JavaScript is disabled in your browser. Please enable JavaScript to view this website.
AB108623

Anti-Galectin 7 antibody [EPR4287]

Be the first to review this product! Submit a review

|

(6 Publications)

Rabbit Recombinant Monoclonal Galectin 7 antibody. Suitable for IHC-P, ICC/IF, IP, WB, Flow Cyt (Intra) and reacts with Human samples. Cited in 6 publications.

View Alternative Names

PIG1, LGALS7B, LGALS7, Galectin-7, Gal-7, HKL-14, PI7, p53-induced gene 1 protein

5 Images
Immunocytochemistry/ Immunofluorescence - Anti-Galectin 7 antibody [EPR4287] (AB108623)
  • ICC/IF

Lab

Immunocytochemistry/ Immunofluorescence - Anti-Galectin 7 antibody [EPR4287] (AB108623)

Immunocytochemistry analysis of HaCaT (Human skin keratinocyte) cells labeling Galectin 7 with Purified ab108623 at 1 : 1000 dilution (0.5 µg/ml). Cells were fixed in 4% Paraformaldehyde and permeabilized with 0.1% tritonX-100. Cells were counterstained with ab195889 Anti-alpha Tubulin antibody [DM1A] - Microtubule Marker (Alexa Fluor® 594) 1 : 200 (2.5 µg/ml). Goat anti rabbit IgG (Alexa Fluor® 488,ab150077) was used as the secondary antibody at 1 : 1000 (2 µg/ml) dilution. DAPI (blue) was used as nuclear counterstain. PBS instead of the primary antibody was used as the secondary antibody only control.

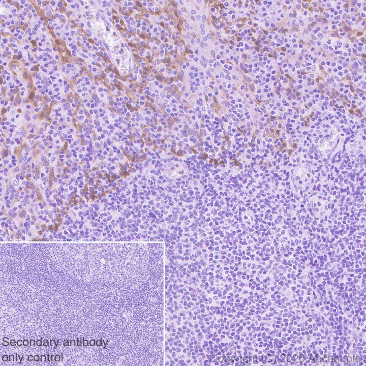
Immunohistochemistry (Formalin/PFA-fixed paraffin-embedded sections) - Anti-Galectin 7 antibody [EPR4287] (AB108623)
  • IHC-P

Lab

Immunohistochemistry (Formalin/PFA-fixed paraffin-embedded sections) - Anti-Galectin 7 antibody [EPR4287] (AB108623)

Immunohistochemistry (Formalin/PFA-fixed paraffin-embedded sections) analysis of Human tonsil tissue sections labeling Galectin 7 with purified ab108623 at 1/1500 dilution (0.35 µg/mL). Heat mediated antigen retrieval using Bond™ Epitope Retrieval Solution 2 (pH 9.0). The immunostaining was performed on a Leica Biosystems BOND® RX instrument. Rabbit specific IHC polymer detection kit HRP/DAB (ab209101) was used as the secondary antibody. Negative control : PBS instead of the primary antibody. Hematoxylin was used as a counterstain.

Flow Cytometry (Intracellular) - Anti-Galectin 7 antibody [EPR4287] (AB108623)
  • Flow Cyt (Intra)

Lab

Flow Cytometry (Intracellular) - Anti-Galectin 7 antibody [EPR4287] (AB108623)

Intracellular Flow Cytometry analysis of HaCaT (Human skin keratinocyte) cells labeling Galectin 7 with Purified ab108623 at 1/50 dilution (10 μg/ml) (Red). Cells were fixed with 4% Paraformaldehyde and permeabilised with 90% Methanol. A Goat anti rabbit IgG (Alexa Fluor® 488 ,ab150077) secondary antibody was used at 1/2000. Isotype control - Rabbit monoclonal IgG (Black). Unlabeled control - Cell without incubation with primary antibody and secondary antibody (Blue).

Immunoprecipitation - Anti-Galectin 7 antibody [EPR4287] (AB108623)
  • IP

Lab

Immunoprecipitation - Anti-Galectin 7 antibody [EPR4287] (AB108623)

Purified ab108623 at 1/50 dilution (2μg) immunoprecipitating Galectin 7 in HaCaT whole cell lysate.
Lane 1 (input) : HaCaT (Human skin keratinocyte) whole cell lysate 10μg
Lane 2 (+) : ab108623 + HaCaT whole cell lysate.
Lane 3 (-) : Rabbit monoclonal IgG (ab172730) instead of ab108623 in HaCaT whole cell lysate.
VeriBlot for IP Detection Reagent (HRP) (ab131366) (1/1000 dilution) was used for Western blotting.
Blocking Buffer and concentration : 5% NFDM/TBST.
Diluting buffer and concentration : 5% NFDM/TBST.
Observed band size : 15 kDa

