JavaScript is disabled in your browser. Please enable JavaScript to view this website.
AB282821

Anti-GALR2 antibody [EPR24328A-120] - BSA and Azide free

Be the first to review this product! Submit a review

|

(0 Publication)

Rabbit Recombinant Monoclonal GALR2 antibody. Carrier free. Suitable for ICC/IF, IHC-Fr, IHC-P, mIHC and reacts with Rat samples.

View Alternative Names

Galnr2, Galr2, Galanin receptor type 2, GAL2-R, GALR-2

6 Images
Multiplex immunohistochemistry - Anti-GALR2 antibody [EPR24328A-120] - BSA and Azide free (AB282821)
  • mIHC

Lab

Multiplex immunohistochemistry - Anti-GALR2 antibody [EPR24328A-120] - BSA and Azide free (AB282821)

This data was developed using ab271019, the same antibody clone in a different buffer formulation.

Multiplex immunohistochemistry analysis of formalin/PFA-fixed paraffin-embedded rat dorsal root ganglia staining GALR2 with ab271019 at a 1/2000 dilution and ab177487 anti-NeuN used at 1/300 dilution.

Panel A : merged staining of anti-GALR2 (green; Opal™520) and anti-NeuN (magenta; Opal™570) on Rat dorsal root ganglia.

Panel B : anti-GALR2 stained on cytoplasm of neurons.

Panel C : anti-NeuN stained on nucleus and cytoplasm of neurons.

Panel D : Nuclear DNA was labeled with DAPI (shown in blue).

The section was incubated in two rounds of staining : in the order of ab271019 and ab177487 for 30 mins at room temperature. Each round was followed by a separate fluorescent tyramide signal amplification system.

The immunostaining was performed on a Leica Biosystems BOND® RX instrument with an Opal™ 4-color kit. Image acquisition was performed with Leica SP8 confocal microscope.

Heat mediated antigen retrieval was performed with Tris-EDTA buffer (pH 9.0, Epitope Retrieval Solution2) for 20 mins.

Immunohistochemistry (Frozen sections) - Anti-GALR2 antibody [EPR24328A-120] - BSA and Azide free (AB282821)
  • IHC-Fr

Supplier Data

Immunohistochemistry (Frozen sections) - Anti-GALR2 antibody [EPR24328A-120] - BSA and Azide free (AB282821)

This data was developed using ab271019, the same antibody clone in a different buffer formulation.

Immunohistochemical analysis of 4% PFA-fixed, 0.2% Triton X-100 permeabilized frozen Rat cerebral cortex tissue labeling GALR2 with ab271019 at 1/100 (5.17 ug/ml) dilution followed by ab150081 Goat Anti-Rabbit IgG H&L (Alexa Fluor® 488) preadsorbed at 1/1000 dilution (Green). Cytoplasmic staining on rat cerebral cortex is observed. The nuclear counterstain was DAPI (Blue).

Secondary antibody control : Secondary antibody is ab150081 Goat Anti-Rabbit IgG H&L (Alexa Fluor® 488) preadsorbed at 1/1000 dilution.

Heat mediated antigen retrieval using sodium citrate buffer (10mM citrate pH 6.0 + 0.05% Tween-20).

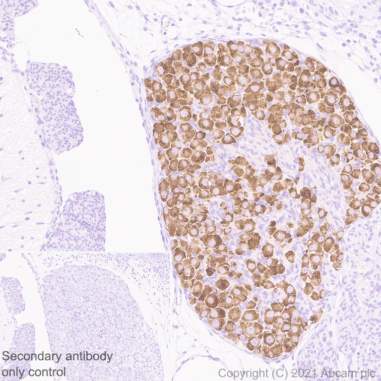
Immunohistochemistry (Formalin/PFA-fixed paraffin-embedded sections) - Anti-GALR2 antibody [EPR24328A-120] - BSA and Azide free (AB282821)
  • IHC-P

Supplier Data

Immunohistochemistry (Formalin/PFA-fixed paraffin-embedded sections) - Anti-GALR2 antibody [EPR24328A-120] - BSA and Azide free (AB282821)

This data was developed using ab271019, the same antibody clone in a different buffer formulation.

