JavaScript is disabled in your browser. Please enable JavaScript to view this website.
AB200046

Anti-gamma Actin antibody [EPR19353-2]

Be the first to review this product! Submit a review

|

(7 Publications)

Rabbit Recombinant Monoclonal gamma Actin antibody. Suitable for IP, WB and reacts with Human, Mouse, Rat samples. Cited in 7 publications.

View Alternative Names

ACTG, ACTG1, Gamma-actin

5 Images
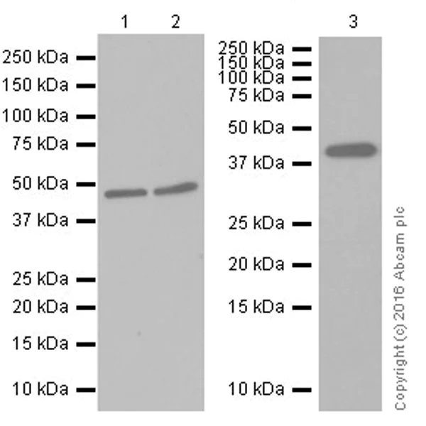
Immunoprecipitation - Anti-gamma Actin antibody [EPR19353-2] (AB200046)
  • IP

Supplier Data

Immunoprecipitation - Anti-gamma Actin antibody [EPR19353-2] (AB200046)

gamma Actin was immunoprecipitated from 0.35 mg of HeLa (Human epithelial cell line from cervix adenocarcinoma) whole cell lysate with ab200046 at 1/30 dilution. Western blot was performed from the immunoprecipitate using ab200046 at 1/1000 dilution. VeriBlot for IP Detection Reagent (HRP) (ab131366), was used for detection at 1/10000 dilution.

Lane 1 : HeLa whole cell lysate, 10 μg (Input).

Lane 2 : ab200046 IP in HeLa whole cell lysate.

Lane 3 : Rabbit monoclonal IgG (ab172730) instead of ab200046 in HeLa whole cell lysate.

Blocking and dilution buffer and concentration : 5% NFDM/TBST.

Exposure time : 3 minutes.

All lanes:

Immunoprecipitation - Anti-gamma Actin antibody [EPR19353-2] (ab200046)

Predicted band size: 42 kDa

Observed band size: 42 kDa

false

Western blot - Anti-gamma Actin antibody [EPR19353-2] (AB200046)
  • WB

Supplier Data

Western blot - Anti-gamma Actin antibody [EPR19353-2] (AB200046)

Blocking/Dilution buffer : 5% NFDM/TBST.

Exposure times : Lane 1/3 : 3 minutes; Lane 2 : 30 seconds.

All lanes:

Western blot - Anti-gamma Actin antibody [EPR19353-2] (ab200046) at 1/1000 dilution

Lane 1:

Human fetal spleen lysate at 10 µg

Lane 2:

Human fetal kidney lysate at 10 µg

Lane 3:

Human fetal brain lysate at 10 µg

Secondary

All lanes:

Western blot - VeriBlot for IP Detection Reagent (HRP) (<a href='/en-us/products/reagents/veriblot-for-ip-detection-reagent-hrp-ab131366'>ab131366</a>) at 1/4000 dilution

Predicted band size: 42 kDa

Observed band size: 42 kDa

false

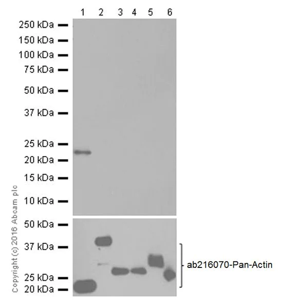
Western blot - Anti-gamma Actin antibody [EPR19353-2] (AB200046)
  • WB

Supplier Data

Western blot - Anti-gamma Actin antibody [EPR19353-2] (AB200046)

Blocking/Dilution buffer : 5% NFDM/TBST.

Human Gamma actin (ACTG1) contains aa2-182 with His-tag.

Human Beta actin (ACTB) contains aa1-100 with GST and His tag.

Human Gamma-2 actin(ACTG2) contains aa1-200 with His-tag.

