JavaScript is disabled in your browser. Please enable JavaScript to view this website.
AB123034

Anti-gamma Actin antibody [2A3]

5

(4 Reviews)

|

(24 Publications)

Anti-gamma Actin antibody [2A3] (ab123034) is a mouse monoclonal antibody detecting gamma Actin in Western Blot, Flow Cytometry, IHC-P, IHC-Fr, ICC/IF, ELISA. Suitable for Chicken, Human, Mouse, Pig, Rabbit, Rat, Zebrafish.

- Over 20 publications

View Alternative Names

ACTG, ACTG1, Gamma-actin

4 Images
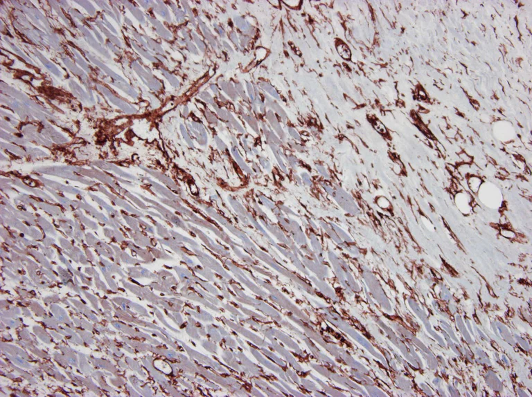
Immunohistochemistry (Formalin/PFA-fixed paraffin-embedded sections) - Anti-gamma Actin antibody [2A3] (AB123034)
  • IHC-P

Unknown

Immunohistochemistry (Formalin/PFA-fixed paraffin-embedded sections) - Anti-gamma Actin antibody [2A3] (AB123034)

Immunohistochemical analysis of paraffin embedded human heart tissue immunostained for gamma cytoplasmic actin using ab123034 at 1/100 dilution.

Immunocytochemistry/ Immunofluorescence - Anti-gamma Actin antibody [2A3] (AB123034)
  • ICC/IF

Supplier Data

Immunocytochemistry/ Immunofluorescence - Anti-gamma Actin antibody [2A3] (AB123034)

Human dermal fibroblasts stained for gamma Actin (green) using ab123034 at 1/500 dilution in ICC/IF.

Immunohistochemistry (Formalin/PFA-fixed paraffin-embedded sections) - Anti-gamma Actin antibody [2A3] (AB123034)
  • IHC-P

Unknown

Immunohistochemistry (Formalin/PFA-fixed paraffin-embedded sections) - Anti-gamma Actin antibody [2A3] (AB123034)

Immunohistochemical analysis of paraffin embedded Human small intestine tissue labelled with Anti-gamma Actin antibody [2A3] at 5 μg/ml

Immunohistochemistry (Formalin/PFA-fixed paraffin-embedded sections) - Anti-gamma Actin antibody [2A3] (AB123034)
  • IHC-P

Supplier Data

Immunohistochemistry (Formalin/PFA-fixed paraffin-embedded sections) - Anti-gamma Actin antibody [2A3] (AB123034)

ab123034 (1 : 1000 dilution) stainign gamma Actin in the epithelial villi and smooth muscle cells in swine colon.

Key facts

Host species

Mouse

Clonality

Monoclonal

Clone number

2A3

Isotype

IgG2b

Carrier free

No

Reacts with

Human, Pig, Chicken, Rat, Zebrafish, Mouse, Rabbit

Applications

Flow Cyt, WB, ICC/IF, IHC-P, IHC-Fr, ELISA

applications

Immunogen

Synthetic Peptide within Human ACTG1 aa 1-50 conjugated to Keyhole Limpet Haemocyanin. The exact immunogen used to generate this antibody is proprietary information.

P63261

Specificity

This antibody does not cross react with other actin isoforms. The epitope recognized by ab123034 is highly conserved and the antibody is therefore expected to react with many other species.

This antibody is highly specific for gamma-cytoplasmic actin (γ-actin 1; encoded by ACTG1). It does not cross-react with the gamma-actin isoform expressed in the enteric smooth muscle tissues (γ-actin 2; encoded by ACTG2).

