JavaScript is disabled in your browser. Please enable JavaScript to view this website.
AB243288

Anti-galectin 9/Gal-9 antibody [EPR22214] - BSA and Azide free

4

(1 Review)

|

(1 Publication)

Rabbit Recombinant Monoclonal galectin 9/Gal-9 antibody. Carrier free. Suitable for WB, ICC/IF, Flow Cyt (Intra), IHC-P and reacts with Human samples. Cited in 1 publication.

View Alternative Names

Galectin-9, Gal-9, Ecalectin, Tumor antigen HOM-HD-21, LGALS9

5 Images
Immunocytochemistry/ Immunofluorescence - Anti-galectin 9/Gal-9 antibody [EPR22214] - BSA and Azide free (AB243288)
  • ICC/IF

Supplier Data

Immunocytochemistry/ Immunofluorescence - Anti-galectin 9/Gal-9 antibody [EPR22214] - BSA and Azide free (AB243288)

Immunofluorescent analysis of 4% paraformaldehyde-fixed, 0.1% Triton X-100 permeabilized HEK-293T (human epithelial cell line from embryonic kidney) cells labeling galectin 9/Gal-9 with ab227046 at 1/250 dilution, followed by Goat Anti-Rabbit IgG H&L (Alexa Fluor® 488) (ab150077) secondary antibody at 1/1000 dilution (green).

Confocal image showing no staining in HEK-293T cells

Negative control : HEK-293T (PMID : 11698107). The nuclear counterstain is DAPI (blue).
Counterstained with ab195889 Anti-alpha Tubulin antibody [DM1A] - Microtubule Marker (Alexa Fluor® 594) at a 1/200 dilution (red).
Secondary antibody only control : Used PBS instead of the primary antibody, followed by Goat Anti-Rabbit IgG H&L (Alexa Fluor® 488) (ab150077) secondary antibody at 1/1000 dilution.

This data was developed using the same antibody clone in a different buffer formulation containing PBS, BSA, glycerol, and sodium azide (ab227046).

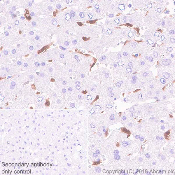
Immunohistochemistry (Formalin/PFA-fixed paraffin-embedded sections) - Anti-galectin 9/Gal-9 antibody [EPR22214] - BSA and Azide free (AB243288)
  • IHC-P

Supplier Data

Immunohistochemistry (Formalin/PFA-fixed paraffin-embedded sections) - Anti-galectin 9/Gal-9 antibody [EPR22214] - BSA and Azide free (AB243288)

Immunohistochemical analysis of paraffin-embedded human liver tissue labeling galectin 9/Gal-9 with ab227046 at 1/1000 dilution, followed by a ready to use Goat Anti-Rabbit IgG H&L (HRP). Nuclear and cytoplasmic staining on Kupffer cells of human liver (PMID : 20209097, PMID : 18202194) is observed. Counterstained with hematoxylin.
Secondary antibody only control : Used PBS instead of primary antibody, secondary antibody is a ready to use Goat Anti-Rabbit IgG H&L (HRP).
Perform heat mediated antigen retrieval using ab93684 (Tris/EDTA buffer, pH 9.0).

This data was developed using the same antibody clone in a different buffer formulation containing PBS, BSA, glycerol, and sodium azide (ab227046).

Immunohistochemistry (Formalin/PFA-fixed paraffin-embedded sections) - Anti-galectin 9/Gal-9 antibody [EPR22214] - BSA and Azide free (AB243288)
  • IHC-P

Supplier Data

Immunohistochemistry (Formalin/PFA-fixed paraffin-embedded sections) - Anti-galectin 9/Gal-9 antibody [EPR22214] - BSA and Azide free (AB243288)

Immunohistochemical analysis of paraffin-embedded human colon tissue labeling galectin 9/Gal-9 with ab227046 at 1/1000 dilution, followed by a ready to use Goat Anti-Rabbit IgG H&L (HRP). Nuclear and cytoplasmic staining on epithelial cells of human colon (PMID : 18202194) is observed. Counterstained with hematoxylin.
Secondary antibody only control : Used PBS instead of primary antibody, secondary antibody is a ready to use Goat Anti-Rabbit IgG H&L (HRP).
Perform heat mediated antigen retrieval using ab93684 (Tris/EDTA buffer, pH 9.0).

