JavaScript is disabled in your browser. Please enable JavaScript to view this website.
AB15153

Anti-gamma Catenin antibody

3

(1 Review)

|

(9 Publications)

Rabbit Polyclonal gamma Catenin antibody. Suitable for IHC-P, ICC/IF and reacts with Human samples. Cited in 9 publications.

View Alternative Names

CTNNG, DP3, JUP, Junction plakoglobin, Catenin gamma, Desmoplakin III, Desmoplakin-3

3 Images
Immunocytochemistry/ Immunofluorescence - Anti-gamma Catenin antibody (AB15153)
  • ICC/IF

Unknown

Immunocytochemistry/ Immunofluorescence - Anti-gamma Catenin antibody (AB15153)

ICC/IF image of ab15153 stained MCF7 cells. The cells were 100% methanol fixed (5 min) and then incubated in 1%BSA / 10% normal goat serum / 0.3M glycine in 0.1% PBS-Tween for 1h to permeabilise the cells and block non-specific protein-protein interactions. The cells were then incubated with the antibody (ab15153, 1µg/ml) overnight at +4°C. The secondary antibody (green) was Alexa Fluor® 488 goat anti-rabbit IgG (H+L) used at a 1/1000 dilution for 1h. Alexa Fluor® 594 WGA was used to label plasma membranes (red) at a 1/200 dilution for 1h. DAPI was used to stain the cell nuclei (blue) at a concentration of 1.43µM.

Immunohistochemistry (Formalin/PFA-fixed paraffin-embedded sections) - Anti-gamma Catenin antibody (AB15153)
  • IHC-P

Unknown

Immunohistochemistry (Formalin/PFA-fixed paraffin-embedded sections) - Anti-gamma Catenin antibody (AB15153)

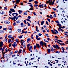
Human breast carcinoma stained with anti gamma catenin antibody ab15153 (1/100 for 10 min at RT). Gamma catenin staining is seen on the cell membrane and in the cytoplasm.

Immunohistochemistry (Formalin/PFA-fixed paraffin-embedded sections) - Anti-gamma Catenin antibody (AB15153)
  • IHC-P

AbReview17811****

Immunohistochemistry (Formalin/PFA-fixed paraffin-embedded sections) - Anti-gamma Catenin antibody (AB15153)

ab15153 staining gamma Catenin in normal human skin tissue sections by IHC-P (formaldehyde-fixed paraffin-embedded sections). Tissue samples were fixed with formaldehyde and blocked with 10% serum for 1 hour at 2°C; antigen retrival was by heat mediation in EDTA (pH9). The sample was incubated with primary antibody (1/100 in TBS + 1% BSA) at 21°C for 1 hour. An undiluted HRP-conjugated Goat polyclonal to mouse IgG was used as secondary antibody.

This image is courtesy of an anonymous Abreview

Key facts

Host species

Rabbit

Clonality

Polyclonal

Isotype

IgG

Carrier free

No

Reacts with

Human

Applications

IHC-P, ICC/IF

applications

Immunogen

The exact immunogen used to generate this antibody is proprietary information.

Reactivity data

{ "title": "Reactivity Data", "filters": { "stats": ["", "Species", "Dilution Info", "Notes"], "tabs": { "all-applications": {"fullname" : "All Applications", "shortname": "All Applications"}, "IHCP" : {"fullname" : "Immunohistochemistry (Formalin/PFA-fixed paraffin-embedded sections)", "shortname":"IHC-P"}, "ICCIF" : {"fullname" : "Immunocytochemistry/ Immunofluorescence", "shortname":"ICC/IF"} }, "product-promise": { "all": "all", "testedAndGuaranteed": "tested", "guaranteed": "expected", "predicted": "predicted", "notRecommended": "not-recommended" } }, "values": { "Human": { "IHCP-species-checked": "testedAndGuaranteed", "IHCP-species-dilution-info": "1/100", "IHCP-species-notes": "<p></p>", "ICCIF-species-checked": "testedAndGuaranteed", "ICCIF-species-dilution-info": "1 µg/mL", "ICCIF-species-notes": "<p></p>" }, "Mouse": { "IHCP-species-checked": "predicted", "IHCP-species-dilution-info": "", "IHCP-species-notes": "", "ICCIF-species-checked": "predicted", "ICCIF-species-dilution-info": "", "ICCIF-species-notes": "" }, "Rat": { "IHCP-species-checked": "predicted", "IHCP-species-dilution-info": "", "IHCP-species-notes": "", "ICCIF-species-checked": "predicted", "ICCIF-species-dilution-info": "", "ICCIF-species-notes": "" } } }