Reactivity data

{ "title": "Reactivity Data", "filters": { "stats": ["", "Species", "Dilution Info", "Notes"], "tabs": { "all-applications": {"fullname" : "All Applications", "shortname": "All Applications"}, "FlowCyt" : {"fullname" : "Flow Cytometry", "shortname":"Flow Cyt"}, "ELISA" : {"fullname" : "ELISA", "shortname":"ELISA"}, "WB" : {"fullname" : "Western blot", "shortname":"WB"}, "ICCIF" : {"fullname" : "Immunocytochemistry/ Immunofluorescence", "shortname":"ICC/IF"}, "IHCFr" : {"fullname" : "Immunohistochemistry (Frozen sections)", "shortname":"IHC-Fr"}, "IHCP" : {"fullname" : "Immunohistochemistry paraffin embedded sections", "shortname":"IHC-P"} }, "product-promise": { "all": "all", "testedAndGuaranteed": "tested", "guaranteed": "expected", "predicted": "predicted", "notRecommended": "not-recommended" } }, "values": { "Human": { "FlowCyt-species-checked": "guaranteed", "FlowCyt-species-dilution-info": "", "FlowCyt-species-notes": "<p><a href='/en-us/products/primary-antibodies/mouse-igg2b-kappa-monoclonal-7e10g10-isotype-control-ab170192'>ab170192</a> - Mouse monoclonal IgG2b, is suitable for use as an isotype control with this antibody.</p>", "ELISA-species-checked": "guaranteed", "ELISA-species-dilution-info": "", "ELISA-species-notes": "<p></p>", "WB-species-checked": "guaranteed", "WB-species-dilution-info": "", "WB-species-notes": "<p></p>", "ICCIF-species-checked": "testedAndGuaranteed", "ICCIF-species-dilution-info": "1/500", "ICCIF-species-notes": "<p></p>", "IHCFr-species-checked": "guaranteed", "IHCFr-species-dilution-info": "", "IHCFr-species-notes": "<p></p>", "IHCP-species-checked": "guaranteed", "IHCP-species-dilution-info": "1/100 - 1/500", "IHCP-species-notes": "<p></p>" }, "Mouse": { "FlowCyt-species-checked": "guaranteed", "FlowCyt-species-dilution-info": "", "FlowCyt-species-notes": "<p><a href='/en-us/products/primary-antibodies/mouse-igg2b-kappa-monoclonal-7e10g10-isotype-control-ab170192'>ab170192</a> - Mouse monoclonal IgG2b, is suitable for use as an isotype control with this antibody.</p>", "ELISA-species-checked": "guaranteed", "ELISA-species-dilution-info": "", "ELISA-species-notes": "<p></p>", "WB-species-checked": "guaranteed", "WB-species-dilution-info": "", "WB-species-notes": "<p></p>", "ICCIF-species-checked": "predicted", "ICCIF-species-dilution-info": "", "ICCIF-species-notes": "", "IHCFr-species-checked": "guaranteed", "IHCFr-species-dilution-info": "", "IHCFr-species-notes": "<p></p>", "IHCP-species-checked": "guaranteed", "IHCP-species-dilution-info": "", "IHCP-species-notes": "<p></p>" }, "Rat": { "FlowCyt-species-checked": "guaranteed", "FlowCyt-species-dilution-info": "", "FlowCyt-species-notes": "<p><a href='/en-us/products/primary-antibodies/mouse-igg2b-kappa-monoclonal-7e10g10-isotype-control-ab170192'>ab170192</a> - Mouse monoclonal IgG2b, is suitable for use as an isotype control with this antibody.</p>", "ELISA-species-checked": "guaranteed", "ELISA-species-dilution-info": "", "ELISA-species-notes": "<p></p>", "WB-species-checked": "guaranteed", "WB-species-dilution-info": "", "WB-species-notes": "<p></p>", "ICCIF-species-checked": "predicted", "ICCIF-species-dilution-info": "", "ICCIF-species-notes": "", "IHCFr-species-checked": "guaranteed", "IHCFr-species-dilution-info": "", "IHCFr-species-notes": "<p></p>", "IHCP-species-checked": "guaranteed", "IHCP-species-dilution-info": "", "IHCP-species-notes": "<p></p>" }, "Chicken": { "FlowCyt-species-checked": "guaranteed", "FlowCyt-species-dilution-info": "", "FlowCyt-species-notes": "<p><a href='/en-us/products/primary-antibodies/mouse-igg2b-kappa-monoclonal-7e10g10-isotype-control-ab170192'>ab170192</a> - Mouse monoclonal IgG2b, is suitable for use as an isotype control with this antibody.