JavaScript is disabled in your browser. Please enable JavaScript to view this website.
AB167153

Anti-gamma Adaptin antibody [EPR9875(B)]

Be the first to review this product! Submit a review

|

(3 Publications)

Rabbit Recombinant Monoclonal gamma Adaptin antibody. Suitable for IHC-P, WB and reacts with Human, Mouse, Rat samples. Cited in 3 publications.

View Alternative Names

ADTG, CLAPG1, AP1G1, AP-1 complex subunit gamma-1, Adaptor protein complex AP-1 subunit gamma-1, Adaptor-related protein complex 1 subunit gamma-1, Clathrin assembly protein complex 1 gamma-1 large chain, Gamma1-adaptin, Golgi adaptor HA1/AP1 adaptin subunit gamma-1

3 Images
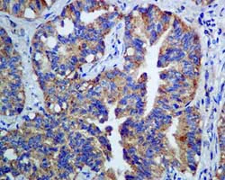
Immunohistochemistry (Formalin/PFA-fixed paraffin-embedded sections) - Anti-gamma Adaptin antibody [EPR9875(B)] (AB167153)
  • IHC-P

Unknown

Immunohistochemistry (Formalin/PFA-fixed paraffin-embedded sections) - Anti-gamma Adaptin antibody [EPR9875(B)] (AB167153)

Immunohistochemical analysis of paraffin-embedded Human lung carcinoma tissue labeling gamma Adaptin with ab167153 at 1/50 dilution.

Perform heat mediated antigen retrieval with citrate buffer pH 6 before commencing with IHC staining protocol.

Western blot - Anti-gamma Adaptin antibody [EPR9875(B)] (AB167153)
  • WB

Unknown

Western blot - Anti-gamma Adaptin antibody [EPR9875(B)] (AB167153)

All lanes:

Western blot - Anti-gamma Adaptin antibody [EPR9875(B)] (ab167153) at 1/1000 dilution

Lane 1:

HeLa cell lysate at 10 µg

Lane 2:

293T cell lysate at 10 µg

Secondary

All lanes:

HRP labeled goat anti-rabbit at 1/2000 dilution

Predicted band size: 91 kDa

false

Western blot - Anti-gamma Adaptin antibody [EPR9875(B)] (AB167153)
  • WB

Lab

Western blot - Anti-gamma Adaptin antibody [EPR9875(B)] (AB167153)

Lane 1 : Wild-type HAP1 cell lysate (20 μg)
Lane 2 : gamma Adaptin knockout HAP1 cell lysate (20 μg)
Lane 3 : HeLa cell lysate (20 μg)
Lane 4 : Human fetal brain tissue lysate (20 μg)
Lanes 1 - 4 : Merged signal (red and green). Green - ab167153 observed at 100 kDa. Red - loading control, ab8245, observed at 37 kDa.

ab167153 was shown to specifically react with gamma Adaptin when gamma Adaptin knockout samples were used. Wild-type and gamma Adaptin knockout samples were subjected to SDS-PAGE. ab167153 and ab8245 (loading control to GAPDH) were diluted at 1/1000 and 1/10 000 respectively and incubated overnight at 4°C. Blots were developed with Goat anti-Rabbit IgG H&L (IRDye® 800CW) preadsorbed ab216773 and Goat anti-Mouse IgG H&L (IRDye® 680RD) preadsorbed ab216776 secondary antibodies at 1/10 000 dilution for 1 h at room temperature before imaging.

All lanes:

Western blot - Anti-gamma Adaptin antibody [EPR9875(B)] (ab167153)

Predicted band size: 91 kDa

false

Key facts

Host species

Rabbit

Clonality

Monoclonal

Clone number

EPR9875(B)

Isotype

IgG

Carrier free

No

Reacts with

Mouse, Human

Applications

IHC-P, WB

applications

Immunogen

The exact immunogen used to generate this antibody is proprietary information.

