JavaScript is disabled in your browser. Please enable JavaScript to view this website.
AB316271

Anti-Galectin 8/Gal-8 antibody [EPR26780-11]

Be the first to review this product! Submit a review

|

(0 Publication)

Rabbit Recombinant Monoclonal Galectin 8/Gal-8 antibody. Suitable for WB and reacts with Mouse, Rat samples.

View Alternative Names

Galectin-8, Gal-8, LGALS-8, Lgals8

3 Images
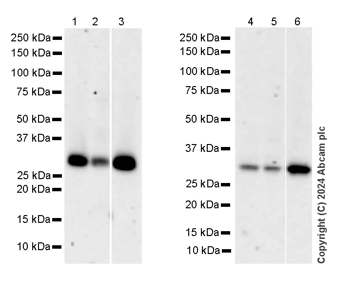
Western blot - Anti-Galectin 8/Gal-8 antibody [EPR26780-11] (AB316271)
  • WB

Supplier Data

Western blot - Anti-Galectin 8/Gal-8 antibody [EPR26780-11] (AB316271)

All lanes:

Western blot - Anti-Galectin 8/Gal-8 antibody [EPR26780-11] (ab316271) at 1/1000 dilution

Lane 1:

Rat brain tissue lysate at 20 µg with 5% NFDM/TBST

Lane 2:

Rat heart tissue lysate at 20 µg with 5% NFDM/TBST

Lane 3:

Rat spleen tissue lysate at 20 µg with 5% NFDM/TBST

Lane 4:

Mouse brain tissue lysate at 20 µg with 5% NFDM/TBST

Lane 5:

Mouse heart tissue lysate at 20 µg with 5% NFDM/TBST

Lane 6:

Mouse spleen tissue lysate at 20 µg with 5% NFDM/TBST

Secondary

All lanes:

Western blot - Goat Anti-Rabbit IgG H&L (HRP) (<a href='/en-us/products/secondary-antibodies/goat-rabbit-igg-h-l-hrp-ab97051'>ab97051</a>) at 1/20000 dilution

Observed band size: 34 kDa

false

Exposure time: 180s

Western blot - Anti-Galectin 8/Gal-8 antibody [EPR26780-11] (AB316271)
  • WB

Supplier Data

Western blot - Anti-Galectin 8/Gal-8 antibody [EPR26780-11] (AB316271)

The identity of the band at around 15 kDa in lane 2 is unknown.

All lanes:

Western blot - Anti-Galectin 8/Gal-8 antibody [EPR26780-11] (ab316271) at 1/1000 dilution

Lane 1:

RAW 264.7 (mouse Abelson murine leukemia virus-induced tumor macrophage) whole cell lysate at 20 µg with 5% NFDM/TBST

Lane 2:

C2C12 (mouse myoblast) whole cell lysate at 20 µg with 5% NFDM/TBST

Lane 3:

PC-12 (rat adrenal gland pheochromocytoma cell) whole cell lysate at 20 µg with 5% NFDM/TBST

Lane 4:

C6 (rat glial tumor glial cell) whole cell lysate at 20 µg with 5% NFDM/TBST

Secondary

All lanes:

Western blot - Goat Anti-Rabbit IgG H&L (HRP) (<a href='/en-us/products/secondary-antibodies/goat-rabbit-igg-h-l-hrp-ab97051'>ab97051</a>) at 1/20000 dilution

Observed band size: 34 kDa

false

Exposure time: 180s

Western blot - Anti-Galectin 8/Gal-8 antibody [EPR26780-11] (AB316271)
  • WB

Supplier Data

Western blot - Anti-Galectin 8/Gal-8 antibody [EPR26780-11] (AB316271)

In Western blot, Anti-GAPDH antibody [EPR16891] - Loading Control (ab181602) staining at 1/200000 dilution.

