JavaScript is disabled in your browser. Please enable JavaScript to view this website.
AB227046

Anti-galectin 9/Gal-9 antibody [EPR22214]

  • RabMAb
  • Recombinant
  • KO Validated
  • 20ul selling size
  • What is this?

Be the first to review this product! Submit a review

|

(13 Publications)

Anti-galectin 9/Gal-9 antibody [EPR22214] (ab227046) is a rabbit monoclonal antibody detecting galectin 9/Gal-9 in Western Blot, Flow Cytometry (Intra), Flow Cytometry, IHC-P, ICC/IF. Suitable for Human.

- KO validated for confirmed specificity
- Biophysical QC for unrivalled batch-batch consistency

View Alternative Names

Galectin-9, Gal-9, Ecalectin, Tumor antigen HOM-HD-21, LGALS9

9 Images
Immunohistochemistry (Formalin/PFA-fixed paraffin-embedded sections) - Anti-galectin 9/Gal-9 antibody [EPR22214] (AB227046)
  • IHC-P

Supplier Data

Immunohistochemistry (Formalin/PFA-fixed paraffin-embedded sections) - Anti-galectin 9/Gal-9 antibody [EPR22214] (AB227046)

Immunohistochemical analysis of paraffin-embedded human colon tissue labeling galectin 9/Gal-9 with ab227046 at 1/1000 dilution, followed by a ready to use Goat Anti-Rabbit IgG H&L (HRP). Nuclear and cytoplasmic staining on epithelial cells of human colon (PMID : 18202194) is observed. Counterstained with hematoxylin.
Secondary antibody only control : Used PBS instead of primary antibody, secondary antibody is a ready to use Goat Anti-Rabbit IgG H&L (HRP).
Perform heat mediated antigen retrieval using ab93684 (Tris/EDTA buffer, pH 9.0).

Flow Cytometry (Intracellular) - Anti-galectin 9/Gal-9 antibody [EPR22214] (AB227046)
  • Flow Cyt (Intra)

Supplier Data

Flow Cytometry (Intracellular) - Anti-galectin 9/Gal-9 antibody [EPR22214] (AB227046)

Intracellular flow cytometric analysis of 4% paraformaldehyde-fixed, 90% methanol permeabilized PANC-1 (human pancreatic epithelial cancinoma cell line) (Left) / U937 (human histiocytic lymphoma cell line) (Right) cell line labeling galectin 9/Gal-9 with ab227046 at 1/500 (red) compared with a Rabbit monoclonal IgG (ab172730) (black) and an unlabeled control (cells without incubation with primary antibody and secondary antibody) (blue). Goat anti rabbit IgG (Alexa Fluor® 488, ab150077), at 1/2000 dilution was used as the secondary antibody.

Negative Control - PANC-1 cells.

Immunocytochemistry/ Immunofluorescence - Anti-galectin 9/Gal-9 antibody [EPR22214] (AB227046)
  • ICC/IF

Unknown

Immunocytochemistry/ Immunofluorescence - Anti-galectin 9/Gal-9 antibody [EPR22214] (AB227046)

Immunocytochemistry analysis of 4% paraformaldehyde-fixed, 0.1% Triton X-100 permeabilized Cell line U937 (human histiocytic lymphoma cell line) cells labeling galectin 9/Gal-9 with ab227046 at 1/250 dilution, followed by Goat Anti-Rabbit IgG H&L (Alexa Fluor® 488) (ab150077) secondary antibody at 1/1000 dilution (green).
The nuclear counterstain is DAPI (blue).
Counterstained with ab195889 Anti-alpha Tubulin antibody [DM1A] - Microtubule Marker (Alexa Fluor® 594) at a 1/200 dilution (red).

Confocal image showing nuclear and cytoplasmic staining in U937 cell line.

Negative control : PANC-1.