</p>", "ELISA-species-checked": "guaranteed", "ELISA-species-dilution-info": "", "ELISA-species-notes": "<p></p>", "WB-species-checked": "guaranteed", "WB-species-dilution-info": "", "WB-species-notes": "<p></p>", "ICCIF-species-checked": "predicted", "ICCIF-species-dilution-info": "", "ICCIF-species-notes": "", "IHCFr-species-checked": "guaranteed", "IHCFr-species-dilution-info": "", "IHCFr-species-notes": "<p></p>", "IHCP-species-checked": "guaranteed", "IHCP-species-dilution-info": "", "IHCP-species-notes": "<p></p>" }, "Pig": { "FlowCyt-species-checked": "guaranteed", "FlowCyt-species-dilution-info": "", "FlowCyt-species-notes": "<p><a href='/en-us/products/primary-antibodies/mouse-igg2b-kappa-monoclonal-7e10g10-isotype-control-ab170192'>ab170192</a> - Mouse monoclonal IgG2b, is suitable for use as an isotype control with this antibody.</p>", "ELISA-species-checked": "guaranteed", "ELISA-species-dilution-info": "", "ELISA-species-notes": "<p></p>", "WB-species-checked": "guaranteed", "WB-species-dilution-info": "", "WB-species-notes": "<p></p>", "ICCIF-species-checked": "guaranteed", "ICCIF-species-dilution-info": "", "ICCIF-species-notes": "", "IHCFr-species-checked": "guaranteed", "IHCFr-species-dilution-info": "", "IHCFr-species-notes": "<p></p>", "IHCP-species-checked": "guaranteed", "IHCP-species-dilution-info": "1/100 - 1/500", "IHCP-species-notes": "<p></p>" }, "Rabbit": { "FlowCyt-species-checked": "guaranteed", "FlowCyt-species-dilution-info": "", "FlowCyt-species-notes": "<p><a href='/en-us/products/primary-antibodies/mouse-igg2b-kappa-monoclonal-7e10g10-isotype-control-ab170192'>ab170192</a> - Mouse monoclonal IgG2b, is suitable for use as an isotype control with this antibody.</p>", "ELISA-species-checked": "guaranteed", "ELISA-species-dilution-info": "", "ELISA-species-notes": "<p></p>", "WB-species-checked": "guaranteed", "WB-species-dilution-info": "", "WB-species-notes": "<p></p>", "ICCIF-species-checked": "predicted", "ICCIF-species-dilution-info": "", "ICCIF-species-notes": "", "IHCFr-species-checked": "guaranteed", "IHCFr-species-dilution-info": "", "IHCFr-species-notes": "<p></p>", "IHCP-species-checked": "guaranteed", "IHCP-species-dilution-info": "", "IHCP-species-notes": "<p></p>" }, "Zebrafish": { "FlowCyt-species-checked": "guaranteed", "FlowCyt-species-dilution-info": "", "FlowCyt-species-notes": "<p><a href='/en-us/products/primary-antibodies/mouse-igg2b-kappa-monoclonal-7e10g10-isotype-control-ab170192'>ab170192</a> - Mouse monoclonal IgG2b, is suitable for use as an isotype control with this antibody.</p>", "ELISA-species-checked": "guaranteed", "ELISA-species-dilution-info": "", "ELISA-species-notes": "<p></p>", "WB-species-checked": "guaranteed", "WB-species-dilution-info": "", "WB-species-notes": "<p></p>", "ICCIF-species-checked": "predicted", "ICCIF-species-dilution-info": "", "ICCIF-species-notes": "", "IHCFr-species-checked": "guaranteed", "IHCFr-species-dilution-info": "", "IHCFr-species-notes": "<p></p>", "IHCP-species-checked": "guaranteed", "IHCP-species-dilution-info": "", "IHCP-species-notes": "<p></p>" } } }