All lanes:

Western blot - Anti-Galectin 8/Gal-8 antibody [EPR26780-11] (ab316271) at 1/1000 dilution

Lane 1:

NIH/3T3 (mouse embryonic fibroblast) transfected with scrambled siRNA control whole cell lysate at 20 µg with 5% NFDM/TBST

Lane 2:

NIH/3T3 transfected with siRNA specifically targeting Galectin 8/Gal-8 whole cell lysate at 20 µg with 5% NFDM/TBST

Secondary

All lanes:

Western blot - Goat Anti-Rabbit IgG H&L (HRP) (<a href='/en-us/products/secondary-antibodies/goat-rabbit-igg-h-l-hrp-ab97051'>ab97051</a>) at 1/20000 dilution

Observed band size: 34 kDa,36 kDa

false

Exposure time: 180s

Key facts

Host species

Rabbit

Clonality

Monoclonal

Clone number

EPR26780-11

Isotype

IgG

Carrier free

No

Reacts with

Mouse, Rat

Applications

WB

applications

Immunogen

The exact immunogen used to generate this antibody is proprietary information.

Reactivity data

{ "title": "Reactivity Data", "filters": { "stats": ["", "Species", "Dilution Info", "Notes"], "tabs": { "all-applications": {"fullname" : "All Applications", "shortname": "All Applications"}, "WB" : {"fullname" : "Western blot", "shortname":"WB"}, "ICCIF" : {"fullname" : "Immunocytochemistry/ Immunofluorescence", "shortname":"ICC/IF"}, "FlowCytIntra" : {"fullname" : "Flow Cytometry (Intracellular)", "shortname":"Flow Cyt (Intra)"}, "IHCP" : {"fullname" : "Immunohistochemistry (Formalin/PFA-fixed paraffin-embedded sections)", "shortname":"IHC-P"}, "IP" : {"fullname" : "Immunoprecipitation", "shortname":"IP"} }, "product-promise": { "all": "all", "testedAndGuaranteed": "tested", "guaranteed": "expected", "predicted": "predicted", "notRecommended": "not-recommended" } }, "values": { "Human": { "WB-species-checked": "notRecommended", "WB-species-dilution-info": "", "WB-species-notes": "<p></p>", "ICCIF-species-checked": "notRecommended", "ICCIF-species-dilution-info": "", "ICCIF-species-notes": "", "FlowCytIntra-species-checked": "notRecommended", "FlowCytIntra-species-dilution-info": "", "FlowCytIntra-species-notes": "", "IHCP-species-checked": "notRecommended", "IHCP-species-dilution-info": "", "IHCP-species-notes": "<p></p>", "IP-species-checked": "notRecommended", "IP-species-dilution-info": "", "IP-species-notes": "" }, "Mouse": { "WB-species-checked": "testedAndGuaranteed", "WB-species-dilution-info": "1/1000", "WB-species-notes": "<p></p>", "ICCIF-species-checked": "notRecommended", "ICCIF-species-dilution-info": "", "ICCIF-species-notes": "<p></p>", "FlowCytIntra-species-checked": "notRecommended", "FlowCytIntra-species-dilution-info": "", "FlowCytIntra-species-notes": "<p></p>", "IHCP-species-checked": "notRecommended", "IHCP-species-dilution-info": "", "IHCP-species-notes": "<p></p>", "IP-species-checked": "notRecommended", "IP-species-dilution-info": "", "IP-species-notes": "<p></p>" }, "Rat": { "WB-species-checked": "testedAndGuaranteed", "WB-species-dilution-info": "1/1000", "WB-species-notes": "<p></p>", "ICCIF-species-checked": "notRecommended", "ICCIF-species-dilution-info": "", "ICCIF-species-notes": "", "FlowCytIntra-species-checked": "notRecommended", "FlowCytIntra-species-dilution-info": "", "FlowCytIntra-species-notes": "", "IHCP-species-checked": "notRecommended", "IHCP-species-dilution-info": "", "IHCP-species-notes": "<p></p>", "IP-species-checked": "notRecommended", "IP-species-dilution-info": "", "IP-species-notes": "" } } }

Product details

Patented technology
Our RabMAb® technology is a patented hybridoma-based technology for making rabbit monoclonal antibodies. For details on our patents, please refer to RabMAb® patents.

