JavaScript is disabled in your browser. Please enable JavaScript to view this website.
AB109519

Anti-Galectin 8/Gal-8 antibody [EPR4857]

4

(4 Reviews)

|

(23 Publications)

Rabbit Recombinant Monoclonal Galectin 8/Gal-8 antibody. Suitable for IHC-P, IP, WB, ICC/IF, Flow Cyt (Intra) and reacts with Human, Recombinant fragment samples. Cited in 23 publications.

View Alternative Names

Galectin-8, Gal-8, Po66 carbohydrate-binding protein, Prostate carcinoma tumor antigen 1, Po66-CBP, PCTA-1, LGALS8

10 Images
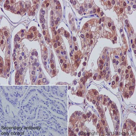
Immunohistochemistry (Formalin/PFA-fixed paraffin-embedded sections) - Anti-Galectin 8/Gal-8 antibody [EPR4857] (AB109519)
  • IHC-P

Unknown

Immunohistochemistry (Formalin/PFA-fixed paraffin-embedded sections) - Anti-Galectin 8/Gal-8 antibody [EPR4857] (AB109519)

Unpurified ab109519, at a 1/100 dilution, staining Human prostatic adenocarcinoma, using Immunohistochemstry, Formalin/PFA-fixed paraffin-embedded tissue.

Perform heat mediated antigen retrieval before commencing with IHC staining protocol.

Flow Cytometry (Intracellular) - Anti-Galectin 8/Gal-8 antibody [EPR4857] (AB109519)
  • Flow Cyt (Intra)

Lab

Flow Cytometry (Intracellular) - Anti-Galectin 8/Gal-8 antibody [EPR4857] (AB109519)

ab109519 staining Galectin 8/Gal-8 in the human cell line HEK293 (human embryonic kidney) by intracellular flow cytometry. Cells were fixed with 4% paraformaldehyde and the sample was incubated with the primary antibody at a dilution of 1/100. A goat anti rabbit IgG (Alexa Fluor® 488) at a dilution of 1/500 was used as the secondary antibody.

Isoytype control : Rabbit monoclonal IgG (Black)

Unlabelled control : Cell without incubation with primary antibody and secondary antibody (Blue)

Immunocytochemistry/ Immunofluorescence - Anti-Galectin 8/Gal-8 antibody [EPR4857] (AB109519)
  • ICC/IF

Lab

Immunocytochemistry/ Immunofluorescence - Anti-Galectin 8/Gal-8 antibody [EPR4857] (AB109519)

ab109519 staining Galectin 8/Gal-8 in HeLa (human cervix adenocarcinoma) cells by ICC/IF (Immunocytochemistry/immunofluorescence). Cells were fixed with 4% Paraformaldehyde and permeabilized with 0.1% Triton X-100. Samples were incubated with primary antibody at a dilution of 1/100. A goat anti rabbit IgG (Alexa Fluor® 488) (ab150077) was used as the secondary antibody at a dilution of 1/1000. ab7291 and ab150120 were used as counterstains for primary antibody ab109519 and secondary antibody ab150077 respectively and DAPI was used as a nuclear counterstain.

Negative control 1 : Rabbit primary antibody and anti-mouse secondary antibody (ab150120)
Negative control 2 : Mouse primary antibody (ab7291) and anti-rabbit secondary antibody (ab150077)

Flow Cytometry (Intracellular) - Anti-Galectin 8/Gal-8 antibody [EPR4857] (AB109519)
  • Flow Cyt (Intra)

Unknown

Flow Cytometry (Intracellular) - Anti-Galectin 8/Gal-8 antibody [EPR4857] (AB109519)

Overlay histogram showing HeLa cells stained with unpurified ab109519 (red line). The cells were fixed with 80% methanol (5 min) and then permeabilized with 0.1% PBS-Tween for 20 min. The cells were then incubated in 1x PBS / 10% normal goat serum / 0.3M glycine to block non-specific protein-protein interactions followed by the antibody (ab109519, 1/100) for 30 min at 22°C. The secondary antibody used was DyLight® 488 goat anti-rabbit IgG (H+L) (ab96899) at 1/500 dilution for 30 min at 22°C. Isotype control antibody (black line) was rabbit IgG (monoclonal) (1μg/1x106 cells) used under the same conditions. Acquisition of >5,000 events was performed.