All lanes:

Immunoprecipitation - Anti-Galectin 7 antibody [EPR4287] (ab108623)

Predicted band size: 15 kDa

false

Western blot - Anti-Galectin 7 antibody [EPR4287] (AB108623)
  • WB

Unknown

Western blot - Anti-Galectin 7 antibody [EPR4287] (AB108623)

All lanes:

Western blot - Anti-Galectin 7 antibody [EPR4287] (ab108623) at 1/1000 dilution

All lanes:

Human skin lysate

Secondary

All lanes:

Goat Anti-Rabbit IgG (HRP) with minimal cross-reactivity with human IgG at 1/2000 dilution

Predicted band size: 15 kDa

false

  • 519 Alexa Fluor® 488

    Alexa Fluor® 488 Anti-Galectin 7 antibody [EPR4287]

  • 665 Alexa Fluor® 647

    Alexa Fluor® 647 Anti-Galectin 7 antibody [EPR4287]

  • 565 Alexa Fluor® 555

    Alexa Fluor® 555 Anti-Galectin 7 antibody [EPR4287]

  • 617 Alexa Fluor® 594

    Alexa Fluor® 594 Anti-Galectin 7 antibody [EPR4287]

  • 578 PE

    PE Anti-Galectin 7 antibody [EPR4287]

  • 660 APC

    APC Anti-Galectin 7 antibody [EPR4287]

  • 775 Alexa Fluor® 750

    Alexa Fluor® 750 Anti-Galectin 7 antibody [EPR4287]

Key facts

Host species

Rabbit

Clonality

Monoclonal

Clone number

EPR4287

Isotype

IgG

Carrier free

No

Reacts with

Human

Applications

IHC-P, ICC/IF, IP, Flow Cyt (Intra), WB

applications

Immunogen

The exact immunogen used to generate this antibody is proprietary information.

Reactivity data

{ "title": "Reactivity Data", "filters": { "stats": ["", "Species", "Dilution Info", "Notes"], "tabs": { "all-applications": {"fullname" : "All Applications", "shortname": "All Applications"}, "IHCP" : {"fullname" : "Immunohistochemistry (Formalin/PFA-fixed paraffin-embedded sections)", "shortname":"IHC-P"}, "ICCIF" : {"fullname" : "Immunocytochemistry/ Immunofluorescence", "shortname":"ICC/IF"}, "IP" : {"fullname" : "Immunoprecipitation", "shortname":"IP"}, "WB" : {"fullname" : "Western blot", "shortname":"WB"}, "FlowCytIntra" : {"fullname" : "Flow Cytometry (Intracellular)", "shortname":"Flow Cyt (Intra)"} }, "product-promise": { "all": "all", "testedAndGuaranteed": "tested", "guaranteed": "expected", "predicted": "predicted", "notRecommended": "not-recommended" } }, "values": { "Human": { "IHCP-species-checked": "testedAndGuaranteed", "IHCP-species-dilution-info": "1/1500", "IHCP-species-notes": "<p></p>", "ICCIF-species-checked": "testedAndGuaranteed", "ICCIF-species-dilution-info": "1/1000", "ICCIF-species-notes": "<p></p>", "IP-species-checked": "testedAndGuaranteed", "IP-species-dilution-info": "1/10 - 1/100", "IP-species-notes": "<p></p>", "WB-species-checked": "testedAndGuaranteed", "WB-species-dilution-info": "1/1000 - 1/10000", "WB-species-notes": "<p></p>", "FlowCytIntra-species-checked": "testedAndGuaranteed", "FlowCytIntra-species-dilution-info": "1/50", "FlowCytIntra-species-notes": "<p></p>" } } }

Product details

Species reactivity
Mouse, Rat: We have preliminary internal testing data to indicate this antibody may not react with these species.
Please contact us for more information.

Patented technology
Our RabMAb® technology is a patented hybridoma-based technology for making rabbit monoclonal antibodies. For details on our patents, please refer to RabMAb® patents.

What are the advantages of a recombinant monoclonal antibody?
This product is a recombinant monoclonal antibody, which offers several advantages including:

  • - High batch-to-batch consistency and reproducibility
  • - Improved sensitivity and specificity
  • - Long-term security of supply
  • - Animal-free batch production

For more information, read more on recombinant antibodies.

Properties and storage information

Form
Liquid
Purification technique
Affinity purification Protein A
Storage buffer
pH: 7.2 - 7.4 Preservative: 0.01% Sodium azide Constituents: 59% PBS, 40% Glycerol (glycerin, glycerine), 0.05% BSA
Shipped at conditions
Blue Ice
Appropriate short-term storage conditions
+4°C
Appropriate long-term storage conditions
-20°C
Storage information
Stable for 12 months at -20°C

Supplementary information

This supplementary information is collated from multiple sources and compiled automatically.