Immunocytochemistry/ Immunofluorescence - Anti-galectin 9/Gal-9 antibody [EPR22214] (AB227046)
  • ICC/IF

Supplier Data

Immunocytochemistry/ Immunofluorescence - Anti-galectin 9/Gal-9 antibody [EPR22214] (AB227046)

Immunofluorescent analysis of 4% paraformaldehyde-fixed, 0.1% Triton X-100 permeabilized HEK-293T (human epithelial cell line from embryonic kidney) cells labeling galectin 9/Gal-9 with ab227046 at 1/250 dilution, followed by Goat Anti-Rabbit IgG H&L (Alexa Fluor® 488) (ab150077) secondary antibody at 1/1000 dilution (green).

Confocal image showing no staining in HEK-293T cells

Negative control : HEK-293T (PMID : 11698107). The nuclear counterstain is DAPI (blue).
Counterstained with ab195889 Anti-alpha Tubulin antibody [DM1A] - Microtubule Marker (Alexa Fluor® 594) at a 1/200 dilution (red).
Secondary antibody only control : Used PBS instead of the primary antibody, followed by Goat Anti-Rabbit IgG H&L (Alexa Fluor® 488) (ab150077) secondary antibody at 1/1000 dilution.

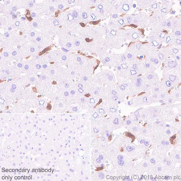
Immunohistochemistry (Formalin/PFA-fixed paraffin-embedded sections) - Anti-galectin 9/Gal-9 antibody [EPR22214] (AB227046)
  • IHC-P

Supplier Data

Immunohistochemistry (Formalin/PFA-fixed paraffin-embedded sections) - Anti-galectin 9/Gal-9 antibody [EPR22214] (AB227046)

Immunohistochemical analysis of paraffin-embedded human liver tissue labeling galectin 9/Gal-9 with ab227046 at 1/1000 dilution, followed by a ready to use Goat Anti-Rabbit IgG H&L (HRP). Nuclear and cytoplasmic staining on Kupffer cells of human liver (PMID : 20209097, PMID : 18202194) is observed. Counterstained with hematoxylin.
Secondary antibody only control : Used PBS instead of primary antibody, secondary antibody is a ready to use Goat Anti-Rabbit IgG H&L (HRP).
Perform heat mediated antigen retrieval using ab93684 (Tris/EDTA buffer, pH 9.0).

Western blot - Anti-galectin 9/Gal-9 antibody [EPR22214] (AB227046)
  • WB

Lab

Western blot - Anti-galectin 9/Gal-9 antibody [EPR22214] (AB227046)

Lanes 1-4 : Merged signal (red and green). Green - ab227046 observed at 34-39 kDa. Red - loading control ab8245 observed at 36 kDa.

ab227046 Anti-galectin 9/Gal-9 antibody [EPR22214] was shown to specifically react with galectin 9/Gal-9 in wild-type A549 cells. Loss of signal was observed when knockout cell line ab266923 (knockout cell lysate ab256976) was used. Wild-type and galectin 9/Gal-9 knockout samples were subjected to SDS-PAGE. ab227046 and Anti-GAPDH antibody [6C5] - Loading Control (ab8245) were incubated overnight at 4°C at 1 in 500 dilution and 1 in 20000 dilution respectively. Blots were developed with Goat anti-Rabbit IgG H&L (IRDye® 800CW) preadsorbed (ab216773) and Goat anti-Mouse IgG H&L (IRDye® 680RD) preadsorbed (ab216776) secondary antibodies at 1 in 20000 dilution for 1 hour at room temperature before imaging.

All lanes:

Western blot - Anti-galectin 9/Gal-9 antibody [EPR22214] (ab227046) at 1/500 dilution

Lane 1:

Wild-type A549 cell lysate at 20 µg

Lane 2:

Galectin 9 knockout A549 cell lysate at 20 µg

Lane 2:

Western blot - Human Lgals9 (galectin 9/Gal-9) knockout A549 cell line (<a href='/en-us/products/cell-lines/human-lgals9-galectin-9-gal-9-knockout-a549-cell-line-ab266923'>ab266923</a>)

Lane 3:

U-937 cell lysate at 20 µg

Secondary

All lanes:

Western blot - Goat anti-Rabbit IgG H&L (IRDye® 800CW) preadsorbed (<a href='/en-us/products/secondary-antibodies/goat-rabbit-igg-h-l-irdye-800cw-preadsorbed-ab216773'>ab216773</a>) at 1/10000 dilution

Predicted band size: 40 kDa

Observed band size: 34-39 kDa

false

Western blot - Anti-galectin 9/Gal-9 antibody [EPR22214] (AB227046)
  • WB

Supplier Data

Western blot - Anti-galectin 9/Gal-9 antibody [EPR22214] (AB227046)

Blocking/Dilution buffer : 5% NFDM/TBST.

The expression of the isoforms observed is consistent with what has been described in the literature (PMID 11886844, PMID : 22805533).

Degraded fragments (13-15 kDa) has also been described (PMID : 15811318).

Negative control : HEK-293T (PMID : 24333696).

All lanes:

Western blot - Anti-galectin 9/Gal-9 antibody [EPR22214] (ab227046) at 1/1000 dilution

Lane 1:

THP-1 (human monocytic leukemia monocyte), whole cell lysate at 20 µg

Lane 2:

HEK-293T (human embryonic kidney epithelial cell), whole cell lysate at 20 µg

Secondary

All lanes:

Western blot - Goat Anti-Rabbit IgG H&L (HRP) (<a href='/en-us/products/secondary-antibodies/goat-rabbit-igg-h-l-hrp-ab97051'>ab97051</a>) at 1/20000 dilution

Predicted band size: 40 kDa

Observed band size: 13-15 kDa,34-39 kDa

false

Exposure time: 59s

Western blot - Anti-galectin 9/Gal-9 antibody [EPR22214] (AB227046)
  • WB

Supplier Data

Western blot - Anti-galectin 9/Gal-9 antibody [EPR22214] (AB227046)

Blocking/Dilution buffer : 5% NFDM/TBST.

The expression of the isoforms observed is consistent with what has been described in the literature (PMID 11886844, PMID : 22805533).

Degraded fragments (13-15 kDa) have also been descried (PMID : 15811318).

Negative control : PANC-1.

All lanes:

Western blot - Anti-galectin 9/Gal-9 antibody [EPR22214] (ab227046) at 1/1000 dilution

Lane 1:

U937 (human histiocytic lymphoma monocyte), whole cell lysate at 20 µg

Lane 2:

HL-60 (human Acute Promyelocytic Leukemia promyeloblast), whole cell lysate at 20 µg

Lane 3:

MOLT-4 (human lymphoblastic leukemia T lymphoblast), whole cell lysate at 20 µg

Lane 4:

PANC-1 (human pancreatic epithelioid carcinoma epithelial cell), whole cell lysate at 20 µg

Secondary

All lanes:

Western blot - Goat Anti-Rabbit IgG H&L (HRP) (<a href='/en-us/products/secondary-antibodies/goat-rabbit-igg-h-l-hrp-ab97051'>ab97051</a>) at 1/20000 dilution

Predicted band size: 40 kDa

Observed band size: 13-15 kDa,34-39 kDa

false

Exposure time: 59s

Western blot - Anti-galectin 9/Gal-9 antibody [EPR22214] (AB227046)
  • WB

Lab

Western blot - Anti-galectin 9/Gal-9 antibody [EPR22214] (AB227046)

Lanes 1 - 2 : Merged signal (red and green). Green - ab227046 observed at 35 kDa. Red - loading control Mouse anti Histone H3 observed at 18 kDa.

ab227046 was shown to react with galectin 9/Gal-9 in wild-type THP-1 cells in Western blot with loss of signal observed in LGALS9 knockout cell line ab269505 (knockout cell lysate ab269667). Wild-type THP-1 and LGALS9 knockout cell lysates were subjected to SDS-PAGE. Membranes were blocked in 3 % milk in TBS-T (0.1 % Tween®) before incubation with ab227046 and Mouse anti Histone H3 overnight at 4 °C at a 1 in 1000 dilution and a 1 in 20000 dilution respectively. Blots were incubated with Goat anti-Rabbit IgG H&L (IRDye® 800CW) preabsorbed (ab216773) and Goat anti-Mouse IgG H&L (IRDye® 680RD) preabsorbed (ab216776) secondary antibodies at 1 in 20000 dilution for 1 h at room temperature before imaging.