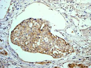
Immunohistochemistry (Formalin/PFA-fixed paraffin-embedded sections) - Anti-Galectin 8/Gal-8 antibody [EPR4857] (AB109519)
  • IHC-P

Lab

Immunohistochemistry (Formalin/PFA-fixed paraffin-embedded sections) - Anti-Galectin 8/Gal-8 antibody [EPR4857] (AB109519)

ab109519 staining Galectin 8/Gal-8 in human prostatic carcinoma tissue sections by Immunohistochemistry (IHC-P - paraformaldehyde-fixed, paraffin-embedded sections). Tissue was fixed with paraformaldehyde and antigen retrieval was by heat mediation in a EDTA buffer. Samples were incubated with primary antibody at a dilution of 1/250. A goat anti-rabbit IgG H&L (HRP) ab97051 was used as the secondary antibody at a dilution of 1/500.

Negative control 1 : PBS in place of primary antibody.

Immunoprecipitation - Anti-Galectin 8/Gal-8 antibody [EPR4857] (AB109519)
  • IP

Lab

Immunoprecipitation - Anti-Galectin 8/Gal-8 antibody [EPR4857] (AB109519)

Purified ab109519 at 1/30 dilution (2μg) immunoprecipitating Galectin 8/Gal-8 in HeLa whole cell lysate.
Lane 1 (input) : HeLa (Human cervix adenocarcinoma epithelial cell) whole cell lysate 10μg
Lane 2 (+) : ab109519 + HeLa whole cell lysate.
Lane 3 (-) : Rabbit monoclonal IgG (ab172730) instead of ab109519 in HeLa whole cell lysate.
VeriBlot for IP Detection Reagent (HRP) (ab131366) (1/10,000 dilution) was used for Western blotting.
Blocking Buffer and concentration : 5% NFDM/TBST.
Diluting buffer and concentration : 5% NFDM/TBST.
Observed band size : 36/40 kDa

All lanes:

Immunoprecipitation - Anti-Galectin 8/Gal-8 antibody [EPR4857] (ab109519)

Predicted band size: 36 kDa

false

Western blot - Anti-Galectin 8/Gal-8 antibody [EPR4857] (AB109519)
  • WB

Unknown

Western blot - Anti-Galectin 8/Gal-8 antibody [EPR4857] (AB109519)

All lanes:

Western blot - Anti-Galectin 8/Gal-8 antibody [EPR4857] (ab109519) at 1/1000 dilution

Lane 1:

HepG2 cell lysate at 10 µg

Lane 2:

LNCaP cell lysate at 10 µg

Predicted band size: 36 kDa,68 kDa

Observed band size: 68 kDa

false

Western blot - Anti-Galectin 8/Gal-8 antibody [EPR4857] (AB109519)
  • WB

Unknown

Western blot - Anti-Galectin 8/Gal-8 antibody [EPR4857] (AB109519)

Blocking and diluting buffer 5% NFDM/TBST

All lanes:

Western blot - Anti-Galectin 8/Gal-8 antibody [EPR4857] (ab109519) at 1/10000 dilution

All lanes:

LNCAP (human prostat carcinoma) whole cell lysate at 10 µg

Secondary

All lanes:

Western blot - Goat Anti-Rabbit IgG H&L (HRP) (<a href='/en-us/products/secondary-antibodies/goat-rabbit-igg-h-l-hrp-ab97051'>ab97051</a>) at 1/20000 dilution

Predicted band size: 36 kDa

Observed band size: 40 kDa

false

Western blot - Anti-Galectin 8/Gal-8 antibody [EPR4857] (AB109519)
  • WB

Supplier Data

Western blot - Anti-Galectin 8/Gal-8 antibody [EPR4857] (AB109519)

ab109519 has weak cross-reactivity with Galectin 9.

Lanes 1 and 3:

unpurified at 1/1000 dilution

Lane 2:

Western blot - Anti-Galectin 8/Gal-8 antibody [EPR4857] (ab109519) at 1/200 dilution

All lanes:

Galectin 9 recombinant protein at 0.02 µg

Predicted band size: 36 kDa

false

Western blot - Anti-Galectin 8/Gal-8 antibody [EPR4857] (AB109519)
  • WB

Unknown

Western blot - Anti-Galectin 8/Gal-8 antibody [EPR4857] (AB109519)

All lanes:

Western blot - Anti-Galectin 8/Gal-8 antibody [EPR4857] (ab109519) at 1/5000 dilution

All lanes:

Western blot - Recombinant Human Galectin 8/Gal-8 protein (His tag N-Terminus) (<a href='/en-us/products/proteins-peptides/recombinant-human-galectin-8-gal-8-protein-ab99294'>ab99294</a>) at 0.1 µg

Secondary

All lanes:

Western blot - Goat Anti-Rabbit IgG H&L (HRP) preadsorbed (<a href='/en-us/products/secondary-antibodies/goat-rabbit-igg-h-l-hrp-preadsorbed-ab97080'>ab97080</a>) at 1/5000 dilution

