JavaScript is disabled in your browser. Please enable JavaScript to view this website.
AB325125

Anti-galectin 9/Gal-9 antibody [EPR29749-570]

Be the first to review this product! Submit a review

|

(0 Publication)

Rabbit Recombinant Monoclonal galectin 9/Gal-9 antibody. Suitable for IHC-P, WB and reacts with Mouse samples.

View Alternative Names

Galectin-9, Gal-9, Lgals9

4 Images
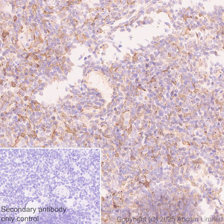
Immunohistochemistry (Formalin/PFA-fixed paraffin-embedded sections) - Anti-galectin 9/Gal-9 antibody [EPR29749-570] (AB325125)
  • IHC-P

Supplier Data

Immunohistochemistry (Formalin/PFA-fixed paraffin-embedded sections) - Anti-galectin 9/Gal-9 antibody [EPR29749-570] (AB325125)

Immunohistochemical analysis of paraffin-embedded Mouse thymus tissue labeling galectin 9/Gal-9 with ab325125 at 1/1000 (0.516 ug/ml) dilution, followed by a ready to use LeicaDS9800 (Bond™ Polymer Refine Detection).

Positive staining on mouse thymus.
The primary antibody was incubated for 30 mins at room temperature.
The immunostaining was performed on a Leica Biosystems BOND® RX instrument

Counterstained with Hematoxylin.

Secondary antibody only control : Secondary antibody is a ready to use LeicaDS9800 (Bond™ Polymer Refine Detection).

Heat mediated antigen retrieval was performed with Tris-EDTA buffer (pH 9.0, Epitope Retrieval Solution2) for 20 mins.

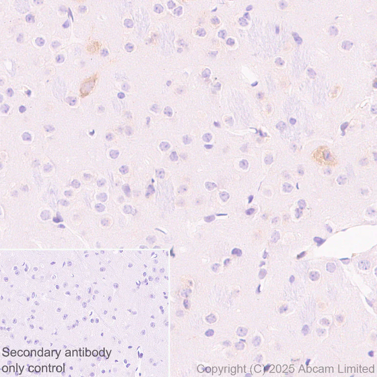
Immunohistochemistry (Formalin/PFA-fixed paraffin-embedded sections) - Anti-galectin 9/Gal-9 antibody [EPR29749-570] (AB325125)
  • IHC-P

Supplier Data

Immunohistochemistry (Formalin/PFA-fixed paraffin-embedded sections) - Anti-galectin 9/Gal-9 antibody [EPR29749-570] (AB325125)

Immunohistochemical analysis of paraffin-embedded Mouse cerebrum tissue labeling galectin 9/Gal-9 with ab325125 at 1/1000 (0.516 ug/ml) dilution, followed by a ready to use LeicaDS9800 (Bond™ Polymer Refine Detection).

Low expression tissue : Weak staining on mouse cerebeum (PMID : 9038233).
The primary antibody was incubated for 30 mins at room temperature.
The immunostaining was performed on a Leica Biosystems BOND® RX instrument

Counterstained with Hematoxylin.

Secondary antibody only control : Secondary antibody is a ready to use LeicaDS9800 (Bond™ Polymer Refine Detection).

Heat mediated antigen retrieval was performed with Tris-EDTA buffer (pH 9.0, Epitope Retrieval Solution2) for 20 mins.

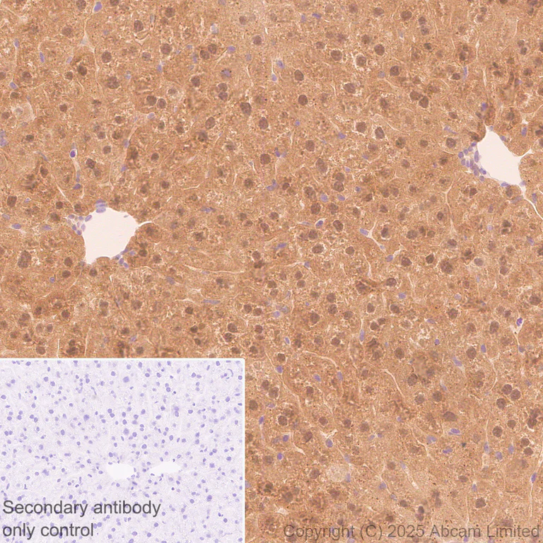
Immunohistochemistry (Formalin/PFA-fixed paraffin-embedded sections) - Anti-galectin 9/Gal-9 antibody [EPR29749-570] (AB325125)
  • IHC-P

