JavaScript is disabled in your browser. Please enable JavaScript to view this website.
AB235526

Anti-GALNT14 antibody

Be the first to review this product! Submit a review

|

(1 Publication)

Rabbit Polyclonal GALNT14 antibody. Suitable for WB, IHC-P and reacts with Rat, Mouse, Human samples. Cited in 1 publication. Immunogen corresponding to Recombinant Full Length Protein corresponding to Human GALNT14.

View Alternative Names

UNQ2434/PRO4994, GALNT14, Polypeptide N-acetylgalactosaminyltransferase 14, Polypeptide GalNAc transferase 14, Protein-UDP acetylgalactosaminyltransferase 14, UDP-GalNAc:polypeptide N-acetylgalactosaminyltransferase 14, GalNAc-T14, pp-GaNTase 14

2 Images
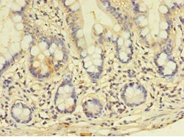
Immunohistochemistry (Formalin/PFA-fixed paraffin-embedded sections) - Anti-GALNT14 antibody (AB235526)
  • IHC-P

Supplier Data

Immunohistochemistry (Formalin/PFA-fixed paraffin-embedded sections) - Anti-GALNT14 antibody (AB235526)

Paraffin-embedded human small intestine tissue stained for GALNT14 using ab235526 at 1/100 dilution in immunohistochemical analysis.

Western blot - Anti-GALNT14 antibody (AB235526)
  • WB

Supplier Data

Western blot - Anti-GALNT14 antibody (AB235526)

All lanes:

Western blot - Anti-GALNT14 antibody (ab235526) at 1/1000 dilution

Lane 1:

Rat gonad tissue lysate

Lane 2:

Mouse kidney tissue lysate

Secondary

All lanes:

Goat polyclonal to rabbit at 1/10000 dilution

Predicted band size: 64 kDa

false

Key facts

Host species

Rabbit

Clonality

Polyclonal

Isotype

IgG

Carrier free

No

Reacts with

Mouse, Rat, Human

Applications

IHC-P, WB

applications

Immunogen

Recombinant Full Length Protein corresponding to Human GALNT14.

Q96FL9

Reactivity data

{ "title": "Reactivity Data", "filters": { "stats": ["", "Species", "Dilution Info", "Notes"], "tabs": { "all-applications": {"fullname" : "All Applications", "shortname": "All Applications"}, "WB" : {"fullname" : "Western blot", "shortname":"WB"}, "IHCP" : {"fullname" : "Immunohistochemistry (Formalin/PFA-fixed paraffin-embedded sections)", "shortname":"IHC-P"} }, "product-promise": { "all": "all", "testedAndGuaranteed": "tested", "guaranteed": "expected", "predicted": "predicted", "notRecommended": "not-recommended" } }, "values": { "Human": { "WB-species-checked": "guaranteed", "WB-species-dilution-info": "", "WB-species-notes": "", "IHCP-species-checked": "testedAndGuaranteed", "IHCP-species-dilution-info": "1/20 - 1/200", "IHCP-species-notes": "<p></p>" }, "Mouse": { "WB-species-checked": "testedAndGuaranteed", "WB-species-dilution-info": "1/1000 - 1/5000", "WB-species-notes": "<p></p>", "IHCP-species-checked": "guaranteed", "IHCP-species-dilution-info": "", "IHCP-species-notes": "" }, "Rat": { "WB-species-checked": "testedAndGuaranteed", "WB-species-dilution-info": "1/1000 - 1/5000", "WB-species-notes": "<p></p>", "IHCP-species-checked": "guaranteed", "IHCP-species-dilution-info": "", "IHCP-species-notes": "" } } }

Properties and storage information

Form
Liquid
Purification technique
Affinity purification Protein G
Purification notes
Purity >95%
Storage buffer
pH: 7.4 Preservative: 0.03% Proclin 300 Constituents: PBS, 50% Glycerol (glycerin, glycerine)
Shipped at conditions
Blue Ice
Appropriate short-term storage duration
1-2 weeks
Appropriate short-term storage conditions
+4°C
Appropriate long-term storage conditions
-20°C
Aliquoting information
Upon delivery aliquot
Storage information
Avoid freeze / thaw cycle

Supplementary information

This supplementary information is collated from multiple sources and compiled automatically.

GALNT14 also known as polypeptide N-acetylgalactosaminyltransferase 14 is an enzyme that initiates O-linked glycosylation by transferring N-acetylgalactosamine (GalNAc) to serine or threonine residues on proteins. It has a molecular weight of approximately 66 kDa. This enzyme is mainly expressed in tissues such as the stomach colon and central nervous system. GALNT14 plays a part in the vast network of glycosylation enzymes essential for protein modification.
Biological function summary

GALNT14 modifies proteins by adding sugar moieties which affects the protein's stability signaling and interactions. It contributes to the extracellular matrix and cellular signaling networks. This enzyme is also not part of any defined complex but operates independently to modify and influence proteins post-translationally. Glycosylation processes such as those mediated by GALNT14 are integral to cell-cell communication and immune responses.

Pathways

GALNT14 integrates into the glycoprotein synthesis and modification pathways. It is involved mainly in the mucin-type O-glycosylation pathway which influences various functions like cell adhesion. In this pathway it interacts or is related to other glycosyltransferases including GALNT7 to orchestrate these modification processes. These pathways ensure proper protein trafficking and function which are fundamental for healthy cell development and differentiation.

The aberrant expression of GALNT14 has links to cancer particularly gastric and colorectal cancers. Alterations in glycosylation impact cell surface proteins which can contribute to tumor formation and metastasis. It has connections to MUC1 a protein whose abnormal glycosylation and resulting function have implications in cancer progression. Evaluating GALNT14 expression might provide insights into prognostic markers or therapeutic targets for these conditions.

Product protocols

For this product, it's our understanding that no specific protocols are required. You can visit:

Target data

Catalyzes the initial reaction in O-linked oligosaccharide biosynthesis, the transfer of an N-acetyl-D-galactosamine residue to a serine or threonine residue on the protein receptor. Displays activity toward mucin-derived peptide substrates such as Muc2, Muc5AC, Muc7, and Muc13 (-58). May be involved in O-glycosylation in kidney.
See full target information GALNT14

Publications (1)

Recent publications for all applications. Explore the full list and refine your search

Cancer medicine 12:5035-5054 PubMed36205357

2022

Systemic analysis of the DNA replication regulator origin recognition complex in lung adenocarcinomas identifies prognostic and expression significance.

Applications

Unspecified application

Species

Unspecified reactive species

Min Tang,Juan Chen,Tian Zeng,Dong-Mei Ye,Yu-Kun Li,Juan Zou,Yu-Ping Zhang
View all publications

Product promise

We are committed to supporting your work with high-quality reagents, and we're here for you every step of the way. In the unlikely event that one of our products does not perform as expected, you're protected by our Product Promise.
For full details, please see our Terms & Conditions

Please note: All products are 'FOR RESEARCH USE ONLY. NOT FOR USE IN DIAGNOSTIC OR THERAPEUTIC PROCEDURES'.

For licensing inquiries, please contact partnerships@abcam.com