Immunohistochemical analysis of paraffin-embedded Rat dorsal root ganglia tissue labelling GALR2 with ab271019 at 1/2000 (0.259 ug/ml) dilution followed by a ready to use Goat Anti-Rabbit IgG H&L (HRP polymer). Cytoplasmic staining in rat dorsal root ganglia. The section was incubated with ab271019 at 4oC overnight. Counterstained with Hematoxylin.

Secondary antibody only control : Secondary antibody is a ready to use Goat Anti-Rabbit IgG H&L (HRP polymer).

Heat mediated antigen retrieval using ab93684 (Tris/EDTA buffer, pH 9.0)

Immunohistochemistry (Frozen sections) - Anti-GALR2 antibody [EPR24328A-120] - BSA and Azide free (AB282821)
  • IHC-Fr

Supplier Data

Immunohistochemistry (Frozen sections) - Anti-GALR2 antibody [EPR24328A-120] - BSA and Azide free (AB282821)

This data was developed using ab271019, the same antibody clone in a different buffer formulation.

Immunohistochemical analysis of 4% PFA-fixed, 0.2% Triton X-100 permeabilized frozen Rat hypothalamus tissue labeling GALR2 with ab271019 at 1/100 (5.17 ug/ml) dilution followed by ab150081 Goat Anti-Rabbit IgG H&L (Alexa Fluor® 488) preadsorbed at 1/1000 dilution (Green). Cytoplasmic staining on rat hypothalamus is observed. The nuclear counterstain was DAPI (Blue).

Secondary antibody control : Secondary antibody is ab150081 Goat Anti-Rabbit IgG H&L (Alexa Fluor® 488) preadsorbed at 1/1000 dilution.

Heat mediated antigen retrieval using sodium citrate buffer (10mM citrate pH 6.0 + 0.05% Tween-20).

Immunohistochemistry (Formalin/PFA-fixed paraffin-embedded sections) - Anti-GALR2 antibody [EPR24328A-120] - BSA and Azide free (AB282821)
  • IHC-P

Supplier Data

Immunohistochemistry (Formalin/PFA-fixed paraffin-embedded sections) - Anti-GALR2 antibody [EPR24328A-120] - BSA and Azide free (AB282821)

This data was developed using ab271019, the same antibody clone in a different buffer formulation.

Immunohistochemical analysis of paraffin-embedded Rat cerebrum tissue labelling GALR2 with ab271019 at 1/2000 (0.259 ug/ml) dilution followed by a ready to use Goat Anti-Rabbit IgG H&L (HRP polymer). Cytoplasmic staining in rat cerebrum. The section was incubated with ab271019 at 4oC overnight. Counterstained with Hematoxylin.

Secondary antibody only control : Secondary antibody is a ready to use Goat Anti-Rabbit IgG H&L (HRP polymer).

Heat mediated antigen retrieval using ab93684 (Tris/EDTA buffer, pH 9.0)

Immunocytochemistry/ Immunofluorescence - Anti-GALR2 antibody [EPR24328A-120] - BSA and Azide free (AB282821)
  • ICC/IF

Supplier Data

Immunocytochemistry/ Immunofluorescence - Anti-GALR2 antibody [EPR24328A-120] - BSA and Azide free (AB282821)

This data was developed using ab271019, the same antibody clone in a different buffer formulation.

Immunofluorescent analysis of 4% Paraformaldehyde-fixed, 0.1% TritonX-100 permeabilized rat primary neuron cells labelling GALR2 with ab271019 at 1/100 (5.17 ug/ml) dilution, followed by ab150081 Goat Anti-Rabbit IgG H&L (Alexa Fluor® 488) preadsorbed antibody at 1/1000 2 ug/ml dilution (Green) Confocal image showing cytoplasmic staining in rat primary neuron. Confocal scanning Z step was set as 0.3 μm followed by image processing with maximum Z projection. is observed. ab11267 Anti-MAP2 mouse monoclonal antibody was used to counterstain tubulin at 1/500 4ug/ml dilution (Red). The Nuclear counterstain was DAPI (Blue).

Secondary antibody only control : Secondary antibody is ab150081 Goat Anti-Rabbit IgG H&L (Alexa Fluor® 488) preadsorbed at 1/1000 (2 ug/ml) dilution.

Key facts

Host species

Rabbit

Clonality

Monoclonal

Clone number

EPR24328A-120

Isotype

IgG

Carrier free

Yes

Reacts with

Rat

Applications

IHC-P, IHC-Fr, mIHC, ICC/IF

applications

Immunogen

The exact immunogen used to generate this antibody is proprietary information.