Supplier Data

Immunohistochemistry (Formalin/PFA-fixed paraffin-embedded sections) - Anti-galectin 9/Gal-9 antibody [EPR29749-570] (AB325125)

Immunohistochemical analysis of paraffin-embedded Mouse liver tissue labeling galectin 9/Gal-9 with ab325125 at 1/1000 (0.516 ug/ml) dilution, followed by a ready to use LeicaDS9800 (Bond™ Polymer Refine Detection).

Positive staining on mouse liver.
The primary antibody was incubated for 30 mins at room temperature.
The immunostaining was performed on a Leica Biosystems BOND® RX instrument

Counterstained with Hematoxylin.

Secondary antibody only control : Secondary antibody is a ready to use LeicaDS9800 (Bond™ Polymer Refine Detection).

Heat mediated antigen retrieval was performed with Tris-EDTA buffer (pH 9.0, Epitope Retrieval Solution2) for 20 mins.

Western blot - Anti-galectin 9/Gal-9 antibody [EPR29749-570] (AB325125)
  • WB

Supplier Data

Western blot - Anti-galectin 9/Gal-9 antibody [EPR29749-570] (AB325125)

Blocking and diluting buffer and concentration : 5% NFDM/TBST.

Low expression : Mouse brain (PMID : 9038233).

Bands of 40 kDa and 36 kDa respectively represent two different isoforms. Band of 15KDa may represent the cleaved form.

The expression profile/ molecular weight observed is consistent with what has been described in the literature (PMID : 9038233, 11886844, 22805533, 15811318).

In Western blot, Anti-GAPDH antibody [EPR16891] - Loading Control (ab181602) staining at 1/200000 dilution.

All lanes:

Western blot - Anti-galectin 9/Gal-9 antibody [EPR29749-570] (ab325125) at 1/1000 dilution

Lane 1:

Mouse lung tissue lysate at 20 µg

Lane 2:

Mouse liver tissue lysate at 20 µg

Lane 3:

Mouse spleen tissue lysate at 20 µg

Lane 4:

Mouse thymus tissue lysate at 20 µg

Lane 5:

Mouse brain tissue lysate at 20 µg

Secondary

All lanes:

Western blot - Goat Anti-Rabbit IgG H&L (HRP) (<a href='/en-us/products/secondary-antibodies/goat-rabbit-igg-h-l-hrp-ab97051'>ab97051</a>) at 1/20000 dilution

Observed band size: 40 kDa,36 kDa,15 kDa

false

Exposure time: 3min

Key facts

Host species

Rabbit

Clonality

Monoclonal

Clone number

EPR29749-570

Isotype

IgG

Carrier free

No

Reacts with

Mouse

Applications

WB, IHC-P

applications

Immunogen

The exact immunogen used to generate this antibody is proprietary information.

Reactivity data

{ "title": "Reactivity Data", "filters": { "stats": ["", "Species", "Dilution Info", "Notes"], "tabs": { "all-applications": {"fullname" : "All Applications", "shortname": "All Applications"}, "IHCP" : {"fullname" : "Immunohistochemistry (Formalin/PFA-fixed paraffin-embedded sections)", "shortname":"IHC-P"}, "WB" : {"fullname" : "Western blot", "shortname":"WB"} }, "product-promise": { "all": "all", "testedAndGuaranteed": "tested", "guaranteed": "expected", "predicted": "predicted", "notRecommended": "not-recommended" } }, "values": { "Mouse": { "IHCP-species-checked": "testedAndGuaranteed", "IHCP-species-dilution-info": "1/1000", "IHCP-species-notes": "<p></p> Perform heat-mediated antigen retrieval with Tris/EDTA buffer pH 9.0 before commencing with IHC staining protocol.", "WB-species-checked": "testedAndGuaranteed", "WB-species-dilution-info": "1/1000", "WB-species-notes": "<p></p>" } } }

Product details

Patented technology
Our RabMAb® technology is a patented hybridoma-based technology for making rabbit monoclonal antibodies. For details on our patents, please refer to RabMAb® patents.