Human Alpha-cardiac actin (ACTC) contains aa1-200 with His-tag.

Human Alpha-actin-2 (ACTA2) contains aa3-253 with His-tag.

Human Alpha-actin-1 (ACTA1) contains aa3-200 with His-tag

All lanes:

Western blot - Anti-gamma Actin antibody [EPR19353-2] (ab200046) at 1/1000 dilution

Lane 1:

Human Gamma actin (ACTG1) recombinant protein at 0.01 µg

Lane 2:

Human Beta actin (ACTB) recombinant protein at 0.02 µg

Lane 3:

Human Gamma-2 actin(ACTG2) recombinant protein at 0.02 µg

Lane 4:

Human Alpha-cardiac actin (ACTC) recombinant protein at 0.02 µg

Lane 5:

Human Alpha-actin-2 (ACTA2) recombinant protein at 0.01 µg

Lane 6:

Human Alpha-actin-1 (ACTA1) recombinant protein at 0.01 µg

Secondary

All lanes:

Western blot - Goat Anti-Rabbit IgG H&L (HRP) (<a href='/en-us/products/secondary-antibodies/goat-rabbit-igg-h-l-hrp-ab97051'>ab97051</a>) at 1/100000 dilution

Predicted band size: 42 kDa

Observed band size: 22 kDa

false

Exposure time: 3min

Western blot - Anti-gamma Actin antibody [EPR19353-2] (AB200046)
  • WB

Supplier Data

Western blot - Anti-gamma Actin antibody [EPR19353-2] (AB200046)

Blocking/Dilution buffer : 5% NFDM/TBST.

All lanes:

Western blot - Anti-gamma Actin antibody [EPR19353-2] (ab200046) at 1/1000 dilution

Lane 1:

Jurkat (Human T cell leukemia cell line from peripheral blood) whole cell lysate at 20 µg

Lane 2:

A549 (Human lung carcinoma cell line) whole cell lysate at 20 µg

Lane 3:

HeLa (Human epithelial cell line from cervix adenocarcinoma) whole cell lysate at 10 µg

Secondary

All lanes:

Western blot - Goat Anti-Rabbit IgG H&L (HRP) (<a href='/en-us/products/secondary-antibodies/goat-rabbit-igg-h-l-hrp-ab97051'>ab97051</a>) at 1/100000 dilution

Predicted band size: 42 kDa

Observed band size: 42 kDa

false

Exposure time: 3min

Western blot - Anti-gamma Actin antibody [EPR19353-2] (AB200046)
  • WB

Supplier Data

Western blot - Anti-gamma Actin antibody [EPR19353-2] (AB200046)

Blocking/Dilution buffer : 5% NFDM/TBST.

Exposure times : Lane 1-3 : 30 seconds; Lane 4/5 : 3 minutes; Lane 6-8 : 1 minute

All lanes:

Western blot - Anti-gamma Actin antibody [EPR19353-2] (ab200046) at 1/1000 dilution

Lane 1:

C6 (Rat glial tumor cell line) whole cell lysate at 10 µg

Lane 2:

PC-12 (Rat adrenal gland pheochromocytoma cell line) whole cell lysate at 10 µg

Lane 3:

NIH/3T3 (Mouse embryonic fibroblast cell line) whole cell lysate at 10 µg

Lane 4:

Mouse kidney lysate at 10 µg

Lane 5:

Mouse spleen lysate at 10 µg

Lane 6:

Rat brain lysate at 10 µg

Lane 7:

Rat kidney lysate at 10 µg

Lane 8:

Rat spleen lysate at 10 µg

Secondary

All lanes:

Western blot - Goat Anti-Rabbit IgG H&L (HRP) (<a href='/en-us/products/secondary-antibodies/goat-rabbit-igg-h-l-hrp-ab97051'>ab97051</a>) at 1/100000 dilution

Predicted band size: 42 kDa

Observed band size: 42 kDa

false

  • Carrier free

    Anti-gamma Actin antibody [EPR19353-2] - BSA and Azide free

Key facts

Host species

Rabbit

Clonality

Monoclonal

Clone number

EPR19353-2

Isotype

IgG

Carrier free

No

Reacts with

Mouse, Rat, Human

Applications

WB, IP

applications

Immunogen

The exact immunogen used to generate this antibody is proprietary information.