Reactivity data

{ "title": "Reactivity Data", "filters": { "stats": ["", "Species", "Dilution Info", "Notes"], "tabs": { "all-applications": {"fullname" : "All Applications", "shortname": "All Applications"}, "IHCP" : {"fullname" : "Immunohistochemistry (Formalin/PFA-fixed paraffin-embedded sections)", "shortname":"IHC-P"}, "ICCIF" : {"fullname" : "Immunocytochemistry/ Immunofluorescence", "shortname":"ICC/IF"}, "IP" : {"fullname" : "Immunoprecipitation", "shortname":"IP"}, "FlowCyt" : {"fullname" : "Flow Cytometry", "shortname":"Flow Cyt"}, "WB" : {"fullname" : "Western blot", "shortname":"WB"} }, "product-promise": { "all": "all", "testedAndGuaranteed": "tested", "guaranteed": "expected", "predicted": "predicted", "notRecommended": "not-recommended" } }, "values": { "Human": { "IHCP-species-checked": "testedAndGuaranteed", "IHCP-species-dilution-info": "1/50 - 1/100", "IHCP-species-notes": "<p></p>", "ICCIF-species-checked": "notRecommended", "ICCIF-species-dilution-info": "", "ICCIF-species-notes": "<p></p>", "IP-species-checked": "notRecommended", "IP-species-dilution-info": "", "IP-species-notes": "<p></p>", "FlowCyt-species-checked": "notRecommended", "FlowCyt-species-dilution-info": "", "FlowCyt-species-notes": "<p></p>", "WB-species-checked": "testedAndGuaranteed", "WB-species-dilution-info": "1/1000 - 1/10000", "WB-species-notes": "<p></p>" }, "Mouse": { "IHCP-species-checked": "guaranteed", "IHCP-species-dilution-info": "1/50 - 1/100", "IHCP-species-notes": "<p></p>", "ICCIF-species-checked": "notRecommended", "ICCIF-species-dilution-info": "", "ICCIF-species-notes": "<p></p>", "IP-species-checked": "notRecommended", "IP-species-dilution-info": "", "IP-species-notes": "<p></p>", "FlowCyt-species-checked": "notRecommended", "FlowCyt-species-dilution-info": "", "FlowCyt-species-notes": "<p></p>", "WB-species-checked": "guaranteed", "WB-species-dilution-info": "1/1000 - 1/10000", "WB-species-notes": "<p></p>" }, "Rat": { "IHCP-species-checked": "predicted", "IHCP-species-dilution-info": "", "IHCP-species-notes": "", "ICCIF-species-checked": "notRecommended", "ICCIF-species-dilution-info": "", "ICCIF-species-notes": "", "IP-species-checked": "notRecommended", "IP-species-dilution-info": "", "IP-species-notes": "", "FlowCyt-species-checked": "notRecommended", "FlowCyt-species-dilution-info": "", "FlowCyt-species-notes": "", "WB-species-checked": "guaranteed", "WB-species-dilution-info": "", "WB-species-notes": "<p></p>" } } }

Product details

Patented technology
Our RabMAb® technology is a patented hybridoma-based technology for making rabbit monoclonal antibodies. For details on our patents, please refer to RabMAb® patents.

What are the advantages of a recombinant monoclonal antibody?
This product is a recombinant monoclonal antibody, which offers several advantages including:

  • - High batch-to-batch consistency and reproducibility
  • - Improved sensitivity and specificity
  • - Long-term security of supply
  • - Animal-free batch production

For more information, read more on recombinant antibodies.

Properties and storage information

Form
Liquid
Purity
Tissue culture supernatant
Storage buffer
pH: 7.2 - 7.4 Preservative: 0.01% Sodium azide Constituents: PBS, 50% Tissue culture supernatant, 40% Glycerol (glycerin, glycerine), 0.05% BSA
Shipped at conditions
Blue Ice
Appropriate short-term storage conditions
+4°C
Appropriate long-term storage conditions
-20°C

Supplementary information

This supplementary information is collated from multiple sources and compiled automatically.