This data was developed using the same antibody clone in a different buffer formulation containing PBS, BSA, glycerol, and sodium azide (ab227046).

Flow Cytometry (Intracellular) - Anti-galectin 9/Gal-9 antibody [EPR22214] - BSA and Azide free (AB243288)
  • Flow Cyt (Intra)

Supplier Data

Flow Cytometry (Intracellular) - Anti-galectin 9/Gal-9 antibody [EPR22214] - BSA and Azide free (AB243288)

Intracellular flow cytometric analysis of 4% paraformaldehyde-fixed, 90% methanol permeabilized PANC-1 (human pancreatic epithelial cancinoma cell line) (Left) / U937 (human histiocytic lymphoma cell line) (Right) cell line labeling galectin 9/Gal-9 with ab227046 at 1/500 (red) compared with a Rabbit monoclonal IgG (ab172730) (black) and an unlabeled control (cells without incubation with primary antibody and secondary antibody) (blue). Goat anti rabbit IgG (Alexa Fluor®488, ab150077), at 1/2000 dilution was used as the secondary antibody.

Negative Control -PANC-1 cells.

This data was developed using the same antibody clone in a different buffer formulation containing PBS, BSA, glycerol, and sodium azide (ab227046).

Western blot - Anti-galectin 9/Gal-9 antibody [EPR22214] - BSA and Azide free (AB243288)
  • WB

Lab

Western blot - Anti-galectin 9/Gal-9 antibody [EPR22214] - BSA and Azide free (AB243288)

Lanes 1 - 2 : Merged signal (red and green). Green - ab227046 observed at 35 kDa. Red - loading control Mouse anti Histone H3 observed at 18 kDa.

ab227046 was shown to react with galectin 9/Gal-9 in wild-type THP-1 cells in Western blot with loss of signal observed in LGALS9 knockout cell line ab269505 (knockout cell lysate ab269667). Wild-type THP-1 and LGALS9 knockout cell lysates were subjected to SDS-PAGE. Membranes were blocked in 3 % milk in TBS-T (0.1 % Tween®) before incubation with ab227046 and Mouse anti Histone H3 overnight at 4 °C at a 1 in 1000 dilution and a 1 in 20000 dilution respectively. Blots were incubated with Goat anti-Rabbit IgG H&L (IRDye® 800CW) preabsorbed (ab216773) and Goat anti-Mouse IgG H&L (IRDye® 680RD) preabsorbed (ab216776) secondary antibodies at 1 in 20000 dilution for 1 h at room temperature before imaging.

Lane 1:

Wild-type THP-1 cell lysate at 20 µg

Lane 2:

LGALS9 knockout THP-1 cell lysate at 20 µg

Predicted band size: 40 kDa

Observed band size: 35 kDa

false

  • Unconjugated

    Anti-galectin 9/Gal-9 antibody [EPR22214]

  • 775 Alexa Fluor® 750

    Alexa Fluor® 750 Anti-galectin 9/Gal-9 antibody [EPR22214]

  • Carrier free

    Anti-galectin 9/Gal-9 antibody [EPR22214] - Low endotoxin, Azide free

  • 578 PE

    PE Anti-Galectin 9 / Gal-9 antibody [EPR22214]

  • 660 APC

    APC Anti-Galectin 9 / Gal-9 antibody [EPR22214]

  • HRP

    HRP Anti-Galectin 9 / Gal-9 antibody [EPR22214]

  • 519 Alexa Fluor® 488

    Alexa Fluor® 488 Anti-galectin 9 / Gal-9 antibody [EPR22214]

  • 665 Alexa Fluor® 647

    Alexa Fluor® 647 Anti-galectin 9 / Gal-9 antibody [EPR22214]

  • 617 Alexa Fluor® 594

    Alexa Fluor® 594 Anti-galectin 9 / Gal-9 antibody [EPR22214]

  • 565 Alexa Fluor® 555

    Alexa Fluor® 555 Anti-galectin 9 / Gal-9 antibody [EPR22214]

  • 603 Alexa Fluor® 568

    Alexa Fluor® 568 Anti-galectin 9 / Gal-9 antibody [EPR22214]

Key facts

Host species

Rabbit

Clonality

Monoclonal

Clone number

EPR22214

Isotype

IgG

Carrier free

Yes

Reacts with

Human

Applications

WB, ICC/IF, Flow Cyt (Intra), IHC-P

applications

Immunogen

The exact immunogen used to generate this antibody is proprietary information.

