCH USE ONLY. NOT FOR USE IN DIAGNOSTIC OR THERAPEUTIC PROCEDURES'.

For licensing inquiries, please contact partnerships@abcam.com