Predicted band size: 36 kDa

true

Exposure time: 90s

  • Carrier free

    Anti-Galectin 8/Gal-8 antibody [EPR4857] - BSA and Azide free

  • 578 PE

    PE Anti-Galectin 8 / Gal-8 antibody [EPR4857]

  • 660 APC

    APC Anti-Galectin 8 / Gal-8 antibody [EPR4857]

  • HRP

    HRP Anti-Galectin 8 / Gal-8 antibody [EPR4857]

  • 617 Alexa Fluor® 594

    Alexa Fluor® 594 Anti-Galectin 8 / Gal-8 antibody [EPR4857]

  • 519 Alexa Fluor® 488

    Alexa Fluor® 488 Anti-Galectin 8 / Gal-8 antibody [EPR4857]

  • 665 Alexa Fluor® 647

    Alexa Fluor® 647 Anti-Galectin 8 / Gal-8 antibody [EPR4857]

  • 603 Alexa Fluor® 568

    Alexa Fluor® 568 Anti-Galectin 8 / Gal-8 antibody [EPR4857]

  • 565 Alexa Fluor® 555

    Alexa Fluor® 555 Anti-Galectin 8 / Gal-8 antibody [EPR4857]

  • 775 Alexa Fluor® 750

    Alexa Fluor® 750 Anti-Galectin 8/Gal-8 antibody [EPR4857]

Key facts

Host species

Rabbit

Clonality

Monoclonal

Clone number

EPR4857

Isotype

IgG

Carrier free

No

Reacts with

Human

Applications

WB, ICC/IF, IHC-P, IP, Flow Cyt (Intra)

applications

Immunogen

The exact immunogen used to generate this antibody is proprietary information.

Specificity

This antibody has weak cross-reactivity with Galectin 9.

Reactivity data

{ "title": "Reactivity Data", "filters": { "stats": ["", "Species", "Dilution Info", "Notes"], "tabs": { "all-applications": {"fullname" : "All Applications", "shortname": "All Applications"}, "IHCP" : {"fullname" : "Immunohistochemistry (Formalin/PFA-fixed paraffin-embedded sections)", "shortname":"IHC-P"}, "IP" : {"fullname" : "Immunoprecipitation", "shortname":"IP"}, "WB" : {"fullname" : "Western blot", "shortname":"WB"}, "ICCIF" : {"fullname" : "Immunocytochemistry/ Immunofluorescence", "shortname":"ICC/IF"}, "FlowCytIntra" : {"fullname" : "Flow Cytometry (Intracellular)", "shortname":"Flow Cyt (Intra)"} }, "product-promise": { "all": "all", "testedAndGuaranteed": "tested", "guaranteed": "expected", "predicted": "predicted", "notRecommended": "not-recommended" } }, "values": { "Human": { "IHCP-species-checked": "testedAndGuaranteed", "IHCP-species-dilution-info": "1/100 - 1/250", "IHCP-species-notes": "<p></p>", "IP-species-checked": "testedAndGuaranteed", "IP-species-dilution-info": "1/10 - 1/100", "IP-species-notes": "<p></p>", "WB-species-checked": "testedAndGuaranteed", "WB-species-dilution-info": "1/1000 - 1/10000", "WB-species-notes": "<p></p>", "ICCIF-species-checked": "testedAndGuaranteed", "ICCIF-species-dilution-info": "1/50 - 1/100", "ICCIF-species-notes": "<p></p>", "FlowCytIntra-species-checked": "testedAndGuaranteed", "FlowCytIntra-species-dilution-info": "1/10 - 1/100", "FlowCytIntra-species-notes": "<p><a href='/en-us/products/primary-antibodies/rabbit-igg-monoclonal-epr25a-isotype-control-ab172730'>ab172730</a> - Rabbit monoclonal IgG, is suitable for use as an isotype control with this antibody.</p>" }, "Recombinant fragment": { "IHCP-species-checked": "notRecommended", "IHCP-species-dilution-info": "", "IHCP-species-notes": "", "IP-species-checked": "notRecommended", "IP-species-dilution-info": "", "IP-species-notes": "", "WB-species-checked": "testedAndGuaranteed", "WB-species-dilution-info": "1/1000 - 1/10000", "WB-species-notes": "<p></p>", "ICCIF-species-checked": "notRecommended", "ICCIF-species-dilution-info": "", "ICCIF-species-notes": "", "FlowCytIntra-species-checked": "notRecommended", "FlowCytIntra-species-dilution-info": "", "FlowCytIntra-species-notes": "" } } }

Product details

Species reactivity
Mouse, Rat: We have preliminary internal testing data to indicate this antibody may not react with these species.
Please contact us for more information.