Product details

What is this antibody validated in?
Anti-gamma Actin antibody [2A3] (ab123034) is a mouse monoclonal antibody and is validated for use in Western Blot (WB), Flow Cytometry (Flow Cyt), Immunohistochemistry (IHC-P), Immunohistochemistry (IHC-Fr), Immunocytochemistry/immunofluorescence (ICC/IF), ELISA in Chicken, Human, Mouse, Pig, Rabbit, Rat, Zebrafish samples.

What is the molecular weight of gamma Actin?
Anti-gamma Actin [2A3] (ab123034) specifically detects a band for gamma Actin (UniProt: P63261) at a molecular weight of 42kDa.

Trusted by the scientific community
Anti-gamma Actin [2A3] (ab123034) was first used in a scientific publication in 2011 and has been cited over 20 times in peer-reviewed journals.

Properties and storage information

Form
Liquid
Purification technique
Affinity purification Protein G
Storage buffer
Preservative: 0.09% Sodium azide Constituents: PBS
Shipped at conditions
Blue Ice
Appropriate short-term storage conditions
+4°C
Appropriate long-term storage conditions
-20°C
Aliquoting information
Upon delivery aliquot
Storage information
Avoid freeze / thaw cycle

Supplementary information

This supplementary information is collated from multiple sources and compiled automatically.

Gamma actin also known as actin gamma 1 and actin kDa is an essential actin protein found in the cytoskeleton. It is expressed widely in various tissues including muscle and non-muscle cells. This protein has a molecular mass of approximately 42 kDa. Gamma actin plays a mechanical role in maintaining cellular shape and facilitating cell motility by polymerizing into filamentous structures known as F-actin. It has alternate names such as 2a-3' and actin green in some contexts.
Biological function summary

Gamma actin contributes significantly to the structure of the cytoskeleton affecting cell shape and function. It forms part of actin filament complexes that provide tension and support to the cell. In both muscle and non-muscle cells gamma actin interacts with other actin isoforms to ensure filament stability and elasticity. These interactions are important for processes like cell division signal transduction and cellular transport.

Pathways

Gamma actin is involved in pathways related to cell motility and division. This protein is integral to the actin cytoskeleton pathway and has connections with proteins such as profilin and cofilin which regulate actin filament dynamics. Additionally it plays roles in signal transduction pathways that control cellular responses to external signals working alongside proteins like the Rho GTPases.

Gamma actin has been linked to conditions such as deafness and certain types of cancer. Mutations in the ACTG1 gene encoding gamma actin have been associated with hereditary hearing loss. In cancer changes in gamma actin expression can affect cell migration and invasion contributing to tumor progression. The protein's interaction with other actins and related proteins like actin-binding proteins makes it a critical factor in the molecular mechanisms underlying these diseases.

Product protocols

For this product, it's our understanding that no specific protocols are required. You can visit:

Target data

Actins are highly conserved proteins that are involved in various types of cell motility and are ubiquitously expressed in all eukaryotic cells. May play a role in the repair of noise-induced stereocilia gaps thereby maintains hearing sensitivity following loud noise damage (By similarity).
See full target information ACTG1

Publications (24)

Recent publications for all applications. Explore the full list and refine your search

Redox biology 84:103681 PubMed40403491

2025

MOTS-c attenuates lung ischemia-reperfusion injury via MYH9-Dependent nuclear translocation and transcriptional activation of antioxidant genes.

Applications

Unspecified application

Species

Unspecified reactive species

Xiangyu Li,Faliang Zhan,Guangfeng Qiu,Peng Lu,Zihao Shen,Yuanpu Qi,Minchao Wu,Mingyu Chu,Jia Feng,Ziang Wen,Xin Yao,Ao Wang,Wanjun Jin,Xiao Zhang,Junjie Liao,Jialin Zhang,Meijuan Song,Wei Wang,Xiaowei Wang

GeroScience 47:2525-2540 PubMed39592519

2024

Expression of alpha smooth muscle actin decreases with ageing and increases upon lumen obstruction in mouse brain pericytes.