All lanes:

Western blot - Anti-galectin 9/Gal-9 antibody [EPR22214] (ab227046) at 1/1000 dilution

Lane 1:

Wild-type THP-1 cell lysate at 20 µg

Lane 2:

LGALS9 knockout THP-1 cell lysate at 20 µg

Lane 2:

Western blot - Human Lgals9 (galectin 9/Gal-9) knockout THP-1 cell line (<a href='/en-us/products/cell-lines/human-lgals9-galectin-9-gal-9-knockout-thp-1-cell-line-ab269505'>ab269505</a>)

Predicted band size: 40 kDa

Observed band size: 35 kDa

false

  • Carrier free

    Anti-galectin 9/Gal-9 antibody [EPR22214] - BSA and Azide free

  • 578 PE

    PE Anti-Galectin 9 / Gal-9 antibody [EPR22214]

  • 660 APC

    APC Anti-Galectin 9 / Gal-9 antibody [EPR22214]

  • HRP

    HRP Anti-Galectin 9 / Gal-9 antibody [EPR22214]

  • 617 Alexa Fluor® 594

    Alexa Fluor® 594 Anti-galectin 9 / Gal-9 antibody [EPR22214]

  • 665 Alexa Fluor® 647

    Alexa Fluor® 647 Anti-galectin 9 / Gal-9 antibody [EPR22214]

  • 603 Alexa Fluor® 568

    Alexa Fluor® 568 Anti-galectin 9 / Gal-9 antibody [EPR22214]

  • 519 Alexa Fluor® 488

    Alexa Fluor® 488 Anti-galectin 9 / Gal-9 antibody [EPR22214]

  • 565 Alexa Fluor® 555

    Alexa Fluor® 555 Anti-galectin 9 / Gal-9 antibody [EPR22214]

  • 775 Alexa Fluor® 750

    Alexa Fluor® 750 Anti-galectin 9/Gal-9 antibody [EPR22214]

  • Carrier free

    Anti-galectin 9/Gal-9 antibody [EPR22214] - Low endotoxin, Azide free

Key facts

Host species

Rabbit

Clonality

Monoclonal

Clone number

EPR22214

Isotype

IgG

Carrier free

No

Reacts with

Human

Applications

WB, IHC-P, Flow Cyt (Intra), ICC/IF

applications

Immunogen

The exact immunogen used to generate this antibody is proprietary information.

Specificity

This antibody is not recommended for mouse and rat in IHC.

Reactivity data

{ "title": "Reactivity Data", "filters": { "stats": ["", "Species", "Dilution Info", "Notes"], "tabs": { "all-applications": {"fullname" : "All Applications", "shortname": "All Applications"}, "ICCIF" : {"fullname" : "Immunocytochemistry/ Immunofluorescence", "shortname":"ICC/IF"}, "IP" : {"fullname" : "Immunoprecipitation", "shortname":"IP"}, "WB" : {"fullname" : "Western blot", "shortname":"WB"}, "FlowCytIntra" : {"fullname" : "Flow Cytometry (Intracellular)", "shortname":"Flow Cyt (Intra)"}, "IHCP" : {"fullname" : "Immunohistochemistry (Formalin/PFA-fixed paraffin-embedded sections)", "shortname":"IHC-P"} }, "product-promise": { "all": "all", "testedAndGuaranteed": "tested", "guaranteed": "expected", "predicted": "predicted", "notRecommended": "not-recommended" } }, "values": { "Human": { "ICCIF-species-checked": "testedAndGuaranteed", "ICCIF-species-dilution-info": "1/250", "ICCIF-species-notes": "<p></p>", "IP-species-checked": "notRecommended", "IP-species-dilution-info": "", "IP-species-notes": "<p></p>", "WB-species-checked": "testedAndGuaranteed", "WB-species-dilution-info": "1/1000", "WB-species-notes": "<p></p>", "FlowCytIntra-species-checked": "testedAndGuaranteed", "FlowCytIntra-species-dilution-info": "1/500", "FlowCytIntra-species-notes": "<p></p>", "IHCP-species-checked": "testedAndGuaranteed", "IHCP-species-dilution-info": "1/1000", "IHCP-species-notes": "<p></p> Perform heat-mediated antigen retrieval with Tris/EDTA buffer pH 9.0 before commencing with IHC staining protocol." } } }

