JavaScript is disabled in your browser. Please enable JavaScript to view this website.
AB178406

Anti-GALT antibody [EPR12555]

Be the first to review this product! Submit a review

|

(8 Publications)

Rabbit Recombinant Monoclonal GALT antibody. Suitable for IP, WB and reacts with Human, Mouse samples. Cited in 8 publications.

View Alternative Names

Galactose-1-phosphate uridylyltransferase, Gal-1-P uridylyltransferase, UDP-glucose--hexose-1-phosphate uridylyltransferase, GALT

4 Images
Immunoprecipitation - Anti-GALT antibody [EPR12555] (AB178406)
  • IP

Supplier Data

Immunoprecipitation - Anti-GALT antibody [EPR12555] (AB178406)

Western blot analysis on Immunoprecipitation pellet from either 1) Human fetal liver lysate, or 2) 1xPBS (negative control); showing GALT, immunoprecipitated using ab178406 at 1/10 dilution with HRP-conjugated anti-rabbit IgG preferentially detecting the non-reduced form of rabbit IgG.

All lanes:

Immunoprecipitation - Anti-GALT antibody [EPR12555] (ab178406)

Predicted band size: 43 kDa

true

Western blot - Anti-GALT antibody [EPR12555] (AB178406)
  • WB

Lab

Western blot - Anti-GALT antibody [EPR12555] (AB178406)

Lanes 1-4 : Merged signal (red and green). Green - ab178406 observed at 43 kDa. Red - loading control ab7291 observed at 50 kDa.

ab178406 Anti-GALT antibody [EPR12555] was shown to specifically react with Galactose-1-Phosphate Uridylyltransferase in wild-type HeLa cells. Loss of signal was observed when knockout cell line ab265027 (knockout cell lysate ab257958) was used. Wild-type and Galactose-1-Phosphate Uridylyltransferase knockout samples were subjected to SDS-PAGE. ab178406 and Anti-alpha Tubulin antibody [DM1A] - Loading Control (ab7291) were incubated overnight at 4°C at 1 in 1000 dilution and 1 in 20000 dilution respectively. Blots were developed with Goat anti-Rabbit IgG H&L (IRDye® 800CW) preadsorbed (ab216773) and Goat anti-Mouse IgG H&L (IRDye® 680RD) preadsorbed (ab216776) secondary antibodies at 1 in 20000 dilution for 1 hour at room temperature before imaging.

All lanes:

Western blot - Anti-GALT antibody [EPR12555] (ab178406) at 1/1000 dilution

Lane 1:

Wild-type HeLa cell lysate at 20 µg

Lane 2:

GALT knockout HeLa cell lysate at 20 µg

Lane 3:

HepG2 cell lysate at 20 µg

Lane 4:

A549 cell lysate at 20 µg

Predicted band size: 43 kDa

Observed band size: 43 kDa

false

Western blot - Anti-GALT antibody [EPR12555] (AB178406)
  • WB

Lab

Western blot - Anti-GALT antibody [EPR12555] (AB178406)

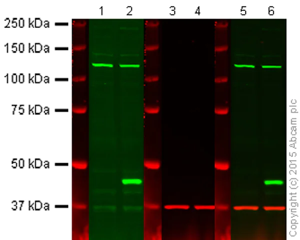
Lanes 1 and 2 : Green signal from target – ab178406 observed at 43 kDa

Lanes 3 and 4 : Red signal from loading control – ab8245 observed at 37 kDa

Lanes 5 and 6 : Merged (red and green) signal

ab178406 was shown to react with GALT when GALT knockout samples were used, along with additional cross-reactive bands. Wild-type and GALT knockout samples were subjected to SDS-PAGE. ab178406 and ab8245 (loading control to GAPDH) were diluted 1/1000 and 1/2000 respectively and incubated overnight at 4°C. Blots were developed withGoat anti-Rabbit IgG H&L (IRDye® 800CW)preadsorbed (ab216773) and Goat anti-Mouse IgG H&L (IRDye® 680RD) preadsorbed (ab216776)secondary antibodies at 1/10000 dilution for 1 h at room temperature before imaging.

Lanes 1 - 2:

Western blot - Anti-GALT antibody [EPR12555] (ab178406) at 1/1000 dilution

Lanes 3 - 4:

Western blot - Anti-GALT antibody [EPR12555] (ab178406) at 1/2000 dilution

Lanes 1 and 3:

GALT knockout HAP1 cell lysate at 20 µg

Lanes 2 and 4:

Wild-type HAP1 cell lysate at 20 µg

Predicted band size: 43 kDa

false

Western blot - Anti-GALT antibody [EPR12555] (AB178406)
  • WB

Supplier Data

Western blot - Anti-GALT antibody [EPR12555] (AB178406)

All lanes:

Western blot - Anti-GALT antibody [EPR12555] (ab178406) at 1/1000 dilution

Lane 1:

K562 cell lysate at 10 µg

Lane 2:

MDA-MB-435 cell lysate at 10 µg

Lane 3:

Human fetal brain lysate at 10 µg

Lane 4:

Human fetal liver lysate at 10 µg

Lane 5:

HepG2 cell lysate at 10 µg

Secondary

All lanes:

Goat anti-rabbit HRP at 1/2000 dilution

Predicted band size: 43 kDa

true

  • Carrier free

    Anti-GALT antibody [EPR12555] - BSA and Azide free

Key facts

Host species

Rabbit

Clonality

Monoclonal

Clone number

EPR12555

Isotype

IgG

Carrier free

No

Reacts with

Mouse, Human

Applications

WB, IP

applications

Immunogen

The exact immunogen used to generate this antibody is proprietary information.

Reactivity data

{ "title": "Reactivity Data", "filters": { "stats": ["", "Species", "Dilution Info", "Notes"], "tabs": { "all-applications": {"fullname" : "All Applications", "shortname": "All Applications"}, "IP" : {"fullname" : "Immunoprecipitation", "shortname":"IP"}, "WB" : {"fullname" : "Western blot", "shortname":"WB"} }, "product-promise": { "all": "all", "testedAndGuaranteed": "tested", "guaranteed": "expected", "predicted": "predicted", "notRecommended": "not-recommended" } }, "values": { "Human": { "IP-species-checked": "testedAndGuaranteed", "IP-species-dilution-info": "1/10 - 1/100", "IP-species-notes": "<p></p>", "WB-species-checked": "testedAndGuaranteed", "WB-species-dilution-info": "1/1000 - 1/5000", "WB-species-notes": "<p></p>" }, "Mouse": { "IP-species-checked": "guaranteed", "IP-species-dilution-info": "1/10 - 1/100", "IP-species-notes": "<p></p>", "WB-species-checked": "guaranteed", "WB-species-dilution-info": "1/1000 - 1/5000", "WB-species-notes": "<p></p>" }, "Rat": { "IP-species-checked": "predicted", "IP-species-dilution-info": "", "IP-species-notes": "", "WB-species-checked": "predicted", "WB-species-dilution-info": "", "WB-species-notes": "" } } }

Product details

Patented technology
Our RabMAb® technology is a patented hybridoma-based technology for making rabbit monoclonal antibodies. For details on our patents, please refer to RabMAb® patents.

What are the advantages of a recombinant monoclonal antibody?
This product is a recombinant monoclonal antibody, which offers several advantages including:

  • - High batch-to-batch consistency and reproducibility
  • - Improved sensitivity and specificity
  • - Long-term security of supply
  • - Animal-free batch production

For more information, read more on recombinant antibodies.

Properties and storage information

Form
Liquid
Purification technique
Affinity purification Protein A
Storage buffer
pH: 7.2 - 7.4 Preservative: 0.01% Sodium azide Constituents: PBS, 50% Tissue culture supernatant, 40% Glycerol (glycerin, glycerine), 0.05% BSA
Shipped at conditions
Blue Ice
Appropriate short-term storage duration
1-2 weeks
Appropriate short-term storage conditions
+4°C
Appropriate long-term storage conditions
-20°C
Aliquoting information
Upon delivery aliquot
Storage information
Avoid freeze / thaw cycle

Supplementary information

This supplementary information is collated from multiple sources and compiled automatically.

GALT also known as galactose-1-phosphate uridyltransferase is an enzyme involved in the Leloir pathway of galactose metabolism. The GALT protein facilitates the conversion of galactose-1-phosphate (Gal-1-P) and UDP-glucose to UDP-galactose and glucose-1-phosphate important steps in the cellular utilization of galactose. This enzyme has a molecular mass of approximately 43 kDa. GALT is expressed in various tissues and is notably present in the liver and erythrocytes where efficient galactose metabolism is essential.
Biological function summary

GALT plays a role in carbohydrate metabolism by regulating galactose conversion to glucose a principal energy source. It does not form part of a complex but works alongside other enzymes such as galactokinase and UDP-galactose 4'-epimerase in the Leloir pathway. This enzymatic action ensures that galactose from food sources is metabolized properly contributing to overall energy homeostasis within the body.

Pathways

GALT participates in the Leloir pathway which is essential for the breakdown and utilization of galactose. Through this pathway GALT interacts indirectly with related proteins like galactokinase and UDP-galactose 4'-epimerase. This enzymatic pathway is linked to complex carbohydrate metabolism and feeds into broader glucose metabolism processes underlining its importance in maintaining glucose levels.

GALT is linked to classic galactosemia a rare genetic metabolic disorder. This condition arises from an impairment in the GALT enzyme leading to toxic accumulation of galactose-1-phosphate in the body. Individuals with classic galactosemia often experience symptoms like jaundice liver enlargement and can develop cataracts or mental developmental issues if not treated early. In the context of this disorder proteins such as galactokinase also play a role since they are upstream in the metabolic pathway that leads to the problematic accumulation.