Galectin 7 also known as Gal-7 is a member of the galectin family of beta-galactoside-binding proteins. It has a molecular mass of approximately 15 kDa. Structurally Galectin 7 has a single carbohydrate recognition domain (CRD) which allows it to bind glycoconjugates. Galectin 7 expresses in various tissues with high expression levels in the epidermis and in stratified squamous epithelia.
Biological function summary

Galectin 7 plays a role in cell-cell adhesion apoptosis regulation and immune response modulation. It plays a role in the cell's apoptosis machinery and interacts with the cytochrome c release pathway. This protein does not typically form a part of large complexes functioning individually in most biological processes. It can influence keratinocyte migration indicating involvement in wound healing processes.

Pathways

Galectin 7 participates in the apoptosis and cell adhesion pathways. It works alongside proteins such as Bcl-2 and Bax to regulate programmed cell death by promoting apoptosis. Additionally it interacts with matrix metalloproteinases influencing the remodelling of extracellular matrix a critical component of tissue repair and immune response.

Galectin 7 is associated with cancer and psoriasis. In cancer it can act as a pro-apoptotic factor and modulates tumor progression often in concert with p53 a well-known tumor suppressor protein. In psoriasis aberrant expression of Galectin 7 correlates with impaired epidermal function and inflammation suggesting it may alter the disease course by influencing local immune responses and keratinocyte behavior.

Product protocols

For this product, it's our understanding that no specific protocols are required. You can visit:

Target data

Could be involved in cell-cell and/or cell-matrix interactions necessary for normal growth control. Pro-apoptotic protein that functions intracellularly upstream of JNK activation and cytochrome c release.
See full target information LGALS7

Publications (6)

Recent publications for all applications. Explore the full list and refine your search

Clinical and experimental allergy : journal of the 50:922-931 PubMed32474952

2020

Protective role of Galectin-7 for skin barrier impairment in atopic dermatitis.

Applications

Unspecified application

Species

Unspecified reactive species

Takatsune Umayahara,Takatoshi Shimauchi,Manami Iwasaki,Jun-Ichi Sakabe,Masahiro Aoshima,Shinsuke Nakazawa,Tsuyoshi Yatagai,Hayato Yamaguchi,Pawit Phadungsaksawasdi,Kazuo Kurihara,Yoshiki Tokura

Oncology letters 16:2559-2564 PubMed30013650

2018

Expression of galectin-7 in vulvar lichen sclerosus and its effect on dermal fibroblasts.

Applications

Unspecified application

Species

Unspecified reactive species

Yi Zhao,Shanshan Zhao,Hui Li,Xin Qin,Xin Wu

American journal of human genetics 102:219-232 PubMed29336782

2018

Loss of GPNMB Causes Autosomal-Recessive Amyloidosis Cutis Dyschromica in Humans.

Applications

Unspecified application

Species

Unspecified reactive species

Chi-Fan Yang,Shuan-Pei Lin,Chien-Ping Chiang,Yu-Hung Wu,Weng Siong H'ng,Chun-Ping Chang,Yuan-Tsong Chen,Jer-Yuarn Wu

Oncology letters 13:1919-1924 PubMed28454344

2017

Galectin-7 promotes the invasiveness of human oral squamous cell carcinoma cells via activation of ERK and JNK signaling.

Applications

WB

Species

Human

Jia-Ping Guo,Xiao-Guang Li

Oncotarget 7:41986-41995 PubMed27259255

2016

High expression of galectin-7 associates with poor overall survival in patients with non-metastatic clear-cell renal cell carcinoma.

Applications

Unspecified application

Species

Unspecified reactive species

Jieti Wang,Yidong Liu,Yuanfeng Yang,Zhiying Xu,Guodong Zhang,Zheng Liu,Hangcheng Fu,Zewei Wang,Haiou Liu,Jiejie Xu

Oncology letters 10:3826-3831 PubMed26788216

2015

Clinical significance of galectin-7 in vulvar squamous cell carcinoma.

Applications

WB

Species

Unspecified reactive species

Ying Jiang,Ruoyang Tian,Shuang Yu,Y I Zhao,Yang Chen,Hui Li,Ying Qiao,Xin Wu
View all publications

Product promise

We are committed to supporting your work with high-quality reagents, and we're here for you every step of the way. In the unlikely event that one of our products does not perform as expected, you're protected by our Product Promise.
For full details, please see our Terms & Conditions

Please note: All products are 'FOR RESEARCH USE ONLY. NOT FOR USE IN DIAGNOSTIC OR THERAPEUTIC PROCEDURES'.

For licensing inquiries, please contact partnerships@abcam.com