Applications

Unspecified application

Species

Unspecified reactive species

Fanni Győri,Ádám Mészáros,Mónika Krecsmarik,Kinga Molnár,Cornel Balta,Anca Hermenean,Attila E Farkas,István A Krizbai,Imola Wilhelm

Digital health 9:20552076231203902 PubMed37766908

2023

Significance of platelet adhesion-related genes in colon cancer based on non-negative matrix factorization-based clustering algorithm.

Applications

Unspecified application

Species

Unspecified reactive species

Xiao-Jv Chi,Yi-Bei Song,Deng-He Liu,Li-Qiang Wei,Xin An,Zi-Zhen Feng,Xiao-Hua Lan,Dong Lan,Chao Huang

Life science alliance 6: PubMed37648284

2023

Polo-like kinase-1 mediates hepatitis C virus-induced cell migration, a drug target for liver cancer.

Applications

Unspecified application

Species

Unspecified reactive species

Korri E El-Khobar,Enoch Tay,Eve Diefenbach,Brian S Gloss,Jacob George,Mark W Douglas

Cells 11: PubMed36429009

2022

Cortical Pathology in Vanishing White Matter.

Applications

Unspecified application

Species

Unspecified reactive species

Jodie H K Man,Charlotte A G H van Gelder,Marjolein Breur,Daniel Okkes,Douwe Molenaar,Sophie van der Sluis,Truus Abbink,Maarten Altelaar,Marjo S van der Knaap,Marianna Bugiani

Journal of oncology 2022:4499876 PubMed35799607

2022

Cervical Cancer Cells-Derived Extracellular Vesicles Containing microRNA-146a-5p Affect Actin Dynamics to Promote Cervical Cancer Metastasis by Activating the Hippo-YAP Signaling Pathway WWC2.

Applications

Unspecified application

Species

Unspecified reactive species

Weiwei Wang,Lipei Wu,Jiale Tian,Wenhui Yan,Chunrun Qi,Wuchao Liu,Shihai Xuan,Anquan Shang

American journal of physiology. Regulatory, integrative and comparative physiology 323:R110-R122 PubMed35503519

2022

The hyperpolarization-activated, cyclic nucleotide-gated channel resides on myocytes in mouse bladders and contributes to adrenergic-induced detrusor relaxation.

Applications

Unspecified application

Species

Unspecified reactive species

Fouad Lemtiri-Chlieh,Dylan S Baker,Iman M Al-Naggar,Ramalakshmi Ramasamy,George A Kuchel,Eric S Levine,Paul Robson,Phillip P Smith

Saudi journal of gastroenterology : official journal of the Saudi Gastroenterology Association 28:239-246 PubMed34856725

2021

Actin gamma 1 is a critical regulator of pancreatic ductal adenocarcinoma.

Applications

Unspecified application

Species

Unspecified reactive species

Yichen Tang,Xuehui Peng,Xiaobing Huang,Jing Li

JOR spine 4:e1146 PubMed34611583

2021

Transcriptional profiling of intervertebral disc in a post-traumatic early degeneration organ culture model.

Applications

Unspecified application

Species

Unspecified reactive species

Shangbin Cui,Zhiyu Zhou,Xu Chen,Fuxin Wei,R Geoff Richards,Mauro Alini,Sibylle Grad,Zhen Li

Frontiers in cell and developmental biology 9:644716 PubMed33791303

2021

Nujiangexanthone A Inhibits Hepatocellular Carcinoma Metastasis via Down Regulation of Cofilin 1.

Applications

Unspecified application

Species

Unspecified reactive species

Li Zhang,Zongtao Chai,Siyuan Kong,Jiling Feng,Man Wu,Jiaqi Tan,Man Yuan,Gan Chen,Zhuo Li,Hua Zhou,Shuqun Cheng,Hongxi Xu
View all publications

Product promise

We are committed to supporting your work with high-quality reagents, and we're here for you every step of the way. In the unlikely event that one of our products does not perform as expected, you're protected by our Product Promise.
For full details, please see our Terms & Conditions

Please note: All products are 'FOR RESEARCH USE ONLY. NOT FOR USE IN DIAGNOSTIC OR THERAPEUTIC PROCEDURES'.

For licensing inquiries, please contact partnerships@abcam.com