Patented technology
Our RabMAb® technology is a patented hybridoma-based technology for making rabbit monoclonal antibodies. For details on our patents, please refer to RabMAb® patents.

What are the advantages of a recombinant monoclonal antibody?
This product is a recombinant monoclonal antibody, which offers several advantages including:

  • - High batch-to-batch consistency and reproducibility
  • - Improved sensitivity and specificity
  • - Long-term security of supply
  • - Animal-free batch production

For more information, read more on recombinant antibodies.

Properties and storage information

Form
Liquid
Purification technique
Affinity purification Protein A
Storage buffer
pH: 7.2 - 7.4 Preservative: 0.01% Sodium azide Constituents: PBS, 40% Glycerol (glycerin, glycerine), 0.05% BSA
Shipped at conditions
Blue Ice
Appropriate short-term storage duration
1-2 weeks
Appropriate short-term storage conditions
+4°C
Appropriate long-term storage conditions
-20°C
Aliquoting information
Upon delivery aliquot
Storage information
Stable for 12 months at -20°C

Supplementary information

This supplementary information is collated from multiple sources and compiled automatically.

Galectin 8 also known as Gal-8 or GAL is a member of the galectin protein family which binds β-galactosides. The protein has another name anti-gal and possesses a molecular mass of approximately 36 kDa. It exhibits broad expression in various tissues including the immune system bones and gastrointestinal tract. Galectin-8 functions mechanically by binding to glycoproteins and glycolipids which facilitates cell adhesion and regulation processes.
Biological function summary

Galectin-8 impacts numerous cellular functions through its involvement in immunomodulation and cell migration. Gal-8 promotes adhesion between cells and the extracellular matrix. It is not a part of a larger protein complex but interacts with multiple cell surface receptors guiding them toward or away from specific locations. Galectins including Galectin-8 influence immune cell responses by managing the apoptosis of T-cells and modifying cytokine production.

Pathways

Galectin-8 engages in signaling pathways related to cellular adhesion and immune system modulation. It participates in the integrin-mediated cell adhesion pathway and contributes to the receptor signaling pathway associated with cytokines. Within these pathways Galectin-8 interacts with other proteins such as integrins and T-cell receptors influencing their activation internalization and cell surface retention.

Galectin-8 plays roles in cancer progression and inflammatory conditions. It is connected to cancer as it regulates angiogenesis cell invasion and metastasis. Galectin-8 interacts with fibronectin and vascular endothelial growth factor (VEGF) within the context of cancer. In inflammatory diseases Gal-8 influences immune cell migration and inflammation through its action on cytokine receptors contributing to conditions like rheumatoid arthritis.

Product protocols

For this product, it's our understanding that no specific protocols are required. You can visit:

Target data

Beta-galactoside-binding lectin that acts as a sensor of membrane damage caused by infection and restricts the proliferation of infecting pathogens by targeting them for autophagy (PubMed : 22246324, PubMed : 28077878). Detects membrane rupture by binding beta-galactoside ligands located on the lumenal side of the endosome membrane; these ligands becoming exposed to the cytoplasm following rupture (PubMed : 22246324, PubMed : 28077878). Restricts infection by initiating autophagy via interaction with CALCOCO2/NDP52 (PubMed : 22246324, PubMed : 28077878). Required to restrict infection of bacterial invasion such as S.typhimurium (PubMed : 22246324). Also required to restrict infection of Picornaviridae viruses (PubMed : 28077878). Has a marked preference for 3'-O-sialylated and 3'-O-sulfated glycans (PubMed : 21288902).
See full target information LGALS8

Publications (23)

Recent publications for all applications. Explore the full list and refine your search

Frontiers in neurology 15:1483016 PubMed39722688

2024

Insulin like growth factor 2 mRNA binding protein 2 regulates vascular development in cerebral arteriovenous malformations.

Applications

Unspecified application

Species

Unspecified reactive species

Lin-Jian Wang,Yangyang Wu,Sha Xie,Hongkai Lian

International journal of molecular sciences 25: PubMed39000016

2024

Expression of Intracellular Galectin-8 and -9 in Endometrial Cancer.

Applications

Unspecified application

Species

Unspecified reactive species

Susanne Beyer,Maya Wehrmann,Sarah Meister,Fabian Trillsch,Franziska Ganster,Elisa Schmoeckel,Stefanie Corradini,Sven Mahner,Udo Jeschke,Mirjana Kessler,Alexander Burges,Thomas Kolben

The Journal of experimental medicine 221: PubMed38517332

2024

A TBK1 variant causes autophagolysosomal and motoneuron pathology without neuroinflammation in mice.

