JavaScript is disabled in your browser. Please enable JavaScript to view this website.
AB187516

Anti-GALNS/Chondroitinase antibody

Be the first to review this product! Submit a review

|

(1 Publication)

Rabbit Polyclonal GALNS/Chondroitinase antibody. Suitable for WB and reacts with Human, Mouse samples. Cited in 1 publication. Immunogen corresponding to Recombinant Fragment Protein within Human N-acetylgalactosamine-6-sulfatase aa 350 to C-terminus.

View Alternative Names

N-acetylgalactosamine-6-sulfatase, Chondroitinsulfatase, Galactose-6-sulfate sulfatase, N-acetylgalactosamine-6-sulfate sulfatase, Chondroitinase, GalN6S, GalNAc6S sulfatase, GALNS

1 Images
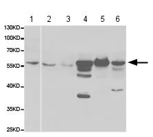
Western blot - Anti-GALNS/Chondroitinase antibody (AB187516)
  • WB

Supplier Data

Western blot - Anti-GALNS/Chondroitinase antibody (AB187516)

All lanes:

Western blot - Anti-GALNS/Chondroitinase antibody (ab187516) at 1/500 dilution

Lane 1:

MCF7 cell extract

Lane 2:

HT29 cell extract

Lane 3:

293T cell extract

Lane 4:

Mouse kidney extract

Lane 5:

Mouse brain extract

Lane 6:

Mouse intestine extract

Predicted band size: 58 kDa

false

Key facts

Host species

Rabbit

Clonality

Polyclonal

Isotype

IgG

Carrier free

No

Reacts with

Mouse, Human

Applications

WB

applications

Immunogen

Recombinant Fragment Protein within Human N-acetylgalactosamine-6-sulfatase aa 350 to C-terminus. The exact immunogen used to generate this antibody is proprietary information.

P34059

Reactivity data

{ "title": "Reactivity Data", "filters": { "stats": ["", "Species", "Dilution Info", "Notes"], "tabs": { "all-applications": {"fullname" : "All Applications", "shortname": "All Applications"}, "WB" : {"fullname" : "Western blot", "shortname":"WB"} }, "product-promise": { "all": "all", "testedAndGuaranteed": "tested", "guaranteed": "expected", "predicted": "predicted", "notRecommended": "not-recommended" } }, "values": { "Human": { "WB-species-checked": "testedAndGuaranteed", "WB-species-dilution-info": "1/500 - 1/2000", "WB-species-notes": "<p></p>" }, "Mouse": { "WB-species-checked": "testedAndGuaranteed", "WB-species-dilution-info": "1/500 - 1/2000", "WB-species-notes": "<p></p>" } } }

Properties and storage information

Form
Liquid
Purification technique
Affinity purification Immunogen
Storage buffer
pH: 7.3 Preservative: 0.02% Sodium azide Constituents: PBS, 50% Glycerol (glycerin, glycerine)
Shipped at conditions
Blue Ice
Appropriate short-term storage duration
1-2 weeks
Appropriate short-term storage conditions
+4°C
Appropriate long-term storage conditions
-20°C
Aliquoting information
Upon delivery aliquot
Storage information
Avoid freeze / thaw cycle

Supplementary information

This supplementary information is collated from multiple sources and compiled automatically.

Chondroitinase also known as N-acetylgalactosamine-6-sulfatase (GALNS) is an enzyme involved in the degradation of glycosaminoglycans such as chondroitin sulfate and keratan sulfate. It is a lysosomal hydrolase enzyme that plays an important role in remodeling the extracellular matrix by cleaving sulfate groups from these molecules. The molecular mass of GALNS is approximately 60 kDa. GALNS expression primarily occurs in tissues like cartilage bones and connective tissues reflecting its function in skeletal development and maintenance.
Biological function summary

N-acetylgalactosamine-6-sulfatase acts as a critical player in catabolism breaking down complex polysaccharides in lysosomes. By degrading glycosaminoglycans it prevents accumulation of excessive polysaccharides in cells which might lead to cellular dysfunction. GALNS operates as a single molecule not forming any known complexes yet its activity is integral to maintaining cellular homeostasis and preventing pathological buildup of substrates within cells.

Pathways

GALNS functions in the glycosaminoglycan metabolism pathway essential for recycling cellular materials from the extracellular matrix. Another related pathway is the lysosomal degradation pathway where it relates to other enzymes like iduronate-2-sulfatase that also participate in the breakdown of complex molecules. These pathways collectively help in maintaining normal cellular function by facilitating the turnover of matrix components.

N-acetylgalactosamine-6-sulfatase relates to Morquio A syndrome a lysosomal storage disorder caused by deficiencies in GALNS activity. This leads to abnormal accumulation of keratan sulfate and chondroitin sulfate resulting in skeletal abnormalities and growth issues. GALNS has also connections to mucopolysaccharidosis IV where defects in this enzyme similarly cause buildup of glycosaminoglycans. Proteins like N-sulfoglucosamine sulfohydrolase show association with GALNS through shared pathways in these disorders highlighting the interconnected nature of enzyme functions in lysosomal storage diseases.

Product protocols

For this product, it's our understanding that no specific protocols are required. You can visit:

Publications (1)

Recent publications for all applications. Explore the full list and refine your search

Cell reports. Medicine 5:101593 PubMed38843842

2024

Ketogenic diet administration later in life improves memory by modifying the synaptic cortical proteome via the PKA signaling pathway in aging mice.

Applications

Unspecified application

Species

Unspecified reactive species

Diego Acuña-Catalán,Samah Shah,Cameron Wehrfritz,Mitsunori Nomura,Alejandro Acevedo,Cristina Olmos,Gabriel Quiroz,Hernán Huerta,Joanna Bons,Estibaliz Ampuero,Ursula Wyneken,Magdalena Sanhueza,Felipe Arancibia,Darwin Contreras,Julio César Cárdenas,Bernardo Morales,Birgit Schilling,John C Newman,Christian González-Billault
View all publications

Product promise

We are committed to supporting your work with high-quality reagents, and we're here for you every step of the way. In the unlikely event that one of our products does not perform as expected, you're protected by our Product Promise.
For full details, please see our Terms & Conditions

Please note: All products are 'FOR RESEARCH USE ONLY. NOT FOR USE IN DIAGNOSTIC OR THERAPEUTIC PROCEDURES'.

For licensing inquiries, please contact partnerships@abcam.com