Product protocols

For this product, it's our understanding that no specific protocols are required. You can visit:

Target data

Plays an important role in galactose metabolism.
See full target information GALT

Publications (8)

Recent publications for all applications. Explore the full list and refine your search

JIMD reports 65:280-294 PubMed38974607

2024

Galactokinase 1 is the source of elevated galactose-1-phosphate and cerebrosides are modestly reduced in a mouse model of classic galactosemia.

Applications

Unspecified application

Species

Unspecified reactive species

Linley Mangini,Roger Lawrence,Manuel E Lopez,Timothy C Graham,Christopher R Bauer,Hang Nguyen,Cheng Su,John Ramphal,Brett E Crawford,Tom A Hartl

Biomolecules 13: PubMed36979451

2023

Dysregulation of AMPA Receptor Trafficking and Intracellular Vesicular Sorting in the Prefrontal Cortex of Dopamine Transporter Knock-Out Rats.

Applications

Unspecified application

Species

Unspecified reactive species

Giorgia Targa,Francesca Mottarlini,Beatrice Rizzi,Damiana Leo,Lucia Caffino,Fabio Fumagalli

Journal of inherited metabolic disease 45:748-758 PubMed35527402

2022

Novel mRNA therapy restores GALT protein and enzyme activity in a zebrafish model of classic galactosemia.

Applications

Unspecified application

Species

Unspecified reactive species

Britt Delnoy,Minela Haskovic,Jo Vanoevelen,Laura K M Steinbusch,Esther Naomi Vos,Kèvin Knoops,Luc J I Zimmermann,Marek Noga,Dirk J Lefeber,Paolo G V Martini,Ana I Coelho,Maria Estela Rubio-Gozalbo

Molecular therapy : the journal of the American Society of Gene Therapy 28:304-312 PubMed31604675

2019

Novel mRNA-Based Therapy Reduces Toxic Galactose Metabolites and Overcomes Galactose Sensitivity in a Mouse Model of Classic Galactosemia.

Applications

Unspecified application

Species

Unspecified reactive species

Bijina Balakrishnan,Ding An,Vi Nguyen,Christine DeAntonis,Paolo G V Martini,Kent Lai

International journal of hyperthermia : the offici 36:383-393 PubMed30909744

2019

Proteomic and bioinformatic analysis of condyloma acuminata: mild hyperthermia treatment reveals compromised HPV infectivity of keratinocytes via regulation of metabolism, differentiation and anti-viral responses.

Applications

Unspecified application

Species

Unspecified reactive species

Yu-Zhe Sun,Jia-Feng Li,Zhen-Dong Wei,Hang-Hang Jiang,Yu-Xiao Hong,Song Zheng,Rui-Qun Qi,Xing-Hua Gao

Frontiers in cellular neuroscience 13:56 PubMed30837844

2019

Mast Cells Induce Blood Brain Barrier Damage in SCD by Causing Endoplasmic Reticulum Stress in the Endothelium.

Applications

Unspecified application

Species

Unspecified reactive species

Huy Tran,Aditya Mittal,Varun Sagi,Kathryn Luk,Aithanh Nguyen,Mihir Gupta,Julia Nguyen,Yann Lamarre,Jianxun Lei,Alonso Guedes,Kalpna Gupta

Developmental cell 47:464-478.e8 PubMed30393074

2018

Activity of the SPCA1 Calcium Pump Couples Sphingomyelin Synthesis to Sorting of Secretory Proteins in the Trans-Golgi Network.

Applications

Unspecified application

Species

Unspecified reactive species

Yongqiang Deng,Mehrshad Pakdel,Birgit Blank,Emma L Sundberg,Christopher G Burd,Julia von Blume

Nature methods 15:909-912 PubMed30377371

2018

A high-throughput pipeline for validation of antibodies.

Applications

Unspecified application

Species

Unspecified reactive species

Krzysztof Sikorski,Adi Mehta,Marit Inngjerdingen,Flourina Thakor,Simon Kling,Tomas Kalina,Tuula A Nyman,Maria Ekman Stensland,Wei Zhou,Gustavo A de Souza,Lars Holden,Jan Stuchly,Markus Templin,Fridtjof Lund-Johansen
View all publications

Product promise

We are committed to supporting your work with high-quality reagents, and we're here for you every step of the way. In the unlikely event that one of our products does not perform as expected, you're protected by our Product Promise.
For full details, please see our Terms & Conditions

Please note: All products are 'FOR RESEARCH USE ONLY. NOT FOR USE IN DIAGNOSTIC OR THERAPEUTIC PROCEDURES'.

For licensing inquiries, please contact partnerships@abcam.com