Product details

What is this antibody validated in?
Anti-galectin 9/Gal-9 antibody [EPR22214] (ab227046) is a rabbit recombinant monoclonal antibody and is validated for use in Western Blot (WB), Flow Cytometry (Intra), Flow Cytometry (Flow Cyt), Immunohistochemistry (IHC-P), Immunocytochemistry/immunofluorescence (ICC/IF) in Human samples.

What is the molecular weight of galectin 9/Gal-9?
Anti-galectin 9/Gal-9 [EPR22214] (ab227046) specifically detects a band for galectin 9/Gal-9 (UniProt: O00182) at a molecular weight of 40kDa.

Trial sizes available!
Test your antibody or perform pre-screening before committing to a larger quantity. Sold in 10µl. Discover our selection of trial-size antibodies.

Specificity confirmed
The specificity of Anti-galectin 9/Gal-9 antibody [EPR22214] (ab227046) has been confirmed by Western blot testing in LGALS9 Knockout THP-1 cell line, ab269505.

Other related products
We have a range of other formats of antibody clone [EPR22214] also available for your convenience: ab227046, Carrier free - ab243288, Carrier free - ab246797, PE - ab306117, APC - ab306118, HRP - ab306119, Alkaline Phosphatase - ab308677, Alexa Fluor® 488 - ab309646, Alexa Fluor® 647 - ab310012, Alexa Fluor® 594 - ab310379, Alexa Fluor® 555 - ab311904, Alexa Fluor® 568 - ab312375, Alexa Fluor® 750 - ab321429

Patented technology
Our RabMAb® technology is a patented hybridoma-based technology for making rabbit monoclonal antibodies. For details on our patents, please refer to RabMAb® patents.

What are the advantages of a recombinant monoclonal antibody?
This product is a recombinant monoclonal antibody, which offers several advantages including:

  • - High batch-to-batch consistency and reproducibility
  • - Improved sensitivity and specificity
  • - Long-term security of supply
  • - Animal-free batch production

For more information, read more on recombinant antibodies.

Properties and storage information

Form
Liquid
Purification technique
Affinity purification Protein A
Storage buffer
pH: 7.2 - 7.4 Preservative: 0.01% Sodium azide Constituents: PBS, 40% Glycerol (glycerin, glycerine), 0.05% BSA
Shipped at conditions
Blue Ice
Appropriate short-term storage duration
1-2 weeks
Appropriate short-term storage conditions
+4°C
Appropriate long-term storage conditions
-20°C
Aliquoting information
Upon delivery aliquot
Storage information
Avoid freeze / thaw cycle

Supplementary information

This supplementary information is collated from multiple sources and compiled automatically.

Galectin-9 also known as Gal-9 or LGALS9 is a Β-galactoside-binding lectin with a molecular mass of around 40 kDa. It shows expression in various tissues including the thymus spleen and liver. The galectin-9 protein is involved in cell-cell and cell-matrix interactions where it binds to glycoproteins and glycolipids. Researchers commonly use methods like Galectin-9 ELISA to measure its levels in different biological samples.
Biological function summary

Galectins like galectin-9 play essential roles in regulating diverse immune responses. Galectin-9 acts within the immune system by modulating inflammation and apoptosis. It acts as both a pro-apoptotic factor for T cells and a protein mediator in innate immune functions. Galectin-9 proteins can form complexes with other lectins and cell surface receptors contributing to cellular signaling processes.