Specificity

This antibody is not recommended for mouse and rat in IHC.

Reactivity data

{ "title": "Reactivity Data", "filters": { "stats": ["", "Species", "Dilution Info", "Notes"], "tabs": { "all-applications": {"fullname" : "All Applications", "shortname": "All Applications"}, "IP" : {"fullname" : "Immunoprecipitation", "shortname":"IP"}, "WB" : {"fullname" : "Western blot", "shortname":"WB"}, "ICCIF" : {"fullname" : "Immunocytochemistry/ Immunofluorescence", "shortname":"ICC/IF"}, "FlowCytIntra" : {"fullname" : "Flow Cytometry (Intracellular)", "shortname":"Flow Cyt (Intra)"}, "IHCP" : {"fullname" : "Immunohistochemistry (Formalin/PFA-fixed paraffin-embedded sections)", "shortname":"IHC-P"} }, "product-promise": { "all": "all", "testedAndGuaranteed": "tested", "guaranteed": "expected", "predicted": "predicted", "notRecommended": "not-recommended" } }, "values": { "Human": { "IP-species-checked": "notRecommended", "IP-species-dilution-info": "", "IP-species-notes": "<p></p>", "WB-species-checked": "testedAndGuaranteed", "WB-species-dilution-info": "", "WB-species-notes": "<p></p>", "ICCIF-species-checked": "testedAndGuaranteed", "ICCIF-species-dilution-info": "", "ICCIF-species-notes": "<p></p>", "FlowCytIntra-species-checked": "testedAndGuaranteed", "FlowCytIntra-species-dilution-info": "", "FlowCytIntra-species-notes": "<p></p>", "IHCP-species-checked": "testedAndGuaranteed", "IHCP-species-dilution-info": "", "IHCP-species-notes": "<p>This antibody is not recommended for human in IHC.</p>" } } }

Product details

ab243288 is the carrier-free version of ab227046.

Patented technology
Our RabMAb® technology is a patented hybridoma-based technology for making rabbit monoclonal antibodies. For details on our patents, please refer to RabMAb® patents.

What are the advantages of a recombinant monoclonal antibody?
This product is a recombinant monoclonal antibody, which offers several advantages including:

  • - High batch-to-batch consistency and reproducibility
  • - Improved sensitivity and specificity
  • - Long-term security of supply
  • - Animal-free batch production

For more information, read more on recombinant antibodies.

Conjugation ready
Our carrier-free antibodies are typically supplied in a PBS-only formulation, purified and free of BSA, sodium azide and glycerol. This conjugation-ready format is designed for use with fluorochromes, metal isotopes, oligonucleotides, and enzymes, which makes them ideal for antibody labelling, functional and cell-based assays, flow-based assays (e.g. mass cytometry) and Multiplex Imaging applications.

Use our conjugation kits for antibody conjugates that are ready-to-use in as little as 20 minutes with 1 minute hands-on-time and 100% antibody recovery: available for fluorescent dyes, HRP, biotin and gold.

Compatibility
This product is compatible with the Maxpar® Antibody Labeling Kit from Fluidigm, without the need for antibody preparation. Maxpar® is a trademark of Fluidigm Canada Inc.

Properties and storage information

Form
Liquid
Purification technique
Affinity purification Protein A
Storage buffer
pH: 7.2 - 7.4 Constituents: PBS
Shipped at conditions
Blue Ice
Appropriate short-term storage conditions
+4°C
Appropriate long-term storage conditions
+4°C
Storage information
Do Not Freeze

Supplementary information

This supplementary information is collated from multiple sources and compiled automatically.

Galectin-9 also known as Gal-9 or LGALS9 is a β-galactoside-binding lectin with a molecular mass of around 40 kDa. It shows expression in various tissues including the thymus spleen and liver. The galectin-9 protein is involved in cell-cell and cell-matrix interactions where it binds to glycoproteins and glycolipids. Researchers commonly use methods like Galectin-9 ELISA to measure its levels in different biological samples.
Biological function summary

Galectins like galectin-9 play essential roles in regulating diverse immune responses. Galectin-9 acts within the immune system by modulating inflammation and apoptosis. It acts as both a pro-apoptotic factor for T cells and a protein mediator in innate immune functions. Galectin-9 proteins can form complexes with other lectins and cell surface receptors contributing to cellular signaling processes.