What are the advantages of a recombinant monoclonal antibody?
This product is a recombinant monoclonal antibody, which offers several advantages including:

  • - High batch-to-batch consistency and reproducibility
  • - Improved sensitivity and specificity
  • - Long-term security of supply
  • - Animal-free batch production

For more information, read more on recombinant antibodies.

Properties and storage information

Form
Liquid
Purification technique
Affinity purification Protein A
Storage buffer
pH: 7.2 - 7.4 Preservative: 0.01% Sodium azide Constituents: PBS, 40% Glycerol (glycerin, glycerine), 0.05% BSA
Shipped at conditions
Blue Ice
Appropriate short-term storage duration
1-2 weeks
Appropriate short-term storage conditions
+4°C
Appropriate long-term storage conditions
-20°C
Aliquoting information
Upon delivery aliquot
Storage information
Avoid freeze / thaw cycle

Supplementary information

This supplementary information is collated from multiple sources and compiled automatically.

Galectin 8 also known as Gal-8 or GAL is a member of the galectin protein family which binds β-galactosides. The protein has another name anti-gal and possesses a molecular mass of approximately 36 kDa. It exhibits broad expression in various tissues including the immune system bones and gastrointestinal tract. Galectin-8 functions mechanically by binding to glycoproteins and glycolipids which facilitates cell adhesion and regulation processes.
Biological function summary

Galectin-8 impacts numerous cellular functions through its involvement in immunomodulation and cell migration. Gal-8 promotes adhesion between cells and the extracellular matrix. It is not a part of a larger protein complex but interacts with multiple cell surface receptors guiding them toward or away from specific locations. Galectins including Galectin-8 influence immune cell responses by managing the apoptosis of T-cells and modifying cytokine production.

Pathways

Galectin-8 engages in signaling pathways related to cellular adhesion and immune system modulation. It participates in the integrin-mediated cell adhesion pathway and contributes to the receptor signaling pathway associated with cytokines. Within these pathways Galectin-8 interacts with other proteins such as integrins and T-cell receptors influencing their activation internalization and cell surface retention.

Galectin-8 plays roles in cancer progression and inflammatory conditions. It is connected to cancer as it regulates angiogenesis cell invasion and metastasis. Galectin-8 interacts with fibronectin and vascular endothelial growth factor (VEGF) within the context of cancer. In inflammatory diseases Gal-8 influences immune cell migration and inflammation through its action on cytokine receptors contributing to conditions like rheumatoid arthritis.

Product protocols

For this product, it's our understanding that no specific protocols are required. You can visit:

Target data

Beta-galactoside-binding lectin that acts as a sensor of membrane damage caused by infection and restricts the proliferation of infecting pathogens by targeting them for autophagy. Detects membrane rupture by binding beta-galactoside ligands located on the lumenal side of the endosome membrane; these ligands becoming exposed to the cytoplasm following rupture. Restricts infection by initiating autophagy via interaction with CALCOCO2/NDP52. Required to restrict infection of bacterial invasion such as S.typhimurium. Also required to restrict infection of Picornaviridae viruses. Has a marked preference for 3'-O-sialylated and 3'-O-sulfated glycans.
See full target information Lgals8

Product promise

We are committed to supporting your work with high-quality reagents, and we're here for you every step of the way. In the unlikely event that one of our products does not perform as expected, you're protected by our Product Promise.
For full details, please see our Terms & Conditions

Please note: All products are 'FOR RESEARCH USE ONLY. NOT FOR USE IN DIAGNOSTIC OR THERAPEUTIC PROCEDURES'.

For licensing inquiries, please contact partnerships@abcam.com