Pathways

Galectin-9 is integral to the immune system's functional networks. It participates in the T-cell regulation pathways and the innate immunity pathways. In these pathways it interacts with other proteins like TIM-3 which mediates T-cell apoptosis and contributes to immune tolerance. These interaction networks play important roles in maintaining the body's immune homeostasis.

Galectin-9 has associations with autoimmune diseases and cancer. Its regulatory effects on T cells connect it to autoimmune conditions where abnormal T-cell activation occurs. In cancer the alteration in galectin-9 expression levels affects tumor immunity. The interaction of galectin-9 with other proteins like TIM-3 is important in cancer progression making it a target of interest for therapeutic interventions.

Product protocols

For this product, it's our understanding that no specific protocols are required. You can visit:

Target data

Binds galactosides (PubMed : 18005988). Has high affinity for the Forssman pentasaccharide (PubMed : 18005988). Ligand for HAVCR2/TIM3 (PubMed : 16286920). Binding to HAVCR2 induces T-helper type 1 lymphocyte (Th1) death (PubMed : 16286920). Also stimulates bactericidal activity in infected macrophages by causing macrophage activation and IL1B secretion which restricts intracellular bacterial growth (By similarity). Ligand for P4HB; the interaction retains P4HB at the cell surface of Th2 T-helper cells, increasing disulfide reductase activity at the plasma membrane, altering the plasma membrane redox state and enhancing cell migration (PubMed : 21670307). Ligand for CD44; the interaction enhances binding of SMAD3 to the FOXP3 promoter, leading to up-regulation of FOXP3 expression and increased induced regulatory T (iTreg) cell stability and suppressive function (By similarity). Promotes ability of mesenchymal stromal cells to suppress T-cell proliferation (PubMed : 23817958). Expands regulatory T-cells and induces cytotoxic T-cell apoptosis following virus infection (PubMed : 20209097). Activates ERK1/2 phosphorylation inducing cytokine (IL-6, IL-8, IL-12) and chemokine (CCL2) production in mast and dendritic cells (PubMed : 16116184, PubMed : 24465902). Inhibits degranulation and induces apoptosis of mast cells (PubMed : 24465902). Induces maturation and migration of dendritic cells (PubMed : 16116184, PubMed : 25754930). Inhibits natural killer (NK) cell function (PubMed : 23408620). Can transform NK cell phenotype from peripheral to decidual during pregnancy (PubMed : 25578313). Astrocyte derived galectin-9 enhances microglial TNF production (By similarity). May play a role in thymocyte-epithelial interactions relevant to the biology of the thymus. May provide the molecular basis for urate flux across cell membranes, allowing urate that is formed during purine metabolism to efflux from cells and serving as an electrogenic transporter that plays an important role in renal and gastrointestinal urate excretion (By similarity). Highly selective to the anion urate (By similarity).. Isoform 2. Acts as an eosinophil chemoattractant (PubMed : 9642261). It also inhibits angiogenesis (PubMed : 24333696). Suppresses IFNG production by natural killer cells (By similarity).
See full target information LGALS9

Publications (13)

Recent publications for all applications. Explore the full list and refine your search

Nature communications 16:4259 PubMed40335523

2025

Autophagy-independent role of ATG9A vesicles as carriers for galectin-9 secretion.

Applications

Unspecified application

Species

Unspecified reactive species

Wenting Zhang,Cuicui Ji,Xianghua Li,Tianlong He,Wei Jiang,Yukun Liu,Meiling Wu,Yunpeng Zhao,Xuechai Chen,Xiaoli Wang,Jian Li,Haolin Zhang,Juan Wang

Science advances 11:eads8351 PubMed40106574

2025

Genome-wide CRISPR screen identifies IRF1 and TFAP4 as transcriptional regulators of Galectin-9 in T cell acute lymphoblastic leukemia.

Applications

Unspecified application

Species

Unspecified reactive species

Caroline R M Wiggers,Burak Yüzügüldü,Nathanial G Tadros,Tayla B Heavican-Foral,Eugene Y Cho,Zachary C Eisenbies,Merve Ozdemir,Steffen B Kulp,Yun-Cheol Chae,Alejandro Gutierrez,Jens G Lohr,Birgit Knoechel

eLife 13: PubMed39495223

2024

Cell-autonomous targeting of arabinogalactan by host immune factors inhibits mycobacterial growth.