Applications

Unspecified application

Species

Unspecified reactive species

David Brenner,Kirsten Sieverding,Jahnavi Srinidhi,Susanne Zellner,Christopher Secker,Rüstem Yilmaz,Julia Dyckow,Shady Amr,Anna Ponomarenko,Esra Tunaboylu,Yasmin Douahem,Joana S Schlag,Lucía Rodríguez Martínez,Georg Kislinger,Cornelia Niemann,Karsten Nalbach,Wolfgang P Ruf,Jonathan Uhl,Johanna Hollenbeck,Lucas Schirmer,Alberto Catanese,Christian S Lobsiger,Karin M Danzer,Deniz Yilmazer-Hanke,Christian Münch,Philipp Koch,Axel Freischmidt,Martina Fetting,Christian Behrends,Rosanna Parlato,Jochen H Weishaupt

Cell communication and signaling : CCS 22:175 PubMed38468333

2024

The intracellular interplay between galectin-1 and FGF12 in the assembly of ribosome biogenesis complex.

Applications

Unspecified application

Species

Unspecified reactive species

Aleksandra Gędaj,Aleksandra Chorążewska,Krzysztof Ciura,Radosław Karelus,Dominika Żukowska,Martyna Biaduń,Marta Kalka,Małgorzata Zakrzewska,Natalia Porębska,Łukasz Opaliński

Biomedicines 12: PubMed38397905

2024

Significance of the Galectin-8 Immunohistochemical Profile in Ovarian Cancer.

Applications

Unspecified application

Species

Unspecified reactive species

Elena-Roxana Avădănei,Irina-Draga Căruntu,Cornelia Amalinei,Ioana Păvăleanu,Simona-Eliza Giușcă,Andreea Rusu,Ludmila Lozneanu

Cell reports. Medicine 5:101374 PubMed38232701

2024

Discovery of galectin-8 as an LILRB4 ligand driving M-MDSCs defines a class of antibodies to fight solid tumors.

Applications

Unspecified application

Species

Unspecified reactive species

Yiting Wang,Yufan Sun,Shouyan Deng,Jiayang Liu,Jianghong Yu,Hao Chi,Xue Han,Yuan Zhang,Jiawei Shi,Yungang Wang,Yingfei Quan,Hai Li,Jie Xu

Diagnostics (Basel, Switzerland) 13: PubMed37892036

2023

Galectin-8 Immunohistochemical Profile in Pancreatic Ductal Adenocarcinoma: Emerging Evidence for Its Prognostic Role.

Applications

Unspecified application

Species

Unspecified reactive species

Andreea Rusu,Irina-Draga Caruntu,Ludmila Lozneanu,Delia Gabriela Ciobanu,Cornelia Amalinei,Simona-Eliza Giusca

iScience 26:106984 PubMed37534161

2023

Galectin-1 induces a tumor-associated macrophage phenotype and upregulates indoleamine 2,3-dioxygenase-1.

Applications

Unspecified application

Species

Unspecified reactive species

Asha M Rudjord-Levann,Zilu Ye,Lise Hafkenscheid,Sabrina Horn,Renske Wiegertjes,Mathias A I Nielsen,Ming Song,Caroline B K Mathiesen,Jesse Stoop,Sean Stowell,Per Thor Straten,Hakon Leffler,Sergey Y Vakhrushev,Sally Dabelsteen,Jesper V Olsen,Hans H Wandall

American journal of cancer research 13:2517-2529 PubMed37424827

2023

Galectin-8 alters immune microenvironment and promotes tumor progression.

Applications

Unspecified application

Species

Unspecified reactive species

Yiting Wang,Yufan Sun,Hai Li,Jie Xu

International journal of molecular sciences 24: PubMed37298652

2023

Human GBP1 Is Involved in the Repair of Damaged Phagosomes/Endolysosomes.

Applications

Unspecified application

Species

Unspecified reactive species

Hellen Buijze,Volker Brinkmann,Robert Hurwitz,Anca Dorhoi,Stefan H E Kaufmann,Gang Pei
View all publications

Product promise

We are committed to supporting your work with high-quality reagents, and we're here for you every step of the way. In the unlikely event that one of our products does not perform as expected, you're protected by our Product Promise.
For full details, please see our Terms & Conditions

Please note: All products are 'FOR RESEARCH USE ONLY. NOT FOR USE IN DIAGNOSTIC OR THERAPEUTIC PROCEDURES'.

For licensing inquiries, please contact partnerships@abcam.com