Properties and storage information

Form
Liquid
Purification technique
Affinity purification Immunogen
Storage buffer
pH: 7.6 Preservative: 0.1% Sodium azide Constituents: PBS, 1% BSA
Shipped at conditions
Blue Ice
Appropriate long-term storage conditions
-20°C
Aliquoting information
Upon delivery aliquot
Storage information
Avoid freeze / thaw cycle

Supplementary information

This supplementary information is collated from multiple sources and compiled automatically.

Gamma Catenin also known as Junction Plakoglobin (JUP) is a protein with a molecular mass of approximately 82 kDa. It plays an important role in cell adhesion mechanisms. This protein is expressed widely in various tissue types prominently in epithelial tissues. Gamma Catenin contributes significantly to the structure of adherens junctions and desmosomes physically connecting cells to one another and stabilizing those connections within tissues.
Biological function summary

Gamma Catenin is an integral component of the armadillo family of proteins and part of desmosomal and adherens junction complexes. It plays an essential role in maintaining the integrity and mechanical strength of tissues. Through interacting with other proteins in these complexes gamma Catenin facilitates cell signaling and communication. It associates with cadherins and catenins including plakophilin and β-catenin to ensure proper cell-cell adhesion and signaling across the cell membrane.

Pathways

Gamma Catenin is involved in the Wnt signaling pathway an important route governing cellular processes such as proliferation differentiation and migration. Gamma Catenin interacts with β-catenin in this pathway influencing transcriptional regulation in the nucleus. It also plays roles in the cadherin-mediated cell adhesion pathway working alongside other proteins like E-cadherin to modulate cell behavior. These pathways highlight its importance in cellular architecture and signaling.

Alterations in gamma Catenin expression or function relate to conditions such as heart diseases specifically arrhythmogenic right ventricular cardiomyopathy and cancer particularly affecting epithelial tissues. In these conditions abnormal gamma Catenin interactions with other junction proteins like desmoplakin and plakophilin contribute to disease progression. These disruptions suggest its potential as a therapeutic target providing insight into disease mechanisms and opportunities for intervention.

Product protocols

For this product, it's our understanding that no specific protocols are required. You can visit:

Target data

Common junctional plaque protein. The membrane-associated plaques are architectural elements in an important strategic position to influence the arrangement and function of both the cytoskeleton and the cells within the tissue. The presence of plakoglobin in both the desmosomes and in the intermediate junctions suggests that it plays a central role in the structure and function of submembranous plaques. Acts as a substrate for VE-PTP and is required by it to stimulate VE-cadherin function in endothelial cells. Can replace beta-catenin in E-cadherin/catenin adhesion complexes which are proposed to couple cadherins to the actin cytoskeleton (By similarity).
See full target information JUP

Publications (9)

Recent publications for all applications. Explore the full list and refine your search

JACC. Basic to translational science 10:101281 PubMed40866040

2025

Evaluation of Tideglusib as a Disease Modifying Therapy in Murine Models of Arrhythmogenic Cardiomyopathy.

Applications

Unspecified application

Species

Unspecified reactive species

Nipun Malhotra,Omer Cavus,Michael J Wallace,John T Bobik,Kevin You,Sarah S Takenaka,Danielle Abdallah,Eleanor J Mohler,Steve Antwi-Boasiako,Nathaniel P Murphy,Holly Sucharski-Argall,Xianyao Xu,Stephen P Chelko,Thomas J Hund,Jason D Roberts,Peter J Mohler,Mona El Refaey

Molecular & cellular proteomics : MCP 23:100735 PubMed38342409

2024

Proximity Mapping of Desmosomes Reveals a Striking Shift in Their Molecular Neighborhood Associated With Maturation.