Reactivity data

{ "title": "Reactivity Data", "filters": { "stats": ["", "Species", "Dilution Info", "Notes"], "tabs": { "all-applications": {"fullname" : "All Applications", "shortname": "All Applications"}, "ICCIF" : {"fullname" : "Immunocytochemistry/ Immunofluorescence", "shortname":"ICC/IF"}, "IP" : {"fullname" : "Immunoprecipitation", "shortname":"IP"}, "FlowCyt" : {"fullname" : "Flow Cytometry", "shortname":"Flow Cyt"}, "WB" : {"fullname" : "Western blot", "shortname":"WB"}, "IHCFr" : {"fullname" : "Immunohistochemistry (Frozen sections)", "shortname":"IHC-Fr"}, "IHCP" : {"fullname" : "Immunohistochemistry (Formalin/PFA-fixed paraffin-embedded sections)", "shortname":"IHC-P"}, "mIHC" : {"fullname" : "Multiplex immunohistochemistry", "shortname":"mIHC"} }, "product-promise": { "all": "all", "testedAndGuaranteed": "tested", "guaranteed": "expected", "predicted": "predicted", "notRecommended": "not-recommended" } }, "values": { "Human": { "ICCIF-species-checked": "notRecommended", "ICCIF-species-dilution-info": "", "ICCIF-species-notes": "", "IP-species-checked": "notRecommended", "IP-species-dilution-info": "", "IP-species-notes": "", "FlowCyt-species-checked": "notRecommended", "FlowCyt-species-dilution-info": "", "FlowCyt-species-notes": "", "WB-species-checked": "notRecommended", "WB-species-dilution-info": "", "WB-species-notes": "<p></p>", "IHCFr-species-checked": "notRecommended", "IHCFr-species-dilution-info": "", "IHCFr-species-notes": "", "IHCP-species-checked": "notRecommended", "IHCP-species-dilution-info": "", "IHCP-species-notes": "<p></p> Perform heat-mediated antigen retrieval with Tris/EDTA buffer pH 9.0 before commencing with IHC staining protocol.", "mIHC-species-checked": "notRecommended", "mIHC-species-dilution-info": "", "mIHC-species-notes": "" }, "Mouse": { "ICCIF-species-checked": "notRecommended", "ICCIF-species-dilution-info": "", "ICCIF-species-notes": "", "IP-species-checked": "notRecommended", "IP-species-dilution-info": "", "IP-species-notes": "<p></p>", "FlowCyt-species-checked": "notRecommended", "FlowCyt-species-dilution-info": "", "FlowCyt-species-notes": "", "WB-species-checked": "notRecommended", "WB-species-dilution-info": "", "WB-species-notes": "<p></p>", "IHCFr-species-checked": "notRecommended", "IHCFr-species-dilution-info": "", "IHCFr-species-notes": "<p>Perform heat mediated antigen retrieval with sodium citrate buffer at pH 6.0 before commencing with IHC staining protocol.</p>", "IHCP-species-checked": "notRecommended", "IHCP-species-dilution-info": "", "IHCP-species-notes": "<p></p> Perform heat-mediated antigen retrieval with Tris/EDTA buffer pH 9.0 before commencing with IHC staining protocol.", "mIHC-species-checked": "notRecommended", "mIHC-species-dilution-info": "", "mIHC-species-notes": "" }, "Rat": { "ICCIF-species-checked": "testedAndGuaranteed", "ICCIF-species-dilution-info": "", "ICCIF-species-notes": "<p></p>", "IP-species-checked": "notRecommended", "IP-species-dilution-info": "", "IP-species-notes": "<p></p>", "FlowCyt-species-checked": "notRecommended", "FlowCyt-species-dilution-info": "", "FlowCyt-species-notes": "<p></p>", "WB-species-checked": "notRecommended", "WB-species-dilution-info": "", "WB-species-notes": "<p></p>", "IHCFr-species-checked": "testedAndGuaranteed", "IHCFr-species-dilution-info": "", "IHCFr-species-notes": "<p>Perform heat mediated antigen retrieval with sodium citrate buffer at pH 6.0 before commencing with IHC staining protocol.</p>", "IHCP-species-checked": "testedAndGuaranteed", "IHCP-species-dilution-info": "", "IHCP-species-notes": "<p></p> Perform heat-mediated antigen retrieval with Tris/EDTA buffer pH 9.0 before commencing with IHC staining protocol.", "mIHC-species-checked": "testedAndGuaranteed", "mIHC-species-dilution-info": "", "mIHC-species-notes": "<p></p> Perform heat-mediated antigen retrieval with Tris/EDTA buffer pH 9.0 before commencing with IHC staining protocol." } } }

Product details

ab282821 is the carrier-free version of ab271019.