Applications

Unspecified application

Species

Unspecified reactive species

Lianhua Qin,Junfang Xu,Jianxia Chen,Sen Wang,Ruijuan Zheng,Zhenling Cui,Zhonghua Liu,Xiangyang Wu,Jie Wang,Xiaochen Huang,Zhaohui Wang,Mingqiao Wang,Rong Pan,Stefan H E Kaufmann,Xun Meng,Lu Zhang,Wei Sha,Haipeng Liu

iScience 27:110072 PubMed38883813

2024

Chemotherapy-induced intestinal epithelial damage directly promotes galectin-9-driven modulation of T cell behavior.

Applications

Unspecified application

Species

Unspecified reactive species

Suze A Jansen,Alessandro Cutilli,Coco de Koning,Marliek van Hoesel,Cynthia L Frederiks,Leire Saiz Sierra,Stefan Nierkens,Michal Mokry,Edward E S Nieuwenhuis,Alan M Hanash,Enric Mocholi,Paul J Coffer,Caroline A Lindemans

Nature communications 15:2719 PubMed38548794

2024

Architecture and activation of human muscle phosphorylase kinase.

Applications

Unspecified application

Species

Unspecified reactive species

Xiaoke Yang,Mingqi Zhu,Xue Lu,Yuxin Wang,Junyu Xiao

Cancer immunology, immunotherapy : CII 73:24 PubMed38280010

2024

Characterization of T cell receptor repertoire in penile cancer.

Applications

Unspecified application

Species

Unspecified reactive species

Junying Zhang,Yapeng Wang,Yiqiang Huang,Xintao Tan,Jing Xu,Qian Yan,Jiao Tan,Yao Zhang,Jun Zhang,Qiang Ma,Hailin Zhu,Jin Ye,Zhaojing Zhu,Weihua Lan

Immunity, inflammation and disease 11:e1022 PubMed37904707

2023

The CD2-CD58 axis: A novel marker predicting poor prognosis in patients with low-grade gliomas and potential therapeutic approaches.

Applications

Unspecified application

Species

Unspecified reactive species

Mingwei Wu,Yiyuan Chen,Gao Hua,Liu Chunhui

iScience 26:107894 PubMed37766998

2023

An immunosuppressive subtype of senescent tumor cells predicted worse immunotherapy response in lung adenocarcinoma.

Applications

Unspecified application

Species

Unspecified reactive species

Guangyu Fan,Tongji Xie,Qiaoyun Tan,Ning Lou,Shasha Wang,Xiaohong Han,Yuankai Shi

Biomolecules 12: PubMed36551191

2022

-GlcNAc-Mediated Regulation of Galectin Expression and Secretion in Human Promyelocytic HL-60 Cells Undergoing Neutrophilic Differentiation.

Applications

Unspecified application

Species

Unspecified reactive species

Adam McTague,Rada Tazhitdinova,Alexander V Timoshenko

Frontiers in molecular neuroscience 15:1046992 PubMed36479526

2022

Galectin-9/Tim-3 pathway mediates dopaminergic neurodegeneration in MPTP-induced mouse model of Parkinson's disease.

Applications

Unspecified application

Species

Unspecified reactive species

Qinyu Peng,Guoxin Zhang,Xiaodi Guo,Lijun Dai,Min Xiong,Zhaohui Zhang,Liam Chen,Zhentao Zhang
View all publications

Product promise

We are committed to supporting your work with high-quality reagents, and we're here for you every step of the way. In the unlikely event that one of our products does not perform as expected, you're protected by our Product Promise.
For full details, please see our Terms & Conditions

Please note: All products are 'FOR RESEARCH USE ONLY. NOT FOR USE IN DIAGNOSTIC OR THERAPEUTIC PROCEDURES'.

For licensing inquiries, please contact partnerships@abcam.com