Reactivity data

{ "title": "Reactivity Data", "filters": { "stats": ["", "Species", "Dilution Info", "Notes"], "tabs": { "all-applications": {"fullname" : "All Applications", "shortname": "All Applications"}, "IP" : {"fullname" : "Immunoprecipitation", "shortname":"IP"}, "WB" : {"fullname" : "Western blot", "shortname":"WB"} }, "product-promise": { "all": "all", "testedAndGuaranteed": "tested", "guaranteed": "expected", "predicted": "predicted", "notRecommended": "not-recommended" } }, "values": { "Human": { "IP-species-checked": "testedAndGuaranteed", "IP-species-dilution-info": "1/30", "IP-species-notes": "<p></p>", "WB-species-checked": "testedAndGuaranteed", "WB-species-dilution-info": "1/1000", "WB-species-notes": "<p></p>" }, "Mouse": { "IP-species-checked": "guaranteed", "IP-species-dilution-info": "", "IP-species-notes": "", "WB-species-checked": "testedAndGuaranteed", "WB-species-dilution-info": "1/1000", "WB-species-notes": "<p></p>" }, "Rat": { "IP-species-checked": "guaranteed", "IP-species-dilution-info": "", "IP-species-notes": "", "WB-species-checked": "testedAndGuaranteed", "WB-species-dilution-info": "1/1000", "WB-species-notes": "<p></p>" } } }

Product details

Patented technology
Our RabMAb® technology is a patented hybridoma-based technology for making rabbit monoclonal antibodies. For details on our patents, please refer to RabMAb® patents.

What are the advantages of a recombinant monoclonal antibody?
This product is a recombinant monoclonal antibody, which offers several advantages including:

  • - High batch-to-batch consistency and reproducibility
  • - Improved sensitivity and specificity
  • - Long-term security of supply
  • - Animal-free batch production

For more information, read more on recombinant antibodies.

Properties and storage information

Form
Liquid
Purification technique
Affinity purification Protein A
Storage buffer
pH: 7.2 - 7.4 Preservative: 0.01% Sodium azide Constituents: PBS, 40% Glycerol (glycerin, glycerine), 0.05% BSA
Shipped at conditions
Blue Ice
Appropriate short-term storage duration
1-2 weeks
Appropriate short-term storage conditions
+4°C
Appropriate long-term storage conditions
-20°C
Aliquoting information
Upon delivery aliquot
Storage information
Avoid freeze / thaw cycle

Supplementary information

This supplementary information is collated from multiple sources and compiled automatically.

Gamma actin also known as actin gamma 1 and actin kDa is an essential actin protein found in the cytoskeleton. It is expressed widely in various tissues including muscle and non-muscle cells. This protein has a molecular mass of approximately 42 kDa. Gamma actin plays a mechanical role in maintaining cellular shape and facilitating cell motility by polymerizing into filamentous structures known as F-actin. It has alternate names such as 2a-3' and actin green in some contexts.
Biological function summary

Gamma actin contributes significantly to the structure of the cytoskeleton affecting cell shape and function. It forms part of actin filament complexes that provide tension and support to the cell. In both muscle and non-muscle cells gamma actin interacts with other actin isoforms to ensure filament stability and elasticity. These interactions are important for processes like cell division signal transduction and cellular transport.

Pathways

Gamma actin is involved in pathways related to cell motility and division. This protein is integral to the actin cytoskeleton pathway and has connections with proteins such as profilin and cofilin which regulate actin filament dynamics. Additionally it plays roles in signal transduction pathways that control cellular responses to external signals working alongside proteins like the Rho GTPases.

Gamma actin has been linked to conditions such as deafness and certain types of cancer. Mutations in the ACTG1 gene encoding gamma actin have been associated with hereditary hearing loss. In cancer changes in gamma actin expression can affect cell migration and invasion contributing to tumor progression. The protein's interaction with other actins and related proteins like actin-binding proteins makes it a critical factor in the molecular mechanisms underlying these diseases.