Patented technology
Our RabMAb® technology is a patented hybridoma-based technology for making rabbit monoclonal antibodies. For details on our patents, please refer to RabMAb® patents.

What are the advantages of a recombinant monoclonal antibody?
This product is a recombinant monoclonal antibody, which offers several advantages including:

  • - High batch-to-batch consistency and reproducibility
  • - Improved sensitivity and specificity
  • - Long-term security of supply
  • - Animal-free batch production

For more information, read more on recombinant antibodies.

Conjugation ready
Our carrier-free antibodies are typically supplied in a PBS-only formulation, purified and free of BSA, sodium azide and glycerol. This conjugation-ready format is designed for use with fluorochromes, metal isotopes, oligonucleotides, and enzymes, which makes them ideal for antibody labelling, functional and cell-based assays, flow-based assays (e.g. mass cytometry) and Multiplex Imaging applications.

Use our conjugation kits for antibody conjugates that are ready-to-use in as little as 20 minutes with 1 minute hands-on-time and 100% antibody recovery: available for fluorescent dyes, HRP, biotin and gold.

Compatibility
This product is compatible with the Maxpar® Antibody Labeling Kit from Fluidigm, without the need for antibody preparation. Maxpar® is a trademark of Fluidigm Canada Inc.

Properties and storage information

Form
Liquid
Purification technique
Affinity purification Protein A
Storage buffer
pH: 7.2 - 7.4 Constituents: PBS
Shipped at conditions
Blue Ice
Appropriate short-term storage conditions
+4°C
Appropriate long-term storage conditions
+4°C

Supplementary information

This supplementary information is collated from multiple sources and compiled automatically.

GALR2 also known as Galanin receptor type 2 is a G protein-coupled receptor with a molecular mass of around 38 kDa. This receptor is expressed in several tissues including the central nervous system peripheral nervous system and various peripheral organs. GALR2 interacts with the neuropeptide galanin which modulates several physiological functions. The receptor signals through different classes of G proteins leading to the activation of intracellular second messengers.
Biological function summary

GALR2 influences numerous processes essential for maintaining homeostasis. It mediates cellular responses to stress appetite and mood through interaction with its ligand galanin. Though GALR2 does not form part of a larger receptor complex it plays a central role in its signaling pathways. Researchers recognize its function in promoting neurogenesis and modulating neurotransmitter release impacting several neural circuits.

Pathways

GALR2 plays roles in the MAPK/ERK pathway and the PI3K/AKT pathway. These pathways are essential for cell survival differentiation and proliferation. GALR2 interacts closely with other receptors such as GALR1 and GALR3 sharing similar downstream effects while maintaining distinct cellular responses. Such interactions help coordinate various physiological functions like memory and feeding behavior.

GALR2 has associations with depression and epilepsy. The receptor's modulation of mood regulation links it to depressive disorders while its influence on neurotransmitter release affects epilepsy-related pathways. In these conditions GALR2 often works with other galanin receptors particularly GALR1 to mechanisms that underpin neural dysfunction and resilience. Understanding its roles provides insight into potential therapeutic targets for managing these disorders.

Product protocols

For this product, it's our understanding that no specific protocols are required. You can visit:

Target data

Receptor for the hormone galanin, GALP and spexin-1. The activity of this receptor is mediated by G proteins that activate the phospholipase C/protein kinase C pathway (via G(q)) and that inhibit adenylyl cyclase (via G(i)).
See full target information Galr2

Product promise

We are committed to supporting your work with high-quality reagents, and we're here for you every step of the way. In the unlikely event that one of our products does not perform as expected, you're protected by our Product Promise.
For full details, please see our Terms & Conditions

Please note: All products are 'FOR RESEARCH USE ONLY. NOT FOR USE IN DIAGNOSTIC OR THERAPEUTIC PROCEDURES'.

For licensing inquiries, please contact partnerships@abcam.com