Applications

Unspecified application

Species

Unspecified reactive species

Judith B Fülle,Rogerio Alves de Almeida,Craig Lawless,Liam Stockdale,Bian Yanes,E Birgitte Lane,David R Garrod,Christoph Ballestrem

Journal of advanced research 28:195-208 PubMed33364056

2020

Effects of differential distributed-JUP on the malignancy of gastric cancer.

Applications

Unspecified application

Species

Unspecified reactive species

Yanlin Chen,Liping Yang,Yilu Qin,Shuiqing Liu,Yina Qiao,Xueying Wan,Huan Zeng,Xiaoli Tang,Manran Liu,Yixuan Hou

JCI insight 5: PubMed31194698

2019

Patient mutations linked to arrhythmogenic cardiomyopathy enhance calpain-mediated desmoplakin degradation.

Applications

Unspecified application

Species

Unspecified reactive species

Ronald Ng,Heather Manring,Nikolaos Papoutsidakis,Taylor Albertelli,Nicole Tsai,Claudia J See,Xia Li,Jinkyu Park,Tyler L Stevens,Prameela J Bobbili,Muhammad Riaz,Yongming Ren,Christopher E Stoddard,Paul Ml Janssen,T Jared Bunch,Stephen P Hall,Ying-Chun Lo,Daniel L Jacoby,Yibing Qyang,Nathan Wright,Maegen A Ackermann,Stuart G Campbell

The Journal of investigative dermatology 139:380-390 PubMed30321533

2018

Mutations in PERP Cause Dominant and Recessive Keratoderma.

Applications

Unspecified application

Species

Unspecified reactive species

Sabine Duchatelet,Lynn M Boyden,Akemi Ishida-Yamamoto,Jing Zhou,Laure Guibbal,Ronghua Hu,Young H Lim,Christine Bole-Feysot,Patrick Nitschké,Fernando Santos-Simarro,Raul de Lucas,Leonard M Milstone,Vanessa Gildenstern,Yolanda R Helfrich,Laura D Attardi,Richard P Lifton,Keith A Choate,Alain Hovnanian

Human molecular genetics 25:348-57 PubMed26604139

2015

Dominant de novo DSP mutations cause erythrokeratodermia-cardiomyopathy syndrome.

Applications

Unspecified application

Species

Unspecified reactive species

Lynn M Boyden,Chen Y Kam,Angela Hernández-Martín,Jing Zhou,Brittany G Craiglow,Robert Sidbury,Erin F Mathes,Sheilagh M Maguiness,Debra A Crumrine,Mary L Williams,Ronghua Hu,Richard P Lifton,Peter M Elias,Kathleen J Green,Keith A Choate

PloS one 9:e115496 PubMed25536063

2014

Implications of targeted genomic disruption of β-catenin in BxPC-3 pancreatic adenocarcinoma cells.

Applications

IP

Species

Unspecified reactive species

Petter Angell Olsen,Nina Therese Solberg,Kaja Lund,Tore Vehus,Monika Gelazauskaite,Steven Ray Wilson,Stefan Krauss

Science signaling 7:rs7 PubMed25468996

2014

E-cadherin interactome complexity and robustness resolved by quantitative proteomics.

Applications

Unspecified application

Species

Unspecified reactive species

Zhenhuan Guo,Lisa J Neilson,Hang Zhong,Paul S Murray,Sara Zanivan,Ronen Zaidel-Bar

The American journal of surgical pathology 34:1472-9 PubMed20871222

2010

Clinical and biological significance of E-cadherin protein expression in invasive lobular carcinoma of the breast.

Applications

Unspecified application

Species

Unspecified reactive species

Emad A Rakha,Arjun Patel,Des G Powe,Ahmed Benhasouna,Andrew R Green,Maryou B Lambros,Jorge S Reis-Filho,Ian O Ellis
View all publications

Product promise

We are committed to supporting your work with high-quality reagents, and we're here for you every step of the way. In the unlikely event that one of our products does not perform as expected, you're protected by our Product Promise.
For full details, please see our Terms & Conditions

Please note: All products are 'FOR RESEARCH USE ONLY. NOT FOR USE IN DIAGNOSTIC OR THERAPEUTIC PROCEDURES'.

For licensing inquiries, please contact partnerships@abcam.com