What are the advantages of a recombinant monoclonal antibody?
This product is a recombinant monoclonal antibody, which offers several advantages including:

  • - High batch-to-batch consistency and reproducibility
  • - Improved sensitivity and specificity
  • - Long-term security of supply
  • - Animal-free batch production

For more information, read more on recombinant antibodies.

Properties and storage information

Form
Liquid
Purification technique
Affinity purification Protein A
Storage buffer
pH: 7.2 - 7.4 Preservative: 0.01% Sodium azide Constituents: PBS, 40% Glycerol (glycerin, glycerine), 0.05% BSA
Shipped at conditions
Blue Ice
Appropriate short-term storage duration
1-2 weeks
Appropriate short-term storage conditions
+4°C
Appropriate long-term storage conditions
-20°C
Aliquoting information
Upon delivery aliquot
Storage information
Avoid freeze / thaw cycle

Product protocols

For this product, it's our understanding that no specific protocols are required. You can visit:

Target data

Binds galactosides (By similarity). Has high affinity for the Forssman pentasaccharide (By similarity). Ligand for HAVCR2/TIM3 (By similarity). Binding to HAVCR2 induces T-helper type 1 lymphocyte (Th1) death (By similarity). Also stimulates bactericidal activity in infected macrophages by causing macrophage activation and IL1B secretion which restricts intracellular bacterial growth (PubMed : 20937702). Ligand for P4HB; the interaction retains P4HB at the cell surface of Th2 T-helper cells, increasing disulfide reductase activity at the plasma membrane, altering the plasma membrane redox state and enhancing cell migration (PubMed : 21670307). Ligand for CD44; the interaction enhances binding of SMAD3 to the FOXP3 promoter, leading to up-regulation of FOXP3 expression and increased induced regulatory T (iTreg) cell stability and suppressive function (PubMed : 25065622). Promotes ability of mesenchymal stromal cells to suppress T-cell proliferation (By similarity). Expands regulatory T-cells and induces cytotoxic T-cell apoptosis following virus infection (By similarity). Activates ERK1/2 phosphorylation inducing cytokine (IL-6, IL-8, IL-12) and chemokine (CCL2) production in mast and dendritic cells (By similarity). Inhibits degranulation and induces apoptosis of mast cells (By similarity). Induces maturation and migration of dendritic cells (By similarity). Inhibits natural killer (NK) cell function (PubMed : 23408620). Can transform NK cell phenotype from peripheral to decidual during pregnancy (By similarity). Astrocyte derived galectin-9 enhances microglial TNF production (PubMed : 25158758). May play a role in thymocyte-epithelial interactions relevant to the biology of the thymus. May provide the molecular basis for urate flux across cell membranes, allowing urate that is formed during purine metabolism to efflux from cells and serving as an electrogenic transporter that plays an important role in renal and gastrointestinal urate excretion (By similarity). Highly selective to the anion urate (By similarity).. Isoform 2. Acts as an eosinophil chemoattractant (By similarity). It also inhibits angiogenesis (By similarity). Suppresses IFNG production by natural killer cells.
See full target information Lgals9

Product promise

We are committed to supporting your work with high-quality reagents, and we're here for you every step of the way. In the unlikely event that one of our products does not perform as expected, you're protected by our Product Promise.
For full details, please see our Terms & Conditions

Please note: All products are 'FOR RESEARCH USE ONLY. NOT FOR USE IN DIAGNOSTIC OR THERAPEUTIC PROCEDURES'.

For licensing inquiries, please contact partnerships@abcam.com