Gamma adaptin also known as AP1G1 or AP-1 gamma subunit is a protein component of the adaptor protein complex 1 (AP-1). It has a molecular mass of approximately 91 kDa and functions in the Golgi apparatus as well as in the endosomes. This protein is important for intracellular transport mechanisms and influences the sorting and trafficking of various cargo proteins. Gamma adaptin is expressed in a range of tissues in the human body where it directs specific pathways of protein trafficking and plays a major role in maintaining cellular function.
Biological function summary

Gamma adaptin facilitates the recruitment of clathrin and other cargo proteins forming an important part of the AP-1 complex. AP-1 mediates the sorting of lysosomal enzymes and other proteins from the trans-Golgi network to endosomes and lysosomes. Through interactions with cytosolic adaptor proteins gamma adaptin contributes to vesicle formation and cargo selection. By participating in the correct shipping and transport of proteins within the cell it maintains cellular homeostasis and regulates vesicular trafficking.

Pathways

Gamma adaptin plays significant roles in both clathrin-mediated endocytosis and vesicular trafficking pathways. Within these pathways gamma adaptin interacts with proteins like clathrin and other adaptor proteins such as beta adaptin and mu adaptin. These interactions ensure the proper transport of proteins between cellular organelles. Gamma adaptin ensures precise intracellular protein distribution and impacts cellular communication processes. The interplay between gamma adaptin and other transport proteins is fundamental for maintaining efficient cellular operations.

Gamma adaptin has been linked to certain conditions such as atherosclerosis and neurological disorders. It interacts with proteins like Hermansky-Pudlak syndrome 1 (HPS1) which plays a role in the development of these diseases. Abnormalities in the function or expression of gamma adaptin can lead to improper protein trafficking contributing to disease progression. Understanding the relationships between gamma adaptin and these diseases offers potential insights for novel therapeutic strategies targeting the faulty shipping and transport mechanisms within the cell.

Product protocols

For this product, it's our understanding that no specific protocols are required. You can visit:

Target data

Subunit of clathrin-associated adaptor protein complex 1 that plays a role in protein sorting in the late-Golgi/trans-Golgi network (TGN) and/or endosomes. The AP complexes mediate both the recruitment of clathrin to membranes and the recognition of sorting signals within the cytosolic tails of transmembrane cargo molecules. In association with AFTPH/aftiphilin in the aftiphilin/p200/gamma-synergin complex, involved in the trafficking of transferrin from early to recycling endosomes, and the membrane trafficking of furin and the lysosomal enzyme cathepsin D between the trans-Golgi network (TGN) and endosomes (PubMed : 15758025).
See full target information AP1G1

Publications (3)

Recent publications for all applications. Explore the full list and refine your search

Virulence 15:2350893 PubMed38725096

2024

effector CvpE maintains biogenesis of -containing vacuoles by suppressing lysosome tubulation through binding PI(3)P and perturbing PIKfyve activity on lysosomes.

Applications

Unspecified application

Species

Unspecified reactive species

Mingliang Zhao,Shan Zhang,Weiqiang Wan,Chunyu Zhou,Nana Li,Ruxi Cheng,Yonghui Yu,Xuan Ouyang,Dongsheng Zhou,Jun Jiao,Xiaolu Xiong

Evidence-based complementary and alternative medicine : eCAM 2022:7918596 PubMed36212964

2022

MicroRNA-641 Inhibits Endometrial Cancer Progression via Targeting AP1G1.

Applications

Unspecified application

Species

Unspecified reactive species

Yanfen Dong,He Yang,Handan Hua

Scientific reports 8:9858 PubMed29959379

2018

The adiponectin promoter activator NP-1 induces high levels of circulating TNFα and weight loss in obese (fa/fa) Zucker rats.

Applications

Unspecified application

Species

Unspecified reactive species

Juan Decara,Antonia Serrano,Francisco Javier Pavón,Patricia Rivera,Rocio Arco,Ana Gavito,Antonio Vargas,Juan A Navarro,Ruben Tovar,Antonio J Lopez-Gambero,Ana Martínez,Juan Suárez,Fernando Rodríguez de Fonseca,Elena Baixeras
View all publications

Product promise

We are committed to supporting your work with high-quality reagents, and we're here for you every step of the way. In the unlikely event that one of our products does not perform as expected, you're protected by our Product Promise.
For full details, please see our Terms & Conditions

Please note: All products are 'FOR RESEARCH USE ONLY. NOT FOR USE IN DIAGNOSTIC OR THERAPEUTIC PROCEDURES'.

For licensing inquiries, please contact partnerships@abcam.com