Product protocols

For this product, it's our understanding that no specific protocols are required. You can visit:

Target data

Actins are highly conserved proteins that are involved in various types of cell motility and are ubiquitously expressed in all eukaryotic cells. May play a role in the repair of noise-induced stereocilia gaps thereby maintains hearing sensitivity following loud noise damage (By similarity).
See full target information ACTG1

Publications (7)

Recent publications for all applications. Explore the full list and refine your search

EMBO reports 26:2262-2279 PubMed40128410

2025

Induction of a transcriptional adaptation response by RNA destabilization events.

Applications

Unspecified application

Species

Unspecified reactive species

Lihan Xie,Gabrielius Jakutis,Christopher M Dooley,Stefan Guenther,Zacharias Kontarakis,Sarah P Howard,Thomas Juan,Didier Y R Stainier

Cell death & disease 14:502 PubMed37542027

2023

Exosomal PGAM1 promotes prostate cancer angiogenesis and metastasis by interacting with ACTG1.

Applications

Unspecified application

Species

Unspecified reactive species

Jun-Qi Luo,Tao-Wei Yang,Jun Wu,Hou-Hua Lai,Li-Bin Zou,Wen-Bin Chen,Xu-Min Zhou,Dao-Jun Lv,Sheng-Ren Cen,Zi-Ning Long,Yi-You Mao,Peng-Xiang Zheng,Xiao-Hong Su,Zhi-Yong Xian,Fang-Peng Shu,Xiang-Ming Mao

Theranostics 12:5034-5050 PubMed35836807

2022

SGLT2 inhibitor dapagliflozin reduces endothelial dysfunction and microvascular damage during cardiac ischemia/reperfusion injury through normalizing the XO-SERCA2-CaMKII-coffilin pathways.

Applications

Unspecified application

Species

Unspecified reactive species

Li Ma,Rongjun Zou,Wanting Shi,Na Zhou,Shaoxian Chen,Hao Zhou,Xinxin Chen,Yueheng Wu

Saudi journal of gastroenterology : official journal of the Saudi Gastroenterology Association 28:239-246 PubMed34856725

2021

Actin gamma 1 is a critical regulator of pancreatic ductal adenocarcinoma.

Applications

Unspecified application

Species

Unspecified reactive species

Yichen Tang,Xuehui Peng,Xiaobing Huang,Jing Li

International journal of molecular medicine 44:89-102 PubMed31115479

2019

Sirt1 inhibits HG-induced endothelial injury: Role of Mff-based mitochondrial fission and F‑actin homeostasis-mediated cellular migration.

Applications

Unspecified application

Species

Unspecified reactive species

Ruijie Qin,Lina Zhang,Dong Lin,Fei Xiao,Lixin Guo

Redox biology 20:261-274 PubMed30384260

2018

Mst1 deletion attenuates renal ischaemia-reperfusion injury: The role of microtubule cytoskeleton dynamics, mitochondrial fission and the GSK3β-p53 signalling pathway.

Applications

Unspecified application

Species

Unspecified reactive species

Hongyan Li,Jianxun Feng,Yunfang Zhang,Junxia Feng,Qi Wang,Shili Zhao,Ping Meng,Jingchun Li

Redox biology 15:335-346 PubMed29306791

2017

Empagliflozin rescues diabetic myocardial microvascular injury via AMPK-mediated inhibition of mitochondrial fission.

Applications

Unspecified application

Species

Unspecified reactive species

Hao Zhou,Shuyi Wang,Pingjun Zhu,Shunying Hu,Yundai Chen,Jun Ren
View all publications

Product promise

We are committed to supporting your work with high-quality reagents, and we're here for you every step of the way. In the unlikely event that one of our products does not perform as expected, you're protected by our Product Promise.
For full details, please see our Terms & Conditions

Please note: All products are 'FOR RESEARCH USE ONLY. NOT FOR USE IN DIAGNOSTIC OR THERAPEUTIC PROCEDURES'.

For licensing inquiries, please contact partnerships@abcam.com