Pathways

Galectin-9 is integral to the immune system's functional networks. It participates in the T-cell regulation pathways and the innate immunity pathways. In these pathways it interacts with other proteins like TIM-3 which mediates T-cell apoptosis and contributes to immune tolerance. These interaction networks play important roles in maintaining the body's immune homeostasis.

Galectin-9 has associations with autoimmune diseases and cancer. Its regulatory effects on T cells connect it to autoimmune conditions where abnormal T-cell activation occurs. In cancer the alteration in galectin-9 expression levels affects tumor immunity. The interaction of galectin-9 with other proteins like TIM-3 is important in cancer progression making it a target of interest for therapeutic interventions.

Product protocols

For this product, it's our understanding that no specific protocols are required. You can visit:

Target data

Binds galactosides (PubMed : 18005988). Has high affinity for the Forssman pentasaccharide (PubMed : 18005988). Ligand for HAVCR2/TIM3 (PubMed : 16286920). Binding to HAVCR2 induces T-helper type 1 lymphocyte (Th1) death (PubMed : 16286920). Also stimulates bactericidal activity in infected macrophages by causing macrophage activation and IL1B secretion which restricts intracellular bacterial growth (By similarity). Ligand for P4HB; the interaction retains P4HB at the cell surface of Th2 T-helper cells, increasing disulfide reductase activity at the plasma membrane, altering the plasma membrane redox state and enhancing cell migration (PubMed : 21670307). Ligand for CD44; the interaction enhances binding of SMAD3 to the FOXP3 promoter, leading to up-regulation of FOXP3 expression and increased induced regulatory T (iTreg) cell stability and suppressive function (By similarity). Promotes ability of mesenchymal stromal cells to suppress T-cell proliferation (PubMed : 23817958). Expands regulatory T-cells and induces cytotoxic T-cell apoptosis following virus infection (PubMed : 20209097). Activates ERK1/2 phosphorylation inducing cytokine (IL-6, IL-8, IL-12) and chemokine (CCL2) production in mast and dendritic cells (PubMed : 16116184, PubMed : 24465902). Inhibits degranulation and induces apoptosis of mast cells (PubMed : 24465902). Induces maturation and migration of dendritic cells (PubMed : 16116184, PubMed : 25754930). Inhibits natural killer (NK) cell function (PubMed : 23408620). Can transform NK cell phenotype from peripheral to decidual during pregnancy (PubMed : 25578313). Astrocyte derived galectin-9 enhances microglial TNF production (By similarity). May play a role in thymocyte-epithelial interactions relevant to the biology of the thymus. May provide the molecular basis for urate flux across cell membranes, allowing urate that is formed during purine metabolism to efflux from cells and serving as an electrogenic transporter that plays an important role in renal and gastrointestinal urate excretion (By similarity). Highly selective to the anion urate (By similarity).. Isoform 2. Acts as an eosinophil chemoattractant (PubMed : 9642261). It also inhibits angiogenesis (PubMed : 24333696). Suppresses IFNG production by natural killer cells (By similarity).
See full target information LGALS9

Publications (1)

Recent publications for all applications. Explore the full list and refine your search

Biochemistry and biophysics reports 40:101833 PubMed39398537

2024

CEACAM1 increased the lymphangiogenesis through miR-423-5p and NF- kB in Non-Small Cell Lung Cancer.

Applications

Unspecified application

Species

Unspecified reactive species

Jie Yu,Wenke Cai,Tao Zhou,Bo Men,Shunqiong Chen,Dong Tu,Wei Guo,Jicui Wang,Feipeng Zhao,Yan Wang
View all publications

Product promise

We are committed to supporting your work with high-quality reagents, and we're here for you every step of the way. In the unlikely event that one of our products does not perform as expected, you're protected by our Product Promise.
For full details, please see our Terms & Conditions

Please note: All products are 'FOR RESEARCH USE ONLY. NOT FOR USE IN DIAGNOSTIC OR THERAPEUTIC PROCEDURES'.

For licensing inquiries, please contact partnerships@abcam.com